Revision 6

#80561

Store at -20C

CST Logo
Orders:

877-616-CELL (2355)

[email protected]

Support:

877-678-TECH (8324)

3 Trask Lane | Danvers | Massachusetts | 01923 | USA

For Research Use Only. Not for Use in Diagnostic Procedures.

Applications:
W, IP, IHC-P, IF-F

Reactivity:
H M R

Sensitivity:
Endogenous

MW (kDa):
12

Source/Isotype:
Rabbit IgG

UniProt ID:
#P32848

Entrez-Gene Id:
19293

Product Usage Information

Application Dilution
Western Blotting 1:1000
Immunoprecipitation 1:50
Immunohistochemistry (Paraffin) 1:50 - 1:200
Immunofluorescence (Frozen) 1:1600

Storage

Supplied in 10 mM sodium HEPES (pH 7.5), 150 mM NaCl, 100 µg/ml BSA, 50% glycerol and less than 0.02% sodium azide. Store at –20°C. Do not aliquot the antibody.

For a carrier free (BSA and azide free) version of this product see product #51358.

Specificity/Sensitivity

Parvalbumin (E8N2U) Rabbit Monoclonal Antibody recognizes endogenous levels of total parvalbumin protein. In mouse models, this antibody nonspecifically labels muscle in small intestine and juxtaglomerular cells in kidney by immunofluorescence.

Source / Purification

Monoclonal antibody is produced by immunizing animals with recombinant protein specific to the amino terminus of human parvalbumin protein.

Background

Parvalbumin (PV, PVALB) is a member of the EF-hand family of calcium-binding proteins, containing EF-hand domains with a high affinity for calcium and magnesium (1). Parvalbumin is expressed in both the soma and in processes of specific subclasses of GABAergic interneurons. Parvalbumin is a slow calcium buffer, meaning it accelerates the initial phase of decay of calcium after an action potential, which likely inhibits facilitation and is thought to regulate short-term synaptic plasticity (2,3). Altered function of PV positive interneurons has been implicated in many neurological diseases, such as Alzheimer’s disease, autism spectrum disorder, schizophrenia, and bipolar disorder (4).

Species Reactivity

Species reactivity is determined by testing in at least one approved application (e.g., western blot).

Western Blot Buffer

IMPORTANT: For western blots, incubate membrane with diluted primary antibody in 5% w/v BSA, 1X TBS, 0.1% Tween® 20 at 4°C with gentle shaking, overnight.

Applications Key

W: Western Blotting IP: Immunoprecipitation IHC-P: Immunohistochemistry (Paraffin) IF-F: Immunofluorescence (Frozen)

Cross-Reactivity Key

H: Human M: Mouse R: Rat

Trademarks and Patents

Cell Signaling Technology is a trademark of Cell Signaling Technology, Inc.

Alexa Fluor is a registered trademark of Life Technologies Corporation.

U.S. Patent No. 7,429,487, foreign equivalents, and child patents deriving therefrom.

All other trademarks are the property of their respective owners. Visit cellsignal.com/trademarks for more information.

Limited Uses

Except as otherwise expressly agreed in a writing signed by a legally authorized representative of CST, the following terms apply to Products provided by CST, its affiliates or its distributors. Any Customer's terms and conditions that are in addition to, or different from, those contained herein, unless separately accepted in writing by a legally authorized representative of CST, are rejected and are of no force or effect.

Products are labeled with For Research Use Only or a similar labeling statement and have not been approved, cleared, or licensed by the FDA or other regulatory foreign or domestic entity, for any purpose. Customer shall not use any Product for any diagnostic or therapeutic purpose, or otherwise in any manner that conflicts with its labeling statement. Products sold or licensed by CST are provided for Customer as the end-user and solely for research and development uses. Any use of Product for diagnostic, prophylactic or therapeutic purposes, or any purchase of Product for resale (alone or as a component) or other commercial purpose, requires a separate license from CST. Customer shall (a) not sell, license, loan, donate or otherwise transfer or make available any Product to any third party, whether alone or in combination with other materials, or use the Products to manufacture any commercial products, (b) not copy, modify, reverse engineer, decompile, disassemble or otherwise attempt to discover the underlying structure or technology of the Products, or use the Products for the purpose of developing any products or services that would compete with CST products or services, (c) not alter or remove from the Products any trademarks, trade names, logos, patent or copyright notices or markings, (d) use the Products solely in accordance with CST Product Terms of Sale and any applicable documentation, and (e) comply with any license, terms of service or similar agreement with respect to any third party products or services used by Customer in connection with the Products.

Orders: 877-616-CELL (2355) [email protected] Support: 877-678-TECH (8324) [email protected] Web: cellsignal.com
For Research Use Only. Not for Use in Diagnostic Procedures.

Revision 6

Cell Signaling Technology Logo
Western blot analysis of extracts from various tissues and cell lines using Parvalbumin (E8N2U) XP® Rabbit mAb (upper) and β-Actin (D6A8) Rabbit mAb #8457 (lower).
Western Blotting Image 1: Parvalbumin (E8N2U) Rabbit Monoclonal Antibody
Immunoprecipitation of parvalbumin protein from mouse brain tissue extracts. Lane 1 is 10% input, lane 2 is Rabbit (DA1E) mAb IgG XP® Isotype Control #3900, and lane 3 is Parvalbumin (E8N2U) XP® Rabbit mAb. Western blot analysis was performed using Parvalbumin (E8N2U) XP® Rabbit mAb. Anti-rabbit IgG, HRP-linked Antibody #7074 was used as the secondary antibody.
Immunoprecipitation Image 1: Parvalbumin (E8N2U) Rabbit Monoclonal Antibody
Immunohistochemical analysis of paraffin-embedded normal human brain using Parvalbumin (E8N2U) XP® Rabbit mAb.
Immunohistochemistry Image 1: Parvalbumin (E8N2U) Rabbit Monoclonal Antibody
Orders: 877-616-CELL (2355) [email protected] Support: 877-678-TECH (8324) [email protected] Web: cellsignal.com
For Research Use Only. Not for Use in Diagnostic Procedures.

Revision 6

Cell Signaling Technology Logo
Immunohistochemical analysis of paraffin-embedded normal human kidney using Parvalbumin (E8N2U) XP® Rabbit mAb.
Immunohistochemistry Image 2: Parvalbumin (E8N2U) Rabbit Monoclonal Antibody
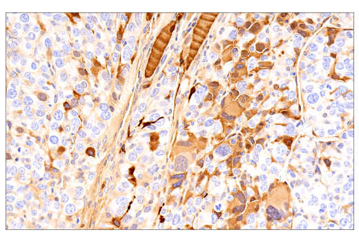
Immunohistochemical analysis of paraffin-embedded human B-cell non-Hodgkin lymphoma using Parvalbumin (E8N2U) XP® Rabbit mAb.
Immunohistochemistry Image 3: Parvalbumin (E8N2U) Rabbit Monoclonal Antibody
Immunohistochemical analysis of paraffin-embedded normal human parathyroid using Parvalbumin (E8N2U) XP® Rabbit mAb (left) compared to concentration-matched Rabbit (DA1E) mAb IgG XP® Isotype Control #3900 (right).
Immunohistochemistry Image 4: Parvalbumin (E8N2U) Rabbit Monoclonal Antibody
Orders: 877-616-CELL (2355) [email protected] Support: 877-678-TECH (8324) [email protected] Web: cellsignal.com
For Research Use Only. Not for Use in Diagnostic Procedures.

Revision 6

Cell Signaling Technology Logo
Immunohistochemical analysis of paraffin-embedded mouse brain using Parvalbumin (E8N2U) XP® Rabbit mAb.
Immunohistochemistry Image 5: Parvalbumin (E8N2U) Rabbit Monoclonal Antibody
Immunohistochemical analysis of paraffin-embedded mouse colon using Parvalbumin (E8N2U) XP® Rabbit mAb.
Immunohistochemistry Image 6: Parvalbumin (E8N2U) Rabbit Monoclonal Antibody
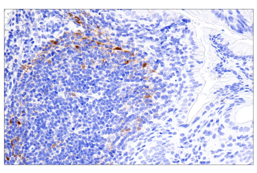
Immunohistochemical analysis of paraffin-embedded Renca syngeneic tumor using Parvalbumin (E8N2U) XP® Rabbit mAb.
Immunohistochemistry Image 7: Parvalbumin (E8N2U) Rabbit Monoclonal Antibody
Orders: 877-616-CELL (2355) [email protected] Support: 877-678-TECH (8324) [email protected] Web: cellsignal.com
For Research Use Only. Not for Use in Diagnostic Procedures.

Revision 6

Cell Signaling Technology Logo
Immunohistochemical analysis of paraffin-embedded rat brain (2 regions of interest) using Parvalbumin (E8N2U) XP® Rabbit mAb.
Immunohistochemistry Image 8: Parvalbumin (E8N2U) Rabbit Monoclonal Antibody
Immunohistochemical analysis of paraffin-embedded rat eye using Parvalbumin (E8N2U) XP® Rabbit mAb.
Immunohistochemistry Image 9: Parvalbumin (E8N2U) Rabbit Monoclonal Antibody
Immunohistochemical analysis of paraffin-embedded RPMI 8226 cell pellet (left, positive) or SK-MEL-28 cell pellet (right, negative) using Parvalbumin (E8N2U) XP® Rabbit mAb.
Immunohistochemistry Image 10: Parvalbumin (E8N2U) Rabbit Monoclonal Antibody
Orders: 877-616-CELL (2355) [email protected] Support: 877-678-TECH (8324) [email protected] Web: cellsignal.com
For Research Use Only. Not for Use in Diagnostic Procedures.

Revision 6

Cell Signaling Technology Logo
Confocal immunofluorescent analysis of rat cerebellum using Parvalbumin (E8N2U) XP® Rabbit mAb (red), Neurofilament-L (C28E10) Rabbit mAb (Alexa Fluor® 488 Conjugate) #8024 (green), and S6 Ribosomal Protein (54D2) Mouse mAb (Alexa Fluor® 647 Conjugate) #5548 (magenta).
Immunofluorescence Image 1: Parvalbumin (E8N2U) Rabbit Monoclonal Antibody
Confocal immunofluorescent analysis of mouse retina using Parvalbumin (E8N2U) XP® Rabbit mAb (yellow), Lamin A/C (4C11) Mouse mAb (Alexa Fluor® 488 Conjugate) #8617 (green), and S6 Ribosomal Protein (54D2) Mouse mAb (Alexa Fluor® 647 Conjugate) #5548 (red). Samples were mounted in ProLong® Gold Antifade Reagent with DAPI #8961 (blue).
Immunofluorescence Image 2: Parvalbumin (E8N2U) Rabbit Monoclonal Antibody
Orders: 877-616-CELL (2355) [email protected] Support: 877-678-TECH (8324) [email protected] Web: cellsignal.com
For Research Use Only. Not for Use in Diagnostic Procedures.