Revision 5

#8076

Store at -20C

CST Logo
Orders:

877-616-CELL (2355)

[email protected]

Support:

877-678-TECH (8324)

3 Trask Lane | Danvers | Massachusetts | 01923 | USA

For Research Use Only. Not for Use in Diagnostic Procedures.

Applications:
W, W-S, IP, IHC-P, IF-IC, eCLIP

Reactivity:
H

Sensitivity:
Endogenous

MW (kDa):
24

Source/Isotype:
Rabbit IgG

UniProt ID:
#Q00059

Entrez-Gene Id:
7019

Product Usage Information

Application Dilution
Western Blotting 1:1000
Simple Western™ 1:50 - 1:250
Immunoprecipitation 1:50
Immunohistochemistry (Paraffin) 1:100 - 1:400
Immunofluorescence (Immunocytochemistry) 1:100 - 1:200
eCLIP 1:200
For more information about the RBP-eCLIP service please visit Eclipsebio.

Storage

Supplied in 10 mM sodium HEPES (pH 7.5), 150 mM NaCl, 100 µg/ml BSA, 50% glycerol and less than 0.02% sodium azide. Store at –20°C. Do not aliquot the antibody.

Specificity/Sensitivity

TFAM (D5C8) Rabbit Monoclonal Antibody recognizes endogenous levels of total TFAM protein.

Source / Purification

Monoclonal antibody is produced by immunizing animals with a synthetic peptide corresponding to residues surrounding Val225 of human TFAM protein.

Background

TFAM (Transcription Factor A, Mitochondrial; aka TCF6) is a member of the high-mobility group (HMG) proteins because it contains two HMG boxes. TFAM is a transcription factor for mitochondrial DNA (mtDNA), and enhances mtDNA transcription in a promoter-specific fashion in the presence of mitochondrial RNA polymerase and transcription factor B (1). Because the majority of ATP production depends on the mitochondrial respiratory chain, maintenance of the mitochondrial genome is critical for normal health. TFAM plays an essential role in the maintenance of mtDNA and thus, ATP production (2). TFAM binds to mtDNA both nonspecifically and in a sequence-specific manner. It is known to have a dual effect on mtDNA: protection of mtDNA and initiation of transcription from mtDNA (3). TFAM attenuates age-dependent impairment of the brain by preventing oxidative stress and mitochondrial dysfunctions in microglia (4).

Species Reactivity

Species reactivity is determined by testing in at least one approved application (e.g., western blot).

Western Blot Buffer

IMPORTANT: For western blots, incubate membrane with diluted primary antibody in 5% w/v BSA, 1X TBS, 0.1% Tween® 20 at 4°C with gentle shaking, overnight.

Applications Key

W: Western Blotting W-S: Simple Western™ IP: Immunoprecipitation IHC-P: Immunohistochemistry (Paraffin) IF-IC: Immunofluorescence (Immunocytochemistry) eCLIP: eCLIP

Cross-Reactivity Key

H: Human

Trademarks and Patents

Cell Signaling Technology is a trademark of Cell Signaling Technology, Inc.

All other trademarks are the property of their respective owners. Visit cellsignal.com/trademarks for more information.

Limited Uses

Except as otherwise expressly agreed in a writing signed by a legally authorized representative of CST, the following terms apply to Products provided by CST, its affiliates or its distributors. Any Customer's terms and conditions that are in addition to, or different from, those contained herein, unless separately accepted in writing by a legally authorized representative of CST, are rejected and are of no force or effect.

Products are labeled with For Research Use Only or a similar labeling statement and have not been approved, cleared, or licensed by the FDA or other regulatory foreign or domestic entity, for any purpose. Customer shall not use any Product for any diagnostic or therapeutic purpose, or otherwise in any manner that conflicts with its labeling statement. Products sold or licensed by CST are provided for Customer as the end-user and solely for research and development uses. Any use of Product for diagnostic, prophylactic or therapeutic purposes, or any purchase of Product for resale (alone or as a component) or other commercial purpose, requires a separate license from CST. Customer shall (a) not sell, license, loan, donate or otherwise transfer or make available any Product to any third party, whether alone or in combination with other materials, or use the Products to manufacture any commercial products, (b) not copy, modify, reverse engineer, decompile, disassemble or otherwise attempt to discover the underlying structure or technology of the Products, or use the Products for the purpose of developing any products or services that would compete with CST products or services, (c) not alter or remove from the Products any trademarks, trade names, logos, patent or copyright notices or markings, (d) use the Products solely in accordance with CST Product Terms of Sale and any applicable documentation, and (e) comply with any license, terms of service or similar agreement with respect to any third party products or services used by Customer in connection with the Products.

Orders: 877-616-CELL (2355) [email protected] Support: 877-678-TECH (8324) [email protected] Web: cellsignal.com
For Research Use Only. Not for Use in Diagnostic Procedures.

Revision 5

Cell Signaling Technology Logo
Western blot analysis of extracts from HeLa and A172 cells using TFAM (D5C8) Rabbit mAb.
Western Blotting Image 1: TFAM (D5C8) Rabbit Monoclonal Antibody
Simple Western™ analysis of lysates (1.0 mg/mL) from HeLa cells using TFAM (D5C8) Rabbit mAb #8076. The virtual lane view (left) shows the target band (as indicated) at 1:50 and 1:250 dilutions of primary antibody. The corresponding electropherogram view (right) plots chemiluminescence by molecular weight along the capillary at 1:50 (blue line) and 1:250 (green line) dilutions of primary antibody. This experiment was performed under reducing conditions on the Jess™ Simple Western instrument from ProteinSimple, a BioTechne brand, using the 2-40 kDa separation module.
Western Blotting Image 1: TFAM (D5C8) Rabbit Monoclonal Antibody
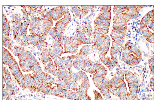
Immunohistochemical analysis of paraffin-embedded human non-small cell lung carcinoma using TFAM (D5C8) Rabbit mAb.
Immunohistochemistry Image 1: TFAM (D5C8) Rabbit Monoclonal Antibody
Orders: 877-616-CELL (2355) [email protected] Support: 877-678-TECH (8324) [email protected] Web: cellsignal.com
For Research Use Only. Not for Use in Diagnostic Procedures.

Revision 5

Cell Signaling Technology Logo
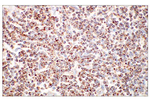
Immunohistochemical analysis of paraffin-embedded human B-cell non-Hodgkin lymphoma using TFAM (D5C8) Rabbit mAb.
Immunohistochemistry Image 2: TFAM (D5C8) Rabbit Monoclonal Antibody
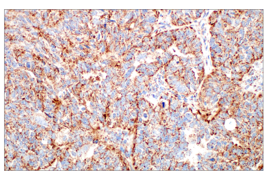
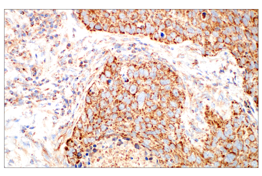
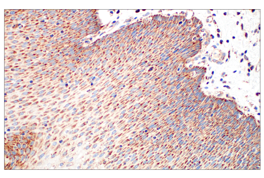
Immunohistochemical analysis of paraffin-embedded human squamous cell lung carcinoma using TFAM (D5C8) Rabbit mAb.
Immunohistochemistry Image 3: TFAM (D5C8) Rabbit Monoclonal Antibody
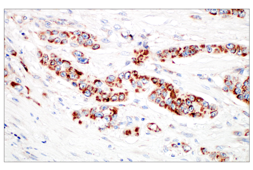
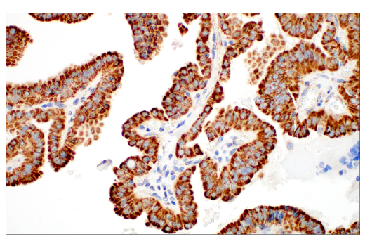
Immunohistochemical analysis of paraffin-embedded human serous papillary carcinoma of the ovary using TFAM (D5C8) Rabbit mAb.
Immunohistochemistry Image 4: TFAM (D5C8) Rabbit Monoclonal Antibody
Orders: 877-616-CELL (2355) [email protected] Support: 877-678-TECH (8324) [email protected] Web: cellsignal.com
For Research Use Only. Not for Use in Diagnostic Procedures.

Revision 5

Cell Signaling Technology Logo
Immunohistochemical analysis of paraffin-embedded human papillary thyroid carcinoma using TFAM (D5C8) Rabbit mAb.
Immunohistochemistry Image 5: TFAM (D5C8) Rabbit Monoclonal Antibody
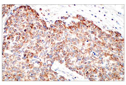
Immunohistochemical analysis of paraffin-embedded human esophageal adenocarcinoma using TFAM (D5C8) Rabbit mAb.
Immunohistochemistry Image 6: TFAM (D5C8) Rabbit Monoclonal Antibody
Immunohistochemical analysis of paraffin-embedded human squamous cell carcinoma of the colon using TFAM (D5C8) Rabbit mAb.
Immunohistochemistry Image 7: TFAM (D5C8) Rabbit Monoclonal Antibody
Orders: 877-616-CELL (2355) [email protected] Support: 877-678-TECH (8324) [email protected] Web: cellsignal.com
For Research Use Only. Not for Use in Diagnostic Procedures.

Revision 5

Cell Signaling Technology Logo
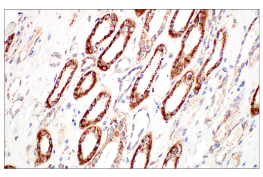
Immunohistochemical analysis of paraffin-embedded normal human kidney using TFAM (D5C8) Rabbit mAb.
Immunohistochemistry Image 8: TFAM (D5C8) Rabbit Monoclonal Antibody
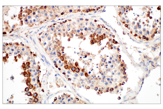
Immunohistochemical analysis of paraffin-embedded normal human testis using TFAM (D5C8) Rabbit mAb.
Immunohistochemistry Image 9: TFAM (D5C8) Rabbit Monoclonal Antibody
Immunohistochemical analysis of paraffin-embedded normal human esophagus using TFAM (D5C8) Rabbit mAb.
Immunohistochemistry Image 10: TFAM (D5C8) Rabbit Monoclonal Antibody
Orders: 877-616-CELL (2355) [email protected] Support: 877-678-TECH (8324) [email protected] Web: cellsignal.com
For Research Use Only. Not for Use in Diagnostic Procedures.

Revision 5

Cell Signaling Technology Logo
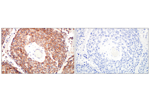
Immunohistochemical analysis of paraffin-embedded human urothelial carcinoma using TFAM (D5C8) Rabbit mAb (left) compared to concentration-matched Rabbit (DA1E) mAb IgG XP® Isotype Control (right). 
Immunohistochemistry Image 11: TFAM (D5C8) Rabbit Monoclonal Antibody
Immunohistochemical analysis of paraffin-embedded HeLa cell pellet (left, high-expressing) or MOLP-8 cell pellet (right, low-expressing) using TFAM (D5C8) Rabbit mAb.
Immunohistochemistry Image 12: TFAM (D5C8) Rabbit Monoclonal Antibody
Confocal immunofluorescent analysis of HeLa cells using TFAM (D5C8) Rabbit mAb (green). Actin filaments were labeled with DY-554 phalloidin (red). Blue pseudocolor = DRAQ5® #4084 (fluorescent DNA dye).
Immunofluorescence Image 1: TFAM (D5C8) Rabbit Monoclonal Antibody
Orders: 877-616-CELL (2355) [email protected] Support: 877-678-TECH (8324) [email protected] Web: cellsignal.com
For Research Use Only. Not for Use in Diagnostic Procedures.

Revision 5

Cell Signaling Technology Logo
Enhanced cross-linking and immunoprecipitation (eCLIP) was performed with RNA from K-562 cells and TFAM (D5C8) Rabbit mAb using a protocol based on the RBP-eCLIP method from Eclipsebio. The figure shows binding across the TMEM242 transcript. Data is kindly provided by the laboratory of Dr. Gene Yeo and used with permission.
eCLIP Image 1: TFAM (D5C8) Rabbit Monoclonal Antibody
Orders: 877-616-CELL (2355) [email protected] Support: 877-678-TECH (8324) [email protected] Web: cellsignal.com
For Research Use Only. Not for Use in Diagnostic Procedures.