Revision 1

#77693

Store at -20C

CST Logo
Orders:

877-616-CELL (2355)

[email protected]

Support:

877-678-TECH (8324)

3 Trask Lane | Danvers | Massachusetts | 01923 | USA

For Research Use Only. Not for Use in Diagnostic Procedures.

Applications:
W, IP, IHC-P, IF-IC

Reactivity:
H

Sensitivity:
Endogenous

MW (kDa):
45-60, 130

Source/Isotype:
Rabbit IgG

UniProt ID:
#A8K7I4

Entrez-Gene Id:
1179

Product Usage Information

Application Dilution
Western Blotting 1:1000
Immunoprecipitation 1:50
Immunohistochemistry (Paraffin) 1:100 - 1:400
Immunofluorescence (Immunocytochemistry) 1:50 - 1:200

Storage

Supplied in 10 mM sodium HEPES (pH 7.5), 150 mM NaCl, 100 µg/mL BSA, 50% glycerol, and less than 0.02% sodium azide. Store at –20°C. Do not aliquot the antibody.

Specificity/Sensitivity

CLCA1 (E4Y1J) Rabbit Monoclonal Antibody recognizes endogenous levels of total CLCA1 protein. This antibody also recognizes the 45-60 kDa autoproteolytically cleaved form of CLCA1.

Source / Purification

Monoclonal antibody is produced by immunizing animals with a synthetic peptide corresponding to residues surrounding Ala745 of human CLCA1 protein.

Background

Many epithelial surfaces of the body are covered with protective mucus, and disrupted mucus homeostasis has been implicated in increased susceptibility to infection, along with diseases such as colitis, cystic fibrosis, chronic obstructive lung disease, asthma, and colon and lung cancers (1-4). The chloride channel calcium-activated (CLCA) family are secreted proteins that regulate chloride transport and mucin expression (2). CLCAs control the production of mucus in lung, colon, and other tissues (2,3). CLCA1, the first characterized human CLCA family member, is mainly expressed in the lungs and lower digestive tract, particularly intestinal crypt cells (1,2,6,7). CLCA1 has been linked to the pathogenesis of asthma and chronic obstructive pulmonary disease (5), in addition to colitis and colon cancer (1,3,6). CLCA1 expression is significantly altered in the tissues of these patients, and mutations in CLCA1 are associated with increased disease incidence (5,6). CLCA1 contains a consensus proteolytic cleavage site, centered at glycine 694, which is recognized by a metalloprotease domain located within its N terminus (2).

Species Reactivity

Species reactivity is determined by testing in at least one approved application (e.g., western blot).

Western Blot Buffer

IMPORTANT: For western blots, incubate membrane with diluted primary antibody in 5% w/v nonfat dry milk, 1X TBS, 0.1% Tween® 20 at 4°C with gentle shaking, overnight.

Applications Key

W: Western Blotting IP: Immunoprecipitation IHC-P: Immunohistochemistry (Paraffin) IF-IC: Immunofluorescence (Immunocytochemistry)

Cross-Reactivity Key

H: Human

Trademarks and Patents

Cell Signaling Technology is a trademark of Cell Signaling Technology, Inc.

All other trademarks are the property of their respective owners. Visit cellsignal.com/trademarks for more information.

Limited Uses

Except as otherwise expressly agreed in a writing signed by a legally authorized representative of CST, the following terms apply to Products provided by CST, its affiliates or its distributors. Any Customer's terms and conditions that are in addition to, or different from, those contained herein, unless separately accepted in writing by a legally authorized representative of CST, are rejected and are of no force or effect.

Products are labeled with For Research Use Only or a similar labeling statement and have not been approved, cleared, or licensed by the FDA or other regulatory foreign or domestic entity, for any purpose. Customer shall not use any Product for any diagnostic or therapeutic purpose, or otherwise in any manner that conflicts with its labeling statement. Products sold or licensed by CST are provided for Customer as the end-user and solely for research and development uses. Any use of Product for diagnostic, prophylactic or therapeutic purposes, or any purchase of Product for resale (alone or as a component) or other commercial purpose, requires a separate license from CST. Customer shall (a) not sell, license, loan, donate or otherwise transfer or make available any Product to any third party, whether alone or in combination with other materials, or use the Products to manufacture any commercial products, (b) not copy, modify, reverse engineer, decompile, disassemble or otherwise attempt to discover the underlying structure or technology of the Products, or use the Products for the purpose of developing any products or services that would compete with CST products or services, (c) not alter or remove from the Products any trademarks, trade names, logos, patent or copyright notices or markings, (d) use the Products solely in accordance with CST Product Terms of Sale and any applicable documentation, and (e) comply with any license, terms of service or similar agreement with respect to any third party products or services used by Customer in connection with the Products.

Orders: 877-616-CELL (2355) [email protected] Support: 877-678-TECH (8324) [email protected] Web: cellsignal.com
For Research Use Only. Not for Use in Diagnostic Procedures.

Revision 1

Cell Signaling Technology Logo
Western blot analysis of extracts from OV-90 and MEG-01 cells using CLCA1 (E4Y1J) Rabbit mAb (upper) or GAPDH (D16H11) XP® Rabbit mAb #5174 (lower). Negative expression of CLCA1 protein in MEG-01 cells is consistent with the predicted expression pattern.
Western Blotting Image 1: CLCA1 (E4Y1J) Rabbit Monoclonal Antibody
Western blot analysis of extracts from 293T cells, mock transfected (-) or transfected with a construct expressing Myc/DDK-tagged full-length human CLCA1 protein (hCLCA1-Myc/DDK; +), using CLCA1 (E4Y1J) Rabbit mAb (upper), Myc-Tag (71D10) Rabbit mAb #2278 (middle), or α-Actinin (D6F6) XP® Rabbit mAb #6487 (lower).
Western Blotting Image 2: CLCA1 (E4Y1J) Rabbit Monoclonal Antibody
Immunoprecipitation of CLCA1 protein from OV-90 cell extracts. Lane 1 is 10% input, lane 2 is Rabbit (DA1E) mAb IgG XP® Isotype Control #3900, and lane 3 is CLCA1 (E4Y1J) Rabbit mAb. Western blot analysis was performed using CLCA1 (E4Y1J) Rabbit mAb. Mouse Anti-rabbit IgG (Conformation Specific) (L27A9) mAb (HRP Conjugate) #5127 was used as a secondary antibody.
Immunoprecipitation Image 1: CLCA1 (E4Y1J) Rabbit Monoclonal Antibody
Orders: 877-616-CELL (2355) [email protected] Support: 877-678-TECH (8324) [email protected] Web: cellsignal.com
For Research Use Only. Not for Use in Diagnostic Procedures.

Revision 1

Cell Signaling Technology Logo
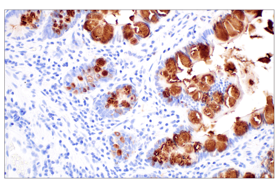
Immunohistochemical analysis of paraffin-embedded human gastric adenocarcinoma using CLCA1 (E4Y1J) Rabbit mAb.
Immunohistochemistry Image 1: CLCA1 (E4Y1J) Rabbit Monoclonal Antibody
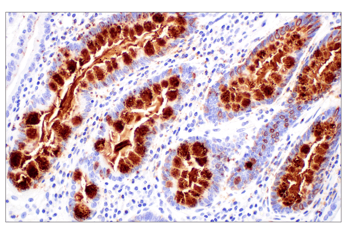
Immunohistochemical analysis of paraffin-embedded normal human small intestine using CLCA1 (E4Y1J) Rabbit mAb.
Immunohistochemistry Image 2: CLCA1 (E4Y1J) Rabbit Monoclonal Antibody
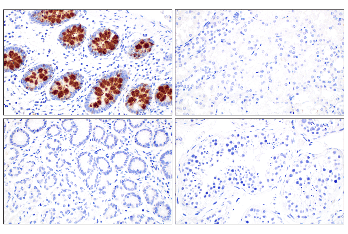
Immunohistochemical analysis of various paraffin-embedded normal human tissues: colon (left-top), kidney (right-top), stomach (left-bottom), and testis (right-bottom) using CLCA1 (E4Y1J) Rabbit mAb. 
Immunohistochemistry Image 3: CLCA1 (E4Y1J) Rabbit Monoclonal Antibody
Orders: 877-616-CELL (2355) [email protected] Support: 877-678-TECH (8324) [email protected] Web: cellsignal.com
For Research Use Only. Not for Use in Diagnostic Procedures.

Revision 1

Cell Signaling Technology Logo
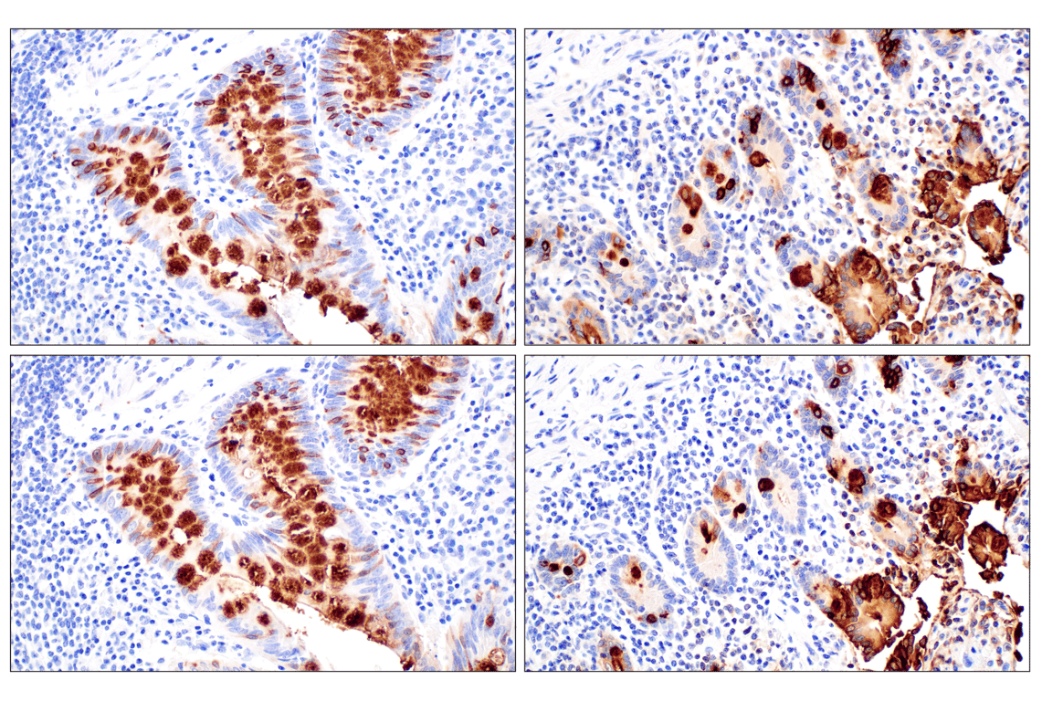
Immunohistochemical analysis of paraffin-embedded normal human appendix (left), and normal human colon (right) using CLCA1 (E4Y1J) Rabbit mAb (top) or a CLCA1 Rabbit mAb (bottom). These two antibodies detect unique, non-overlapping epitopes on human CLCA1. The similar staining patterns obtained with both antibodies help to confirm the specificity of the staining. 
Immunohistochemistry Image 4: CLCA1 (E4Y1J) Rabbit Monoclonal Antibody
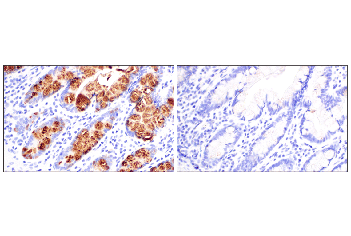
Immunohistochemical analysis of paraffin-embedded normal human small intestine using CLCA1 (E4Y1J) Rabbit mAb (left) compared to concentration-matched Rabbit (DA1E) mAb IgG XP® Isotype Control #3900 (right). 
Immunohistochemistry Image 5: CLCA1 (E4Y1J) Rabbit Monoclonal Antibody
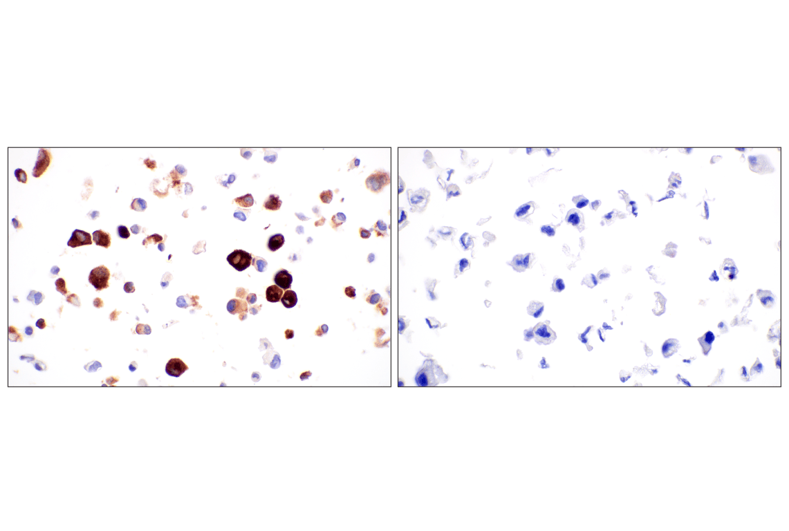
Immunohistochemical analysis of paraffin-embedded OV-90 cell pellet (left, positive) or JHH-2 cell pellet (right, negative) using CLCA1 (E4Y1J) Rabbit mAb.
Immunohistochemistry Image 6: CLCA1 (E4Y1J) Rabbit Monoclonal Antibody
Orders: 877-616-CELL (2355) [email protected] Support: 877-678-TECH (8324) [email protected] Web: cellsignal.com
For Research Use Only. Not for Use in Diagnostic Procedures.

Revision 1

Cell Signaling Technology Logo
Confocal immunofluorescent analysis of OV-90 cells (left, positive) and JHH-1 cells (right, negative) using CLCA1 (E4Y1J) Rabbit mAb (green), β-Actin (8H10D10) Mouse mAb #3700 (red), and DAPI #4083 (blue).
Immunofluorescence Image 1: CLCA1 (E4Y1J) Rabbit Monoclonal Antibody
Orders: 877-616-CELL (2355) [email protected] Support: 877-678-TECH (8324) [email protected] Web: cellsignal.com
For Research Use Only. Not for Use in Diagnostic Procedures.