Revision 4

#75550

Store at -20C

CST Logo
Orders:

877-616-CELL (2355)

[email protected]

Support:

877-678-TECH (8324)

3 Trask Lane | Danvers | Massachusetts | 01923 | USA

For Research Use Only. Not for Use in Diagnostic Procedures.

Applications:
W, IP, IHC-P, IF-IC, FC-FP

Reactivity:
H

Sensitivity:
Endogenous

MW (kDa):
83

Source/Isotype:
Rabbit IgG

UniProt ID:
#P14923

Entrez-Gene Id:
3728

Product Usage Information

Application Dilution
Western Blotting 1:1000
Immunoprecipitation 1:50
Immunohistochemistry (Paraffin) 1:1000
Immunofluorescence (Immunocytochemistry) 1:50
Flow Cytometry (Fixed/Permeabilized) 1:100

Storage

Supplied in 10 mM sodium HEPES (pH 7.5), 150 mM NaCl, 100 µg/ml BSA, 50% glycerol and less than 0.02% sodium azide. Store at –20°C. Do not aliquot the antibody.

For a carrier free (BSA and azide free) version of this product see product #63528.

Specificity/Sensitivity

gamma-Catenin (D9M1Q) Rabbit Monoclonal Antibody recognizes endogenous levels of total γ-Catenin protein.

Source / Purification

Monoclonal antibody is produced by immunizing animals with a synthetic peptide corresponding to residues surrounding Pro725 of human γ-Catenin protein.

Background

Also known as plakoglobin, γ-catenin is a member of the Armadillo family of signaling molecules, which includes β-catenin and the Drosophila protein armadillo (1). This family of proteins is involved in Wnt signaling, which is important in embryonic development and in tumorigenesis (2-3). Although the two vertebrate proteins β- and γ-catenin display sequence homology, γ-catenin likely plays a role distinct from that of β-catenin (1, 4-6). γ-catenin localizes to desmosomes and adherens junctions, both sites of intercellular adhesion, and interacts with the cytoplasmic domains of classical and desmosomal cadherins. Interaction of γ- or β-catenin with α-catenin, desmoplakin and other junction proteins provides a link between intercellular junctions and the actin and intermediate filament cytoskeleton. Maintenance and/or modification of this link is vital for control of cell adhesion and migration (1). γ-catenin is modified by phosphorylation, affecting both adhesion and β-catenin dependent transcription (7), and by and O-glycosylation, affecting adhesion (8). Recent evidence suggests that γ-catenin regulates desmosomal adhesion in response to growth factor stimulation (9).

Species Reactivity

Species reactivity is determined by testing in at least one approved application (e.g., western blot).

Western Blot Buffer

IMPORTANT: For western blots, incubate membrane with diluted primary antibody in 5% w/v BSA, 1X TBS, 0.1% Tween® 20 at 4°C with gentle shaking, overnight.

Applications Key

W: Western Blotting IP: Immunoprecipitation IHC-P: Immunohistochemistry (Paraffin) IF-IC: Immunofluorescence (Immunocytochemistry) FC-FP: Flow Cytometry (Fixed/Permeabilized)

Cross-Reactivity Key

H: Human

Trademarks and Patents

Cell Signaling Technology is a trademark of Cell Signaling Technology, Inc.

Alexa Fluor is a registered trademark of Life Technologies Corporation.

All other trademarks are the property of their respective owners. Visit cellsignal.com/trademarks for more information.

Limited Uses

Except as otherwise expressly agreed in a writing signed by a legally authorized representative of CST, the following terms apply to Products provided by CST, its affiliates or its distributors. Any Customer's terms and conditions that are in addition to, or different from, those contained herein, unless separately accepted in writing by a legally authorized representative of CST, are rejected and are of no force or effect.

Products are labeled with For Research Use Only or a similar labeling statement and have not been approved, cleared, or licensed by the FDA or other regulatory foreign or domestic entity, for any purpose. Customer shall not use any Product for any diagnostic or therapeutic purpose, or otherwise in any manner that conflicts with its labeling statement. Products sold or licensed by CST are provided for Customer as the end-user and solely for research and development uses. Any use of Product for diagnostic, prophylactic or therapeutic purposes, or any purchase of Product for resale (alone or as a component) or other commercial purpose, requires a separate license from CST. Customer shall (a) not sell, license, loan, donate or otherwise transfer or make available any Product to any third party, whether alone or in combination with other materials, or use the Products to manufacture any commercial products, (b) not copy, modify, reverse engineer, decompile, disassemble or otherwise attempt to discover the underlying structure or technology of the Products, or use the Products for the purpose of developing any products or services that would compete with CST products or services, (c) not alter or remove from the Products any trademarks, trade names, logos, patent or copyright notices or markings, (d) use the Products solely in accordance with CST Product Terms of Sale and any applicable documentation, and (e) comply with any license, terms of service or similar agreement with respect to any third party products or services used by Customer in connection with the Products.

Orders: 877-616-CELL (2355) [email protected] Support: 877-678-TECH (8324) [email protected] Web: cellsignal.com
For Research Use Only. Not for Use in Diagnostic Procedures.

Revision 4

Cell Signaling Technology Logo
Western blot analysis of extracts from various cell lines using γ-Catenin (D9M1Q) Rabbit mAb (upper) or α-Actinin (D6F6) Rabbit mAb #6487 (lower).
Western Blotting Image 1: gamma-Catenin (D9M1Q) Rabbit Monoclonal Antibody
Immunoprecipitation of γ-Catenin from DLD-1 cell extracts. Lane 1 is 10% input, lane 2 is Rabbit (DA1E) mAb IgG XP® Isotype Control #3900, and lane 3 is γ-Catenin (D9M1Q) Rabbit mAb. Western blot was performed using γ-Catenin (D9M1Q) Rabbit mAb.
Immunoprecipitation Image 1: gamma-Catenin (D9M1Q) Rabbit Monoclonal Antibody
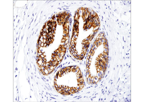
Immunohistochemical analysis of paraffin-embedded human breast carcinoma using γ-Catenin (D9M1Q) Rabbit mAb #75550.
Immunohistochemistry Image 1: gamma-Catenin (D9M1Q) Rabbit Monoclonal Antibody
Orders: 877-616-CELL (2355) [email protected] Support: 877-678-TECH (8324) [email protected] Web: cellsignal.com
For Research Use Only. Not for Use in Diagnostic Procedures.

Revision 4

Cell Signaling Technology Logo
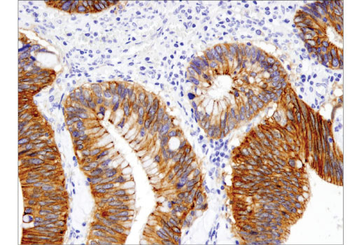
Immunohistochemical analysis of paraffin-embedded human colon carcinoma using γ-Catenin (D9M1Q) Rabbit mAb #75550.
Immunohistochemistry Image 2: gamma-Catenin (D9M1Q) Rabbit Monoclonal Antibody
Immunohistochemical analysis of paraffin-embedded DLD-1 and U-87 MG cell pellets using γ-Catenin (D9M1Q) Rabbit mAb #75550.
Immunohistochemistry Image 3: gamma-Catenin (D9M1Q) Rabbit Monoclonal Antibody
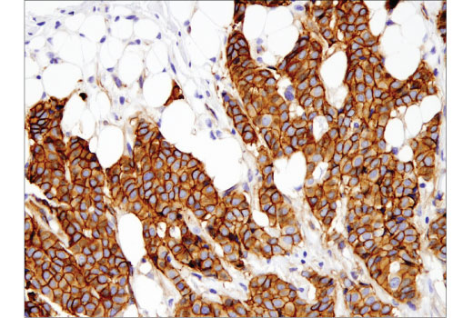
Immunohistochemical analysis of paraffin-embedded human prostate carcinoma using γ-Catenin (D9M1Q) Rabbit mAb #75550.
Immunohistochemistry Image 4: gamma-Catenin (D9M1Q) Rabbit Monoclonal Antibody
Orders: 877-616-CELL (2355) [email protected] Support: 877-678-TECH (8324) [email protected] Web: cellsignal.com
For Research Use Only. Not for Use in Diagnostic Procedures.

Revision 4

Cell Signaling Technology Logo
Confocal immunofluorescent analysis of DLD-1 (positive; left) and U-87 MG (negative; right) cells using γ-Catenin (D9M1Q) Rabbit mAb (green). Blue pseudocolor = DRAQ5® #4084 (fluorescent DNA dye).
Immunofluorescence Image 1: gamma-Catenin (D9M1Q) Rabbit Monoclonal Antibody
Flow cytometric analysis of U-87 MG cells (blue) and DLD-1 cells (green) using γ-Catenin (D9M1Q) Rabbit mAb. Anti-rabbit IgG (H+L), F(ab')2 Fragment (Alexa Fluor® 647 Conjugate) #4414 was used as a secondary antibody.
Flow Cytometry Image 1: gamma-Catenin (D9M1Q) Rabbit Monoclonal Antibody
Orders: 877-616-CELL (2355) [email protected] Support: 877-678-TECH (8324) [email protected] Web: cellsignal.com
For Research Use Only. Not for Use in Diagnostic Procedures.