Revision 6

#79148

Store at +4C

CST Logo
Orders:

877-616-CELL (2355)

[email protected]

Support:

877-678-TECH (8324)

3 Trask Lane | Danvers | Massachusetts | 01923 | USA

For Research Use Only. Not for Use in Diagnostic Procedures.

Applications:
IHC-Bond, IHC-P

Reactivity:
H

Sensitivity:
Endogenous

Source/Isotype:
Mouse IgG2a

UniProt ID:
#O75496

Entrez-Gene Id:
51053

Product Usage Information

Application Dilution
IHC Leica Bond 1:50 - 1:200
Immunohistochemistry (Paraffin) 1:50

Storage

Supplied as liquid tissue culture supernatant containing sodium azide as a preservative. Stable for 6 months when stored at 4°C. Do not aliquot the antibody.

Note: This product is only available in the format listed above. We are unable to provide this in a carrier free, custom formulation.

Specificity/Sensitivity

Geminin (EM6) Mouse Monoclonal Antibody recognizes endogenous levels of geminin protein.

Source / Purification

Monoclonal antibody is produced by immunizing animals with a prokaryotic recombinant protein containing amino acids 5–209 of the mature protein.

Background

The initiation of DNA replication in mammalian cells is a highly coordinated process that ensures duplication of the genome only once per cell division cycle. Origins of replication are dispersed throughout the genome and their activities are regulated via the sequential binding of pre-replication and replication factors. The origin recognition complex (ORC) is thought to be bound to chromatin throughout the cell cycle (1,2). The pre-replication complex (pre-RC) forms in late mitosis/early G1 phase beginning with the binding of CDT1 and cdc6 to the origin, which allows binding of the heterohexameric MCM2-7 complex. Once this complex is formed, the origin is “licensed” for initiation of DNA replication. In order to ensure that replication occurs only once per cell cycle, geminin binds to and inhibits CDT1 during the S, G2, and M phases. This prevents the recruitment of the MCM complex to the origins of replication, which blocks the premature reformation of the pre-RC. At the metaphase/anaphase transition, geminin is degraded by the anaphase-promoting complex (APC) allowing for the formation of a new pre-RC (3,4).

Species Reactivity

Species reactivity is determined by testing in at least one approved application (e.g., western blot).

Applications Key

IHC-Bond: IHC Leica Bond IHC-P: Immunohistochemistry (Paraffin)

Cross-Reactivity Key

H: Human

Trademarks and Patents

Cell Signaling Technology is a trademark of Cell Signaling Technology, Inc.

SignalStain is a registered trademark of Cell Signaling Technology, Inc.

All other trademarks are the property of their respective owners. Visit cellsignal.com/trademarks for more information.

Limited Uses

Except as otherwise expressly agreed in a writing signed by a legally authorized representative of CST, the following terms apply to Products provided by CST, its affiliates or its distributors. Any Customer's terms and conditions that are in addition to, or different from, those contained herein, unless separately accepted in writing by a legally authorized representative of CST, are rejected and are of no force or effect.

Products are labeled with For Research Use Only or a similar labeling statement and have not been approved, cleared, or licensed by the FDA or other regulatory foreign or domestic entity, for any purpose. Customer shall not use any Product for any diagnostic or therapeutic purpose, or otherwise in any manner that conflicts with its labeling statement. Products sold or licensed by CST are provided for Customer as the end-user and solely for research and development uses. Any use of Product for diagnostic, prophylactic or therapeutic purposes, or any purchase of Product for resale (alone or as a component) or other commercial purpose, requires a separate license from CST. Customer shall (a) not sell, license, loan, donate or otherwise transfer or make available any Product to any third party, whether alone or in combination with other materials, or use the Products to manufacture any commercial products, (b) not copy, modify, reverse engineer, decompile, disassemble or otherwise attempt to discover the underlying structure or technology of the Products, or use the Products for the purpose of developing any products or services that would compete with CST products or services, (c) not alter or remove from the Products any trademarks, trade names, logos, patent or copyright notices or markings, (d) use the Products solely in accordance with CST Product Terms of Sale and any applicable documentation, and (e) comply with any license, terms of service or similar agreement with respect to any third party products or services used by Customer in connection with the Products.

Orders: 877-616-CELL (2355) [email protected] Support: 877-678-TECH (8324) [email protected] Web: cellsignal.com
For Research Use Only. Not for Use in Diagnostic Procedures.

Revision 6

Cell Signaling Technology Logo
Immunohistochemical analysis of paraffin-embedded human colon carcinoma using Geminin (EM6) Mouse mAb performed on the Leica® BOND™ Rx.
Immunohistochemistry Image 1: Geminin (EM6) Mouse Monoclonal Antibody
Immunohistochemical analysis of paraffin-embedded human small cell carcinoma of the salivary gland using Geminin (EM6) Mouse mAb performed on the Leica® BOND™ Rx.
Immunohistochemistry Image 2: Geminin (EM6) Mouse Monoclonal Antibody
Immunohistochemical analysis of paraffin-embedded human endometrioid adenocarcinoma using Geminin (EM6) Mouse mAb performed on the Leica® BOND™ Rx.
Immunohistochemistry Image 3: Geminin (EM6) Mouse Monoclonal Antibody
Orders: 877-616-CELL (2355) [email protected] Support: 877-678-TECH (8324) [email protected] Web: cellsignal.com
For Research Use Only. Not for Use in Diagnostic Procedures.

Revision 6

Cell Signaling Technology Logo
Immunohistochemical analysis of paraffin-embedded human breast carcinoma using Geminin (EM6) Mouse mAb performed on the Leica® BOND™ Rx.
Immunohistochemistry Image 4: Geminin (EM6) Mouse Monoclonal Antibody
Immunohistochemical analysis of paraffin-embedded human neuroendocrine lung carcinoma using Geminin (EM6) Mouse mAb.
Immunohistochemistry Image 1: Geminin (EM6) Mouse Monoclonal Antibody
Immunohistochemical analysis of paraffin-embedded human B-cell non-Hodgkin lymphoma using Geminin (EM6) Mouse mAb.
Immunohistochemistry Image 2: Geminin (EM6) Mouse Monoclonal Antibody
Orders: 877-616-CELL (2355) [email protected] Support: 877-678-TECH (8324) [email protected] Web: cellsignal.com
For Research Use Only. Not for Use in Diagnostic Procedures.

Revision 6

Cell Signaling Technology Logo
Immunohistochemical analysis of paraffin-embedded human ovarian serous carcinoma using Geminin (EM6) Mouse mAb.
Immunohistochemistry Image 3: Geminin (EM6) Mouse Monoclonal Antibody
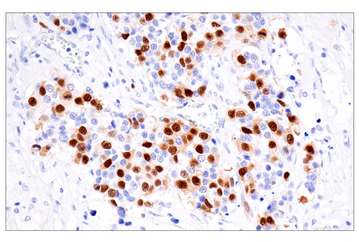
Immunohistochemical analysis of paraffin-embedded human prostate carcinoma using Geminin (EM6) Mouse mAb.
Immunohistochemistry Image 4: Geminin (EM6) Mouse Monoclonal Antibody
Immunohistochemical analysis of paraffin-embedded human appendix using Geminin (EM6) Mouse mAb.
Immunohistochemistry Image 5: Geminin (EM6) Mouse Monoclonal Antibody
Orders: 877-616-CELL (2355) [email protected] Support: 877-678-TECH (8324) [email protected] Web: cellsignal.com
For Research Use Only. Not for Use in Diagnostic Procedures.

Revision 6

Cell Signaling Technology Logo
Immunohistochemical analysis of paraffin-embedded normal human placenta using Geminin (EM6) Mouse mAb.
Immunohistochemistry Image 6: Geminin (EM6) Mouse Monoclonal Antibody
Immunohistochemical analysis of paraffin-embedded normal human thymus using Geminin (EM6) Mouse mAb.
Immunohistochemistry Image 7: Geminin (EM6) Mouse Monoclonal Antibody
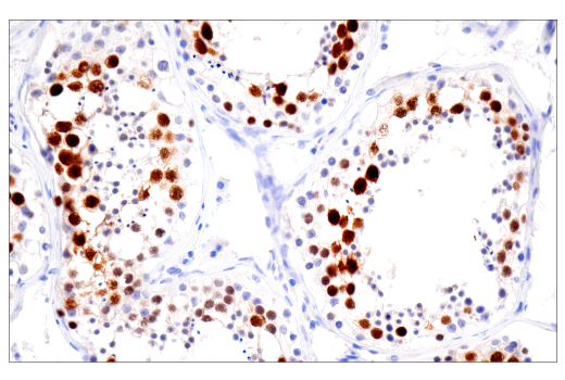
Immunohistochemical analysis of paraffin-embedded normal human testis using Geminin (EM6) Mouse mAb.
Immunohistochemistry Image 8: Geminin (EM6) Mouse Monoclonal Antibody
Orders: 877-616-CELL (2355) [email protected] Support: 877-678-TECH (8324) [email protected] Web: cellsignal.com
For Research Use Only. Not for Use in Diagnostic Procedures.

Revision 6

Cell Signaling Technology Logo
Immunohistochemical analysis of paraffin-embedded human tonsil using Geminin (EM6) Mouse mAb (left) compared to concentration-matched Mouse (E5Y6Q) mAb IgG2a Isotype Control #61656 (right). 
Immunohistochemistry Image 9: Geminin (EM6) Mouse Monoclonal Antibody
Immunohistochemical analysis of paraffin-embedded 293T cell pellet (left, high-expressing) or SK-MEL-28 cell pellet (right, low-expressing) using Geminin (EM6) Mouse mAb.
Immunohistochemistry Image 10: Geminin (EM6) Mouse Monoclonal Antibody
Orders: 877-616-CELL (2355) [email protected] Support: 877-678-TECH (8324) [email protected] Web: cellsignal.com
For Research Use Only. Not for Use in Diagnostic Procedures.