Revision 7

#82504

Store at -20C

CST Logo
Orders:

877-616-CELL (2355)

[email protected]

Support:

877-678-TECH (8324)

3 Trask Lane | Danvers | Massachusetts | 01923 | USA

For Research Use Only. Not for Use in Diagnostic Procedures.

Applications:
W, W-S, IHC-P, IF-IC, FC-FP

Reactivity:
H

Sensitivity:
Endogenous

MW (kDa):
90

Source/Isotype:
Rabbit IgG

UniProt ID:
#Q00987

Entrez-Gene Id:
4193

Product Usage Information

Application Dilution
Western Blotting 1:1000
Simple Western™ 1:10 - 1:50
Immunohistochemistry (Paraffin) 1:50 - 1:200
Immunofluorescence (Immunocytochemistry) 1:400 - 1:800
Flow Cytometry (Fixed/Permeabilized) 1:400 - 1:1600

Storage

Supplied in 10 mM sodium HEPES (pH 7.5), 150 mM NaCl, 100 µg/mL BSA, 50% glycerol, and less than 0.02% sodium azide. Store at –20°C. Do not aliquot the antibody.

For a carrier free (BSA and azide free) version of this product see product #62464.

Specificity/Sensitivity

MDM2 (F7W7X) Rabbit Monoclonal Antibody recognizes endogenous levels of total MDM2 protein. Based on the sequence of the protein antigen, this antibody is expected to detect full-length MDM2, as well as isoforms A, C, alpha, F, G, and 11. This antibody may detect isoforms A1, B, and D. By western blot, this antibody detects a band of unknown origin at approximately 60 kDa.

Source / Purification

Monoclonal antibody is produced by immunizing animals with recombinant protein specific to the carboxy terminus of human MDM2 protein.

Background

MDM2, a ubiquitin ligase for p53, plays a central role in regulation of the stability of p53 (1). Akt-mediated phosphorylation of MDM2 at Ser166 and Ser186 increases its interaction with p300, allowing MDM2-mediated ubiquitination and degradation of p53 (2-4). Phosphorylation of MDM2 also blocks its binding to p19ARF, increasing the degradation of p53 (3).

Species Reactivity

Species reactivity is determined by testing in at least one approved application (e.g., western blot).

Western Blot Buffer

IMPORTANT: For western blots, incubate membrane with diluted primary antibody in 5% w/v BSA, 1X TBS, 0.1% Tween® 20 at 4°C with gentle shaking, overnight.

Applications Key

W: Western Blotting W-S: Simple Western™ IHC-P: Immunohistochemistry (Paraffin) IF-IC: Immunofluorescence (Immunocytochemistry) FC-FP: Flow Cytometry (Fixed/Permeabilized)

Cross-Reactivity Key

H: Human

Trademarks and Patents

Cell Signaling Technology is a trademark of Cell Signaling Technology, Inc.

All other trademarks are the property of their respective owners. Visit cellsignal.com/trademarks for more information.

Limited Uses

Except as otherwise expressly agreed in a writing signed by a legally authorized representative of CST, the following terms apply to Products provided by CST, its affiliates or its distributors. Any Customer's terms and conditions that are in addition to, or different from, those contained herein, unless separately accepted in writing by a legally authorized representative of CST, are rejected and are of no force or effect.

Products are labeled with For Research Use Only or a similar labeling statement and have not been approved, cleared, or licensed by the FDA or other regulatory foreign or domestic entity, for any purpose. Customer shall not use any Product for any diagnostic or therapeutic purpose, or otherwise in any manner that conflicts with its labeling statement. Products sold or licensed by CST are provided for Customer as the end-user and solely for research and development uses. Any use of Product for diagnostic, prophylactic or therapeutic purposes, or any purchase of Product for resale (alone or as a component) or other commercial purpose, requires a separate license from CST. Customer shall (a) not sell, license, loan, donate or otherwise transfer or make available any Product to any third party, whether alone or in combination with other materials, or use the Products to manufacture any commercial products, (b) not copy, modify, reverse engineer, decompile, disassemble or otherwise attempt to discover the underlying structure or technology of the Products, or use the Products for the purpose of developing any products or services that would compete with CST products or services, (c) not alter or remove from the Products any trademarks, trade names, logos, patent or copyright notices or markings, (d) use the Products solely in accordance with CST Product Terms of Sale and any applicable documentation, and (e) comply with any license, terms of service or similar agreement with respect to any third party products or services used by Customer in connection with the Products.

Orders: 877-616-CELL (2355) [email protected] Support: 877-678-TECH (8324) [email protected] Web: cellsignal.com
For Research Use Only. Not for Use in Diagnostic Procedures.

Revision 7

Cell Signaling Technology Logo
Western blot analysis of extracts from SJSA-1, U-2 OS, and Saos-2 cells, untreated (-) or treated with Nutlin 3a (10 μM, 24 hr; +), using MDM2 (F7W7X) Rabbit mAb (upper) or GAPDH (D16H11) XP® Rabbit mAb #5174 (lower). MDM2 is induced by Nutlin 3a treatment as expected. Negative expression of MDM2 protein in Saos-2 cells is consistent with the predicted expression pattern.
Western Blotting Image 1: MDM2 (F7W7X) Rabbit Monoclonal Antibody
Simple Western™ analysis of lysates (0.1 mg/mL) from SJSA cells treated with Nutlin 3a (10uM, 24hr) using MDM2 (F7W7X) Rabbit mAb #82504. The virtual lane view (left) shows the target band (as indicated) at 1:10 and 1:50 dilutions of primary antibody. The corresponding electropherogram view (right) plots chemiluminescence by molecular weight along the capillary at 1:10 (blue line) and 1:50 (green line) dilutions of primary antibody. This experiment was performed under reducing conditions on the Jess™ ​​​​​​​Simple Western instrument from ProteinSimple, a BioTechne brand, using the 12-230 kDa separation module.
Western Blotting Image 1: MDM2 (F7W7X) Rabbit Monoclonal Antibody
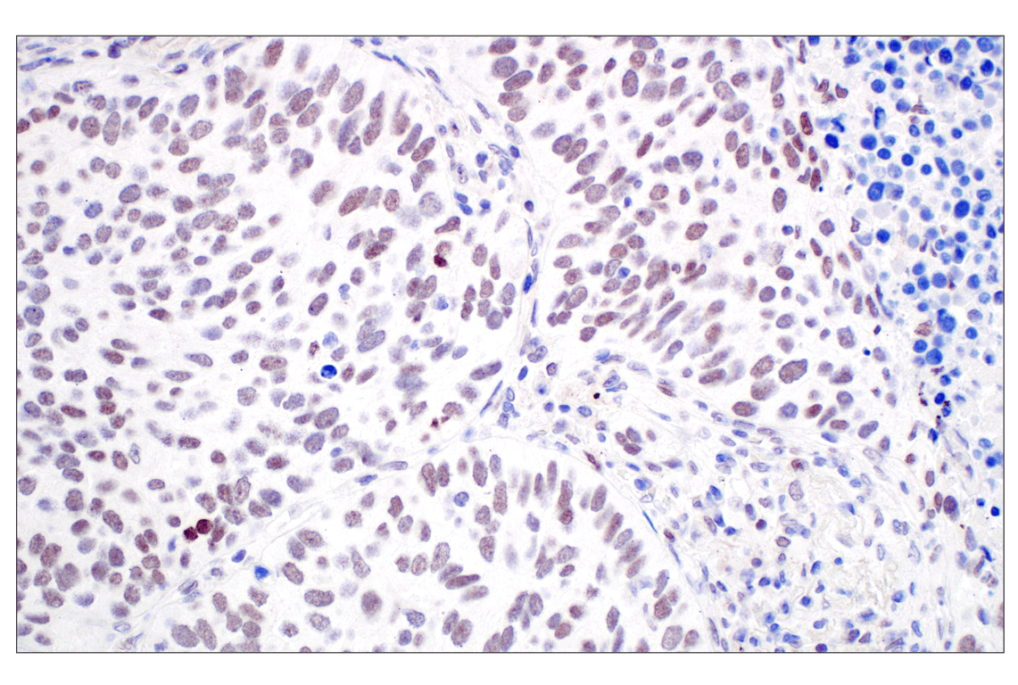
Immunohistochemical analysis of paraffin-embedded human endometrioid adenocarcinoma using MDM2 (F7W7X) Rabbit mAb.
Immunohistochemistry Image 1: MDM2 (F7W7X) Rabbit Monoclonal Antibody
Orders: 877-616-CELL (2355) [email protected] Support: 877-678-TECH (8324) [email protected] Web: cellsignal.com
For Research Use Only. Not for Use in Diagnostic Procedures.

Revision 7

Cell Signaling Technology Logo
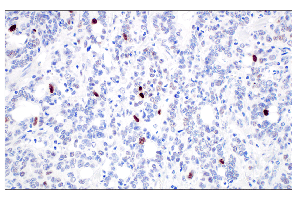
Immunohistochemical analysis of paraffin-embedded human squamous cell lung carcinoma using MDM2 (F7W7X) Rabbit mAb.
Immunohistochemistry Image 2: MDM2 (F7W7X) Rabbit Monoclonal Antibody
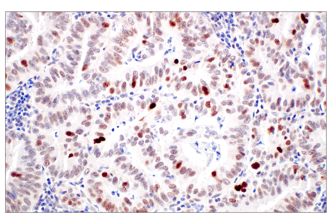
Immunohistochemical analysis of paraffin-embedded human endometrioid adenocarcinoma using MDM2 (F7W7X) Rabbit mAb.
Immunohistochemistry Image 3: MDM2 (F7W7X) Rabbit Monoclonal Antibody
Immunohistochemical analysis of paraffin-embedded human gastric adenocarcinoma using MDM2 (F7W7X) Rabbit mAb.
Immunohistochemistry Image 4: MDM2 (F7W7X) Rabbit Monoclonal Antibody
Orders: 877-616-CELL (2355) [email protected] Support: 877-678-TECH (8324) [email protected] Web: cellsignal.com
For Research Use Only. Not for Use in Diagnostic Procedures.

Revision 7

Cell Signaling Technology Logo

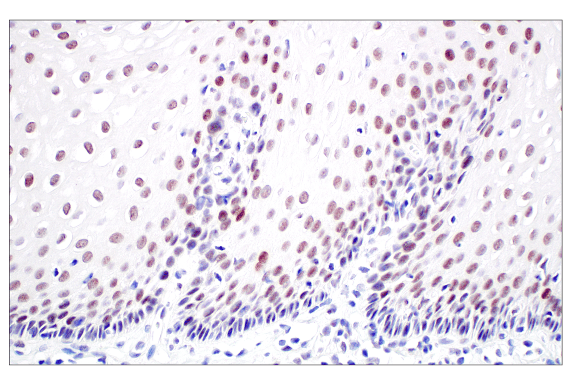
Immunohistochemical analysis of paraffin-embedded normal human esophagus using MDM2 (F7W7X) Rabbit mAb.

Immunohistochemistry Image 5: MDM2 (F7W7X) Rabbit Monoclonal Antibody

Immunohistochemical analysis of paraffin-embedded normal human colon using MDM2 (F7W7X) Rabbit mAb.

Immunohistochemistry Image 6: MDM2 (F7W7X) Rabbit Monoclonal Antibody

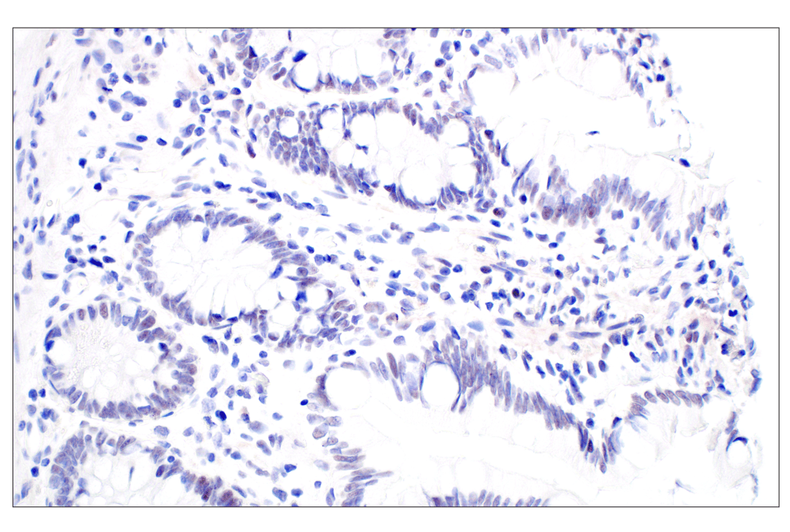
Immunohistochemical analysis of paraffin-embedded normal human small intestine using MDM2 (F7W7X) Rabbit mAb.

Immunohistochemistry Image 7: MDM2 (F7W7X) Rabbit Monoclonal Antibody
Orders: 877-616-CELL (2355) [email protected] Support: 877-678-TECH (8324) [email protected] Web: cellsignal.com
For Research Use Only. Not for Use in Diagnostic Procedures.

Revision 7

Cell Signaling Technology Logo
Immunohistochemical analysis of paraffin-embedded human urothelial carcinoma using MDM2 (F7W7X) Rabbit mAb (left) or an MDM2 Mouse mAb (right). These two antibodies detect unique, non-overlapping epitopes on human MDM2. The similar staining patterns obtained with both antibodies help to confirm the specificity of the staining.
Immunohistochemistry Image 8: MDM2 (F7W7X) Rabbit Monoclonal Antibody
Immunohistochemical analysis of paraffin-embedded human squamous cell carcinoma of the skin using MDM2 (F7W7X) Rabbit mAb (left) compared to concentration-matched Rabbit (DA1E) mAb IgG XP® Isotype Control #3900 (right). 
Immunohistochemistry Image 9: MDM2 (F7W7X) Rabbit Monoclonal Antibody
Immunohistochemical analysis of paraffin-embedded U-2 OS cell pellets, untreated (left) or treated with Nutlin 3a (10 μM, 24 hr; right), using MDM2 (F7W7X) Rabbit mAb.
Immunohistochemistry Image 10: MDM2 (F7W7X) Rabbit Monoclonal Antibody
Orders: 877-616-CELL (2355) [email protected] Support: 877-678-TECH (8324) [email protected] Web: cellsignal.com
For Research Use Only. Not for Use in Diagnostic Procedures.

Revision 7

Cell Signaling Technology Logo
Confocal immunofluorescent analysis of U-2 OS cells, untreated (left) or treated with Nutlin 3a (10 μM, 24 hr; right), using MDM2 (F7W7X) Rabbit mAb (green), DyLight™ 554 Phalloidin #13054 (red), and DAPI #4083 (blue).
Immunofluorescence Image 1: MDM2 (F7W7X) Rabbit Monoclonal Antibody
Flow cytometric analysis of untreated U-2 OS cells (blue) and U-2 OS cells treated with Nutlin-3A (10 µM, 24 hr; green) using MDM2 (F7W7X) Rabbit mAb #82504 (solid lines) or concentration matched Rabbit (DA1E) mAb IgG XP® Isotype Control #3900 (dashed lines). Anti-rabbit IgG (H+L), F(ab')2 Fragment (Alexa Fluor® 488 Conjugate) #4412 was used as a secondary antibody.
Flow Cytometry Image 1: MDM2 (F7W7X) Rabbit Monoclonal Antibody
Orders: 877-616-CELL (2355) [email protected] Support: 877-678-TECH (8324) [email protected] Web: cellsignal.com
For Research Use Only. Not for Use in Diagnostic Procedures.