Revision 4

#81740

Store at -20C

CST Logo
Orders:

877-616-CELL (2355)

[email protected]

Support:

877-678-TECH (8324)

3 Trask Lane | Danvers | Massachusetts | 01923 | USA

For Research Use Only. Not for Use in Diagnostic Procedures.

Applications:
W, IP, IHC-P

Reactivity:
H

Sensitivity:
Endogenous

MW (kDa):
62

Source/Isotype:
Rabbit IgG

UniProt ID:
#P43363

Entrez-Gene Id:
4109

Product Usage Information

Application Dilution
Western Blotting 1:1000
Immunoprecipitation 1:50
Immunohistochemistry (Paraffin) 1:500 - 1:2000

Storage

Supplied in 10 mM sodium HEPES (pH 7.5), 150 mM NaCl, 100 µg/ml BSA, 50% glycerol and less than 0.02% sodium azide. Store at –20°C. Do not aliquot the antibody.

For a carrier free (BSA and azide free) version of this product see product #77478.

Specificity/Sensitivity

MAGE-A10 (E9V2Q) Rabbit Monoclonal Antibody recognizes endogenous levels of total MAGE-A10 protein. This antibody does not cross-react with other MAGE-A proteins.

Source / Purification

Monoclonal antibody is produced by immunizing animals with a synthetic peptide corresponding to residues surrounding Pro323 of human MAGE-A10 protein.

Background

Cancer/testis antigens (CTAs) are a family of more than 100 proteins whose normal expression is largely restricted to immune privileged germ cells of the testis, ovary, and trophoblast cells of the placenta. Although most normal somatic tissues are void of CTA expression, due to epigenetic silencing of gene expression, their expression is upregulated in a wide variety of human solid and liquid tumors (1,2). As such, CTAs have garnered much attention as attractive targets for a variety of immunotherapy-based approaches to selectively attack tumors (3).

Melanoma-associated antigen-A10 (MAGE-A10) is a CTA that belongs to the type I MAGE family of proteins. Unlike other members of the MAGE-A subfamily, MAGE-A10 is a nuclear protein (4). Research studies have shown that MAGE-A10 expression is normally restricted to the human testis and placenta but is aberrantly upregulated in a number of human solid tumors, such as lung cancer, melanoma, bladder cancer, and esophageal carcinoma (4-6). Due to its upregulated expression in human tumors and high degree of immunogenicity, MAGE-A10 has received significant attention as a novel immunotherapy target through the use of vaccines and adoptive cell therapy (7-9).

Species Reactivity

Species reactivity is determined by testing in at least one approved application (e.g., western blot).

Western Blot Buffer

IMPORTANT: For western blots, incubate membrane with diluted primary antibody in 5% w/v BSA, 1X TBS, 0.1% Tween® 20 at 4°C with gentle shaking, overnight.

Applications Key

W: Western Blotting IP: Immunoprecipitation IHC-P: Immunohistochemistry (Paraffin)

Cross-Reactivity Key

H: Human

Trademarks and Patents

Cell Signaling Technology is a trademark of Cell Signaling Technology, Inc.

SignalStain is a registered trademark of Cell Signaling Technology, Inc.

All other trademarks are the property of their respective owners. Visit cellsignal.com/trademarks for more information.

Limited Uses

Except as otherwise expressly agreed in a writing signed by a legally authorized representative of CST, the following terms apply to Products provided by CST, its affiliates or its distributors. Any Customer's terms and conditions that are in addition to, or different from, those contained herein, unless separately accepted in writing by a legally authorized representative of CST, are rejected and are of no force or effect.

Products are labeled with For Research Use Only or a similar labeling statement and have not been approved, cleared, or licensed by the FDA or other regulatory foreign or domestic entity, for any purpose. Customer shall not use any Product for any diagnostic or therapeutic purpose, or otherwise in any manner that conflicts with its labeling statement. Products sold or licensed by CST are provided for Customer as the end-user and solely for research and development uses. Any use of Product for diagnostic, prophylactic or therapeutic purposes, or any purchase of Product for resale (alone or as a component) or other commercial purpose, requires a separate license from CST. Customer shall (a) not sell, license, loan, donate or otherwise transfer or make available any Product to any third party, whether alone or in combination with other materials, or use the Products to manufacture any commercial products, (b) not copy, modify, reverse engineer, decompile, disassemble or otherwise attempt to discover the underlying structure or technology of the Products, or use the Products for the purpose of developing any products or services that would compete with CST products or services, (c) not alter or remove from the Products any trademarks, trade names, logos, patent or copyright notices or markings, (d) use the Products solely in accordance with CST Product Terms of Sale and any applicable documentation, and (e) comply with any license, terms of service or similar agreement with respect to any third party products or services used by Customer in connection with the Products.

Orders: 877-616-CELL (2355) [email protected] Support: 877-678-TECH (8324) [email protected] Web: cellsignal.com
For Research Use Only. Not for Use in Diagnostic Procedures.

Revision 4

Cell Signaling Technology Logo
Western blot analysis of extracts from various cell lines using MAGE-A10 (E9V2Q) Rabbit mAb (upper) and β-Actin (D6A8) Rabbit mAb #8457 (lower). As expected, MAGE-A10 protein is not detected in MCF7 cells.
Western Blotting Image 1: MAGE-A10 (E9V2Q) Rabbit Monoclonal Antibody
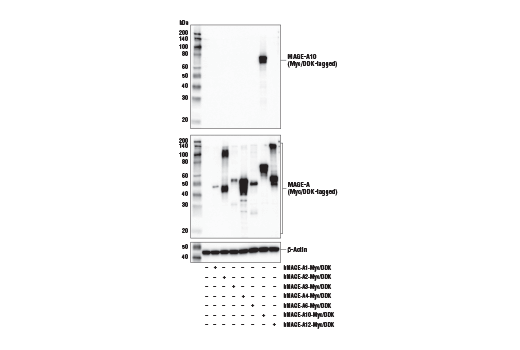
Western blot analysis of extracts from 293T cells, mock transfected (-) or transfected (+) with constructs expressingMyc/DDK-tagged full-length human MAGE-A1 protein (hMAGE-A1-Myc/DDK), Myc/DDK-tagged full-length human MAGE-A2 protein (hMAGE-A2-Myc/DDK), Myc/DDK-tagged full-length human MAGE-A3 protein (hMAGE-A3-Myc/DDK), Myc/DDK-tagged full-length human MAGE-A4 protein (hMAGE-A4-Myc/DDK), Myc/DDK-tagged full-length human MAGE-A6 protein (hMAGE-A6-Myc/DDK), Myc/DDK-tagged full-length human MAGE-A10 protein (hMAGE-A10-Myc/DDK), and Myc/DDK-tagged full-length human MAGE-A12 protein (hMAGE-A12-Myc/DDK), using MAGE-A10 (E9V2Q) Rabbit mAb (upper), DYKDDDDK Tag Antibody #2368 (middle), and β-Actin (D6A8) Rabbit mAb #8457 (lower).
Western Blotting Image 2: MAGE-A10 (E9V2Q) Rabbit Monoclonal Antibody
Immunoprecipitation of MAGE-A10 protein from SK-MEL-2 cell extracts. Lane 1 is 10% input, lane 2 is Rabbit (DA1E) mAb IgG XP® Isotype Control #3900, and lane 3 is MAGE-A10 (E9V2Q) Rabbit mAb. Western blot analysis was performed usingMAGE-A10 (E9V2Q) Rabbit mAb. Mouse Anti-rabbit IgG (Conformation Specific) (L27A9) mAb (HRP Conjugate) #5127 was used for detection to avoid cross-reactivity with IgG.
Immunoprecipitation Image 1: MAGE-A10 (E9V2Q) Rabbit Monoclonal Antibody
Orders: 877-616-CELL (2355) [email protected] Support: 877-678-TECH (8324) [email protected] Web: cellsignal.com
For Research Use Only. Not for Use in Diagnostic Procedures.

Revision 4

Cell Signaling Technology Logo
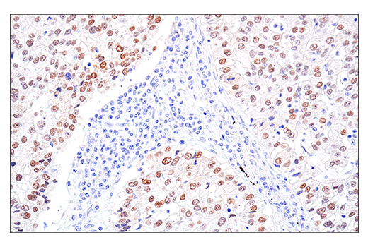
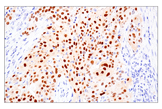
Immunohistochemical analysis of paraffin-embedded human ductal breast carcinoma using MAGE-A10 (E9V2Q) Rabbit mAb.
Immunohistochemistry Image 1: MAGE-A10 (E9V2Q) Rabbit Monoclonal Antibody
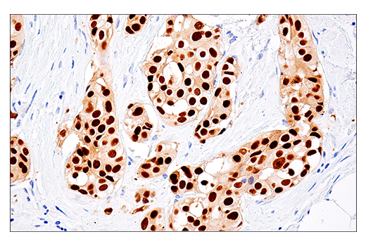
Immunohistochemical analysis of paraffin-embedded human mucoepidermoid carcinoma of the larynx using MAGE-A10 (E9V2Q) Rabbit mAb.
Immunohistochemistry Image 2: MAGE-A10 (E9V2Q) Rabbit Monoclonal Antibody
Immunohistochemical analysis of paraffin-embedded SK-MEL-2 cell pellet (left, positive) or MCF7 cell pellet (right, negative) using MAGE-A10 (E9V2Q) Rabbit mAb.
Immunohistochemistry Image 3: MAGE-A10 (E9V2Q) Rabbit Monoclonal Antibody
Orders: 877-616-CELL (2355) [email protected] Support: 877-678-TECH (8324) [email protected] Web: cellsignal.com
For Research Use Only. Not for Use in Diagnostic Procedures.

Revision 4

Cell Signaling Technology Logo
Immunohistochemical analysis of paraffin-embedded human placenta using MAGE-A10 (E9V2Q) Rabbit mAb (left) compared to concentration-matched Rabbit (DA1E) mAb IgG XP® Isotype Control #3900 (right).
Immunohistochemistry Image 4: MAGE-A10 (E9V2Q) Rabbit Monoclonal Antibody
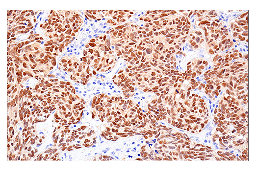
Immunohistochemical analysis of paraffin-embedded human non-small cell lung carcinoma using MAGE-A10 (E9V2Q) Rabbit mAb.
Immunohistochemistry Image 5: MAGE-A10 (E9V2Q) Rabbit Monoclonal Antibody
Immunohistochemical analysis of paraffin-embedded human neuroendocrine lung carcinoma using MAGE-A10 (E9V2Q) Rabbit mAb.
Immunohistochemistry Image 6: MAGE-A10 (E9V2Q) Rabbit Monoclonal Antibody
Orders: 877-616-CELL (2355) [email protected] Support: 877-678-TECH (8324) [email protected] Web: cellsignal.com
For Research Use Only. Not for Use in Diagnostic Procedures.

Revision 4

Cell Signaling Technology Logo
Immunohistochemical analysis of paraffin-embedded normal human tissues: testis (left-top), prostate (right-top), kidney (left-bottom), and liver (right-bottom) using MAGE-A10 (E9V2Q) Rabbit mAb.
Immunohistochemistry Image 7: MAGE-A10 (E9V2Q) Rabbit Monoclonal Antibody
Orders: 877-616-CELL (2355) [email protected] Support: 877-678-TECH (8324) [email protected] Web: cellsignal.com
For Research Use Only. Not for Use in Diagnostic Procedures.