Revision 4

#78245

Store at -20C

CST Logo
Orders:

877-616-CELL (2355)

[email protected]

Support:

877-678-TECH (8324)

3 Trask Lane | Danvers | Massachusetts | 01923 | USA

For Research Use Only. Not for Use in Diagnostic Procedures.

Applications:
W, IP, IHC-P

Reactivity:
H

Sensitivity:
Endogenous

MW (kDa):
85

Source/Isotype:
Rabbit IgG

UniProt ID:
#Q99081

Entrez-Gene Id:
6938

Product Usage Information

Application Dilution
Western Blotting 1:1000
Immunoprecipitation 1:50
Immunohistochemistry (Paraffin) 1:200 - 1:800

Storage

Supplied in 10 mM sodium HEPES (pH 7.5), 150 mM NaCl, 100 µg/mL BSA, 50% glycerol, and less than 0.02% sodium azide. Store at –20°C. Do not aliquot the antibody.

For a carrier free (BSA and azide free) version of this product see product #95938.

Specificity/Sensitivity

TCF12/HEB (E5R8X) Rabbit Monoclonal Antibody recognizes endogenous levels of total TCF12/HEB protein. Non-specific staining was observed in smooth and skeletal muscle by immunohistochemistry.

Source / Purification

Monoclonal antibody is produced by immunizing animals with recombinant protein corresponding to residues surrounding Asn450 of human TCF12/HEB protein.

Background

TCF12/HEB (T cell factor 12/HeLa E-box binding protein) is a member of the E proteins that are type I basic helix-loop-helix domain-containing transcription factors that bind directly to the E-box DNA consensus sequence and control numerous developmental processes (1,2). E protein family members include E2A, E2-2, and TCF12/HEB. TCF12/HEB forms homo- or heterodimers with other E proteins to regulate transcription of target genes that play a critical role in the development of T cells, B cells, and plasmacytoid dendritic cells (2-4). The TCF12/HEB gene has two transcriptional start sites leading to the generation of the long form called HEBCan, and the short form, HEBAlt (5). The two isoforms are thought to have distinct functions, with HEBCan playing a role throughout T cell development, while HEBAlt functions in the efficient generation of T cell precursors (5).

Species Reactivity

Species reactivity is determined by testing in at least one approved application (e.g., western blot).

Western Blot Buffer

IMPORTANT: For western blots, incubate membrane with diluted primary antibody in 5% w/v BSA, 1X TBS, 0.1% Tween® 20 at 4°C with gentle shaking, overnight.

Applications Key

W: Western Blotting IP: Immunoprecipitation IHC-P: Immunohistochemistry (Paraffin)

Cross-Reactivity Key

H: Human

Trademarks and Patents

Cell Signaling Technology is a trademark of Cell Signaling Technology, Inc.

All other trademarks are the property of their respective owners. Visit cellsignal.com/trademarks for more information.

Limited Uses

Except as otherwise expressly agreed in a writing signed by a legally authorized representative of CST, the following terms apply to Products provided by CST, its affiliates or its distributors. Any Customer's terms and conditions that are in addition to, or different from, those contained herein, unless separately accepted in writing by a legally authorized representative of CST, are rejected and are of no force or effect.

Products are labeled with For Research Use Only or a similar labeling statement and have not been approved, cleared, or licensed by the FDA or other regulatory foreign or domestic entity, for any purpose. Customer shall not use any Product for any diagnostic or therapeutic purpose, or otherwise in any manner that conflicts with its labeling statement. Products sold or licensed by CST are provided for Customer as the end-user and solely for research and development uses. Any use of Product for diagnostic, prophylactic or therapeutic purposes, or any purchase of Product for resale (alone or as a component) or other commercial purpose, requires a separate license from CST. Customer shall (a) not sell, license, loan, donate or otherwise transfer or make available any Product to any third party, whether alone or in combination with other materials, or use the Products to manufacture any commercial products, (b) not copy, modify, reverse engineer, decompile, disassemble or otherwise attempt to discover the underlying structure or technology of the Products, or use the Products for the purpose of developing any products or services that would compete with CST products or services, (c) not alter or remove from the Products any trademarks, trade names, logos, patent or copyright notices or markings, (d) use the Products solely in accordance with CST Product Terms of Sale and any applicable documentation, and (e) comply with any license, terms of service or similar agreement with respect to any third party products or services used by Customer in connection with the Products.

Orders: 877-616-CELL (2355) [email protected] Support: 877-678-TECH (8324) [email protected] Web: cellsignal.com
For Research Use Only. Not for Use in Diagnostic Procedures.

Revision 4

Cell Signaling Technology Logo
Western blot analysis of extracts from various cell lines using TCF12/HEB (E5R8X) Rabbit mAb (upper) or GAPDH (D16H11) XP® Rabbit mAb #5174 (lower). Negative expression of TCF12/HEB protein in MDA-MB-468 cells is consistent with the predicted expression pattern.
Western Blotting Image 1: TCF12/HEB (E5R8X) Rabbit Monoclonal Antibody
Immunoprecipitation of TCF12/HEB protein from Jurkat cell extracts. Lane 1 is 10% input, lane 2 is Rabbit (DA1E) mAb IgG XP® Isotype Control #3900, and lane 3 is TCF12/HEB (E5R8X) Rabbit mAb. Western blot analysis was performed using TCF12/HEB (E5R8X) Rabbit mAb. Mouse Anti-Rabbit IgG (Light-Chain Specific) (D4W3E) mAb (HRP Conjugate) #93702 was used as a secondary antibody.
Immunoprecipitation Image 1: TCF12/HEB (E5R8X) Rabbit Monoclonal Antibody

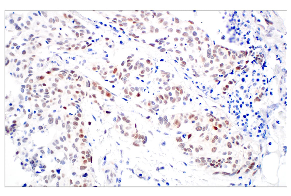
Immunohistochemical analysis of paraffin-embedded human esophageal carcinoma using TCF12/HEB (E5R8X) Rabbit mAb.

Immunohistochemistry Image 1: TCF12/HEB (E5R8X) Rabbit Monoclonal Antibody
Orders: 877-616-CELL (2355) [email protected] Support: 877-678-TECH (8324) [email protected] Web: cellsignal.com
For Research Use Only. Not for Use in Diagnostic Procedures.

Revision 4

Cell Signaling Technology Logo
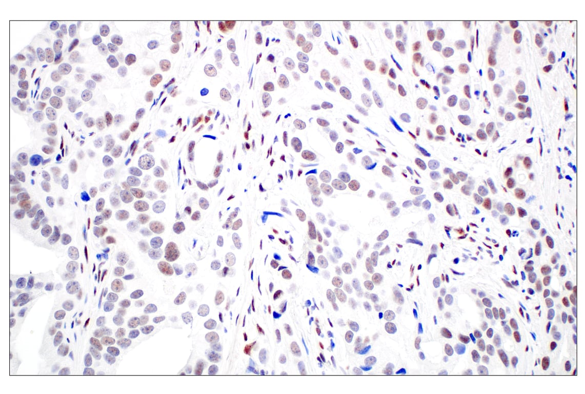
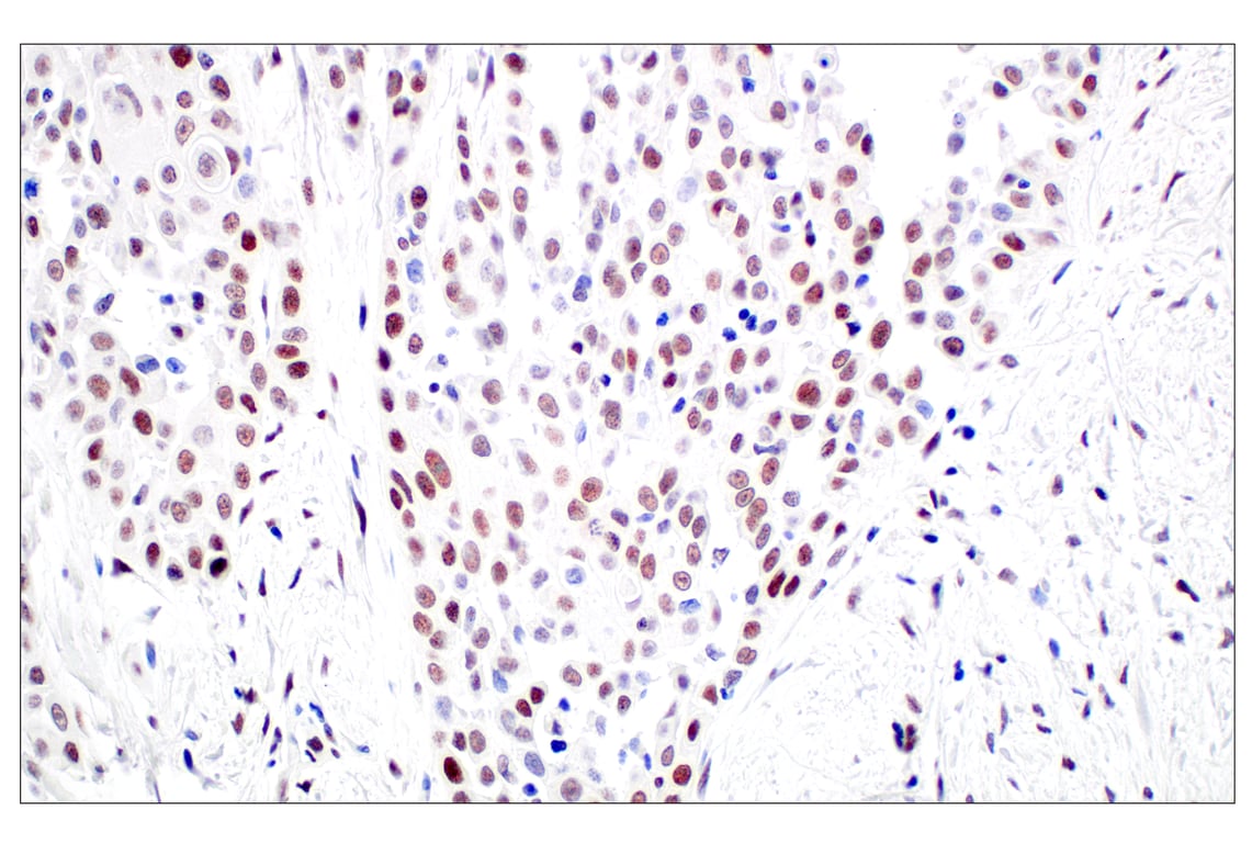
Immunohistochemical analysis of paraffin-embedded human squamous cell carcinoma of the skin using TCF12/HEB (E5R8X) Rabbit mAb.
Immunohistochemistry Image 2: TCF12/HEB (E5R8X) Rabbit Monoclonal Antibody

Immunohistochemical analysis of paraffin-embedded human colon adenocarcinoma using TCF12/HEB (E5R8X) Rabbit mAb.

Immunohistochemistry Image 3: TCF12/HEB (E5R8X) Rabbit Monoclonal Antibody
Immunohistochemical analysis of paraffin-embedded human prostate adenocarcinoma using TCF12/HEB (E5R8X) Rabbit mAb.
Immunohistochemistry Image 4: TCF12/HEB (E5R8X) Rabbit Monoclonal Antibody
Orders: 877-616-CELL (2355) [email protected] Support: 877-678-TECH (8324) [email protected] Web: cellsignal.com
For Research Use Only. Not for Use in Diagnostic Procedures.

Revision 4

Cell Signaling Technology Logo
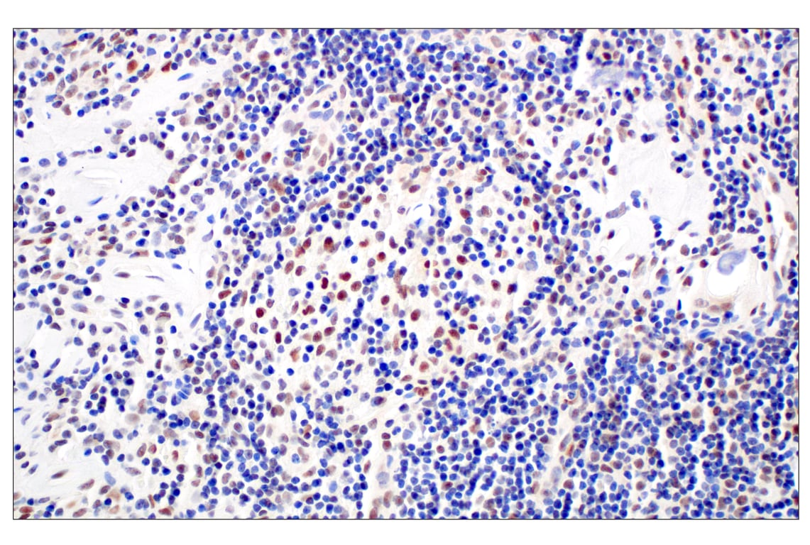
Immunohistochemical analysis of paraffin-embedded normal human lymph node using TCF12/HEB (E5R8X) Rabbit mAb.
Immunohistochemistry Image 5: TCF12/HEB (E5R8X) Rabbit Monoclonal Antibody

Immunohistochemical analysis of paraffin-embedded normal human placenta using TCF12/HEB (E5R8X) Rabbit mAb.

Immunohistochemistry Image 6: TCF12/HEB (E5R8X) Rabbit Monoclonal Antibody
Immunohistochemical analysis of paraffin-embedded normal human esophagus using TCF12/HEB (E5R8X) Rabbit mAb (left) compared to concentration-matched Rabbit (DA1E) mAb IgG XP® Isotype Control #3900 (right).
Immunohistochemistry Image 7: TCF12/HEB (E5R8X) Rabbit Monoclonal Antibody
Orders: 877-616-CELL (2355) [email protected] Support: 877-678-TECH (8324) [email protected] Web: cellsignal.com
For Research Use Only. Not for Use in Diagnostic Procedures.

Revision 4

Cell Signaling Technology Logo
Immunohistochemical analysis of paraffin-embedded IMR-32 cell pellet (left, positive) or MDA-MB-468 cell pellet (right, negative) using TCF12/HEB (E5R8X) Rabbit mAb.
Immunohistochemistry Image 8: TCF12/HEB (E5R8X) Rabbit Monoclonal Antibody
Orders: 877-616-CELL (2355) [email protected] Support: 877-678-TECH (8324) [email protected] Web: cellsignal.com
For Research Use Only. Not for Use in Diagnostic Procedures.