Revision 1

#83312

Store at -20C

CST Logo
Orders:

877-616-CELL (2355)

[email protected]

Support:

877-678-TECH (8324)

3 Trask Lane | Danvers | Massachusetts | 01923 | USA

For Research Use Only. Not for Use in Diagnostic Procedures.

Applications:
W, IP

Reactivity:
H Mk

Sensitivity:
Endogenous

MW (kDa):
145

Source/Isotype:
Rabbit IgG

UniProt ID:
#Q9UPR3

Entrez-Gene Id:
23381

Product Usage Information

Application Dilution
Western Blotting 1:1000
Immunoprecipitation 1:100

Storage

Supplied in 10 mM sodium HEPES (pH 7.5), 150 mM NaCl, 100 µg/mL BSA, 50% glycerol, and less than 0.02% sodium azide. Store at –20°C. Do not aliquot the antibody.

Specificity/Sensitivity

SMG5 (F9P6O) Rabbit Monoclonal Antibody recognizes endogenous levels of total SMG5 protein.

Source / Purification

Monoclonal antibody is produced by immunizing animals with a synthetic peptide corresponding to residues surrounding Pro598 of human SMG5 protein.

Background

Nonsense-mediated mRNA decay (NMD) is a process by which prematurely terminated transcripts are degraded before they can be translated (1-3). There are two differential processes for NMD in higher eukaryotes, endonucleolytic and exonucleolytic, which are governed by SMG6 (also known as EST1A) or SMG5 and SMG7, respectively (1,4-8). SMG5, SMG6, and SMG7 are structurally similar, but SMG6 contains a PIN domain with endonucleolytic activity. SMG5 contains a similar domain, but lacks critical residues for endonuclease activity. SMG7 does not contain a PIN domain (7). All three proteins are recruited to UPF1 when SMG1 phosphorylates it, and the NMD process significantly diverges later. Upon binding to UPF1, SMG5 and SMG7 can recruit decaying and deadenylating protein complexes, resulting in subsequent mRNA degradation via the XRN1 exonuclease and the exosome (8,9). SMG6, however, promotes decay through cleaving nonspecific sites within 40 nucleotides of the premature termination codon (PTC) (7,10). Interestingly, SMG6-mediated decay depends on either a functional SMG5 or SMG7 (11). NMD pathways are species-specific, with Drosophila relying more on SMG6-mediated decay and yeast utilizing the decaying and deadenylating approach to mRNA turnover (12).

Species Reactivity

Species reactivity is determined by testing in at least one approved application (e.g., western blot).

Western Blot Buffer

IMPORTANT: For western blots, incubate membrane with diluted primary antibody in 5% w/v BSA, 1X TBS, 0.1% Tween® 20 at 4°C with gentle shaking, overnight.

Applications Key

W: Western Blotting IP: Immunoprecipitation

Cross-Reactivity Key

H: Human Mk: Monkey

Trademarks and Patents

Cell Signaling Technology is a trademark of Cell Signaling Technology, Inc.

All other trademarks are the property of their respective owners. Visit cellsignal.com/trademarks for more information.

Limited Uses

Except as otherwise expressly agreed in a writing signed by a legally authorized representative of CST, the following terms apply to Products provided by CST, its affiliates or its distributors. Any Customer's terms and conditions that are in addition to, or different from, those contained herein, unless separately accepted in writing by a legally authorized representative of CST, are rejected and are of no force or effect.

Products are labeled with For Research Use Only or a similar labeling statement and have not been approved, cleared, or licensed by the FDA or other regulatory foreign or domestic entity, for any purpose. Customer shall not use any Product for any diagnostic or therapeutic purpose, or otherwise in any manner that conflicts with its labeling statement. Products sold or licensed by CST are provided for Customer as the end-user and solely for research and development uses. Any use of Product for diagnostic, prophylactic or therapeutic purposes, or any purchase of Product for resale (alone or as a component) or other commercial purpose, requires a separate license from CST. Customer shall (a) not sell, license, loan, donate or otherwise transfer or make available any Product to any third party, whether alone or in combination with other materials, or use the Products to manufacture any commercial products, (b) not copy, modify, reverse engineer, decompile, disassemble or otherwise attempt to discover the underlying structure or technology of the Products, or use the Products for the purpose of developing any products or services that would compete with CST products or services, (c) not alter or remove from the Products any trademarks, trade names, logos, patent or copyright notices or markings, (d) use the Products solely in accordance with CST Product Terms of Sale and any applicable documentation, and (e) comply with any license, terms of service or similar agreement with respect to any third party products or services used by Customer in connection with the Products.

Orders: 877-616-CELL (2355) [email protected] Support: 877-678-TECH (8324) [email protected] Web: cellsignal.com
For Research Use Only. Not for Use in Diagnostic Procedures.

Revision 1

Cell Signaling Technology Logo
Western blot analysis of extracts from various cell lines using SMG5 (F9P6O) Rabbit mAb (upper) or β-Actin (D6A8) Rabbit mAb #8457 (lower).
Western Blotting Image 1: SMG5 (F9P6O) Rabbit Monoclonal Antibody
Western blot analysis of extracts from 293T cells, transfected with control siRNA (-) or human SMG5 siRNA (hSMG5 siRNA; +), using SMG5 (F9P6O) Rabbit mAb (upper) or β-Actin (D6A8) Rabbit mAb #8457 (lower).
Western Blotting Image 2: SMG5 (F9P6O) Rabbit Monoclonal Antibody
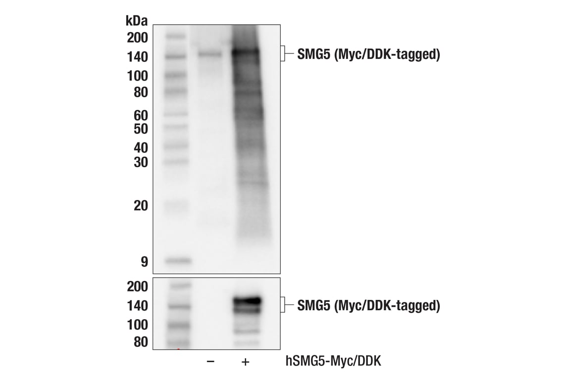
Western blot analysis of extracts from 293T cells, mock transfected (-) or transfected with a construct expressing Myc/DDK-tagged full-length human SMG5 (hSMG5-Myc/DDK; +), using SMG5 (F9P6O) Rabbit mAb (upper) or DYKDDDDK (D6W5B) Rabbit mAb #14793 (lower).
Western Blotting Image 3: SMG5 (F9P6O) Rabbit Monoclonal Antibody
Orders: 877-616-CELL (2355) [email protected] Support: 877-678-TECH (8324) [email protected] Web: cellsignal.com
For Research Use Only. Not for Use in Diagnostic Procedures.

Revision 1

Cell Signaling Technology Logo
Immunoprecipitation of SMG5 protein from HeLa cell extracts. Lane 1 is 10% input, lane 2 is Rabbit (DA1E) mAb IgG XP® Isotype Control #3900, and lane 3 is SMG5 (F9P6O) Rabbit mAb. Western blot analysis was performed using SMG5 (F9P6O) Rabbit mAb. Anti-rabbit IgG, HRP-linked Antibody #7074 was used as a secondary antibody.
Immunoprecipitation Image 1: SMG5 (F9P6O) Rabbit Monoclonal Antibody
Orders: 877-616-CELL (2355) [email protected] Support: 877-678-TECH (8324) [email protected] Web: cellsignal.com
For Research Use Only. Not for Use in Diagnostic Procedures.