Revision 1

#83259

Store at -20C

CST Logo
Orders:

877-616-CELL (2355)

[email protected]

Support:

877-678-TECH (8324)

3 Trask Lane | Danvers | Massachusetts | 01923 | USA

For Research Use Only. Not for Use in Diagnostic Procedures.

Applications:
W, IP, IHC-P, FC-FP

Reactivity:
M

Sensitivity:
Endogenous

MW (kDa):
21

Source/Isotype:
Rabbit IgG

UniProt ID:
#Q64364

Entrez-Gene Id:
12578

Product Usage Information

Application Dilution
Western Blotting 1:1000
Immunoprecipitation 1:50
Immunohistochemistry (Paraffin) 1:500 - 1:2000
Flow Cytometry (Fixed/Permeabilized) 1:500 - 1:2000

Storage

Supplied in 10 mM sodium HEPES (pH 7.5), 150 mM NaCl, 100 µg/mL BSA, 50% glycerol, and less than 0.02% sodium azide. Store at –20°C. Do not aliquot the antibody.

Specificity/Sensitivity

p19 ARF (F6F7N) Rabbit Monoclonal Antibody recognizes endogenous levels of total p19 ARF protein. This antibody does not recognize p16 INK4A protein or human p14 ARF protein. This antibody detects a 60 kDa and a 160 kDa protein of unknown identity.

Source / Purification

Monoclonal antibody is produced by immunizing animals with recombinant protein specific to the central region of mouse p19 ARF protein.

Background

Human p14 ARF (p19 ARF in mouse) is a pro-apoptotic cell cycle regulator frequently inactive in human tumors (1). Basal expression of p14 ARF is low in most cell types, but accumulation of this protein occurs in response to oncogene expression (2,3). Increased p14 ARF levels facilitate MDM2 degradation, leading to increased p53 protein levels and subsequent cell cycle arrest and/or apoptosis (4). While most p14 ARF signaling has traditionally thought to be p53-dependent, more recent reports have described p53-independent p14 ARF signaling leading to cell cycle arrest and apoptosis (5,6).

Species Reactivity

Species reactivity is determined by testing in at least one approved application (e.g., western blot).

Western Blot Buffer

IMPORTANT: For western blots, incubate membrane with diluted primary antibody in 5% w/v BSA, 1X TBS, 0.1% Tween® 20 at 4°C with gentle shaking, overnight.

Applications Key

W: Western Blotting IP: Immunoprecipitation IHC-P: Immunohistochemistry (Paraffin) FC-FP: Flow Cytometry (Fixed/Permeabilized)

Cross-Reactivity Key

M: Mouse

Trademarks and Patents

Cell Signaling Technology is a trademark of Cell Signaling Technology, Inc.

All other trademarks are the property of their respective owners. Visit cellsignal.com/trademarks for more information.

Limited Uses

Except as otherwise expressly agreed in a writing signed by a legally authorized representative of CST, the following terms apply to Products provided by CST, its affiliates or its distributors. Any Customer's terms and conditions that are in addition to, or different from, those contained herein, unless separately accepted in writing by a legally authorized representative of CST, are rejected and are of no force or effect.

Products are labeled with For Research Use Only or a similar labeling statement and have not been approved, cleared, or licensed by the FDA or other regulatory foreign or domestic entity, for any purpose. Customer shall not use any Product for any diagnostic or therapeutic purpose, or otherwise in any manner that conflicts with its labeling statement. Products sold or licensed by CST are provided for Customer as the end-user and solely for research and development uses. Any use of Product for diagnostic, prophylactic or therapeutic purposes, or any purchase of Product for resale (alone or as a component) or other commercial purpose, requires a separate license from CST. Customer shall (a) not sell, license, loan, donate or otherwise transfer or make available any Product to any third party, whether alone or in combination with other materials, or use the Products to manufacture any commercial products, (b) not copy, modify, reverse engineer, decompile, disassemble or otherwise attempt to discover the underlying structure or technology of the Products, or use the Products for the purpose of developing any products or services that would compete with CST products or services, (c) not alter or remove from the Products any trademarks, trade names, logos, patent or copyright notices or markings, (d) use the Products solely in accordance with CST Product Terms of Sale and any applicable documentation, and (e) comply with any license, terms of service or similar agreement with respect to any third party products or services used by Customer in connection with the Products.

Orders: 877-616-CELL (2355) [email protected] Support: 877-678-TECH (8324) [email protected] Web: cellsignal.com
For Research Use Only. Not for Use in Diagnostic Procedures.

Revision 1

Cell Signaling Technology Logo
Western blot analysis of extracts from various cell lines using p19 ARF (F6F7N) Rabbit mAb (upper) or GAPDH (D16H11) XP® Rabbit mAb #5174 (lower). Negative expression of p19 ARF protein in NIH/3T3 cells is consistent with the predicted expression pattern.
Western Blotting Image 1: p19 ARF (F6F7N) Rabbit Monoclonal Antibody
Immunoprecipitation of p19 ARF protein from A20 cell extracts. Lane 1 is 10% input, lane 2 is Rabbit (DA1E) mAb IgG XP® Isotype Control #3900, and lane 3 is p19 ARF (F6F7N) Rabbit mAb. Western blot analysis was performed using p19 ARF (F6F7N) Rabbit mAb. Mouse Anti-rabbit IgG (Conformation Specific) (L27A9) mAb (HRP Conjugate) #5127 was used as a secondary antibody.
Immunoprecipitation Image 1: p19 ARF (F6F7N) Rabbit Monoclonal Antibody
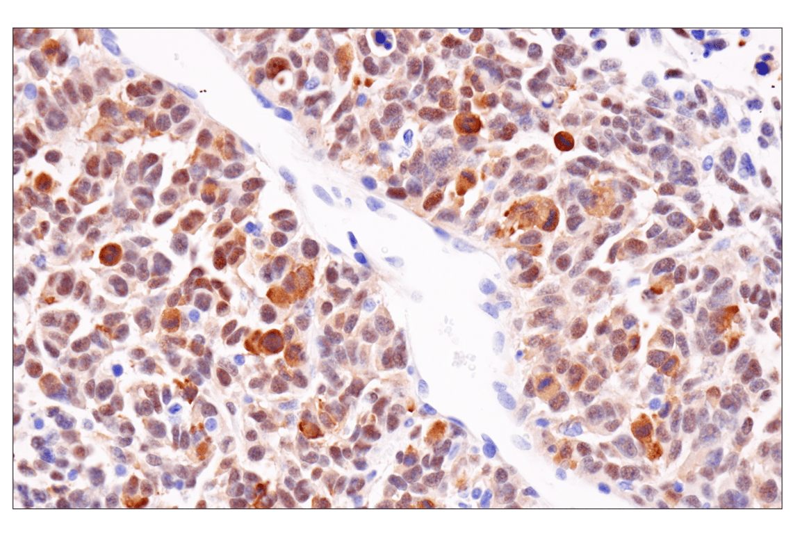
Immunohistochemical analysis of paraffin-embedded A20 syngeneic tumor using p19 ARF (F6F7N) Rabbit mAb.
Immunohistochemistry Image 1: p19 ARF (F6F7N) Rabbit Monoclonal Antibody
Orders: 877-616-CELL (2355) [email protected] Support: 877-678-TECH (8324) [email protected] Web: cellsignal.com
For Research Use Only. Not for Use in Diagnostic Procedures.

Revision 1

Cell Signaling Technology Logo
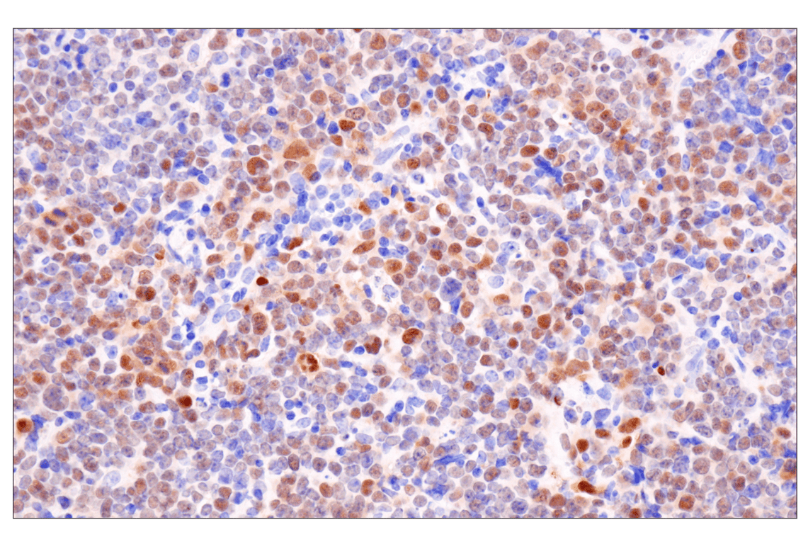
Immunohistochemical analysis of paraffin-embedded GL261 syngeneic tumor using p19 ARF (F6F7N) Rabbit mAb.
Immunohistochemistry Image 2: p19 ARF (F6F7N) Rabbit Monoclonal Antibody
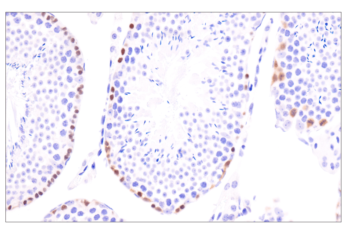
Immunohistochemical analysis of paraffin-embedded mouse testis using p19 ARF (F6F7N) Rabbit mAb.
Immunohistochemistry Image 3: p19 ARF (F6F7N) Rabbit Monoclonal Antibody
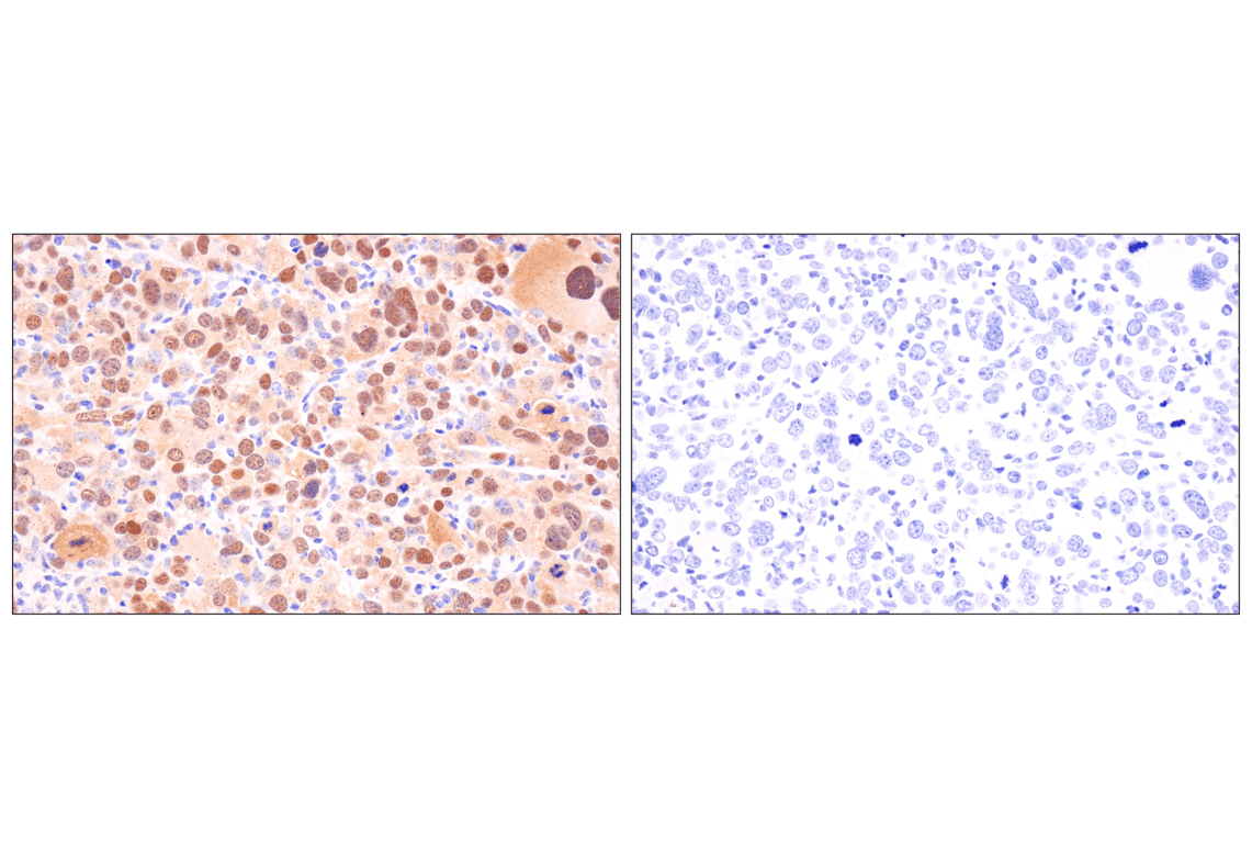
Immunohistochemical analysis of paraffin-embedded Renca syngeneic tumor using p19 ARF (F6F7N) Rabbit mAb (left) compared to concentration-matched Rabbit (DA1E) mAb IgG XP® Isotype Control #3900 (right).
Immunohistochemistry Image 4: p19 ARF (F6F7N) Rabbit Monoclonal Antibody
Orders: 877-616-CELL (2355) [email protected] Support: 877-678-TECH (8324) [email protected] Web: cellsignal.com
For Research Use Only. Not for Use in Diagnostic Procedures.

Revision 1

Cell Signaling Technology Logo
Immunohistochemical analysis of paraffin-embedded A20 cell pellet (left, positive) or NIH/3T3 cell pellet (right, negative) using p19 ARF (F6F7N) Rabbit mAb.
Immunohistochemistry Image 5: p19 ARF (F6F7N) Rabbit Monoclonal Antibody
Flow cytometric analysis of NIH/3T3 cells (blue, negative) and A20 cells (green, positive) using p19 ARF (F6F7N) Rabbit mAb (solid lines) or concentration-matched Rabbit (DA1E) mAb IgG XP® Isotype Control #3900 (dashed lines). Anti-rabbit IgG (H+L), F(ab')2 Fragment (Alexa Fluor® 488 Conjugate) #4412 was used as a secondary antibody.
Flow Cytometry Image 1: p19 ARF (F6F7N) Rabbit Monoclonal Antibody
Orders: 877-616-CELL (2355) [email protected] Support: 877-678-TECH (8324) [email protected] Web: cellsignal.com
For Research Use Only. Not for Use in Diagnostic Procedures.