Revision 1

#75330

Store at -20C

CST Logo
Orders:

877-616-CELL (2355)

[email protected]

Support:

877-678-TECH (8324)

3 Trask Lane | Danvers | Massachusetts | 01923 | USA

For Research Use Only. Not for Use in Diagnostic Procedures.

Applications:
W, IHC-Bond, IHC-P

Reactivity:
H M

Sensitivity:
Endogenous

MW (kDa):
62

Source/Isotype:
Rabbit IgG

UniProt ID:
#Q64133

Entrez-Gene Id:
17161

Product Usage Information

Application Dilution
Western Blotting 1:1000
IHC Leica Bond 1:800 - 1:3200
Immunohistochemistry (Paraffin) 1:800 - 1:3200

Storage

Supplied in 10 mM sodium HEPES (pH 7.5), 150 mM NaCl, 100 µg/ml BSA, 50% glycerol and less than 0.02% sodium azide. Store at –20°C. Do not aliquot the antibody.

Specificity/Sensitivity

Maoa (E3L3B) Rabbit Monoclonal Antibody recognizes endogenous levels of total Maoa protein. This antibody recognizes mouse Maoa protein and is also reactive with human MAOA protein; however, this antibody is not suggested for immunohistochemical analysis of human tissues. Nonspecific staining was observed in mouse testis by immunohistochemistry.

Source / Purification

Monoclonal antibody is produced by immunizing animals with a synthetic peptide corresponding to residues surrounding Ala467 of mouse Maoa protein.

Background

Monoamine oxidase A (MAOA), a mitochondrial enzyme, catalyzes the degradation of monoamines. Studies show that increased expression of MAOA promotes prostate cancer metastasis by activating the Shh-IL6-RANKL signaling network (1). In addition, MAOA expression in adipose tissue macrophages is upregulated in aging, leading to the reduction of noradrenaline availability in adipose tissue. Decreased levels of noradrenaline contribute to the aging-related decline of catecholamine-induced lipolysis in adipocytes (2). Furthermore, sympathetic neuron–associated macrophages import and degrade norepinephrine via the transporter SLC6A2 and MAOA, respectively, and thus contribute to obesity (3).

Species Reactivity

Species reactivity is determined by testing in at least one approved application (e.g., western blot).

Western Blot Buffer

IMPORTANT: For western blots, incubate membrane with diluted primary antibody in 5% w/v BSA, 1X TBS, 0.1% Tween® 20 at 4°C with gentle shaking, overnight.

Applications Key

W: Western Blotting IHC-Bond: IHC Leica Bond IHC-P: Immunohistochemistry (Paraffin)

Cross-Reactivity Key

H: Human M: Mouse

Trademarks and Patents

Cell Signaling Technology is a trademark of Cell Signaling Technology, Inc.

SignalStain is a registered trademark of Cell Signaling Technology, Inc.

All other trademarks are the property of their respective owners. Visit cellsignal.com/trademarks for more information.

Limited Uses

Except as otherwise expressly agreed in a writing signed by a legally authorized representative of CST, the following terms apply to Products provided by CST, its affiliates or its distributors. Any Customer's terms and conditions that are in addition to, or different from, those contained herein, unless separately accepted in writing by a legally authorized representative of CST, are rejected and are of no force or effect.

Products are labeled with For Research Use Only or a similar labeling statement and have not been approved, cleared, or licensed by the FDA or other regulatory foreign or domestic entity, for any purpose. Customer shall not use any Product for any diagnostic or therapeutic purpose, or otherwise in any manner that conflicts with its labeling statement. Products sold or licensed by CST are provided for Customer as the end-user and solely for research and development uses. Any use of Product for diagnostic, prophylactic or therapeutic purposes, or any purchase of Product for resale (alone or as a component) or other commercial purpose, requires a separate license from CST. Customer shall (a) not sell, license, loan, donate or otherwise transfer or make available any Product to any third party, whether alone or in combination with other materials, or use the Products to manufacture any commercial products, (b) not copy, modify, reverse engineer, decompile, disassemble or otherwise attempt to discover the underlying structure or technology of the Products, or use the Products for the purpose of developing any products or services that would compete with CST products or services, (c) not alter or remove from the Products any trademarks, trade names, logos, patent or copyright notices or markings, (d) use the Products solely in accordance with CST Product Terms of Sale and any applicable documentation, and (e) comply with any license, terms of service or similar agreement with respect to any third party products or services used by Customer in connection with the Products.

Orders: 877-616-CELL (2355) [email protected] Support: 877-678-TECH (8324) [email protected] Web: cellsignal.com
For Research Use Only. Not for Use in Diagnostic Procedures.

Revision 1

Cell Signaling Technology Logo
Western blot analysis of extracts from NIH/3T3, mIMCD-3, and BA/F3 cells using Maoa (E3L3B) Rabbit mAb (upper) and GAPDH (D16H11) XP® Rabbit mAb #5174 (lower).
Western Blotting Image 1: Maoa (E3L3B) Rabbit Monoclonal Antibody
Immunohistochemical analysis of paraffin-embedded mouse spleen using Maoa (E3L3B) Rabbit mAb performed on the Leica® BOND™ Rx.
Immunohistochemistry Image 1: Maoa (E3L3B) Rabbit Monoclonal Antibody
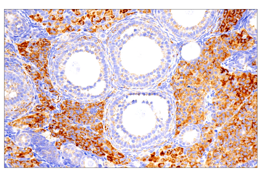
Immunohistochemical analysis of paraffin-embedded mouse ovary using Maoa (E3L3B) Rabbit mAb performed on the Leica® BOND™ Rx.
Immunohistochemistry Image 2: Maoa (E3L3B) Rabbit Monoclonal Antibody
Orders: 877-616-CELL (2355) [email protected] Support: 877-678-TECH (8324) [email protected] Web: cellsignal.com
For Research Use Only. Not for Use in Diagnostic Procedures.

Revision 1

Cell Signaling Technology Logo
Immunohistochemical analysis of paraffin-embedded mouse cerebellum using MAOA (E3L3B) Rabbit mAb performed on the Leica® BOND™ Rx.
Immunohistochemistry Image 3: Maoa (E3L3B) Rabbit Monoclonal Antibody
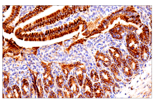
Immunohistochemical analysis of paraffin-embedded mouse small intestine using Maoa (E3L3B) Rabbit mAb.
Immunohistochemistry Image 1: Maoa (E3L3B) Rabbit Monoclonal Antibody
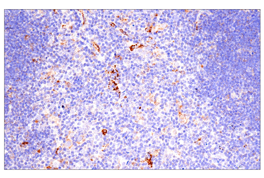
Immunohistochemical analysis of paraffin-embedded mouse thymus using Maoa (E3L3B) Rabbit mAb.
Immunohistochemistry Image 2: Maoa (E3L3B) Rabbit Monoclonal Antibody
Orders: 877-616-CELL (2355) [email protected] Support: 877-678-TECH (8324) [email protected] Web: cellsignal.com
For Research Use Only. Not for Use in Diagnostic Procedures.

Revision 1

Cell Signaling Technology Logo
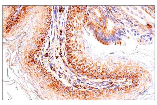
Immunohistochemical analysis of paraffin-embedded mouse forestomach using Maoa (E3L3B) Rabbit mAb.
Immunohistochemistry Image 3: Maoa (E3L3B) Rabbit Monoclonal Antibody
Immunohistochemical analysis of paraffin-embedded mouse kidney using Maoa (E3L3B) Rabbit mAb.
Immunohistochemistry Image 4: Maoa (E3L3B) Rabbit Monoclonal Antibody
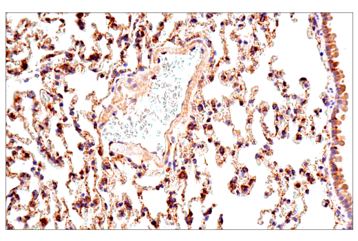
Immunohistochemical analysis of paraffin-embedded mouse lung using Maoa (E3L3B) Rabbit mAb.
Immunohistochemistry Image 5: Maoa (E3L3B) Rabbit Monoclonal Antibody
Orders: 877-616-CELL (2355) [email protected] Support: 877-678-TECH (8324) [email protected] Web: cellsignal.com
For Research Use Only. Not for Use in Diagnostic Procedures.

Revision 1

Cell Signaling Technology Logo
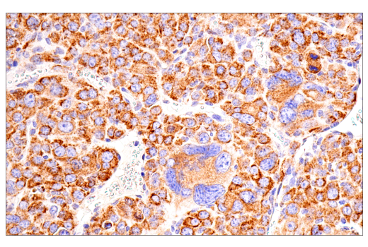
Immunohistochemical analysis of paraffin-embedded mouse pancreas using Maoa (E3L3B) Rabbit mAb.
Immunohistochemistry Image 6: Maoa (E3L3B) Rabbit Monoclonal Antibody
Immunohistochemical analysis of paraffin-embedded Renca syngeneic tumor using Maoa (E3L3B) Rabbit mAb.
Immunohistochemistry Image 7: Maoa (E3L3B) Rabbit Monoclonal Antibody
Immunohistochemical analysis of paraffin-embedded mouse colon using Maoa (E3L3B) Rabbit mAb (left) compared to concentration-matched Rabbit (DA1E) mAb IgG XP® Isotype Control #3900 (right).
Immunohistochemistry Image 8: Maoa (E3L3B) Rabbit Monoclonal Antibody
Orders: 877-616-CELL (2355) [email protected] Support: 877-678-TECH (8324) [email protected] Web: cellsignal.com
For Research Use Only. Not for Use in Diagnostic Procedures.

Revision 1

Cell Signaling Technology Logo
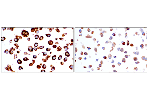
Immunohistochemical analysis of paraffin-embedded NIH/3T3 cell pellet (left, high-expressing) or BA/F3 cell pellet (right, low-expressing) using Maoa (E3L3B) Rabbit mAb.
Immunohistochemistry Image 9: Maoa (E3L3B) Rabbit Monoclonal Antibody
Orders: 877-616-CELL (2355) [email protected] Support: 877-678-TECH (8324) [email protected] Web: cellsignal.com
For Research Use Only. Not for Use in Diagnostic Procedures.