Revision 5

#85102

Store at -20C

CST Logo
Orders:

877-616-CELL (2355)

[email protected]

Support:

877-678-TECH (8324)

3 Trask Lane | Danvers | Massachusetts | 01923 | USA

For Research Use Only. Not for Use in Diagnostic Procedures.

Applications:
W, IHC-P

Reactivity:
H

Sensitivity:
Endogenous

MW (kDa):
50-200

Source/Isotype:
Rabbit IgG

UniProt ID:
#P40199

Entrez-Gene Id:
4680

Product Usage Information

Application Dilution
Western Blotting 1:1000
Immunohistochemistry (Paraffin) 1:1600 - 1:6400

Storage

Supplied in 10 mM sodium HEPES (pH 7.5), 150 mM NaCl, 100 µg/ml BSA, 50% glycerol and less than 0.02% sodium azide. Store at –20°C. Do not aliquot the antibody.

For a carrier free (BSA and azide free) version of this product see product #51309.

Specificity/Sensitivity

CEACAM6 (E7S7Y) Rabbit Monoclonal Antibody recognizes endogenous levels of total CEACAM6 protein. This antibody does not cross-react with CEACAM1, 5, or 8 proteins.

Source / Purification

Monoclonal antibody is produced by immunizing animals with a synthetic peptide corresponding to residues surrounding Lys246 of human CEACAM6 protein.

Background

Carcinoembryonic antigen (CEA)-related cell adhesion molecule 6 (CEACAM6) is a member of the CEA-related cell adhesion molecule (CEACAM) family (1). CEACAMs bind to themselves and other family members to carry out numerous cellular functions, including proliferation, signaling, differentiation, tumor suppression, and survival (2). CEACAM6 is a single-chain, glycosylphosphatidylinositol (GPI)-anchored, highly glycosylated protein that is normally expressed on epithelial cells and granulocytes (3,4). CEACAM6 mediates homophilic and heterophilic cell adhesion with other CEA-related cell adhesion molecules, such as CEACAM5 and CEACAM8 (3-6). Heterophilic interaction with CEACAM8 occurs in activated neutrophils (7), and plays a role in neutrophil adhesion to cytokine-activated endothelial cells (4). High levels of CEACAM6 expression are also observed in several different cancers (8-10). In cancer, CEACAM6 promotes tumor progression, migration, invasion, and metastasis, and therefore is considered a target for therapeutic intervention (11-13).

Species Reactivity

Species reactivity is determined by testing in at least one approved application (e.g., western blot).

Western Blot Buffer

IMPORTANT: For western blots, incubate membrane with diluted primary antibody in 5% w/v BSA, 1X TBS, 0.1% Tween® 20 at 4°C with gentle shaking, overnight.

Applications Key

W: Western Blotting IHC-P: Immunohistochemistry (Paraffin)

Cross-Reactivity Key

H: Human

Trademarks and Patents

Cell Signaling Technology is a trademark of Cell Signaling Technology, Inc.

SignalStain is a registered trademark of Cell Signaling Technology, Inc.

All other trademarks are the property of their respective owners. Visit cellsignal.com/trademarks for more information.

Limited Uses

Except as otherwise expressly agreed in a writing signed by a legally authorized representative of CST, the following terms apply to Products provided by CST, its affiliates or its distributors. Any Customer's terms and conditions that are in addition to, or different from, those contained herein, unless separately accepted in writing by a legally authorized representative of CST, are rejected and are of no force or effect.

Products are labeled with For Research Use Only or a similar labeling statement and have not been approved, cleared, or licensed by the FDA or other regulatory foreign or domestic entity, for any purpose. Customer shall not use any Product for any diagnostic or therapeutic purpose, or otherwise in any manner that conflicts with its labeling statement. Products sold or licensed by CST are provided for Customer as the end-user and solely for research and development uses. Any use of Product for diagnostic, prophylactic or therapeutic purposes, or any purchase of Product for resale (alone or as a component) or other commercial purpose, requires a separate license from CST. Customer shall (a) not sell, license, loan, donate or otherwise transfer or make available any Product to any third party, whether alone or in combination with other materials, or use the Products to manufacture any commercial products, (b) not copy, modify, reverse engineer, decompile, disassemble or otherwise attempt to discover the underlying structure or technology of the Products, or use the Products for the purpose of developing any products or services that would compete with CST products or services, (c) not alter or remove from the Products any trademarks, trade names, logos, patent or copyright notices or markings, (d) use the Products solely in accordance with CST Product Terms of Sale and any applicable documentation, and (e) comply with any license, terms of service or similar agreement with respect to any third party products or services used by Customer in connection with the Products.

Orders: 877-616-CELL (2355) [email protected] Support: 877-678-TECH (8324) [email protected] Web: cellsignal.com
For Research Use Only. Not for Use in Diagnostic Procedures.

Revision 5

Cell Signaling Technology Logo
Western blot analysis of extracts from human NCI-H3255, MKN-45, and A-172 cells using CEACAM6 (E7S7Y) Rabbit mAb (upper) and β-Actin (D6A8) Rabbit mAb #8457 (lower).
Western Blotting Image 1: CEACAM6 (E7S7Y) Rabbit Monoclonal Antibody
Immunohistochemical analysis of paraffin-embedded human renal cell carcinoma using CEACAM6 (E7S7Y) Rabbit mAb.
Immunohistochemistry Image 1: CEACAM6 (E7S7Y) Rabbit Monoclonal Antibody
Immunohistochemical analysis of paraffin-embedded human colon carcinoma using CEACAM6 (E7S7Y) Rabbit mAb.
Immunohistochemistry Image 2: CEACAM6 (E7S7Y) Rabbit Monoclonal Antibody
Orders: 877-616-CELL (2355) [email protected] Support: 877-678-TECH (8324) [email protected] Web: cellsignal.com
For Research Use Only. Not for Use in Diagnostic Procedures.

Revision 5

Cell Signaling Technology Logo
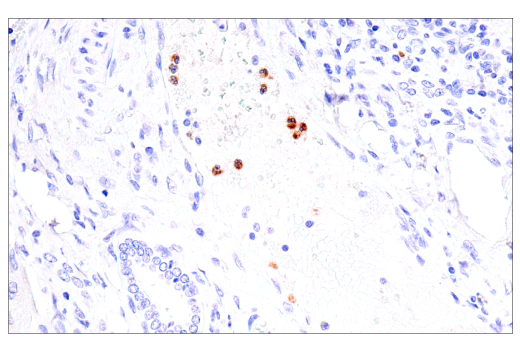
Immunohistochemical analysis of paraffin-embedded human non-Hodgkin lymphoma using CEACAM6 (E7S7Y) Rabbit mAb.
Immunohistochemistry Image 3: CEACAM6 (E7S7Y) Rabbit Monoclonal Antibody
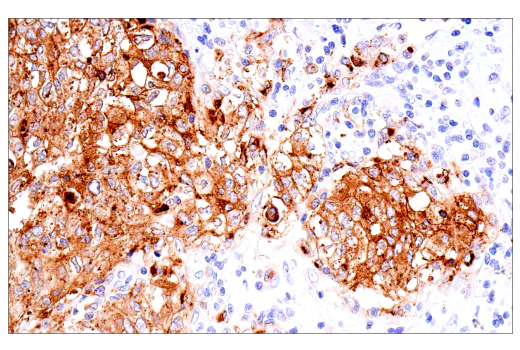
Immunohistochemical analysis of paraffin-embedded human hepatocellular carcinoma using CEACAM6 (E7S7Y) Rabbit mAb.
Immunohistochemistry Image 4: CEACAM6 (E7S7Y) Rabbit Monoclonal Antibody
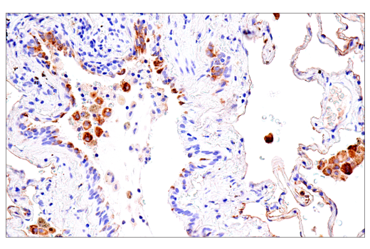
Immunohistochemical analysis of paraffin-embedded normal human lung using CEACAM6 (E7S7Y) Rabbit mAb.
Immunohistochemistry Image 5: CEACAM6 (E7S7Y) Rabbit Monoclonal Antibody
Orders: 877-616-CELL (2355) [email protected] Support: 877-678-TECH (8324) [email protected] Web: cellsignal.com
For Research Use Only. Not for Use in Diagnostic Procedures.

Revision 5

Cell Signaling Technology Logo
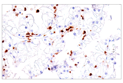
Immunohistochemical analysis of paraffin-embedded normal human spleen using CEACAM6 (E7S7Y) Rabbit mAb.
Immunohistochemistry Image 6: CEACAM6 (E7S7Y) Rabbit Monoclonal Antibody
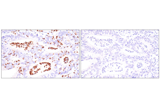
Immunohistochemical analysis of paraffin-embedded human colon carcinoma using CEACAM6 (E7S7Y) Rabbit mAb (left) compared to concentration-matched Rabbit (DA1E) mAb IgG XP® Isotype Control #3900 (right). 
Immunohistochemistry Image 7: CEACAM6 (E7S7Y) Rabbit Monoclonal Antibody
Immunohistochemical analysis of paraffin-embedded NCI-H3255 cell pellet (left, positive) or A-172 cell pellet (right, negative) using CEACAM6 (E7S7Y) Rabbit mAb.
Immunohistochemistry Image 8: CEACAM6 (E7S7Y) Rabbit Monoclonal Antibody
Orders: 877-616-CELL (2355) [email protected] Support: 877-678-TECH (8324) [email protected] Web: cellsignal.com
For Research Use Only. Not for Use in Diagnostic Procedures.