Revision 4

#83029

Store at -20C

CST Logo
Orders:

877-616-CELL (2355)

[email protected]

Support:

877-678-TECH (8324)

3 Trask Lane | Danvers | Massachusetts | 01923 | USA

For Research Use Only. Not for Use in Diagnostic Procedures.

Applications:
W, W-S, IP, IHC-P, IF-IC

Reactivity:
H M R

Sensitivity:
Endogenous

MW (kDa):
130

Source/Isotype:
Rabbit IgG

UniProt ID:
#P29323

Entrez-Gene Id:
2048

Product Usage Information

Application Dilution
Western Blotting 1:1000
Simple Western™ 1:10 - 1:50
Immunoprecipitation 1:50
Immunohistochemistry (Paraffin) 1:200
Immunofluorescence (Immunocytochemistry) 1:600

Storage

Supplied in 10 mM sodium HEPES (pH 7.5), 150 mM NaCl, 100 µg/ml BSA, 50% glycerol and less than 0.02% sodium azide. Store at –20°C. Do not aliquot the antibody.

For a carrier free (BSA and azide free) version of this product see product #87529.

Specificity/Sensitivity

EphB2 (D2X2I) Rabbit Monoclonal Antibody recognizes endogenous levels of total EphB2 protein.

Source / Purification

Monoclonal antibody is produced by immunizing animals with a synthetic peptide corresponding to residues surrounding Ala573 of human EphB2 protein.

Background

The ephrin receptor B2 (EphB2) is an ephrin family receptor tyrosine kinase that plays an important role in regulating growth and development of multiple tissues and organs (1,2). The EphB2 transmembrane receptor protein contains a kinase domain, a PDZ motif, and a SAM domain within a conserved cytoplasmic domain. A ligand binding domain, a cysteine-rich domain, and fibronectin type III repeats comprise the conserved EphB2 extracellular domain (3). EphB2 binds with high affinity to ephrin B ligands, and to some ephrin A proteins, to initiate bidirectional signaling between neighboring cells (1,2). Upon binding, EphB2-Ephrin B2 dimers form a heterotetramer and position the receptor-ligand complex on the cell membrane to facilitate bidirectional signal transduction (3). In addition to associating with ephrin ligands, EphB2 also regulates a number of biological processes through interaction with focal adhesion kinase (FAK), NMDA receptor (NMDAR), the Rac1 guanine nucleotide exchange factor Tiam1, and p21-activated kinase (PAK1) (4-7). While some studies support a role for EphB2 as a pro-oncogenic kinase, other research suggests that EphB2 acts as a tumor suppressor (1,2,4,8).

Species Reactivity

Species reactivity is determined by testing in at least one approved application (e.g., western blot).

Western Blot Buffer

IMPORTANT: For western blots, incubate membrane with diluted primary antibody in 5% w/v BSA, 1X TBS, 0.1% Tween® 20 at 4°C with gentle shaking, overnight.

Applications Key

W: Western Blotting W-S: Simple Western™ IP: Immunoprecipitation IHC-P: Immunohistochemistry (Paraffin) IF-IC: Immunofluorescence (Immunocytochemistry)

Cross-Reactivity Key

H: Human M: Mouse R: Rat

Trademarks and Patents

Cell Signaling Technology is a trademark of Cell Signaling Technology, Inc.

SignalStain is a registered trademark of Cell Signaling Technology, Inc.

All other trademarks are the property of their respective owners. Visit cellsignal.com/trademarks for more information.

Limited Uses

Except as otherwise expressly agreed in a writing signed by a legally authorized representative of CST, the following terms apply to Products provided by CST, its affiliates or its distributors. Any Customer's terms and conditions that are in addition to, or different from, those contained herein, unless separately accepted in writing by a legally authorized representative of CST, are rejected and are of no force or effect.

Products are labeled with For Research Use Only or a similar labeling statement and have not been approved, cleared, or licensed by the FDA or other regulatory foreign or domestic entity, for any purpose. Customer shall not use any Product for any diagnostic or therapeutic purpose, or otherwise in any manner that conflicts with its labeling statement. Products sold or licensed by CST are provided for Customer as the end-user and solely for research and development uses. Any use of Product for diagnostic, prophylactic or therapeutic purposes, or any purchase of Product for resale (alone or as a component) or other commercial purpose, requires a separate license from CST. Customer shall (a) not sell, license, loan, donate or otherwise transfer or make available any Product to any third party, whether alone or in combination with other materials, or use the Products to manufacture any commercial products, (b) not copy, modify, reverse engineer, decompile, disassemble or otherwise attempt to discover the underlying structure or technology of the Products, or use the Products for the purpose of developing any products or services that would compete with CST products or services, (c) not alter or remove from the Products any trademarks, trade names, logos, patent or copyright notices or markings, (d) use the Products solely in accordance with CST Product Terms of Sale and any applicable documentation, and (e) comply with any license, terms of service or similar agreement with respect to any third party products or services used by Customer in connection with the Products.

Orders: 877-616-CELL (2355) [email protected] Support: 877-678-TECH (8324) [email protected] Web: cellsignal.com
For Research Use Only. Not for Use in Diagnostic Procedures.

Revision 4

Cell Signaling Technology Logo
Western blot analysis of extracts from various cell lines using EphB2 (D2X2I) Rabbit mAb.
Western Blotting Image 1: EphB2 (D2X2I) Rabbit Monoclonal Antibody
Simple WesternTM analysis of lysates (0.1 mg/mL) from Saos-2 cells using EphB2 (D2X2I) Rabbit mAb #83029. The virtual lane view (left) shows the target band (as indicated) at 1:10 and 1:50 dilutions of primary antibody. The corresponding electropherogram view (right) plots chemiluminescence by molecular weight along the capillary at 1:10 (blue line) and 1:50 (green line) dilutions of primary antibody. This experiment was performed under reducing conditions on the JessTM Simple Western instrument from ProteinSimple, a BioTechne brand, using the 12-230 kDa separation module.
Western Blotting Image 1: EphB2 (D2X2I) Rabbit Monoclonal Antibody
Immunoprecipitation of EphB2 protein from Saos-2 cell extracts. Lane 1 is 10% input, lane 2 is Rabbit (DA1E) mAb IgG XP® Isotype Control #3900, and lane 3 is EphB2 (D2X2I) Rabbit mAb. Western blot analysis was performed using EphB2 (D2X2I) Rabbit mAb.
Immunoprecipitation Image 1: EphB2 (D2X2I) Rabbit Monoclonal Antibody
Orders: 877-616-CELL (2355) [email protected] Support: 877-678-TECH (8324) [email protected] Web: cellsignal.com
For Research Use Only. Not for Use in Diagnostic Procedures.

Revision 4

Cell Signaling Technology Logo
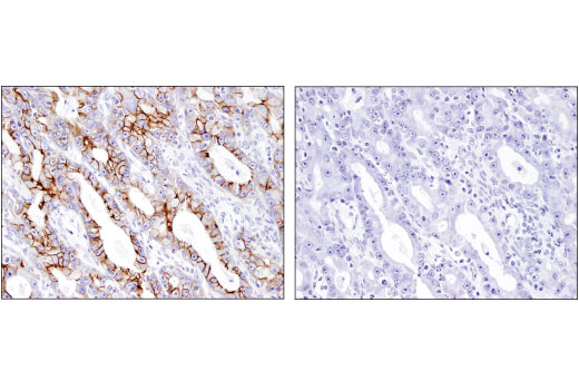
Immunohistochemical analysis of paraffin-embedded human ovarian carcinoma using EphB2 (D2X2I) Rabbit mAb in the presence of control peptide (left) or antigen-specific peptide (right).
Immunohistochemistry Image 1: EphB2 (D2X2I) Rabbit Monoclonal Antibody
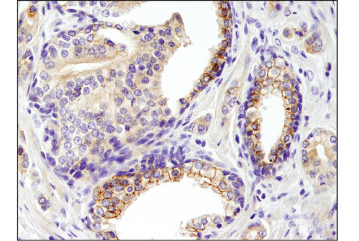
Immunohistochemical analysis of paraffin-embedded human prostate carcinoma using EphB2 (D2X2I) Rabbit mAb.
Immunohistochemistry Image 2: EphB2 (D2X2I) Rabbit Monoclonal Antibody
Confocal immunofluorescent analysis of COLO 205 (positive; left) and K-562 (negative; right) cells using EphB2 (D2X2I) Rabbit mAb (green). Blue pseudocolor = DRAQ5® #4084 (fluorescent DNA dye).
Immunofluorescence Image 1: EphB2 (D2X2I) Rabbit Monoclonal Antibody
Orders: 877-616-CELL (2355) [email protected] Support: 877-678-TECH (8324) [email protected] Web: cellsignal.com
For Research Use Only. Not for Use in Diagnostic Procedures.