Revision 3

#74956

Store at -20C

CST Logo
Orders:

877-616-CELL (2355)

[email protected]

Support:

877-678-TECH (8324)

3 Trask Lane | Danvers | Massachusetts | 01923 | USA

For Research Use Only. Not for Use in Diagnostic Procedures.

Applications:
IHC-P, IF-F, IF-IC, FC-FP

Reactivity:
H M

Sensitivity:
Endogenous

Source/Isotype:
Rabbit IgG

UniProt ID:
#P02533

Entrez-Gene Id:
3861

Product Usage Information

Application Dilution
Immunohistochemistry (Paraffin) 1:300 - 1:1200
Immunofluorescence (Frozen) 1:400 - 1:1600
Immunofluorescence (Immunocytochemistry) 1:50 - 1:200
Flow Cytometry (Fixed/Permeabilized) 1:50 - 1:200

Storage

Supplied in 10 mM sodium HEPES (pH 7.5), 150 mM NaCl, 100 µg/mL BSA, 50% glycerol, and less than 0.02% sodium azide. Store at –20°C. Do not aliquot the antibody.

For a carrier free (BSA and azide free) version of this product see product #95052.

Specificity/Sensitivity

Keratin 14 (E7W6V) Rabbit Monoclonal Antibody recognizes endogenous levels of total keratin 14 protein. Non-specific staining was observed in mouse testis and stomach by immunohistochemistry.

Species predicted to react based on 100% sequence homology

Rat

Source / Purification

Monoclonal antibody is produced by immunizing animals with a synthetic peptide corresponding to residues near the carboxy terminus of human keratin 14 protein.

Background

Keratins (cytokeratins) are intermediate filament proteins that are mainly expressed in epithelial cells. Keratin heterodimers composed of an acidic keratin (or type I keratin, keratins K9-K28) and a basic keratin (or type II keratin, keratins K1-K8 and K71-K80) assemble to form filaments. Keratin isoforms demonstrate tissue- and differentiation-specific profiles that make them useful as research and clinical biomarkers (1,2).

Dysregulation/mutations in keratin genes can lead to a variety of disorders affecting the skin, hair, nails, and other epithelial tissues (3). While expression of keratins can be variable, immunohistochemical staining of keratins is widely used to help in the identification and classification of epithelial tumors, and may also provide prognostic information.

Keratins 8 and 18 (K8/K18) are expressed in simple epithelia of normal tissue, as well as in adenocarcinomas of the breast, lung, ovary, and gastrointestinal tract. Keratin 17 is expressed in basal keratinocytes of stratified epithelia, hair follicles, and sebaceous glands. Onset of keratin 17 expression coincides with the definition of major epithelial lineages during skin development (4). Keratin 14 (K14) is expressed in basal cells of stratified epithelia, and in basal-like subtypes of breast cancer and squamous cell carcinomas. Keratin 19 (K19) is expressed in glandular epithelia, including the liver, gallbladder, and pancreas, as well as in adenocarcinomas of the breast, thyroid, and bile duct. Keratin 20 (K20) is expressed in gastrointestinal epithelium, urothelium, and Merkel cells in the skin, as well as in colorectal carcinomas and some urothelial carcinomas. Keratin 5/6 (K5/6) is expressed in basal cells of stratified epithelia, including the skin, prostate, and breast, as well as in basal-like breast cancers, squamous cell carcinomas, and some lung carcinomas. Keratin 7 (K7) is expressed in glandular epithelia, such as those in the lung, breast, and female reproductive tract, as well as in adenocarcinomas of the lung, breast, and ovary (5,6).

Keratins, particularly K8, K18, and K19, serve as biomarkers for identification of circulating tumor cells (CTCs) (5).

Post-translational modifications, including phosphorylation, acetylation, ubiquitylation, sumoylation, glycosylation, and transamidation, have been shown to affect the functions of keratins in normal and disease states (6). Understanding the molecular mechanisms underlying these PTMs may provide insights into cancer pathogenesis.

Species Reactivity

Species reactivity is determined by testing in at least one approved application (e.g., western blot).

Applications Key

IHC-P: Immunohistochemistry (Paraffin) IF-F: Immunofluorescence (Frozen) IF-IC: Immunofluorescence (Immunocytochemistry) FC-FP: Flow Cytometry (Fixed/Permeabilized)

Cross-Reactivity Key

H: Human M: Mouse

Trademarks and Patents

Cell Signaling Technology is a trademark of Cell Signaling Technology, Inc.

All other trademarks are the property of their respective owners. Visit cellsignal.com/trademarks for more information.

Limited Uses

Except as otherwise expressly agreed in a writing signed by a legally authorized representative of CST, the following terms apply to Products provided by CST, its affiliates or its distributors. Any Customer's terms and conditions that are in addition to, or different from, those contained herein, unless separately accepted in writing by a legally authorized representative of CST, are rejected and are of no force or effect.

Products are labeled with For Research Use Only or a similar labeling statement and have not been approved, cleared, or licensed by the FDA or other regulatory foreign or domestic entity, for any purpose. Customer shall not use any Product for any diagnostic or therapeutic purpose, or otherwise in any manner that conflicts with its labeling statement. Products sold or licensed by CST are provided for Customer as the end-user and solely for research and development uses. Any use of Product for diagnostic, prophylactic or therapeutic purposes, or any purchase of Product for resale (alone or as a component) or other commercial purpose, requires a separate license from CST. Customer shall (a) not sell, license, loan, donate or otherwise transfer or make available any Product to any third party, whether alone or in combination with other materials, or use the Products to manufacture any commercial products, (b) not copy, modify, reverse engineer, decompile, disassemble or otherwise attempt to discover the underlying structure or technology of the Products, or use the Products for the purpose of developing any products or services that would compete with CST products or services, (c) not alter or remove from the Products any trademarks, trade names, logos, patent or copyright notices or markings, (d) use the Products solely in accordance with CST Product Terms of Sale and any applicable documentation, and (e) comply with any license, terms of service or similar agreement with respect to any third party products or services used by Customer in connection with the Products.

Orders: 877-616-CELL (2355) [email protected] Support: 877-678-TECH (8324) [email protected] Web: cellsignal.com
For Research Use Only. Not for Use in Diagnostic Procedures.

Revision 3

Cell Signaling Technology Logo
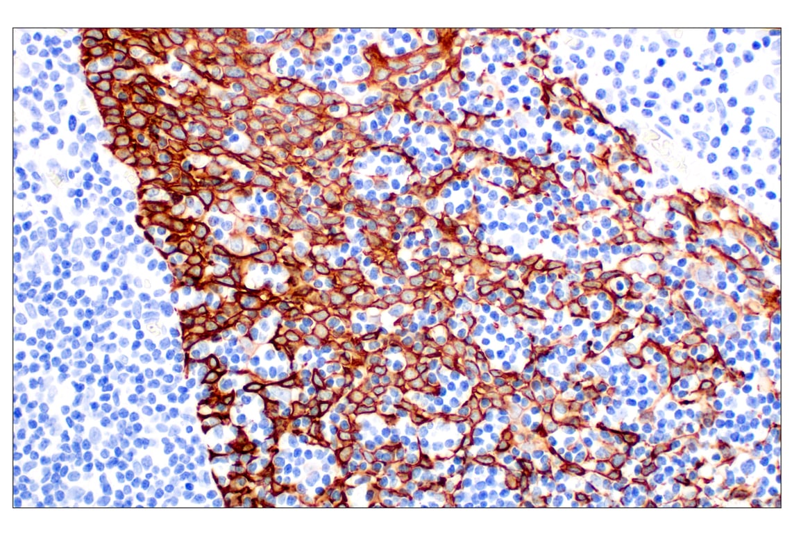
Immunohistochemical analysis of paraffin-embedded human urothelial carcinoma using Keratin 14 (E7W6V) Rabbit mAb.
Immunohistochemistry Image 1: Keratin 14 (E7W6V) Rabbit Monoclonal Antibody
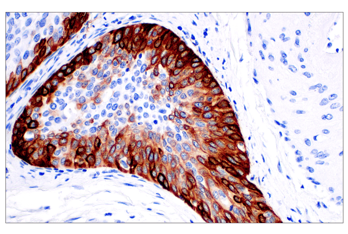
Immunohistochemical analysis of paraffin-embedded human squamous cell carcinoma of the cervix using Keratin 14 (E7W6V) Rabbit mAb.
Immunohistochemistry Image 2: Keratin 14 (E7W6V) Rabbit Monoclonal Antibody
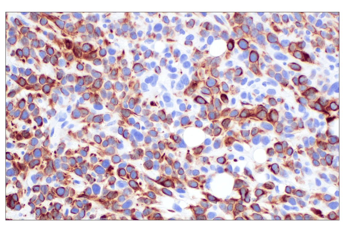
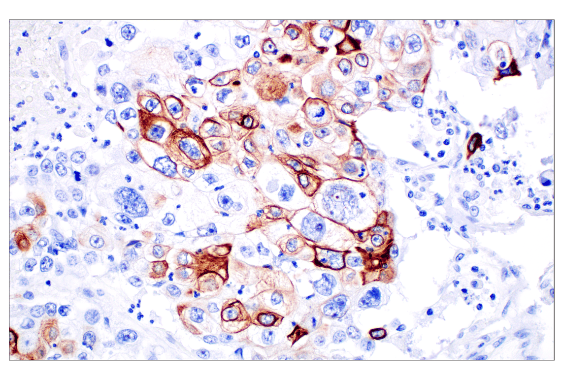
Immunohistochemical analysis of paraffin-embedded human hepatocellular carcinoma using Keratin 14 (E7W6V) Rabbit mAb.
Immunohistochemistry Image 3: Keratin 14 (E7W6V) Rabbit Monoclonal Antibody
Orders: 877-616-CELL (2355) [email protected] Support: 877-678-TECH (8324) [email protected] Web: cellsignal.com
For Research Use Only. Not for Use in Diagnostic Procedures.

Revision 3

Cell Signaling Technology Logo
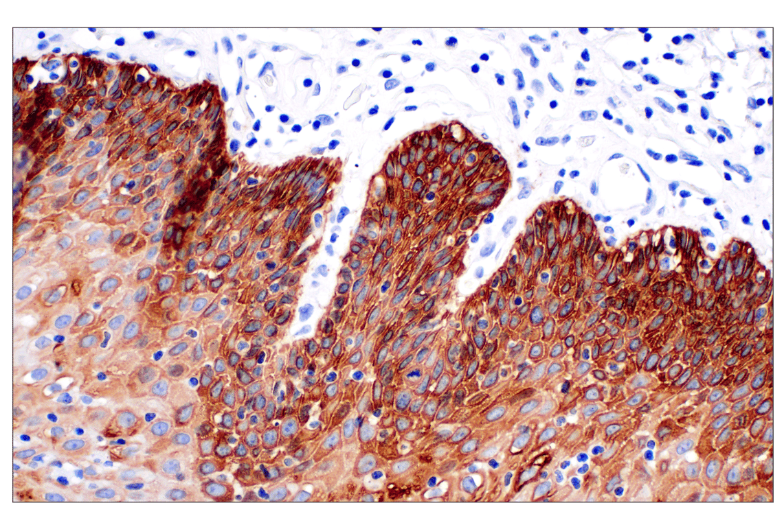
Immunohistochemical analysis of paraffin-embedded normal human esophagus using Keratin 14 (E7W6V) Rabbit mAb.
Immunohistochemistry Image 4: Keratin 14 (E7W6V) Rabbit Monoclonal Antibody
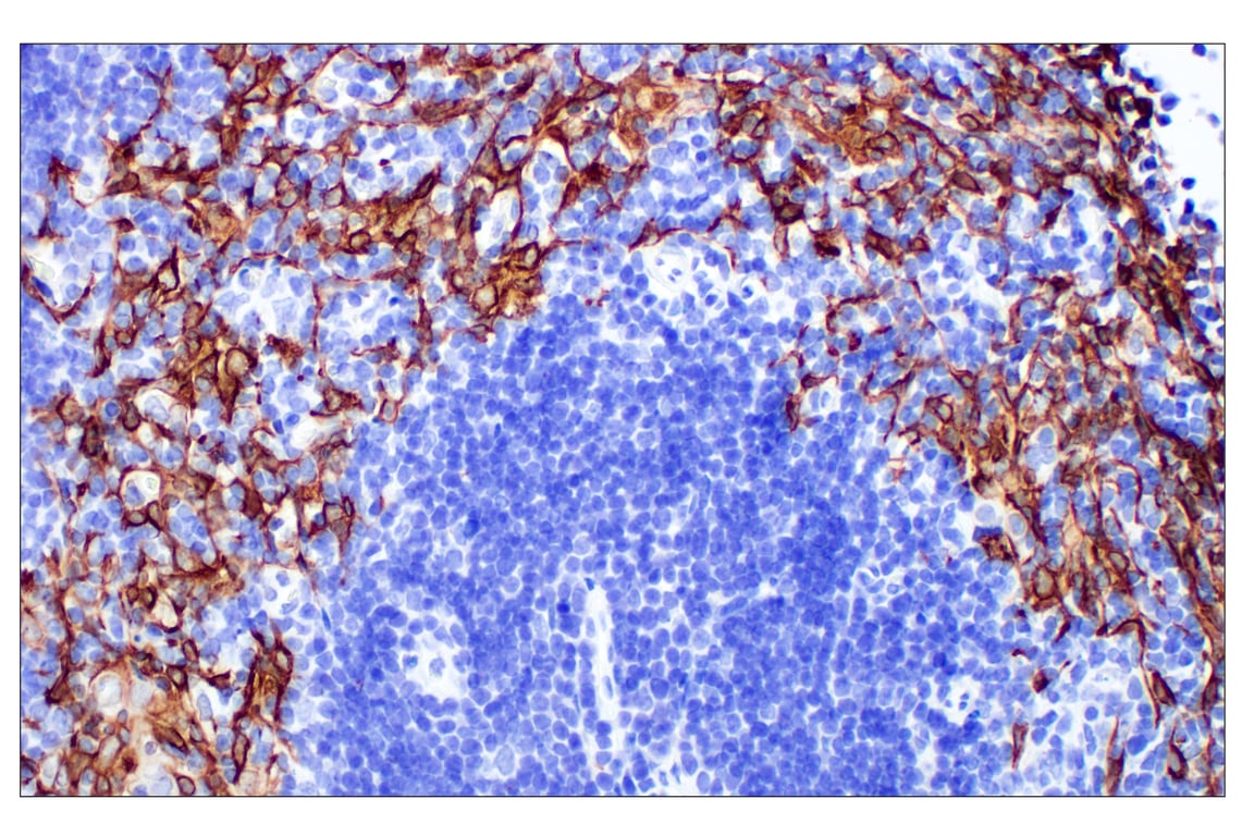
Immunohistochemical analysis of paraffin-embedded human follicular hyperplasia of the tonsil using Keratin 14 (E7W6V) Rabbit mAb.
Immunohistochemistry Image 5: Keratin 14 (E7W6V) Rabbit Monoclonal Antibody
Immunohistochemical analysis of paraffin-embedded 4T1 syngeneic tumor using Keratin 14 (E7W6V) Rabbit mAb.
Immunohistochemistry Image 6: Keratin 14 (E7W6V) Rabbit Monoclonal Antibody
Orders: 877-616-CELL (2355) [email protected] Support: 877-678-TECH (8324) [email protected] Web: cellsignal.com
For Research Use Only. Not for Use in Diagnostic Procedures.

Revision 3

Cell Signaling Technology Logo
Immunohistochemical analysis of paraffin-embedded mouse prostate using Keratin 14 (E7W6V) Rabbit mAb.
Immunohistochemistry Image 7: Keratin 14 (E7W6V) Rabbit Monoclonal Antibody
Immunohistochemical analysis of paraffin-embedded mouse thymus using Keratin 14 (E7W6V) Rabbit mAb.
Immunohistochemistry Image 8: Keratin 14 (E7W6V) Rabbit Monoclonal Antibody
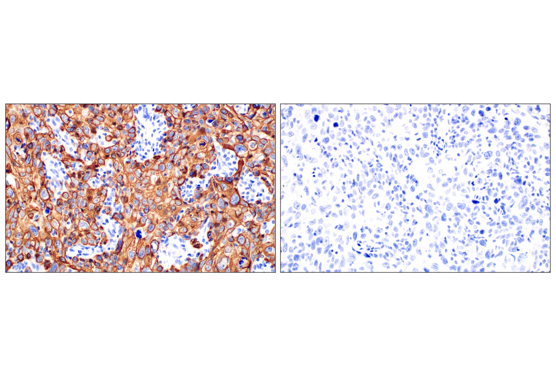
Immunohistochemical analysis of paraffin-embedded human oropharyngeal squamous cell carcinoma using Keratin 14 (E7W6V) Rabbit mAb (left) compared to concentration-matched Rabbit (DA1E) mAb IgG XP® Isotype Control #3900 (right). 
Immunohistochemistry Image 9: Keratin 14 (E7W6V) Rabbit Monoclonal Antibody
Orders: 877-616-CELL (2355) [email protected] Support: 877-678-TECH (8324) [email protected] Web: cellsignal.com
For Research Use Only. Not for Use in Diagnostic Procedures.

Revision 3

Cell Signaling Technology Logo
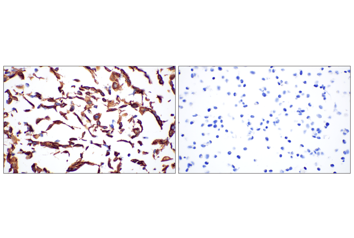
Immunohistochemical analysis of paraffin-embedded A-431 cell pellet (left, positive) or A-673 cell pellet (right, negative) using Keratin 14 (E7W6V) Rabbit mAb.
Immunohistochemistry Image 10: Keratin 14 (E7W6V) Rabbit Monoclonal Antibody
Confocal immunofluorescent analysis of fixed frozen mouse skin labeled with Keratin 14 (E7W6V) Rabbit mAb (left, green). Free secondary binding sites were then blocked with Rabbit (DA1E) mAb IgG XP® Isotype Control #3900 prior to co-labeling with Vimentin (D21H3) XP® Rabbit mAb (Alexa Fluor® 555 Conjugate) #9855 (right, red) and ProLong Gold Antifade Reagent with DAPI #8961 (right, blue).
Immunofluorescence Image 1: Keratin 14 (E7W6V) Rabbit Monoclonal Antibody
Confocal immunofluorescent analysis of A-431 cells (left, positive) and A-673 cells (right, negative) using Keratin 14 (E7W6V) Rabbit mAb (green), DyLight 554 Phalloidin #13054 (red), and DAPI #4083 (blue).
Immunofluorescence Image 1: Keratin 14 (E7W6V) Rabbit Monoclonal Antibody
Orders: 877-616-CELL (2355) [email protected] Support: 877-678-TECH (8324) [email protected] Web: cellsignal.com
For Research Use Only. Not for Use in Diagnostic Procedures.

Revision 3

Cell Signaling Technology Logo
Flow cytometric analysis of PANC-1 cells (blue, negative) and A-431 cells (green, positive) using Keratin 14 (E7W6V) Rabbit mAb (solid lines) or concentration-matched Rabbit (DA1E) mAb IgG XP® Isotype Control #3900 (dashed lines). Anti-rabbit IgG (H+L), F(ab')2 Fragment (Alexa Fluor® 488 Conjugate) #4412 was used as a secondary antibody.
Flow Cytometry Image 1: Keratin 14 (E7W6V) Rabbit Monoclonal Antibody
Orders: 877-616-CELL (2355) [email protected] Support: 877-678-TECH (8324) [email protected] Web: cellsignal.com
For Research Use Only. Not for Use in Diagnostic Procedures.