Revision 3

#78129

Store at -20C

CST Logo
Orders:

877-616-CELL (2355)

[email protected]

Support:

877-678-TECH (8324)

3 Trask Lane | Danvers | Massachusetts | 01923 | USA

For Research Use Only. Not for Use in Diagnostic Procedures.

Applications:
W

Reactivity:
H M R

Sensitivity:
Endogenous

MW (kDa):
50-80

Source/Isotype:
Rabbit

UniProt ID:
#P10636-2, #P10636-5, #P10636-4

Entrez-Gene Id:
4137

Product Usage Information

Application Dilution
Western Blotting 1:1000

Storage

Supplied in 10 mM sodium HEPES (pH 7.5), 150 mM NaCl, 100 µg/ml BSA and 50% glycerol. Store at –20°C. Do not aliquot the antibody.

Specificity/Sensitivity

Tau 3R Antibody recognizes endogenous levels of isoforms 2, 4, and 5 of human tau protein.

Source / Purification

Polyclonal antibodies are produced by immunizing animals with a synthetic peptide corresponding to residues surrounding His210 of isoform 2 of human tau protein. Antibodies are purified by protein A and peptide affinity chromatography.

Background

Tau is a heterogeneous microtubule-associated protein that promotes and stabilizes microtubule assembly, especially in axons. Six isoforms with different amino-terminal inserts and different numbers of tandem repeats near the carboxy terminus have been identified, and tau is hyperphosphorylated at approximately 25 sites by Erk, glycogen synthase kinase-3 (GSK-3), and CDK5 (1,2). Phosphorylation decreases the ability of tau to bind to microtubules. Neurofibrillary tangles are a major hallmark of Alzheimer's disease (AD); these tangles are bundles of paired helical filaments (PHFs) composed of hyperphosphorylated tau. In particular, phosphorylation at Ser396 by GSK-3 or CDK5 destabilizes microtubules. Furthermore, research studies have shown that inclusions of tau are found in a number of other neurodegenerative diseases, collectively known as tauopathies (1,3).

Alternative splicing of exon 10 results in the expression of two groups of Tau-repeat proteins, the three-repeat tau that expresses microtubule binding domains of isoforms 2, 4, and 5 (Tau 3R), and the four-repeat tau that expresses microtubule-binding domains of isoforms 6, 7, and 8 (Tau 4R) (4). Tau 3R is more abundant in the fetal and postnatal brain compared to Tau 4R, and expresses equal levels compared to Tau 4R (5,6). Tau 3R and 4R are found in aggregates and NFT in Alzheimer's disease brains, whereas other tauopathies selectively express Tau 4R, including in Cortico-Basal Degeneration (CBD) and Progressive Supranuclear Palsy (PSP) (4,7). Tau 3R contributes to the aggregation and NFT formation in tauopathies, including Pick's disease, that develops tau pathology (8,9). A similar pattern occurs in a tauopathy called Frontotemporal Dementia, where Tau 3R and 4R contribute to the pathology, where Tau 3R is slightly elevated compared to Tau 4R (10).

Species Reactivity

Species reactivity is determined by testing in at least one approved application (e.g., western blot).

Western Blot Buffer

IMPORTANT: For western blots, incubate membrane with diluted primary antibody in 5% w/v BSA, 1X TBS, 0.1% Tween® 20 at 4°C with gentle shaking, overnight.

Applications Key

W: Western Blotting

Cross-Reactivity Key

H: Human M: Mouse R: Rat

Trademarks and Patents

Cell Signaling Technology is a trademark of Cell Signaling Technology, Inc.

All other trademarks are the property of their respective owners. Visit cellsignal.com/trademarks for more information.

Limited Uses

Except as otherwise expressly agreed in a writing signed by a legally authorized representative of CST, the following terms apply to Products provided by CST, its affiliates or its distributors. Any Customer's terms and conditions that are in addition to, or different from, those contained herein, unless separately accepted in writing by a legally authorized representative of CST, are rejected and are of no force or effect.

Products are labeled with For Research Use Only or a similar labeling statement and have not been approved, cleared, or licensed by the FDA or other regulatory foreign or domestic entity, for any purpose. Customer shall not use any Product for any diagnostic or therapeutic purpose, or otherwise in any manner that conflicts with its labeling statement. Products sold or licensed by CST are provided for Customer as the end-user and solely for research and development uses. Any use of Product for diagnostic, prophylactic or therapeutic purposes, or any purchase of Product for resale (alone or as a component) or other commercial purpose, requires a separate license from CST. Customer shall (a) not sell, license, loan, donate or otherwise transfer or make available any Product to any third party, whether alone or in combination with other materials, or use the Products to manufacture any commercial products, (b) not copy, modify, reverse engineer, decompile, disassemble or otherwise attempt to discover the underlying structure or technology of the Products, or use the Products for the purpose of developing any products or services that would compete with CST products or services, (c) not alter or remove from the Products any trademarks, trade names, logos, patent or copyright notices or markings, (d) use the Products solely in accordance with CST Product Terms of Sale and any applicable documentation, and (e) comply with any license, terms of service or similar agreement with respect to any third party products or services used by Customer in connection with the Products.

Orders: 877-616-CELL (2355) [email protected] Support: 877-678-TECH (8324) [email protected] Web: cellsignal.com
For Research Use Only. Not for Use in Diagnostic Procedures.

Revision 3

Cell Signaling Technology Logo
Western blot analysis of extracts from various mouse, human, and rat tissues using Tau 3R Antibody (upper) or β-actin (D6A8) Rabbit mAb #8457 (lower).
Western Blotting Image 1: Tau 3R Antibody
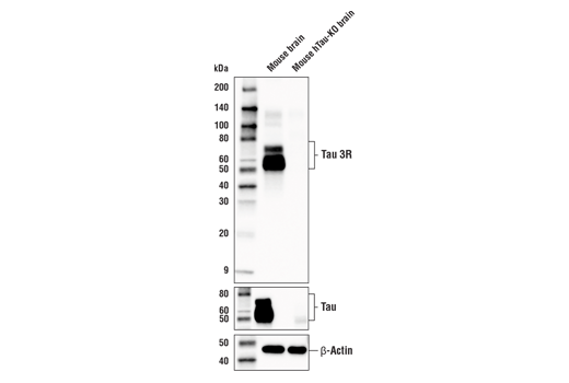
Western blot analysis of extracts from mouse brain and mouse hTau-KO brain using Tau 3R Antibody (upper), Tau (D1M9X) XP® Rabbit mAb #46687 (middle), and β-actin (D6A8) Rabbit mAb #8457 (lower). Mouse hTau-KO brains were kindly provided by Dr. Dominic Walsh at Brigham and Women's Hospital and Harvard Medical School.
Western Blotting Image 2: Tau 3R Antibody
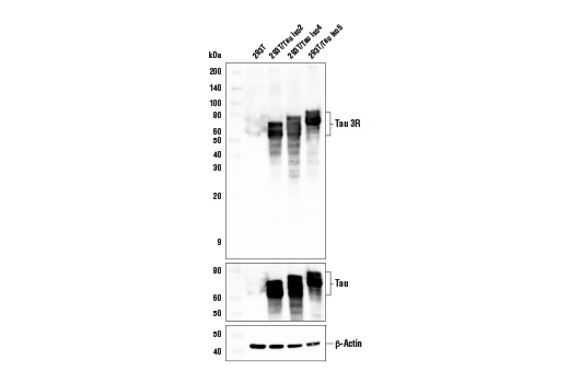
Western blot analysis of extracts from 293T cells, untransfected (-) or transfected with Tau isoforms 2, 4, 5 (+), using Tau 3R Antibody (upper), Tau (D1M9X) XP®Rabbit mAb #46687 (middle), and β-actin (D6A8) Rabbit mAb #8457 (lower) .
Western Blotting Image 3: Tau 3R Antibody
Orders: 877-616-CELL (2355) [email protected] Support: 877-678-TECH (8324) [email protected] Web: cellsignal.com
For Research Use Only. Not for Use in Diagnostic Procedures.

Revision 3

Cell Signaling Technology Logo
Western blot analysis of extracts from 293T cells, untransfected (-) or transfected with Tau isoforms 2, 4, and 5 (+), isoforms 6, 7, and 8 (-) using Tau 3R Antibody (upper), and β-actin (D6A8) Rabbit mAb #8457 (lower) .
Western Blotting Image 4: Tau 3R Antibody
Orders: 877-616-CELL (2355) [email protected] Support: 877-678-TECH (8324) [email protected] Web: cellsignal.com
For Research Use Only. Not for Use in Diagnostic Procedures.