Revision 6

#76998

Store at -20C

CST Logo
Orders:

877-616-CELL (2355)

[email protected]

Support:

877-678-TECH (8324)

3 Trask Lane | Danvers | Massachusetts | 01923 | USA

For Research Use Only. Not for Use in Diagnostic Procedures.

Applications:
W, IP, IHC-P, IF-IC

Reactivity:
H M R

Sensitivity:
Endogenous

MW (kDa):
82

Source/Isotype:
Rabbit IgG

UniProt ID:
#P18887

Entrez-Gene Id:
7515

Product Usage Information

Application Dilution
Western Blotting 1:1000
Immunoprecipitation 1:100
Immunohistochemistry (Paraffin) 1:200 - 1:800
Immunofluorescence (Immunocytochemistry) 1:800 - 1:3200

Storage

Supplied in 10 mM sodium HEPES (pH 7.5), 150 mM NaCl, 100 µg/ml BSA, 50% glycerol and less than 0.02% sodium azide. Store at –20°C. Do not aliquot the antibody.

For a carrier free (BSA and azide free) version of this product see product #74875.

Specificity/Sensitivity

XRCC1 (E4A3V) Rabbit Monoclonal Antibody recognizes endogenous levels of total XRCC1 protein. In some cell lysates, this antibody detects a 62 kDa band of unknown origin by western blot.

Source / Purification

Monoclonal antibody is produced by immunizing animals with a synthetic peptide corresponding to residues surrounding Pro623 of human XRCC1 protein.

Background

The X-ray repair cross-complementing protein 1 (XRCC1) is a DNA repair protein important in both single strand break repair and base excision repair following damage from ionizing radiation and alkylating agents (1). XRCC1 acts as a scaffold protein to coordinate DNA abasic site repair through interaction with several other repair proteins (2). At least eight XRCC1 protein partners have been identified, including the polynucleotide kinase PNK (3), DNA ligase III (4,5), poly (ADP-ribose) polymerase (6), and PCNA (7). Mutations and polymorphisms in the XRCC1 gene serve as diagnostic markers and are associated with elevated risk of various forms of cancers (8).

Species Reactivity

Species reactivity is determined by testing in at least one approved application (e.g., western blot).

Western Blot Buffer

IMPORTANT: For western blots, incubate membrane with diluted primary antibody in 5% w/v nonfat dry milk, 1X TBS, 0.1% Tween® 20 at 4°C with gentle shaking, overnight.

Applications Key

W: Western Blotting IP: Immunoprecipitation IHC-P: Immunohistochemistry (Paraffin) IF-IC: Immunofluorescence (Immunocytochemistry)

Cross-Reactivity Key

H: Human M: Mouse R: Rat

Trademarks and Patents

Cell Signaling Technology is a trademark of Cell Signaling Technology, Inc.

SignalStain is a registered trademark of Cell Signaling Technology, Inc.

All other trademarks are the property of their respective owners. Visit cellsignal.com/trademarks for more information.

Limited Uses

Except as otherwise expressly agreed in a writing signed by a legally authorized representative of CST, the following terms apply to Products provided by CST, its affiliates or its distributors. Any Customer's terms and conditions that are in addition to, or different from, those contained herein, unless separately accepted in writing by a legally authorized representative of CST, are rejected and are of no force or effect.

Products are labeled with For Research Use Only or a similar labeling statement and have not been approved, cleared, or licensed by the FDA or other regulatory foreign or domestic entity, for any purpose. Customer shall not use any Product for any diagnostic or therapeutic purpose, or otherwise in any manner that conflicts with its labeling statement. Products sold or licensed by CST are provided for Customer as the end-user and solely for research and development uses. Any use of Product for diagnostic, prophylactic or therapeutic purposes, or any purchase of Product for resale (alone or as a component) or other commercial purpose, requires a separate license from CST. Customer shall (a) not sell, license, loan, donate or otherwise transfer or make available any Product to any third party, whether alone or in combination with other materials, or use the Products to manufacture any commercial products, (b) not copy, modify, reverse engineer, decompile, disassemble or otherwise attempt to discover the underlying structure or technology of the Products, or use the Products for the purpose of developing any products or services that would compete with CST products or services, (c) not alter or remove from the Products any trademarks, trade names, logos, patent or copyright notices or markings, (d) use the Products solely in accordance with CST Product Terms of Sale and any applicable documentation, and (e) comply with any license, terms of service or similar agreement with respect to any third party products or services used by Customer in connection with the Products.

Orders: 877-616-CELL (2355) [email protected] Support: 877-678-TECH (8324) [email protected] Web: cellsignal.com
For Research Use Only. Not for Use in Diagnostic Procedures.

Revision 6

Cell Signaling Technology Logo
Western blot analysis of extracts from control HCT 116 cells (lane 1) or CRISPR/Cas9 XRCC1 knockdown (KD) HCT 116 cells (lane 2) using XRCC1 (E4A3V) XP® Rabbit mAb (upper) or GAPDH (D16H11) XP® Rabbit mAb #5174 (lower). The reduction of signal in the XRCC1 KD HCT 116 cells confirms specificity of the antibody for XRCC1.
Western Blotting Image 1: XRCC1 (E4A3V) Rabbit Monoclonal Antibody
Western blot analysis of extracts from various cell lines using XRCC1 (E4A3V) XP® Rabbit mAb (upper) or GAPDH (D16H11) XP® Rabbit mAb #5174 (lower).
Western Blotting Image 2: XRCC1 (E4A3V) Rabbit Monoclonal Antibody
Immunoprecipitation of XRCC1 protein from NCI-H1299 cell extracts. Lane 1 is 10% input, lane 2 is Rabbit (DA1E) mAb IgG XP® Isotype Control #3900, and lane 3 is XRCC1 (E4A3V) XP® Rabbit mAb. Western blot analysis was performed using XRCC1 Antibody #2735, raised to a different antigenic determinant of XRCC1. Anti-rabbit IgG, HRP-linked Antibody #7074 was used as the secondary antibody.
Immunoprecipitation Image 1: XRCC1 (E4A3V) Rabbit Monoclonal Antibody
Orders: 877-616-CELL (2355) [email protected] Support: 877-678-TECH (8324) [email protected] Web: cellsignal.com
For Research Use Only. Not for Use in Diagnostic Procedures.

Revision 6

Cell Signaling Technology Logo
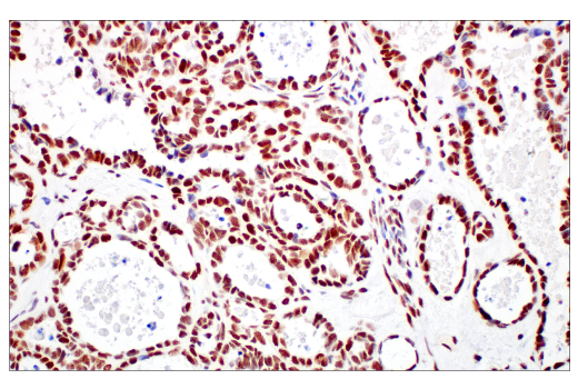
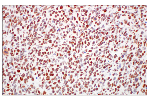
Immunohistochemical analysis of paraffin-embedded human colon adenocarcinoma using XRCC1 (E4A3V) XP® Rabbit mAb.
Immunohistochemistry Image 1: XRCC1 (E4A3V) Rabbit Monoclonal Antibody
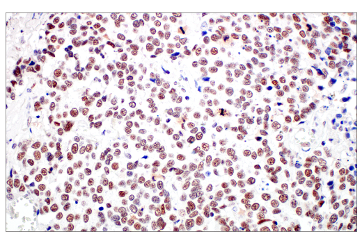
Immunohistochemical analysis of paraffin-embedded human ovarian clear cell adenocarcinoma using XRCC1 (E4A3V) XP® Rabbit mAb.
Immunohistochemistry Image 2: XRCC1 (E4A3V) Rabbit Monoclonal Antibody
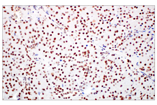
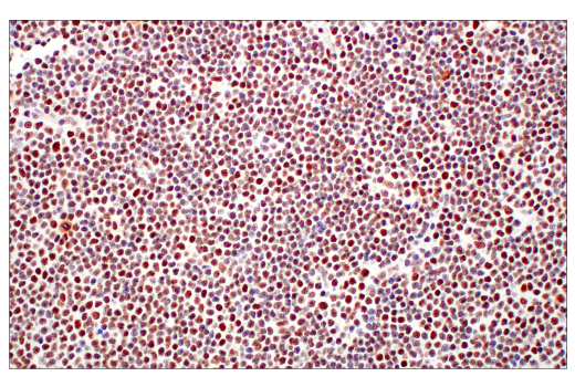
Immunohistochemical analysis of paraffin-embedded human B-cell non-Hodgkin lymphoma using XRCC1 (E4A3V)
XP® Rabbit mAb.
Immunohistochemistry Image 3: XRCC1 (E4A3V) Rabbit Monoclonal Antibody
Orders: 877-616-CELL (2355) [email protected] Support: 877-678-TECH (8324) [email protected] Web: cellsignal.com
For Research Use Only. Not for Use in Diagnostic Procedures.

Revision 6

Cell Signaling Technology Logo
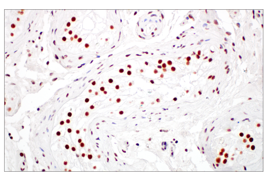
Immunohistochemical analysis of paraffin-embedded human large cell neuroendocrine lung carcinoma using XRCC1 (E4A3V) XP® Rabbit mAb.
Immunohistochemistry Image 4: XRCC1 (E4A3V) Rabbit Monoclonal Antibody
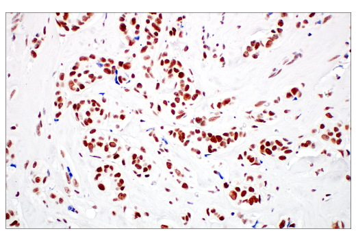
Immunohistochemical analysis of paraffin-embedded human ductal breast carcinoma using XRCC1 (E4A3V) XP® Rabbit mAb.
Immunohistochemistry Image 5: XRCC1 (E4A3V) Rabbit Monoclonal Antibody
Immunohistochemical analysis of paraffin-embedded normal human testis using XRCC1 (E4A3V) XP® Rabbit mAb.
Immunohistochemistry Image 6: XRCC1 (E4A3V) Rabbit Monoclonal Antibody
Orders: 877-616-CELL (2355) [email protected] Support: 877-678-TECH (8324) [email protected] Web: cellsignal.com
For Research Use Only. Not for Use in Diagnostic Procedures.

Revision 6

Cell Signaling Technology Logo
Immunohistochemical analysis of paraffin-embedded normal human pancreas using XRCC1 (E4A3V) XP® Rabbit mAb.
Immunohistochemistry Image 7: XRCC1 (E4A3V) Rabbit Monoclonal Antibody
Immunohistochemical analysis of paraffin-embedded 4T1 syngeneic mammary tumor using XRCC1 (E4A3V) XP® Rabbit mAb.
Immunohistochemistry Image 8: XRCC1 (E4A3V) Rabbit Monoclonal Antibody
Immunohistochemical analysis of paraffin-embedded mouse prostate using XRCC1 (E4A3V) XP® Rabbit mAb.
Immunohistochemistry Image 9: XRCC1 (E4A3V) Rabbit Monoclonal Antibody
Orders: 877-616-CELL (2355) [email protected] Support: 877-678-TECH (8324) [email protected] Web: cellsignal.com
For Research Use Only. Not for Use in Diagnostic Procedures.

Revision 6

Cell Signaling Technology Logo
Immunohistochemical analysis of paraffin-embedded mouse testis using XRCC1 (E4A3V) XP® Rabbit mAb.
Immunohistochemistry Image 10: XRCC1 (E4A3V) Rabbit Monoclonal Antibody
Immunohistochemical analysis of paraffin-embedded mouse esophagus using XRCC1 (E4A3V) XP® Rabbit mAb (left) or a XRCC1 Rabbit mAb (right). These two antibodies detect independent, unique epitopes on XRCC1 protein. The similar staining patterns obtained with both antibodies help to confirm the specificity of the staining.  
Immunohistochemistry Image 11: XRCC1 (E4A3V) Rabbit Monoclonal Antibody
Immunohistochemical analysis of paraffin-embedded human urothelial carcinoma using XRCC1 (E4A3V) XP® Rabbit mAb (left) compared to concentration-matched Rabbit (DA1E) mAb IgG XP® Isotype Control #3900 (right). 
Immunohistochemistry Image 12: XRCC1 (E4A3V) Rabbit Monoclonal Antibody
Orders: 877-616-CELL (2355) [email protected] Support: 877-678-TECH (8324) [email protected] Web: cellsignal.com
For Research Use Only. Not for Use in Diagnostic Procedures.

Revision 6

Cell Signaling Technology Logo
Immunohistochemical analysis of paraffin-embedded HCT 116 cell pellet, control (left, positive) or CRISPR/Cas9 XRCC1 knockdown (KD) (right, reduced expression), using XRCC1 (E4A3V) XP® Rabbit mAb.
Immunohistochemistry Image 13: XRCC1 (E4A3V) Rabbit Monoclonal Antibody
Confocal immunofluorescent analysis of control HCT 116 cells (left) or CRISPR/Cas9 XRCC1 knockdown (KD) HCT 116 cells (right) using XRCC1 (E4A3V) XP® Rabbit mAb (green), DyLight™ 650 Phalloidin #12956 (red), and DAPI #4083 (blue).
Immunofluorescence Image 1: XRCC1 (E4A3V) Rabbit Monoclonal Antibody
Orders: 877-616-CELL (2355) [email protected] Support: 877-678-TECH (8324) [email protected] Web: cellsignal.com
For Research Use Only. Not for Use in Diagnostic Procedures.