Revision 5

#83649

Store at -20C

CST Logo
Orders:

877-616-CELL (2355)

[email protected]

Support:

877-678-TECH (8324)

3 Trask Lane | Danvers | Massachusetts | 01923 | USA

For Research Use Only. Not for Use in Diagnostic Procedures.

Applications:
W, IP, IHC-P, IF-F, IF-IC

Reactivity:
H M R

Sensitivity:
Endogenous

MW (kDa):
39, 41, 43, 44

Source/Isotype:
Rabbit IgG

UniProt ID:
#P17302

Entrez-Gene Id:
2697

Product Usage Information

Application Dilution
Western Blotting 1:1000
Immunoprecipitation 1:100
Immunohistochemistry (Paraffin) 1:200 - 1:800
Immunofluorescence (Frozen) 1:400 - 1:1600
Immunofluorescence (Immunocytochemistry) 1:400 - 1:1600

Storage

Supplied in 10 mM sodium HEPES (pH 7.5), 150 mM NaCl, 100 µg/ml BSA, 50% glycerol and less than 0.02% sodium azide. Store at –20°C. Do not aliquot the antibody.

For a carrier free (BSA and azide free) version of this product see product #89289.

Specificity/Sensitivity

Connexin 43 (E7N2R) Rabbit Monoclonal Antibody recognizes endogenous levels of total connexin 43 protein.

Source / Purification

Monoclonal antibody is produced by immunizing animals with a synthetic peptide corresponding to residues surrounding Arg374 of human connexin 43 protein.

Background

Connexin 43 (Cx43) is a member of the large family of gap junction proteins. Connexins assemble as a hexamer and are transported to the plasma membrane to create a hemichannel that can associate with hemichannels on nearby cells to create cell-to-cell channels. Clusters of these channels assemble to make gap junctions. Gap junction communication is important in development and regulation of cell growth. Phosphorylation of Cx43 is important in regulating assembly and function of gap junctions (1,2). Ser368 of Cx43 is phosphorylated by protein kinase C (PKC) after activation by phorbol esters, which decreases cell-to-cell communication (3). Src can interact with and phosphorylate Cx43 to alter gap junction communication (4,5).

Species Reactivity

Species reactivity is determined by testing in at least one approved application (e.g., western blot).

Western Blot Buffer

IMPORTANT: For western blots, incubate membrane with diluted primary antibody in 5% w/v BSA, 1X TBS, 0.1% Tween® 20 at 4°C with gentle shaking, overnight.

Applications Key

W: Western Blotting IP: Immunoprecipitation IHC-P: Immunohistochemistry (Paraffin) IF-F: Immunofluorescence (Frozen) IF-IC: Immunofluorescence (Immunocytochemistry)

Cross-Reactivity Key

H: Human M: Mouse R: Rat

Trademarks and Patents

Cell Signaling Technology is a trademark of Cell Signaling Technology, Inc.

SignalStain is a registered trademark of Cell Signaling Technology, Inc.

All other trademarks are the property of their respective owners. Visit cellsignal.com/trademarks for more information.

Limited Uses

Except as otherwise expressly agreed in a writing signed by a legally authorized representative of CST, the following terms apply to Products provided by CST, its affiliates or its distributors. Any Customer's terms and conditions that are in addition to, or different from, those contained herein, unless separately accepted in writing by a legally authorized representative of CST, are rejected and are of no force or effect.

Products are labeled with For Research Use Only or a similar labeling statement and have not been approved, cleared, or licensed by the FDA or other regulatory foreign or domestic entity, for any purpose. Customer shall not use any Product for any diagnostic or therapeutic purpose, or otherwise in any manner that conflicts with its labeling statement. Products sold or licensed by CST are provided for Customer as the end-user and solely for research and development uses. Any use of Product for diagnostic, prophylactic or therapeutic purposes, or any purchase of Product for resale (alone or as a component) or other commercial purpose, requires a separate license from CST. Customer shall (a) not sell, license, loan, donate or otherwise transfer or make available any Product to any third party, whether alone or in combination with other materials, or use the Products to manufacture any commercial products, (b) not copy, modify, reverse engineer, decompile, disassemble or otherwise attempt to discover the underlying structure or technology of the Products, or use the Products for the purpose of developing any products or services that would compete with CST products or services, (c) not alter or remove from the Products any trademarks, trade names, logos, patent or copyright notices or markings, (d) use the Products solely in accordance with CST Product Terms of Sale and any applicable documentation, and (e) comply with any license, terms of service or similar agreement with respect to any third party products or services used by Customer in connection with the Products.

Orders: 877-616-CELL (2355) [email protected] Support: 877-678-TECH (8324) [email protected] Web: cellsignal.com
For Research Use Only. Not for Use in Diagnostic Procedures.

Revision 5

Cell Signaling Technology Logo
Western blot analysis of extracts from various cell lines using Connexin 43 (E7N2R) XP® Rabbit mAb (upper) and GAPDH (D16H11) XP® Rabbit mAb #5174 (lower). Low expression of connexin 43 protein in BeWo cells is consistent with the predicted expression pattern.
Western Blotting Image 1: Connexin 43 (E7N2R) Rabbit Monoclonal Antibody
Western blot analysis of extracts from control 293T cells (lane 1) or connexin 43 knockout 293T cells (lane 2) using Connexin 43 (E7N2R) XP® Rabbit mAb (upper) and GAPDH (D16H11) XP® Rabbit mAb #5174 (lower). The absence of signal in the connexin 43 knockout 293T cells confirms specificity of the antibody for connexin 43.
Western Blotting Image 2: Connexin 43 (E7N2R) Rabbit Monoclonal Antibody
Immunoprecipitation of connexin 43 protein from 293T cell extracts. Lane 1 is 10% input, lane 2 is Rabbit (DA1E) mAb IgG XP® Isotype Control #3900, and lane 3 is Connexin 43 (E7N2R) XP® Rabbit mAb. Western blot analysis was performed using Connexin 43 (E7N2R) XP® Rabbit mAb. Anti-rabbit IgG, HRP-linked Antibody #7074 was used as the secondary antibody. 
Immunoprecipitation Image 1: Connexin 43 (E7N2R) Rabbit Monoclonal Antibody
Orders: 877-616-CELL (2355) [email protected] Support: 877-678-TECH (8324) [email protected] Web: cellsignal.com
For Research Use Only. Not for Use in Diagnostic Procedures.

Revision 5

Cell Signaling Technology Logo
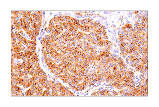
Immunohistochemical analysis of paraffin-embedded human granulosa cell tumor of the ovary using Connexin 43 (E7N2R) XP® Rabbit mAb.
Immunohistochemistry Image 1: Connexin 43 (E7N2R) Rabbit Monoclonal Antibody
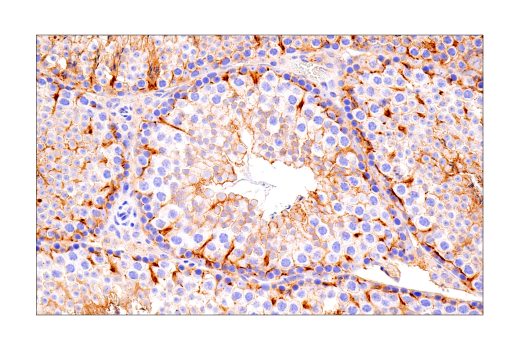
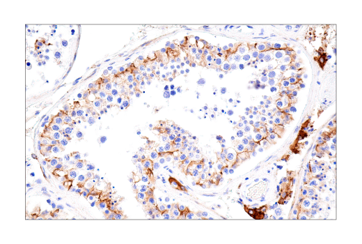
Immunohistochemical analysis of paraffin-embedded normal human testis using Connexin 43 (E7N2R) XP® Rabbit mAb.
Immunohistochemistry Image 2: Connexin 43 (E7N2R) Rabbit Monoclonal Antibody
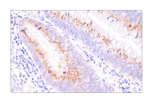
Immunohistochemical analysis of paraffin-embedded human colon adenocarcinoma using Connexin 43 (E7N2R) XP® Rabbit mAb.
Immunohistochemistry Image 3: Connexin 43 (E7N2R) Rabbit Monoclonal Antibody
Orders: 877-616-CELL (2355) [email protected] Support: 877-678-TECH (8324) [email protected] Web: cellsignal.com
For Research Use Only. Not for Use in Diagnostic Procedures.

Revision 5

Cell Signaling Technology Logo
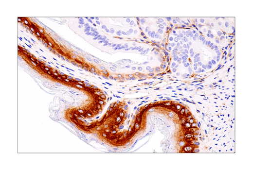
Immunohistochemical analysis of paraffin-embedded human squamous cell carcinoma of the tonsil using Connexin 43 (E7N2R) XP® Rabbit mAb.
Immunohistochemistry Image 4: Connexin 43 (E7N2R) Rabbit Monoclonal Antibody
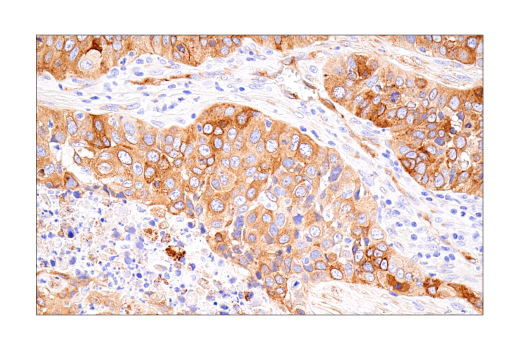
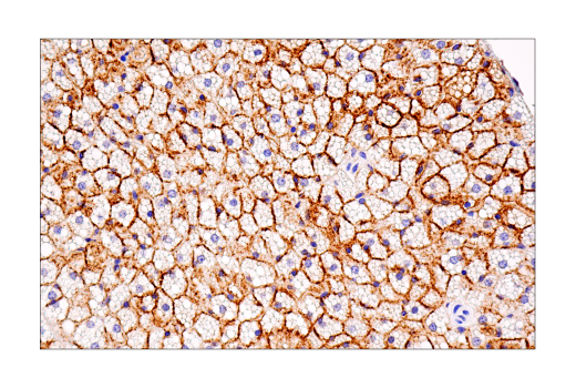
Immunohistochemical analysis of paraffin-embedded human prostate adenocarcinoma using Connexin 43 (E7N2R) XP® Rabbit mAb.
Immunohistochemistry Image 5: Connexin 43 (E7N2R) Rabbit Monoclonal Antibody
Immunohistochemical analysis of paraffin-embedded human non-small cell lung carcinoma using Connexin 43 (E7N2R) XP® Rabbit mAb.
Immunohistochemistry Image 6: Connexin 43 (E7N2R) Rabbit Monoclonal Antibody
Orders: 877-616-CELL (2355) [email protected] Support: 877-678-TECH (8324) [email protected] Web: cellsignal.com
For Research Use Only. Not for Use in Diagnostic Procedures.

Revision 5

Cell Signaling Technology Logo
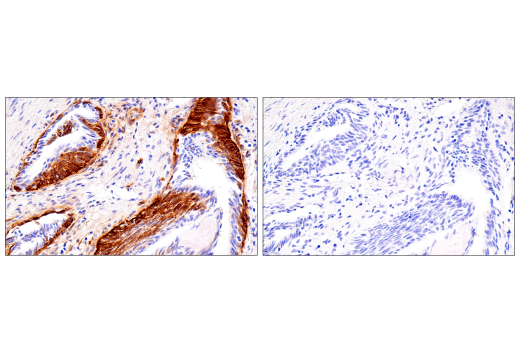
Immunohistochemical analysis of paraffin-embedded human prostate adenocarcinoma using Connexin 43 (E7N2R) XP® Rabbit mAb (left) compared to concentration-matched Rabbit (DA1E) mAb IgG XP® Isotype Control #3900 (right).
Immunohistochemistry Image 7: Connexin 43 (E7N2R) Rabbit Monoclonal Antibody
Immunohistochemical analysis of paraffin-embedded 293T cell pellet, wild-type (left, positive) or connexin 43 knockout (right, negative), using Connexin 43 (E7N2R) XP® Rabbit mAb.
Immunohistochemistry Image 8: Connexin 43 (E7N2R) Rabbit Monoclonal Antibody
Immunohistochemical analysis of paraffin-embedded normal mouse brown fat using Connexin 43 (E7N2R) XP® Rabbit mAb.
Immunohistochemistry Image 9: Connexin 43 (E7N2R) Rabbit Monoclonal Antibody
Orders: 877-616-CELL (2355) [email protected] Support: 877-678-TECH (8324) [email protected] Web: cellsignal.com
For Research Use Only. Not for Use in Diagnostic Procedures.

Revision 5

Cell Signaling Technology Logo
Immunohistochemical analysis of paraffin-embedded normal mouse heart using Connexin 43 (E7N2R) XP® Rabbit mAb.
Immunohistochemistry Image 10: Connexin 43 (E7N2R) Rabbit Monoclonal Antibody
Immunohistochemical analysis of paraffin-embedded normal mouse forestomach using Connexin 43 (E7N2R) XP® Rabbit mAb.
Immunohistochemistry Image 11: Connexin 43 (E7N2R) Rabbit Monoclonal Antibody
Immunohistochemical analysis of paraffin-embedded 4T1 syngeneic mammary tumor using Connexin 43 (E7N2R) XP® Rabbit mAb.
Immunohistochemistry Image 12: Connexin 43 (E7N2R) Rabbit Monoclonal Antibody
Orders: 877-616-CELL (2355) [email protected] Support: 877-678-TECH (8324) [email protected] Web: cellsignal.com
For Research Use Only. Not for Use in Diagnostic Procedures.

Revision 5

Cell Signaling Technology Logo
Immunohistochemical analysis of paraffin-embedded normal mouse testis using Connexin 43 (E7N2R) XP® Rabbit mAb.
Immunohistochemistry Image 13: Connexin 43 (E7N2R) Rabbit Monoclonal Antibody
Confocal immunofluorescent analysis of fixed frozen rat spinal cord labeled with Connexin 43 (E7N2R) XP® Rabbit mAb #83649 (left, red), and co-labeled with GFAP (GA5) Mouse mAb (Alexa Fluor® 488 Conjugate) #3655 (right, green) and DAPI #4083 (right, blue).
Immunofluorescence Image 1: Connexin 43 (E7N2R) Rabbit Monoclonal Antibody
Confocal immunofluorescent analysis of control 293T cells (left, positive) or connexin 43 knockout 293T cells (right, negative) using Connexin 43 (E7N2R) XP® Rabbit mAb (green). Actin filaments were labeled with DyLight™ 650 Phalloidin #12956 (red). Samples were mounted in ProLong® Gold Antifade Reagent with DAPI #8961 (blue).
Immunofluorescence Image 1: Connexin 43 (E7N2R) Rabbit Monoclonal Antibody
Orders: 877-616-CELL (2355) [email protected] Support: 877-678-TECH (8324) [email protected] Web: cellsignal.com
For Research Use Only. Not for Use in Diagnostic Procedures.

Revision 5

Cell Signaling Technology Logo
Confocal immunofluorescent analysis of NTERA-2 cl.D1 cells (left, moderate-expressing) or BeWo cells (right, low-expressing) using Connexin 43 (E7N2R) XP® Rabbit mAb (green). Actin filaments were labeled with DyLight™ 650 Phalloidin #12956 (red). Samples were mounted in ProLong® Gold Antifade Reagent with DAPI #8961 (blue).
Immunofluorescence Image 2: Connexin 43 (E7N2R) Rabbit Monoclonal Antibody
Orders: 877-616-CELL (2355) [email protected] Support: 877-678-TECH (8324) [email protected] Web: cellsignal.com
For Research Use Only. Not for Use in Diagnostic Procedures.