Revision 3

#83957

Store at -20C

CST Logo
Orders:

877-616-CELL (2355)

[email protected]

Support:

877-678-TECH (8324)

3 Trask Lane | Danvers | Massachusetts | 01923 | USA

For Research Use Only. Not for Use in Diagnostic Procedures.

Applications:
W, IHC-P

Reactivity:
H M R

Sensitivity:
Endogenous

MW (kDa):
45-65

Source/Isotype:
Rabbit IgG

UniProt ID:
#P02535, #P05784, #Q61781, #Q61414, #Q9Z2K1, #Q9QWL7, #P19001

Entrez-Gene Id:
16661, 16668, 16664, 16665, 16666, 16667, 16669

Product Usage Information

Application Dilution
Western Blotting 1:1000
Immunohistochemistry (Paraffin) 1:500 - 1:2000

Storage

Supplied in 10 mM sodium HEPES (pH 7.5), 150 mM NaCl, 100 µg/mL BSA, 50% glycerol, and less than 0.02% sodium azide. Store at –20°C. Do not aliquot the antibody.

For a carrier free (BSA and azide free) version of this product see product #72829.

Specificity/Sensitivity

Pan-Keratin (Type I) (E6S1S) Rabbit Monoclonal Antibody recognizes endogenous levels of total type I keratin protein. The antibody was validated to detect overexpressed keratin 10, 17, and 18. By homology, it is also predicted to detect keratin 13, 14, 15, 16, and 19. This antibody does not detect type II keratins including keratin 1, 5, 6a, 7, and 8. Non-specific staining was observed in Leydig cells of the testis by immunohistochemistry.

Source / Purification

Monoclonal antibody is produced by immunizing animals with a mix of synthetic peptides corresponding to residues highly conserved among type I keratins.

Background

Keratins (cytokeratins) are intermediate filament proteins that are mainly expressed in epithelial cells. Keratin heterodimers composed of an acidic keratin (or type I keratin, keratins K9-K28) and a basic keratin (or type II keratin, keratins K1-K8 and K71-K80) assemble to form filaments. Keratin isoforms demonstrate tissue- and differentiation-specific profiles that make them useful as research and clinical biomarkers (1,2).

Dysregulation/mutations in keratin genes can lead to a variety of disorders affecting the skin, hair, nails, and other epithelial tissues (3). While expression of keratins can be variable, immunohistochemical staining of keratins is widely used to help in the identification and classification of epithelial tumors, and may also provide prognostic information.

Keratins 8 and 18 (K8/K18) are expressed in simple epithelia of normal tissue, as well as in adenocarcinomas of the breast, lung, ovary, and gastrointestinal tract. Keratin 17 is expressed in basal keratinocytes of stratified epithelia, hair follicles, and sebaceous glands. Onset of keratin 17 expression coincides with the definition of major epithelial lineages during skin development (4). Keratin 14 (K14) is expressed in basal cells of stratified epithelia, and in basal-like subtypes of breast cancer and squamous cell carcinomas. Keratin 19 (K19) is expressed in glandular epithelia, including the liver, gallbladder, and pancreas, as well as in adenocarcinomas of the breast, thyroid, and bile duct. Keratin 20 (K20) is expressed in gastrointestinal epithelium, urothelium, and Merkel cells in the skin, as well as in colorectal carcinomas and some urothelial carcinomas. Keratin 5/6 (K5/6) is expressed in basal cells of stratified epithelia, including the skin, prostate, and breast, as well as in basal-like breast cancers, squamous cell carcinomas, and some lung carcinomas. Keratin 7 (K7) is expressed in glandular epithelia, such as those in the lung, breast, and female reproductive tract, as well as in adenocarcinomas of the lung, breast, and ovary (5,6).

Keratins, particularly K8, K18, and K19, serve as biomarkers for identification of circulating tumor cells (CTCs) (5).

Post-translational modifications, including phosphorylation, acetylation, ubiquitylation, sumoylation, glycosylation, and transamidation, have been shown to affect the functions of keratins in normal and disease states (6). Understanding the molecular mechanisms underlying these PTMs may provide insights into cancer pathogenesis.

Species Reactivity

Species reactivity is determined by testing in at least one approved application (e.g., western blot).

Western Blot Buffer

IMPORTANT: For western blots, incubate membrane with diluted primary antibody in 5% w/v BSA, 1X TBS, 0.1% Tween® 20 at 4°C with gentle shaking, overnight.

Applications Key

W: Western Blotting IHC-P: Immunohistochemistry (Paraffin)

Cross-Reactivity Key

H: Human M: Mouse R: Rat

Trademarks and Patents

Cell Signaling Technology is a trademark of Cell Signaling Technology, Inc.

All other trademarks are the property of their respective owners. Visit cellsignal.com/trademarks for more information.

Limited Uses

Except as otherwise expressly agreed in a writing signed by a legally authorized representative of CST, the following terms apply to Products provided by CST, its affiliates or its distributors. Any Customer's terms and conditions that are in addition to, or different from, those contained herein, unless separately accepted in writing by a legally authorized representative of CST, are rejected and are of no force or effect.

Products are labeled with For Research Use Only or a similar labeling statement and have not been approved, cleared, or licensed by the FDA or other regulatory foreign or domestic entity, for any purpose. Customer shall not use any Product for any diagnostic or therapeutic purpose, or otherwise in any manner that conflicts with its labeling statement. Products sold or licensed by CST are provided for Customer as the end-user and solely for research and development uses. Any use of Product for diagnostic, prophylactic or therapeutic purposes, or any purchase of Product for resale (alone or as a component) or other commercial purpose, requires a separate license from CST. Customer shall (a) not sell, license, loan, donate or otherwise transfer or make available any Product to any third party, whether alone or in combination with other materials, or use the Products to manufacture any commercial products, (b) not copy, modify, reverse engineer, decompile, disassemble or otherwise attempt to discover the underlying structure or technology of the Products, or use the Products for the purpose of developing any products or services that would compete with CST products or services, (c) not alter or remove from the Products any trademarks, trade names, logos, patent or copyright notices or markings, (d) use the Products solely in accordance with CST Product Terms of Sale and any applicable documentation, and (e) comply with any license, terms of service or similar agreement with respect to any third party products or services used by Customer in connection with the Products.

Orders: 877-616-CELL (2355) [email protected] Support: 877-678-TECH (8324) [email protected] Web: cellsignal.com
For Research Use Only. Not for Use in Diagnostic Procedures.

Revision 3

Cell Signaling Technology Logo
Western blot analysis of extracts from various cell lines and tissues using Pan-Keratin (Type I) (E6S1S) Rabbit mAb (upper) or GAPDH (D16H11) XP® Rabbit mAb #5174 (lower). Negative expression of pan-keratin (type I) protein in SUP-B15 and Jurkat cells is consistent with the predicted expression pattern.
Western Blotting Image 1: Pan-Keratin (Type I) (E6S1S) Rabbit Monoclonal Antibody
Western blot analysis of extracts from 293T cells, mock transfected (-) or transfected with constructs expressing full-length human keratin 10 (hKRT10; +), full-length human keratin 17 (hKRT17; +), or Myc/DDK-tagged full-length human keratin 18 (hKRT18-Myc/DDK; +), using Pan-Keratin (Type I) (E6S1S) Rabbit mAb (upper) or GAPDH (D16H11) XP® Rabbit mAb #5174 (lower).
Western Blotting Image 2: Pan-Keratin (Type I) (E6S1S) Rabbit Monoclonal Antibody
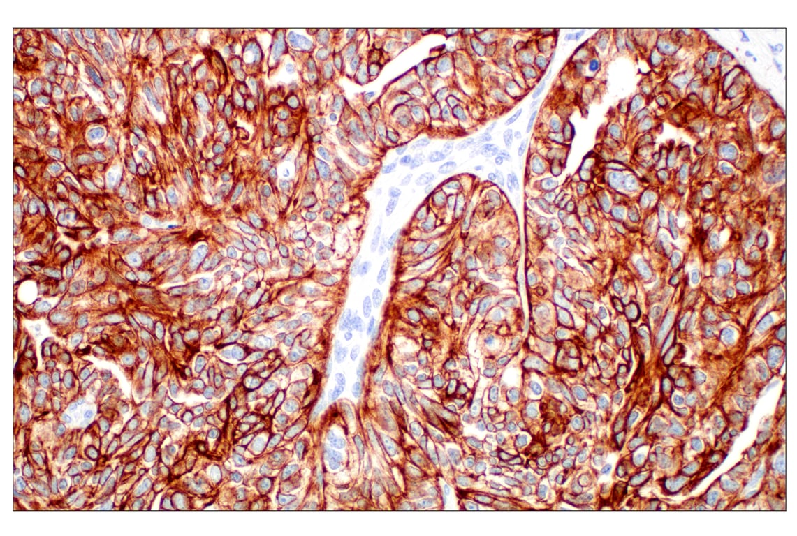
Immunohistochemical analysis of paraffin-embedded human serous papillary carcinoma of the ovary using Pan-Keratin (Type I) (E6S1S) Rabbit mAb.
Immunohistochemistry Image 1: Pan-Keratin (Type I) (E6S1S) Rabbit Monoclonal Antibody
Orders: 877-616-CELL (2355) [email protected] Support: 877-678-TECH (8324) [email protected] Web: cellsignal.com
For Research Use Only. Not for Use in Diagnostic Procedures.

Revision 3

Cell Signaling Technology Logo
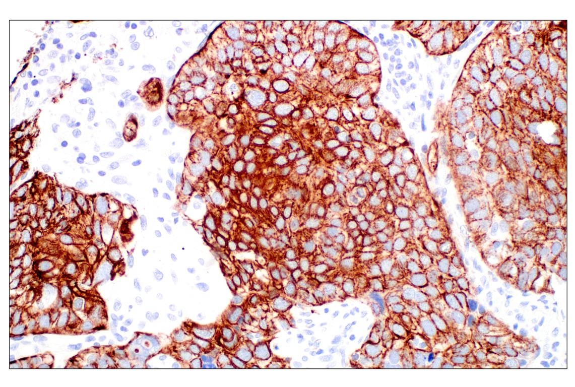
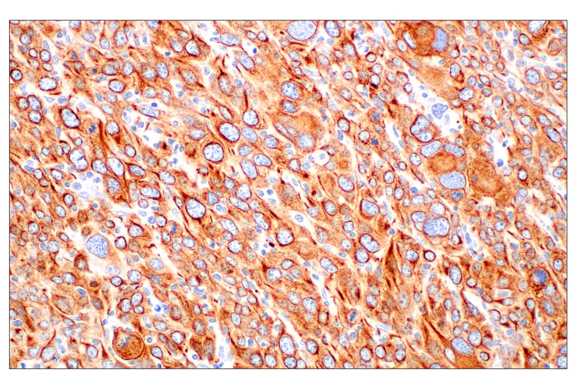
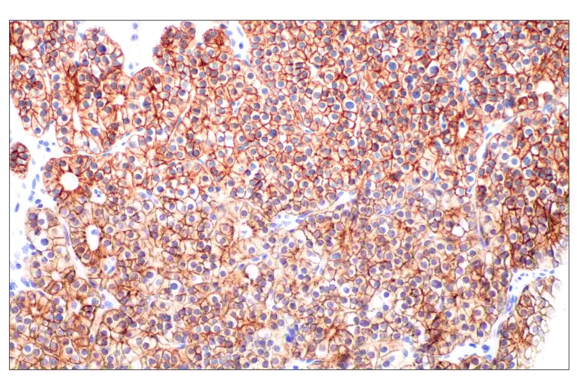
Immunohistochemical analysis of paraffin-embedded human renal cell carcinoma using Pan-Keratin (Type I) (E6S1S) Rabbit mAb.
Immunohistochemistry Image 2: Pan-Keratin (Type I) (E6S1S) Rabbit Monoclonal Antibody
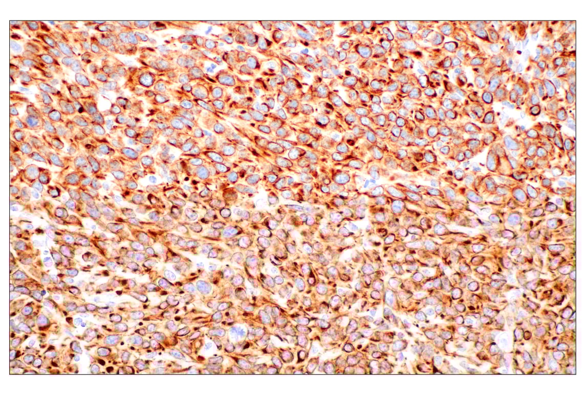
Immunohistochemical analysis of paraffin-embedded human squamous cell lung carcinoma using Pan-Keratin (Type I) (E6S1S) Rabbit mAb.
Immunohistochemistry Image 3: Pan-Keratin (Type I) (E6S1S) Rabbit Monoclonal Antibody
Immunohistochemical analysis of paraffin-embedded human prostate adenocarcinoma using Pan-Keratin (Type I) (E6S1S) Rabbit mAb.
Immunohistochemistry Image 4: Pan-Keratin (Type I) (E6S1S) Rabbit Monoclonal Antibody
Orders: 877-616-CELL (2355) [email protected] Support: 877-678-TECH (8324) [email protected] Web: cellsignal.com
For Research Use Only. Not for Use in Diagnostic Procedures.

Revision 3

Cell Signaling Technology Logo
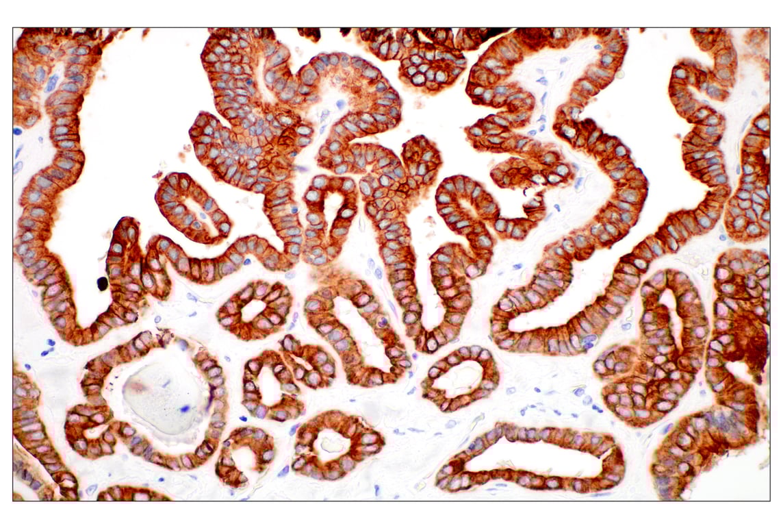
Immunohistochemical analysis of paraffin-embedded human papillary thyroid carcinoma using Pan-Keratin (Type I) (E6S1S) Rabbit mAb.
Immunohistochemistry Image 5: Pan-Keratin (Type I) (E6S1S) Rabbit Monoclonal Antibody
Immunohistochemical analysis of paraffin-embedded human squamous cell carcinoma of the cervix using Pan-Keratin (Type I) (E6S1S) Rabbit mAb.
Immunohistochemistry Image 6: Pan-Keratin (Type I) (E6S1S) Rabbit Monoclonal Antibody
Immunohistochemical analysis of paraffin-embedded normal human parathyroid using Pan-Keratin (Type I) (E6S1S) Rabbit mAb.
Immunohistochemistry Image 7: Pan-Keratin (Type I) (E6S1S) Rabbit Monoclonal Antibody
Orders: 877-616-CELL (2355) [email protected] Support: 877-678-TECH (8324) [email protected] Web: cellsignal.com
For Research Use Only. Not for Use in Diagnostic Procedures.

Revision 3

Cell Signaling Technology Logo
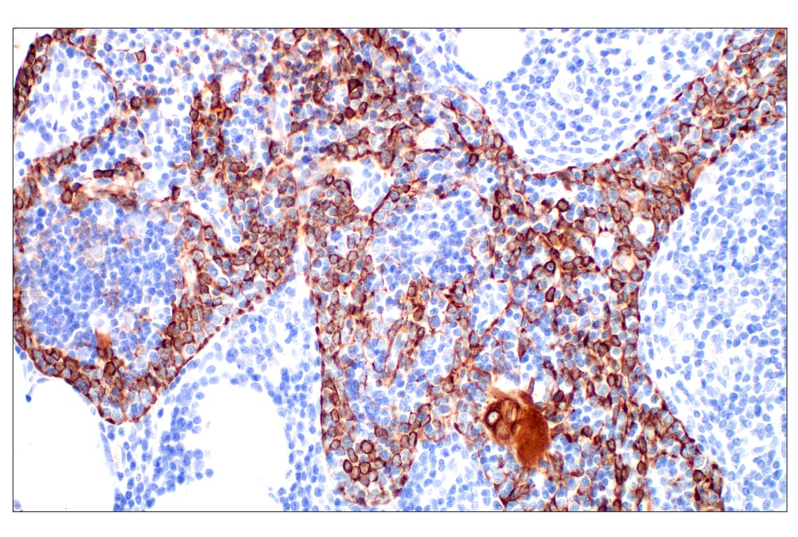
Immunohistochemical analysis of paraffin-embedded normal human thymus using Pan-Keratin (Type I) (E6S1S) Rabbit mAb.
Immunohistochemistry Image 8: Pan-Keratin (Type I) (E6S1S) Rabbit Monoclonal Antibody
Immunohistochemical analysis of paraffin-embedded Renca syngeneic tumor using Pan-Keratin (Type I) (E6S1S) Rabbit mAb.
Immunohistochemistry Image 9: Pan-Keratin (Type I) (E6S1S) Rabbit Monoclonal Antibody
Immunohistochemical analysis of paraffin-embedded 4T1 syngeneic mammary tumor using Pan-Keratin (Type I) (E6S1S) Rabbit mAb.
Immunohistochemistry Image 10: Pan-Keratin (Type I) (E6S1S) Rabbit Monoclonal Antibody
Orders: 877-616-CELL (2355) [email protected] Support: 877-678-TECH (8324) [email protected] Web: cellsignal.com
For Research Use Only. Not for Use in Diagnostic Procedures.

Revision 3

Cell Signaling Technology Logo
Immunohistochemical analysis of paraffin-embedded mouse forestomach using Pan-Keratin (Type I) (E6S1S) Rabbit mAb.
Immunohistochemistry Image 11: Pan-Keratin (Type I) (E6S1S) Rabbit Monoclonal Antibody
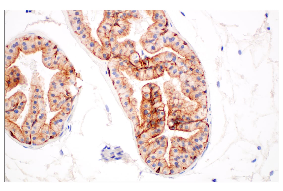
Immunohistochemical analysis of paraffin-embedded mouse prostate using Pan-Keratin (Type I) (E6S1S) Rabbit mAb.
Immunohistochemistry Image 12: Pan-Keratin (Type I) (E6S1S) Rabbit Monoclonal Antibody
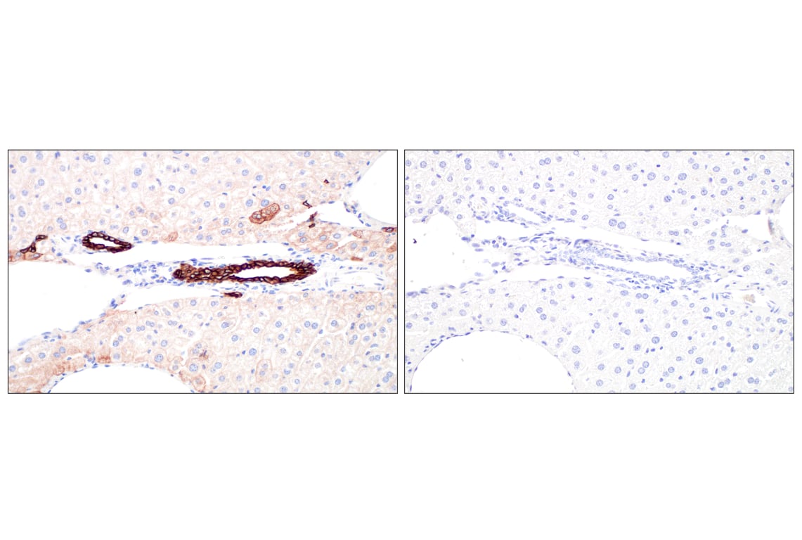
Immunohistochemical analysis of paraffin-embedded mouse liver using Pan-Keratin (Type I) (E6S1S) Rabbit mAb (left) compared to concentration-matched Rabbit (DA1E) mAb IgG XP® Isotype Control #3900 (right).
Immunohistochemistry Image 13: Pan-Keratin (Type I) (E6S1S) Rabbit Monoclonal Antibody
Orders: 877-616-CELL (2355) [email protected] Support: 877-678-TECH (8324) [email protected] Web: cellsignal.com
For Research Use Only. Not for Use in Diagnostic Procedures.

Revision 3

Cell Signaling Technology Logo
Immunohistochemical analysis of paraffin-embedded 293T cell pellet, untransfected (left-top) or transfected with various human keratins using Pan-Keratin (Type I) (E6S1S) Rabbit mAb. Transfections were confirmed using Pan-Keratin (AE1/AE3) Mouse mAb #67306 (insets).
Immunohistochemistry Image 14: Pan-Keratin (Type I) (E6S1S) Rabbit Monoclonal Antibody
Orders: 877-616-CELL (2355) [email protected] Support: 877-678-TECH (8324) [email protected] Web: cellsignal.com
For Research Use Only. Not for Use in Diagnostic Procedures.