Revision 1

#77698

Store at -20C

CST Logo
Orders:

877-616-CELL (2355)

[email protected]

Support:

877-678-TECH (8324)

3 Trask Lane | Danvers | Massachusetts | 01923 | USA

For Research Use Only. Not for Use in Diagnostic Procedures.

Applications:
W, IHC-P

Reactivity:
M

Sensitivity:
Endogenous

MW (kDa):
18

Source/Isotype:
Rabbit IgG

UniProt ID:
#P97426

Entrez-Gene Id:
13586

Product Usage Information

This product is the carrier free version of product #99106. All data were generated using the same antibody clone in the standard formulation which contains BSA and glycerol.

This formulation is ideal for use with technologies requiring specialized or custom antibody labeling, including fluorophores, metals, lanthanides, and oligonucleotides. It is not recommended for ChIP, ChIP-seq, CUT&RUN or CUT&Tag assays. If you require a carrier free formulation for chromatin profiling, please contact us. Optimal dilutions/concentrations should be determined by the end user.

BSA and Azide Free antibodies are quality control tested by size exclusion chromatography (SEC) to determine antibody integrity.

Formulation

Supplied in 1X PBS (10 mM Na2HPO4, 3 mM KCl, 2 mM KH2PO4, and 140 mM NaCl (pH 7.8)). BSA and Azide Free.

For standard formulation of this product see product #99106

Storage

Store at -20°C. This product will freeze at -20°C so it is recommended to aliquot into single-use vials to avoid multiple freeze/thaw cycles. A slight precipitate may be present and can be dissolved by gently vortexing. This will not interfere with antibody performance.

Specificity/Sensitivity

Eosinophil cationic protein (F3G7N) Rabbit Monoclonal Antibody (BSA and Azide Free) recognizes endogenous levels of total Eosinophil cationic protein. By overexpression, this antibody cross-reacts with mouse Eosinophil cationic-type ribonuclease 3/Ear3 protein but not Eosinophil cationic protein 2/Ear2, Eosinophil-associated ribonuclease 10/Ear10, or Eosinophil cationic-type ribonuclease 5/Ear5 proteins. This antibody detects bands of unknown origin at 50 and 70 kDa in some cell lines and tissues. Non-specific staining was observed in crypts of mouse stomach and small intestine by immunohistochemistry.

Source / Purification

Monoclonal antibody is produced by immunizing animals with a synthetic peptide corresponding to residues surrounding Pro30 of mouse Eosinophil cationic protein.

Background

Eosinophil cationic protein (ECP, RNASE3) is a member of the ribonuclease superfamily which has both cytotoxic and noncytotoxic properties (1-4). ECP is primarily produced and stored in the secondary granules of eosinophils, where it is involved in host defense against parasites, bacteria, and viruses (1-4). It has also been detected in the primary granules of circulating neutrophils, and can be synthesized by stimulated neutrophils (3,4). ECP is often used as a marker for eosinophilic disease and is measurable in samples such as serum, bronchoalveolar lavage, and nasal secretions (4). A large number of clinical studies are focused on the role of ECP in eosinophil-related disorders, particularly in asthma (5).

Species Reactivity

Species reactivity is determined by testing in at least one approved application (e.g., western blot).

Applications Key

W: Western Blotting IHC-P: Immunohistochemistry (Paraffin)

Cross-Reactivity Key

M: Mouse

Trademarks and Patents

Cell Signaling Technology is a trademark of Cell Signaling Technology, Inc.

All other trademarks are the property of their respective owners. Visit cellsignal.com/trademarks for more information.

Limited Uses

Except as otherwise expressly agreed in a writing signed by a legally authorized representative of CST, the following terms apply to Products provided by CST, its affiliates or its distributors. Any Customer's terms and conditions that are in addition to, or different from, those contained herein, unless separately accepted in writing by a legally authorized representative of CST, are rejected and are of no force or effect.

Products are labeled with For Research Use Only or a similar labeling statement and have not been approved, cleared, or licensed by the FDA or other regulatory foreign or domestic entity, for any purpose. Customer shall not use any Product for any diagnostic or therapeutic purpose, or otherwise in any manner that conflicts with its labeling statement. Products sold or licensed by CST are provided for Customer as the end-user and solely for research and development uses. Any use of Product for diagnostic, prophylactic or therapeutic purposes, or any purchase of Product for resale (alone or as a component) or other commercial purpose, requires a separate license from CST. Customer shall (a) not sell, license, loan, donate or otherwise transfer or make available any Product to any third party, whether alone or in combination with other materials, or use the Products to manufacture any commercial products, (b) not copy, modify, reverse engineer, decompile, disassemble or otherwise attempt to discover the underlying structure or technology of the Products, or use the Products for the purpose of developing any products or services that would compete with CST products or services, (c) not alter or remove from the Products any trademarks, trade names, logos, patent or copyright notices or markings, (d) use the Products solely in accordance with CST Product Terms of Sale and any applicable documentation, and (e) comply with any license, terms of service or similar agreement with respect to any third party products or services used by Customer in connection with the Products.

Orders: 877-616-CELL (2355) [email protected] Support: 877-678-TECH (8324) [email protected] Web: cellsignal.com
For Research Use Only. Not for Use in Diagnostic Procedures.

Revision 1

Cell Signaling Technology Logo
Western blot analysis of extracts from various cell lines and tissues using Eosinophil cationic protein (F3G7N) Rabbit mAb (upper) or GAPDH (D16H11) XP® Rabbit mAb #5174 (lower). Negative expression of Eosinophil cationic protein in Neuro-2a and C2C12 cells and mouse kidney tissue is consistent with the predicted expression pattern. Data were generated using the standard formulation of this product.
Western Blotting Image 1: Eosinophil cationic protein (F3G7N) Rabbit Monoclonal Antibody (BSA and Azide Free)
Western blot analysis of extracts from 293T cells, mock transfected (-) or transfected with constructs expressing Myc/DDK-tagged full-length mouse Eosinophil cationic protein (mEar1-Myc/DDK; +), Myc/DDK-tagged full-length mouse Eosinophil cationic protein 2 (mEar2-Myc/DDK; +), or Myc/DDK-tagged full-length mouse Eosinophil cationic-type ribonuclease 3 (mEar3-Myc/DDK; +), using Eosinophil cationic protein (F3G7N) Rabbit mAb (upper), Myc-Tag (71D10) Rabbit mAb #2278 (middle), or GAPDH (D16H11) XP® Rabbit mAb #5174 (lower). Data were generated using the standard formulation of this product.
Western Blotting Image 2: Eosinophil cationic protein (F3G7N) Rabbit Monoclonal Antibody (BSA and Azide Free)
Immunohistochemical analysis of paraffin-embedded A20 syngeneic tumor using Eosinophil cationic protein (F3G7N) Rabbit mAb. Data were generated using the standard formulation of this product.
Immunohistochemistry Image 1: Eosinophil cationic protein (F3G7N) Rabbit Monoclonal Antibody (BSA and Azide Free)
Orders: 877-616-CELL (2355) [email protected] Support: 877-678-TECH (8324) [email protected] Web: cellsignal.com
For Research Use Only. Not for Use in Diagnostic Procedures.

Revision 1

Cell Signaling Technology Logo
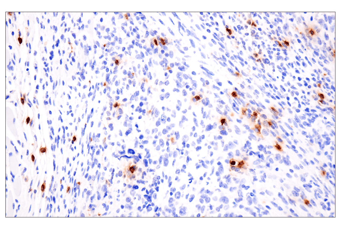
Immunohistochemical analysis of paraffin-embedded GL261 syngeneic tumor using Eosinophil cationic protein (F3G7N) Rabbit mAb. Data were generated using the standard formulation of this product.
Immunohistochemistry Image 2: Eosinophil cationic protein (F3G7N) Rabbit Monoclonal Antibody (BSA and Azide Free)
Immunohistochemical analysis of paraffin-embedded MC-38 syngeneic tumor using Eosinophil cationic protein (F3G7N) Rabbit mAb. Data were generated using the standard formulation of this product.
Immunohistochemistry Image 3: Eosinophil cationic protein (F3G7N) Rabbit Monoclonal Antibody (BSA and Azide Free)
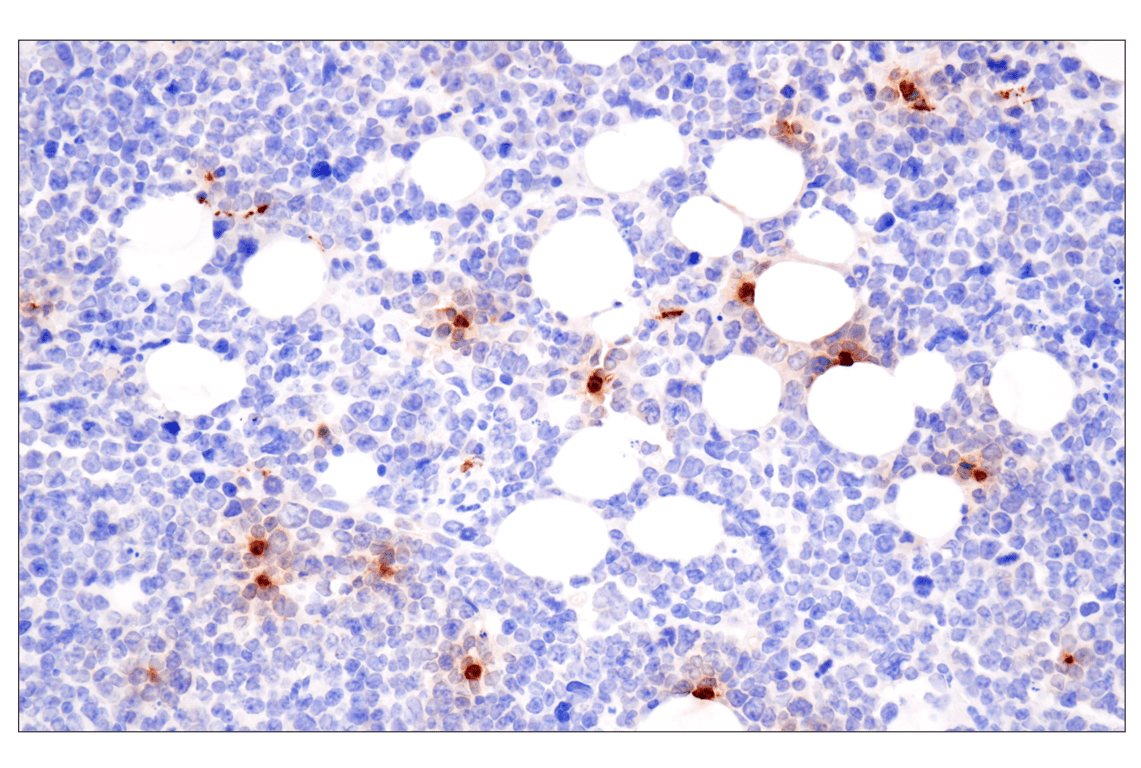
Immunohistochemical analysis of paraffin-embedded mouse lymph node using Eosinophil cationic protein (F3G7N) Rabbit mAb. Data were generated using the standard formulation of this product.
Immunohistochemistry Image 4: Eosinophil cationic protein (F3G7N) Rabbit Monoclonal Antibody (BSA and Azide Free)
Orders: 877-616-CELL (2355) [email protected] Support: 877-678-TECH (8324) [email protected] Web: cellsignal.com
For Research Use Only. Not for Use in Diagnostic Procedures.

Revision 1

Cell Signaling Technology Logo
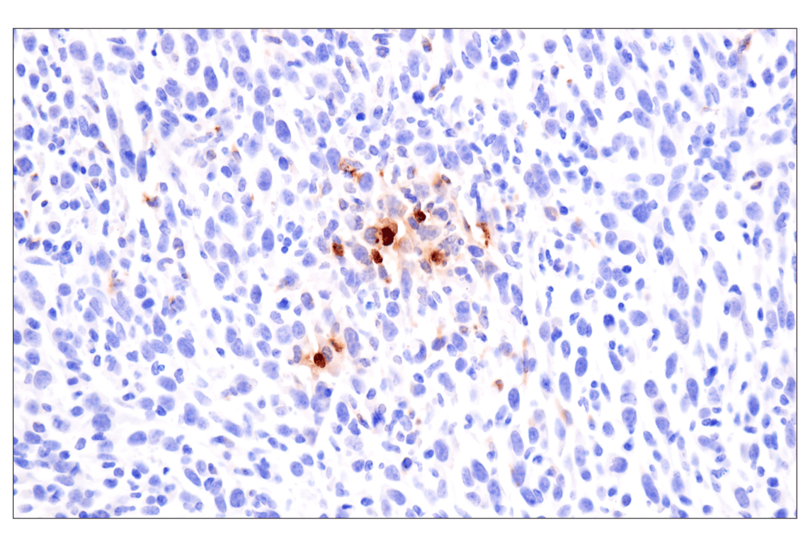
Immunohistochemical analysis of paraffin-embedded mouse thymus using Eosinophil cationic protein (F3G7N) Rabbit mAb. Data were generated using the standard formulation of this product.
Immunohistochemistry Image 5: Eosinophil cationic protein (F3G7N) Rabbit Monoclonal Antibody (BSA and Azide Free)
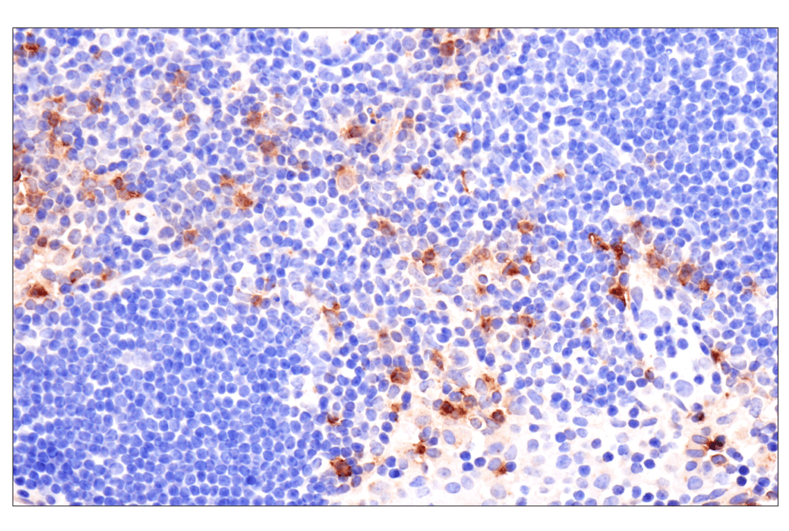
Immunohistochemical analysis of paraffin-embedded mouse lung using Eosinophil cationic protein (F3G7N) Rabbit mAb. Data were generated using the standard formulation of this product.
Immunohistochemistry Image 6: Eosinophil cationic protein (F3G7N) Rabbit Monoclonal Antibody (BSA and Azide Free)
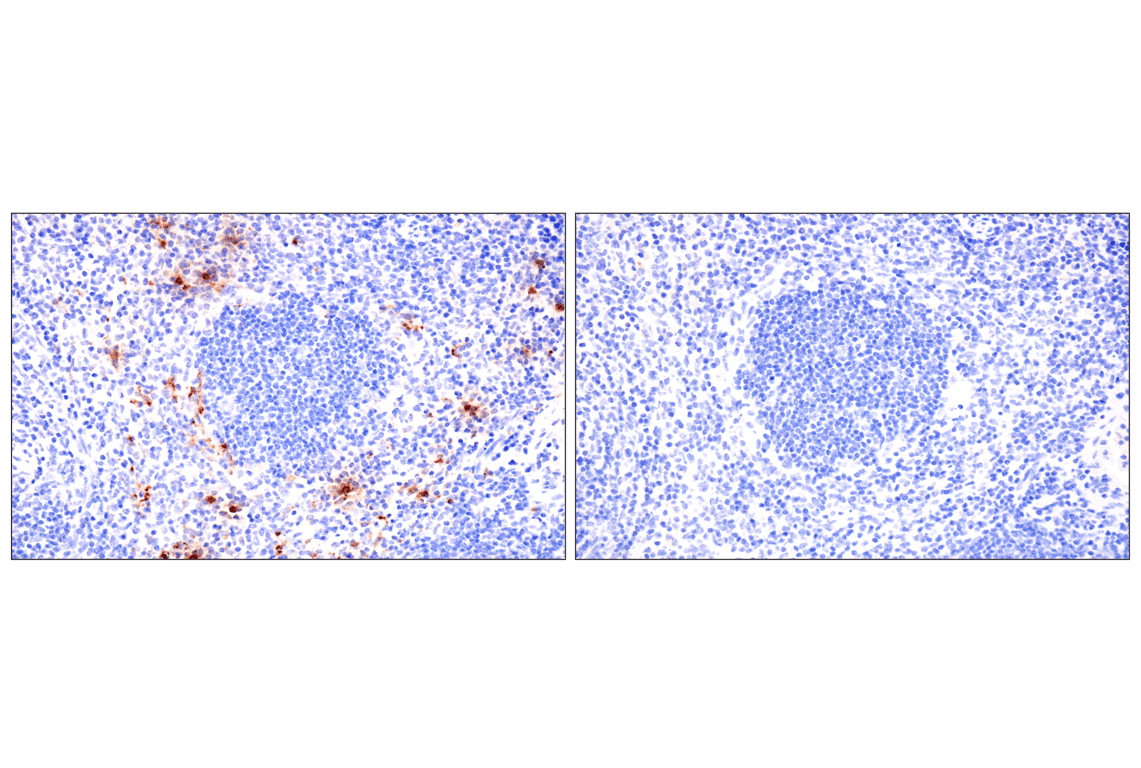
Immunohistochemical analysis of paraffin-embedded mouse spleen using Eosinophil cationic protein (F3G7N) Rabbit mAb (left) compared to concentration-matched Rabbit (DA1E) mAb IgG XP® Isotype Control #3900 (right). Data were generated using the standard formulation of this product.
Immunohistochemistry Image 7: Eosinophil cationic protein (F3G7N) Rabbit Monoclonal Antibody (BSA and Azide Free)
Orders: 877-616-CELL (2355) [email protected] Support: 877-678-TECH (8324) [email protected] Web: cellsignal.com
For Research Use Only. Not for Use in Diagnostic Procedures.

Revision 1

Cell Signaling Technology Logo
Immunohistochemical analysis of paraffin-embedded mouse bone marrow cell pellet (left, positive) or C2C12 cell pellet (right, negative) using Eosinophil cationic protein (F3G7N) Rabbit mAb. Data were generated using the standard formulation of this product.
Immunohistochemistry Image 8: Eosinophil cationic protein (F3G7N) Rabbit Monoclonal Antibody (BSA and Azide Free)
Orders: 877-616-CELL (2355) [email protected] Support: 877-678-TECH (8324) [email protected] Web: cellsignal.com
For Research Use Only. Not for Use in Diagnostic Procedures.