Revision 2

#77591

Store at -20C

CST Logo
Orders:

877-616-CELL (2355)

[email protected]

Support:

877-678-TECH (8324)

3 Trask Lane | Danvers | Massachusetts | 01923 | USA

For Research Use Only. Not for Use in Diagnostic Procedures.

Applications:
W, IHC-Bond, IHC-P

Reactivity:
H

Sensitivity:
Endogenous

MW (kDa):
80

Source/Isotype:
Rabbit IgG

UniProt ID:
#P01871

Entrez-Gene Id:
3507

Product Usage Information

Application Dilution
Western Blotting 1:1000
IHC Leica Bond 1:200 - 1:800
Immunohistochemistry (Paraffin) 1:200 - 1:800

Storage

Supplied in 10 mM sodium HEPES (pH 7.5), 150 mM NaCl, 100 µg/ml BSA, 50% glycerol and less than 0.02% sodium azide. Store at –20°C. Do not aliquot the antibody.

For a carrier free (BSA and azide free) version of this product see product #94264.

Specificity/Sensitivity

IgM (E9U8J) Rabbit Monoclonal Antibody recognizes endogenous levels of total IgM heavy chain protein. This antibody reacts with secreted and membrane bound isoforms of IgM heavy chain protein.

Source / Purification

Monoclonal antibody is produced by immunizing animals with a synthetic peptide corresponding to residues surrounding Leu310 within the constant region of human IgM heavy chain protein.

Background

Immunoglobulin M (IgM) is one of the five major human immunoglobulin isotypes and is the first antibody to be secreted by plasmablasts in a humoral immune response after exposure to antigen. Structurally, IgM is the largest immunoglobulin and predominantly exists in pentameric form when secreted (1). Alternative splicing of the IgM heavy chain mRNA can generate an alternative form of the antibody, which facilitates its insertion into the plasma membrane of B cells to function in antigen recognition. IgM is the first Ig isotype to appear on the surface of developing B cells and is a major component of the B cell antigen receptor (BCR) signaling complex, which drives B cell survival and proliferation upon antigen-induced ligation (2,3). Research studies have shown that defects in the assembly of the BCR account for the low levels of surface IgM expression in B-chronic lymphocytic leukemia (4,5).

Species Reactivity

Species reactivity is determined by testing in at least one approved application (e.g., western blot).

Western Blot Buffer

IMPORTANT: For western blots, incubate membrane with diluted primary antibody in 5% w/v BSA, 1X TBS, 0.1% Tween® 20 at 4°C with gentle shaking, overnight.

Applications Key

W: Western Blotting IHC-Bond: IHC Leica Bond IHC-P: Immunohistochemistry (Paraffin)

Cross-Reactivity Key

H: Human

Trademarks and Patents

Cell Signaling Technology is a trademark of Cell Signaling Technology, Inc.

SignalStain is a registered trademark of Cell Signaling Technology, Inc.

KARPAS cell line source: Dr. Abraham Karpas at the University of Cambridge.

All other trademarks are the property of their respective owners. Visit cellsignal.com/trademarks for more information.

Limited Uses

Except as otherwise expressly agreed in a writing signed by a legally authorized representative of CST, the following terms apply to Products provided by CST, its affiliates or its distributors. Any Customer's terms and conditions that are in addition to, or different from, those contained herein, unless separately accepted in writing by a legally authorized representative of CST, are rejected and are of no force or effect.

Products are labeled with For Research Use Only or a similar labeling statement and have not been approved, cleared, or licensed by the FDA or other regulatory foreign or domestic entity, for any purpose. Customer shall not use any Product for any diagnostic or therapeutic purpose, or otherwise in any manner that conflicts with its labeling statement. Products sold or licensed by CST are provided for Customer as the end-user and solely for research and development uses. Any use of Product for diagnostic, prophylactic or therapeutic purposes, or any purchase of Product for resale (alone or as a component) or other commercial purpose, requires a separate license from CST. Customer shall (a) not sell, license, loan, donate or otherwise transfer or make available any Product to any third party, whether alone or in combination with other materials, or use the Products to manufacture any commercial products, (b) not copy, modify, reverse engineer, decompile, disassemble or otherwise attempt to discover the underlying structure or technology of the Products, or use the Products for the purpose of developing any products or services that would compete with CST products or services, (c) not alter or remove from the Products any trademarks, trade names, logos, patent or copyright notices or markings, (d) use the Products solely in accordance with CST Product Terms of Sale and any applicable documentation, and (e) comply with any license, terms of service or similar agreement with respect to any third party products or services used by Customer in connection with the Products.

Orders: 877-616-CELL (2355) [email protected] Support: 877-678-TECH (8324) [email protected] Web: cellsignal.com
For Research Use Only. Not for Use in Diagnostic Procedures.

Revision 2

Cell Signaling Technology Logo
Western blot analysis of extracts from various cell lines using IgM (E9U8J) XP® Rabbit mAb (upper) and β-Actin (D6A8) Rabbit mAb #8457 (lower). As expected, IgM heavy chain protein expression is not detected in either MOLT-4 or KARPAS 299 cells. KARPAS 299 cell line source: Dr. Abraham Karpas at the University of Cambridge.
Western Blotting Image 1: IgM (E9U8J) Rabbit Monoclonal Antibody
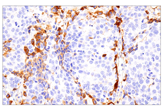
Immunohistochemical analysis of paraffin-embedded human B-cell non-Hodgkin lymphoma using IgM (E9U8J) XP® Rabbit mAb performed on the Leica® BOND™ Rx.
Immunohistochemistry Image 1: IgM (E9U8J) Rabbit Monoclonal Antibody
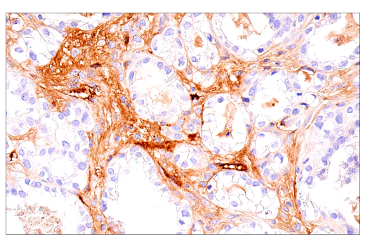
Immunohistochemical analysis of paraffin-embedded human renal cell carcinoma using IgM (E9U8J) XP® Rabbit mAb performed on the Leica® BOND™ Rx.
Immunohistochemistry Image 2: IgM (E9U8J) Rabbit Monoclonal Antibody
Orders: 877-616-CELL (2355) [email protected] Support: 877-678-TECH (8324) [email protected] Web: cellsignal.com
For Research Use Only. Not for Use in Diagnostic Procedures.

Revision 2

Cell Signaling Technology Logo
Immunohistochemical analysis of paraffin-embedded human large cell neuroendocrine carcinoma using IgM (E9U8J) XP® Rabbit mAb performed on the Leica® BOND™ Rx.
Immunohistochemistry Image 3: IgM (E9U8J) Rabbit Monoclonal Antibody
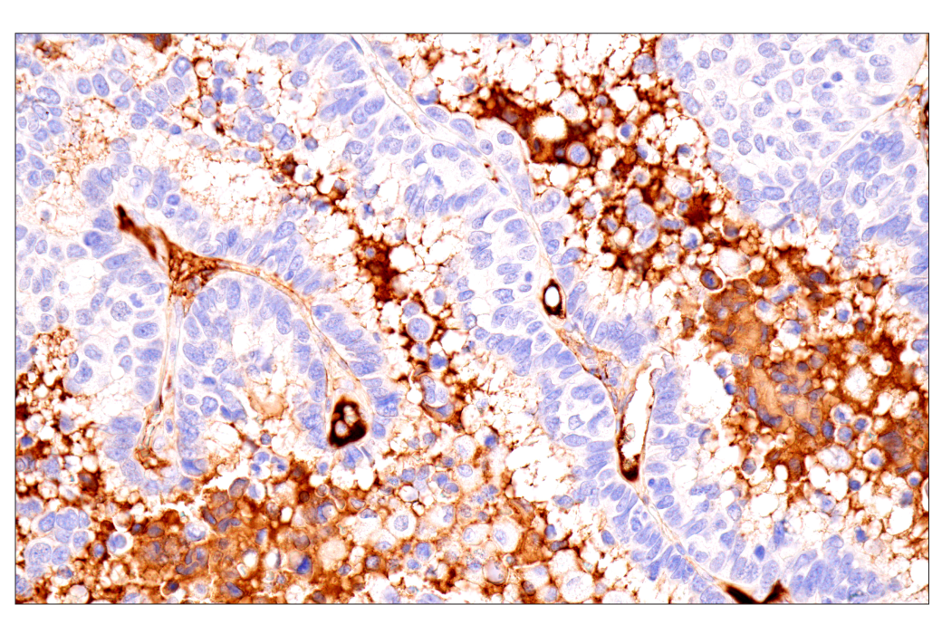
Immunohistochemical analysis of paraffin-embedded human colon adenocarcinoma using IgM (E9U8J) XP® Rabbit mAb performed on the Leica® BOND™ Rx.
Immunohistochemistry Image 4: IgM (E9U8J) Rabbit Monoclonal Antibody
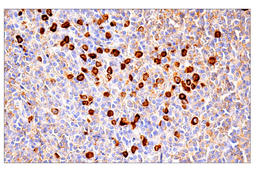
Immunohistochemical analysis of paraffin-embedded human non-Hodgkin lymphoma using IgM (E9U8J) XP® Rabbit mAb performed on the Leica® BOND™ Rx.
Immunohistochemistry Image 5: IgM (E9U8J) Rabbit Monoclonal Antibody
Orders: 877-616-CELL (2355) [email protected] Support: 877-678-TECH (8324) [email protected] Web: cellsignal.com
For Research Use Only. Not for Use in Diagnostic Procedures.

Revision 2

Cell Signaling Technology Logo
Immunohistochemical analysis of paraffin-embedded human urothelial carcinoma using IgM (E9U8J) XP® Rabbit mAb.
Immunohistochemistry Image 1: IgM (E9U8J) Rabbit Monoclonal Antibody
Immunohistochemical analysis of paraffin-embedded human ovarian adenocarcinoma using IgM (E9U8J) XP® Rabbit mAb.
Immunohistochemistry Image 2: IgM (E9U8J) Rabbit Monoclonal Antibody
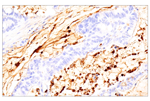
Immunohistochemical analysis of paraffin-embedded human gastrointestinal stromal tumor using IgM (E9U8J) XP® Rabbit mAb.
Immunohistochemistry Image 3: IgM (E9U8J) Rabbit Monoclonal Antibody
Orders: 877-616-CELL (2355) [email protected] Support: 877-678-TECH (8324) [email protected] Web: cellsignal.com
For Research Use Only. Not for Use in Diagnostic Procedures.

Revision 2

Cell Signaling Technology Logo
Immunohistochemical analysis of paraffin-embedded lung adenocarcinoma (left), prostate carcinoma (middle), or normal liver (right) using IgM (E9U8J) XP® Rabbit mAb (top) or IgM Mouse mAb (bottom). These two antibodies detect unique, non-overlapping epitopes on human IgM. The similar staining patterns obtained with both antibodies help to confirm the specificity of the staining.
Immunohistochemistry Image 4: IgM (E9U8J) Rabbit Monoclonal Antibody
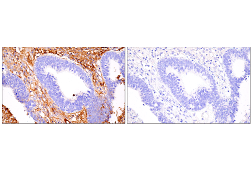
Immunohistochemical analysis of paraffin-embedded human endometrioid adenocarcinoma using IgM (E9U8J) XP® Rabbit mAb (left) compared to concentration-matched Rabbit (DA1E) mAb IgG XP® Isotype Control #3900 (right).
Immunohistochemistry Image 5: IgM (E9U8J) Rabbit Monoclonal Antibody
Immunohistochemical analysis of paraffin-embedded Raji cell pellet (left, positive) or KARPAS 299 cell pellet (right, negative) using IgM (E9U8J) XP® Rabbit mAb.
Immunohistochemistry Image 6: IgM (E9U8J) Rabbit Monoclonal Antibody
Orders: 877-616-CELL (2355) [email protected] Support: 877-678-TECH (8324) [email protected] Web: cellsignal.com
For Research Use Only. Not for Use in Diagnostic Procedures.