Revision 1

#80784

Store at -20C

CST Logo
Orders:

877-616-CELL (2355)

[email protected]

Support:

877-678-TECH (8324)

3 Trask Lane | Danvers | Massachusetts | 01923 | USA

For Research Use Only. Not for Use in Diagnostic Procedures.

Applications:
W, IP

Reactivity:
H R Mk

Sensitivity:
Endogenous

MW (kDa):
65

Source/Isotype:
Rabbit IgG

UniProt ID:
#Q12800

Entrez-Gene Id:
7024

Product Usage Information

Application Dilution
Western Blotting 1:1000
Immunoprecipitation 1:100

Storage

Supplied in 10 mM sodium HEPES (pH 7.5), 150 mM NaCl, 100 µg/ml BSA, 50% glycerol and less than 0.02% sodium azide. Store at –20°C. Do not aliquot the antibody.

Specificity/Sensitivity

TFCP2 (D1S3V) Rabbit Monoclonal Antibody recognizes endogenous levels of total TFCP2 protein.

Species predicted to react based on 100% sequence homology

Mouse, Xenopus, Zebrafish, Bovine

Source / Purification

Monoclonal antibody is produced by immunizing animals with a synthetic peptide corresponding to residues near the amino terminus of human TFCP2 protein.

Background

The transcription factor CP2 (TFCP2, LSF) is a ubiquitous nuclear protein that was initially shown to bind and activate the alpha-globin promoter in erythroid cells (1). Research studies show that TFCP2 functions as an oncogene in hepatocellular carcinoma (HCC) cells. Overexpression of TFCP2 is seen in HCC patient samples and cell lines; TFCP2 expression correlates with high tumor grade and poor prognosis (2). Forced expression of TFCP2 in less aggressive HCC cells results in highly aggressive, angiogenic and metastatic tumors, while inhibition of TFCP2 abrogates growth and metastasis of highly aggressive HCC cells (2). Additional studies show that TFCP2 acts downstream of Notch1 in HCC cells, where it mediates Notch pathway signaling during proliferation and invasion of hepatocellular carcinoma (3). TFCP2 functions as an oncogene as it upregulates multiple genes involved in angiogenesis, cell invasion, and chemoresistance, including osteopontin, metalloproteinase-9, fibronectin 1, tight junction protein 1, and thymidylate synthase (2-5). Factor quinolinone inhibitor 1 (FQI1) is a small molecule inhibitor of TFCP2 that inhibits TFCP2 DNA-binding activity, reduces expression of TFCP2 target genes, and rapidly induces cell death in TFCP2-overexpressing HCC cell lines (6).

Species Reactivity

Species reactivity is determined by testing in at least one approved application (e.g., western blot).

Western Blot Buffer

IMPORTANT: For western blots, incubate membrane with diluted primary antibody in 5% w/v BSA, 1X TBS, 0.1% Tween® 20 at 4°C with gentle shaking, overnight.

Applications Key

W: Western Blotting IP: Immunoprecipitation

Cross-Reactivity Key

H: Human R: Rat Mk: Monkey

Trademarks and Patents

Cell Signaling Technology is a trademark of Cell Signaling Technology, Inc.

All other trademarks are the property of their respective owners. Visit cellsignal.com/trademarks for more information.

Limited Uses

Except as otherwise expressly agreed in a writing signed by a legally authorized representative of CST, the following terms apply to Products provided by CST, its affiliates or its distributors. Any Customer's terms and conditions that are in addition to, or different from, those contained herein, unless separately accepted in writing by a legally authorized representative of CST, are rejected and are of no force or effect.

Products are labeled with For Research Use Only or a similar labeling statement and have not been approved, cleared, or licensed by the FDA or other regulatory foreign or domestic entity, for any purpose. Customer shall not use any Product for any diagnostic or therapeutic purpose, or otherwise in any manner that conflicts with its labeling statement. Products sold or licensed by CST are provided for Customer as the end-user and solely for research and development uses. Any use of Product for diagnostic, prophylactic or therapeutic purposes, or any purchase of Product for resale (alone or as a component) or other commercial purpose, requires a separate license from CST. Customer shall (a) not sell, license, loan, donate or otherwise transfer or make available any Product to any third party, whether alone or in combination with other materials, or use the Products to manufacture any commercial products, (b) not copy, modify, reverse engineer, decompile, disassemble or otherwise attempt to discover the underlying structure or technology of the Products, or use the Products for the purpose of developing any products or services that would compete with CST products or services, (c) not alter or remove from the Products any trademarks, trade names, logos, patent or copyright notices or markings, (d) use the Products solely in accordance with CST Product Terms of Sale and any applicable documentation, and (e) comply with any license, terms of service or similar agreement with respect to any third party products or services used by Customer in connection with the Products.

Orders: 877-616-CELL (2355) [email protected] Support: 877-678-TECH (8324) [email protected] Web: cellsignal.com
For Research Use Only. Not for Use in Diagnostic Procedures.

Revision 1

Cell Signaling Technology Logo
Western blot analysis of extracts from various cell lines using TFCP2 (D1S3V) Rabbit mAb.
Western Blotting Image 1: TFCP2 (D1S3V) Rabbit Monoclonal Antibody
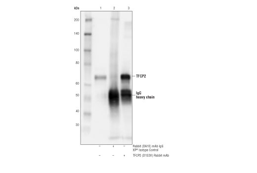
Immunoprecipitation of TFCP2 from THP-1 cell extracts. Lane 1 is 10% input, lane 2 is Rabbit (DA1E) mAb IgG XP® Isotype Control #3900, and lane 3 is TFCP2 (D1S3V) Rabbit mAb. Western blot analysis was performed using TFCP2 (D1S3V) Rabbit mAb.
Immunoprecipitation Image 1: TFCP2 (D1S3V) Rabbit Monoclonal Antibody
Orders: 877-616-CELL (2355) [email protected] Support: 877-678-TECH (8324) [email protected] Web: cellsignal.com
For Research Use Only. Not for Use in Diagnostic Procedures.