Revision 1

#8451

Store at -20C

CST Logo
Orders:

877-616-CELL (2355)

[email protected]

Support:

877-678-TECH (8324)

3 Trask Lane | Danvers | Massachusetts | 01923 | USA

For Research Use Only. Not for Use in Diagnostic Procedures.

Applications:
W

Reactivity:
H M R Mk

Sensitivity:
Endogenous

MW (kDa):
31

Source/Isotype:
Rabbit

UniProt ID:
#Q96FW1

Entrez-Gene Id:
55611

Product Usage Information

Application Dilution
Western Blotting 1:1000

Storage

Supplied in 10 mM sodium HEPES (pH 7.5), 150 mM NaCl, 100 µg/ml BSA and 50% glycerol. Store at –20°C. Do not aliquot the antibody.

Specificity/Sensitivity

OTUB1 Antibody recognizes endogenous levels of total OTUB1 protein. This antibody does not cross-react with OTUB2 but may cross-react with OTUB1, isoform 2 (ARF-1).

Species predicted to react based on 100% sequence homology

Bovine, Dog, Horse

Source / Purification

Polyclonal antibodies are produced by immunizing animals with a synthetic peptide corresponding to residues surrounding Val117 of human OTUB1 protein, isoform 1. Antibodies are purified by protein A and peptide affinity chromatography.

Background

Protein ubiquitination and deubiquitination are reversible processes catalyzed by ubiquitinating enzymes (UBEs) and deubiquitinating enzymes (DUBs) (1,2). DUBs are categorized into 5 subfamilies: USP, UCH, OTU, MJD, and JAMM (1,2). The OTU subfamily comprises a group of approximately 100 putative cysteine proteases that are homologous to the ovarian tumor gene product of Drosophila (3). OTUB1 and OTUB2 (OTU domain-containing Ubal-binding proteins) display no significant similarity to any known DUB, but are close homologs and possess an OTU domain that contains conserved cysteine, histidine, and aspartate residues that define the putative catalytic triad of cysteine proteases. Furthermore, sequence analysis of OTUB1 and OTUB2 reveals the presence of putative Ub-interaction motifs (UIMs) and Ub-associated domains (UBAs), which are characteristic of proteins that regulate protein ubiquitination. OTUB1 and OTUB2 also possess a putative nuclear localization signal (NLS) and a consensus LxxLL motif, which mediates the interaction between transcriptional co-activators and nuclear hormone receptors (4).
OTUB1 exists as two isoforms that are generated by alternative splicing; the shorter 31 kDa isoform is ubiquitously expressed while the longer 35 kDa isoform (ARF-1) has a more restricted expression pattern and is mostly detected in lymphoid organs (5). Biochemical analysis has demonstrated that OTUB1 has a preference for cleaving K48-linked polyubiquitin chains over K63-linked polyubiquitin chains and is capable of cleaving NEDD8, but not SUMO1/2/3 or ISG15 conjugates (6). OTUB1 isoforms have been implicated in anergy induction in CD4+ T cells by regulating the stability of the E3 ligase GRAIL (5). More recently, OTUB1 was found to bind to and inhibit the E2 activity of UBE2N through a novel mechanism not involving OTUB1 DUB activity, thus compromising the ability of the E3 ligase RNF168 to drive ubiquitination-dependent repair of DNA double-strand lesions (7).

Species Reactivity

Species reactivity is determined by testing in at least one approved application (e.g., western blot).

Western Blot Buffer

IMPORTANT: For western blots, incubate membrane with diluted primary antibody in 5% w/v nonfat dry milk, 1X TBS, 0.1% Tween® 20 at 4°C with gentle shaking, overnight.

Applications Key

W: Western Blotting

Cross-Reactivity Key

H: Human M: Mouse R: Rat Mk: Monkey

Trademarks and Patents

Cell Signaling Technology is a trademark of Cell Signaling Technology, Inc.

All other trademarks are the property of their respective owners. Visit cellsignal.com/trademarks for more information.

Limited Uses

Except as otherwise expressly agreed in a writing signed by a legally authorized representative of CST, the following terms apply to Products provided by CST, its affiliates or its distributors. Any Customer's terms and conditions that are in addition to, or different from, those contained herein, unless separately accepted in writing by a legally authorized representative of CST, are rejected and are of no force or effect.

Products are labeled with For Research Use Only or a similar labeling statement and have not been approved, cleared, or licensed by the FDA or other regulatory foreign or domestic entity, for any purpose. Customer shall not use any Product for any diagnostic or therapeutic purpose, or otherwise in any manner that conflicts with its labeling statement. Products sold or licensed by CST are provided for Customer as the end-user and solely for research and development uses. Any use of Product for diagnostic, prophylactic or therapeutic purposes, or any purchase of Product for resale (alone or as a component) or other commercial purpose, requires a separate license from CST. Customer shall (a) not sell, license, loan, donate or otherwise transfer or make available any Product to any third party, whether alone or in combination with other materials, or use the Products to manufacture any commercial products, (b) not copy, modify, reverse engineer, decompile, disassemble or otherwise attempt to discover the underlying structure or technology of the Products, or use the Products for the purpose of developing any products or services that would compete with CST products or services, (c) not alter or remove from the Products any trademarks, trade names, logos, patent or copyright notices or markings, (d) use the Products solely in accordance with CST Product Terms of Sale and any applicable documentation, and (e) comply with any license, terms of service or similar agreement with respect to any third party products or services used by Customer in connection with the Products.

Orders: 877-616-CELL (2355) [email protected] Support: 877-678-TECH (8324) [email protected] Web: cellsignal.com
For Research Use Only. Not for Use in Diagnostic Procedures.

Revision 1

Cell Signaling Technology Logo
Western blot analysis of extracts from various cell lines using OTUB1 Antibody.
Western Blotting Image 1: OTUB1 Antibody
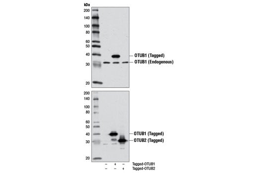
Western blot analysis of extracts from 293T cells, mock transfected or transfected with Myc/DDK-tagged human OTUB1 or human OTUB2, using OTUB1 Antibody (upper) or DYKDDDDK Tag Antibody (Binds to the same epitope as Sigma's Anti-FLAG® M2 Antibody) #2368 (lower).
undefined Image 1: OTUB1 Antibody
Orders: 877-616-CELL (2355) [email protected] Support: 877-678-TECH (8324) [email protected] Web: cellsignal.com
For Research Use Only. Not for Use in Diagnostic Procedures.