Revision 1

#76012

Store at -20C

CST Logo
Orders:

877-616-CELL (2355)

[email protected]

Support:

877-678-TECH (8324)

3 Trask Lane | Danvers | Massachusetts | 01923 | USA

For Research Use Only. Not for Use in Diagnostic Procedures.

Applications:
W, IP, IF-F

Reactivity:
H M R

Sensitivity:
Endogenous

MW (kDa):
100, >200

Source/Isotype:
Rabbit IgG

UniProt ID:
#Q14416

Entrez-Gene Id:
2912

Product Usage Information

Application Dilution
Western Blotting 1:1000
Immunoprecipitation 1:50
Immunofluorescence (Frozen) 1:200

Storage

Supplied in 10 mM sodium HEPES (pH 7.5), 150 mM NaCl, 100 µg/ml BSA, 50% glycerol and less than 0.02% sodium azide. Store at –20°C. Do not aliquot the antibody.

Specificity/Sensitivity

mGluR2 (D7D8M) Rabbit Monoclonal Antibody recognizes endogenous levels of total mGluR2 protein. This antibody may cross-react with mGluR3.

Source / Purification

Monoclonal antibody is produced by immunizing animals with recombinant protein specific to the extracellular loops of mouse mGluR2 protein.

Background

Metabotropic glutamate receptor 2 (mGluR2) is a class C G protein-coupled receptor for the neurotransmitter glutamate in the mammalian brain. Unlike ionotropic receptors, metabotropic receptors do not form an ion channel pore themselves but are indirectly linked to ion channels (1). While mGluR1 and mGluR5 activate phospholipase C, mGluR2, mGluR3, mGluR4, and mGluR6 are coupled to the inhibitory G protein Gα(i/o) and inhibit adenylyl cyclase (AC) activity (1). Research studies have suggested that mGluR2/3 receptors may be potential targets for the treatment of Schizophrenia (2). Furthermore, mGluR2 interacts with the 5HT2A serotonin receptor to form a hetero-complex in the brain. This complex is a potential pharmacological target for hallucinogenic drugs (3,4).

Species Reactivity

Species reactivity is determined by testing in at least one approved application (e.g., western blot).

Western Blot Buffer

IMPORTANT: For western blots, incubate membrane with diluted primary antibody in 5% w/v BSA, 1X TBS, 0.1% Tween® 20 at 4°C with gentle shaking, overnight.

Applications Key

W: Western Blotting IP: Immunoprecipitation IF-F: Immunofluorescence (Frozen)

Cross-Reactivity Key

H: Human M: Mouse R: Rat

Trademarks and Patents

Cell Signaling Technology is a trademark of Cell Signaling Technology, Inc.

All other trademarks are the property of their respective owners. Visit cellsignal.com/trademarks for more information.

Limited Uses

Except as otherwise expressly agreed in a writing signed by a legally authorized representative of CST, the following terms apply to Products provided by CST, its affiliates or its distributors. Any Customer's terms and conditions that are in addition to, or different from, those contained herein, unless separately accepted in writing by a legally authorized representative of CST, are rejected and are of no force or effect.

Products are labeled with For Research Use Only or a similar labeling statement and have not been approved, cleared, or licensed by the FDA or other regulatory foreign or domestic entity, for any purpose. Customer shall not use any Product for any diagnostic or therapeutic purpose, or otherwise in any manner that conflicts with its labeling statement. Products sold or licensed by CST are provided for Customer as the end-user and solely for research and development uses. Any use of Product for diagnostic, prophylactic or therapeutic purposes, or any purchase of Product for resale (alone or as a component) or other commercial purpose, requires a separate license from CST. Customer shall (a) not sell, license, loan, donate or otherwise transfer or make available any Product to any third party, whether alone or in combination with other materials, or use the Products to manufacture any commercial products, (b) not copy, modify, reverse engineer, decompile, disassemble or otherwise attempt to discover the underlying structure or technology of the Products, or use the Products for the purpose of developing any products or services that would compete with CST products or services, (c) not alter or remove from the Products any trademarks, trade names, logos, patent or copyright notices or markings, (d) use the Products solely in accordance with CST Product Terms of Sale and any applicable documentation, and (e) comply with any license, terms of service or similar agreement with respect to any third party products or services used by Customer in connection with the Products.

Orders: 877-616-CELL (2355) [email protected] Support: 877-678-TECH (8324) [email protected] Web: cellsignal.com
For Research Use Only. Not for Use in Diagnostic Procedures.

Revision 1

Cell Signaling Technology Logo
Western blot analysis of extracts from various tissues using mGluR2 (D7D8M) Rabbit mAb (upper) and β-Actin (D6A8) Rabbit mAb #8457 (lower).
Western Blotting Image 1: mGluR2 (D7D8M) Rabbit Monoclonal Antibody
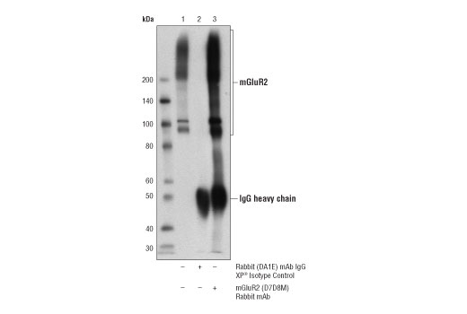
Immunoprecipitation of mGluR2 from mouse brain extracts. Lane 1 is 10% input, lane 2 is Rabbit (DA1E) mAb IgG XP® Isotype Control #3900, and lane 3 is mGluR2 (D7D8M) Rabbit mAb. Western blot analysis was performed using mGluR2 (D7D8M) Rabbit mAb.
Immunoprecipitation Image 1: mGluR2 (D7D8M) Rabbit Monoclonal Antibody
Confocal immunofluorescent analysis of rat hippocampus (left) and cerebellum (right) using mGluR2 (D7D8M) Rabbit mAb (green). Blue pseudocolor = DRAQ5® #4084 (fluorescent DNA dye).
Immunofluorescence Image 1: mGluR2 (D7D8M) Rabbit Monoclonal Antibody
Orders: 877-616-CELL (2355) [email protected] Support: 877-678-TECH (8324) [email protected] Web: cellsignal.com
For Research Use Only. Not for Use in Diagnostic Procedures.