Revision 3

#85270

Store at -20C

CST Logo
Orders:

877-616-CELL (2355)

[email protected]

Support:

877-678-TECH (8324)

3 Trask Lane | Danvers | Massachusetts | 01923 | USA

For Research Use Only. Not for Use in Diagnostic Procedures.

Applications:
W, IHC-P

Reactivity:
M

Sensitivity:
Endogenous

MW (kDa):
10

Source/Isotype:
Rabbit IgG

UniProt ID:
#P10855

Entrez-Gene Id:
20302

Product Usage Information

Application Dilution
Western Blotting 1:1000
Immunohistochemistry (Paraffin) 1:200 - 1:800

Storage

For a carrier free (BSA and azide free) version of this product see product #90323.

Specificity/Sensitivity

CCL3/MIP-1 alpha (F2M8Q) Rabbit Monoclonal Antibody recognizes endogenous levels of total CCL3/MIP-1α protein. This antibody detects a 42 kDa band of unknown origin in some cell lines.

Source / Purification

Monoclonal antibody is produced by immunizing animals with a synthetic peptide corresponding to residues near the carboxy terminus of mouse CCL3/MIP-1α protein.

Background

Chemokine (C-C motif) ligand 3 (CCL3), also known as macrophage inflammatory protein-1α (MIP-1α), is a 10 kDa member of the C-C or β family of chemokines that play key roles in immune surveillance, inflammation, and infection (1). CCL3 shares 68% amino acid identity with CCL4 (MIP-1β) and 94% amino acid identity with LD78β (1). CCL3 is produced by activated monocytes, activated macrophages, NK cells, and T cells (1). There are two receptors for CCL3: CCR1 and CCR5 (1). CCL3 inhibits R5 HIV-1 infection by competing with the virus for its co-receptor, CCR5 (1). CCL3 possesses hematopoietic stem cell inhibitory activity, suppressing their proliferation, but has been shown to promote proliferation of more mature progenitors (2-4). CCL3 has been implicated in several forms of leukemia, in which malignant cells may lose responsiveness to CCL3 or produce high levels of CCL3 (2). CCL3 polymorphisms are associated with risk for the development of rheumatoid arthritis and ulcerative colitis (5,6). CCL3 expression is upregulated in the brains of patients with Alzheimer's disease (AD) with dementia, and reduced expression of CCL3 is observed in AD patients resilient to dementia (7).

Species Reactivity

Species reactivity is determined by testing in at least one approved application (e.g., western blot).

Western Blot Buffer

IMPORTANT: For western blots, incubate membrane with diluted primary antibody in 5% w/v BSA, 1X TBS, 0.1% Tween® 20 at 4°C with gentle shaking, overnight.

Applications Key

W: Western Blotting IHC-P: Immunohistochemistry (Paraffin)

Cross-Reactivity Key

M: Mouse

Trademarks and Patents

Cell Signaling Technology is a trademark of Cell Signaling Technology, Inc.

All other trademarks are the property of their respective owners. Visit cellsignal.com/trademarks for more information.

Limited Uses

Except as otherwise expressly agreed in a writing signed by a legally authorized representative of CST, the following terms apply to Products provided by CST, its affiliates or its distributors. Any Customer's terms and conditions that are in addition to, or different from, those contained herein, unless separately accepted in writing by a legally authorized representative of CST, are rejected and are of no force or effect.

Products are labeled with For Research Use Only or a similar labeling statement and have not been approved, cleared, or licensed by the FDA or other regulatory foreign or domestic entity, for any purpose. Customer shall not use any Product for any diagnostic or therapeutic purpose, or otherwise in any manner that conflicts with its labeling statement. Products sold or licensed by CST are provided for Customer as the end-user and solely for research and development uses. Any use of Product for diagnostic, prophylactic or therapeutic purposes, or any purchase of Product for resale (alone or as a component) or other commercial purpose, requires a separate license from CST. Customer shall (a) not sell, license, loan, donate or otherwise transfer or make available any Product to any third party, whether alone or in combination with other materials, or use the Products to manufacture any commercial products, (b) not copy, modify, reverse engineer, decompile, disassemble or otherwise attempt to discover the underlying structure or technology of the Products, or use the Products for the purpose of developing any products or services that would compete with CST products or services, (c) not alter or remove from the Products any trademarks, trade names, logos, patent or copyright notices or markings, (d) use the Products solely in accordance with CST Product Terms of Sale and any applicable documentation, and (e) comply with any license, terms of service or similar agreement with respect to any third party products or services used by Customer in connection with the Products.

Orders: 877-616-CELL (2355) [email protected] Support: 877-678-TECH (8324) [email protected] Web: cellsignal.com
For Research Use Only. Not for Use in Diagnostic Procedures.

Revision 3

Cell Signaling Technology Logo
Western blot analysis of extracts from RAW 264.7 and C2C12 cells, untreated (-) or treated with Lipopolysaccharide (LPS) #14011 (100 ng/mL, 7 hr; +), using CCL3/MIP-1α (F2M8Q) Rabbit mAb (upper) or GAPDH (D16H11) XP® Rabbit mAb #5174 (lower). CCL3/MIP-1α is induced by LPS treatment as expected.
Western Blotting Image 1: CCL3/MIP-1 alpha (F2M8Q) Rabbit Monoclonal Antibody
Western blot analysis of extracts from 293T cells, mock transfected (-) or transfected with a construct expressing Myc/DDK-tagged full-length mouse CCL3/MIP-1α protein (mCCL3/MIP-1α-Myc/DDK; +), using CCL3/MIP-1α (F2M8Q) Rabbit mAb (upper), Myc-Tag (71D10) Rabbit mAb #2278 (middle), or GAPDH (D16H11) XP® Rabbit mAb #5174 (lower).
Western Blotting Image 2: CCL3/MIP-1 alpha (F2M8Q) Rabbit Monoclonal Antibody
Immunohistochemical analysis of paraffin-embedded A20 syngeneic tumor using CCL3/MIP-1α (F2M8Q) Rabbit mAb
Immunohistochemistry Image 1: CCL3/MIP-1 alpha (F2M8Q) Rabbit Monoclonal Antibody
Orders: 877-616-CELL (2355) [email protected] Support: 877-678-TECH (8324) [email protected] Web: cellsignal.com
For Research Use Only. Not for Use in Diagnostic Procedures.

Revision 3

Cell Signaling Technology Logo
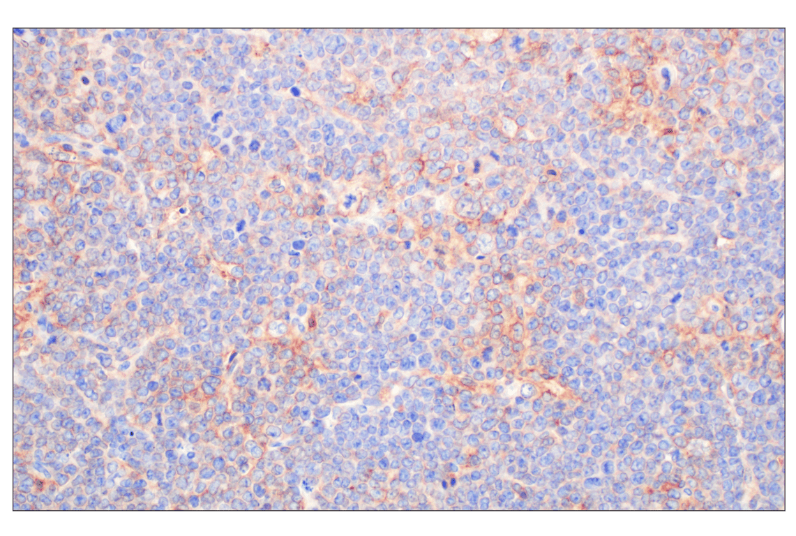
Immunohistochemical analysis of paraffin-embedded GL261 syngeneic tumor using CCL3/MIP-1α (F2M8Q) Rabbit mAb.
Immunohistochemistry Image 2: CCL3/MIP-1 alpha (F2M8Q) Rabbit Monoclonal Antibody
Immunohistochemical analysis of paraffin-embedded mouse thymus using CCL3/MIP-1α (F2M8Q) Rabbit mAb.
Immunohistochemistry Image 3: CCL3/MIP-1 alpha (F2M8Q) Rabbit Monoclonal Antibody
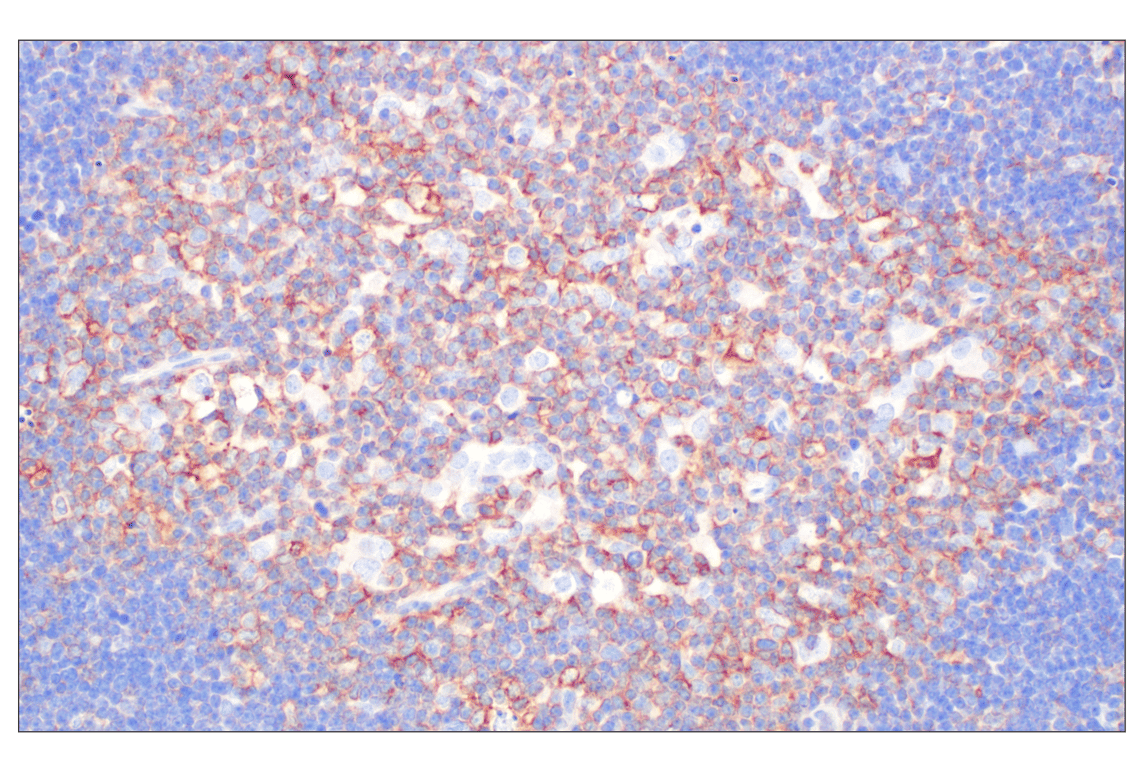
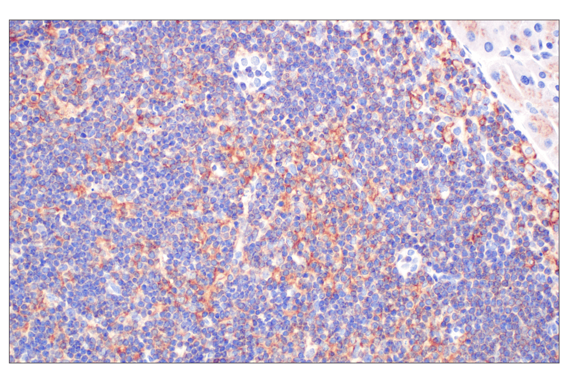
Immunohistochemical analysis of paraffin-embedded mouse lymph node using CCL3/MIP-1α (F2M8Q) Rabbit mAb.
Immunohistochemistry Image 4: CCL3/MIP-1 alpha (F2M8Q) Rabbit Monoclonal Antibody
Orders: 877-616-CELL (2355) [email protected] Support: 877-678-TECH (8324) [email protected] Web: cellsignal.com
For Research Use Only. Not for Use in Diagnostic Procedures.

Revision 3

Cell Signaling Technology Logo
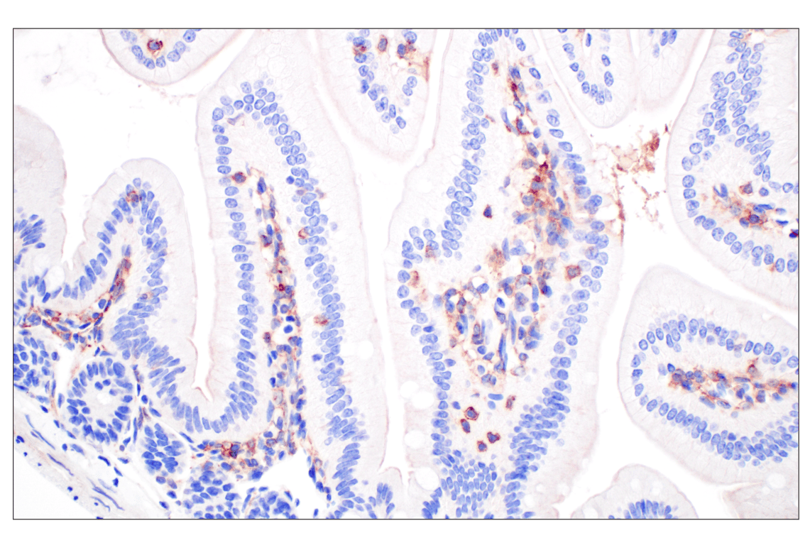
Immunohistochemical analysis of paraffin-embedded mouse small intestine using CCL3/MIP-1α (F2M8Q) Rabbit mAb.
Immunohistochemistry Image 5: CCL3/MIP-1 alpha (F2M8Q) Rabbit Monoclonal Antibody
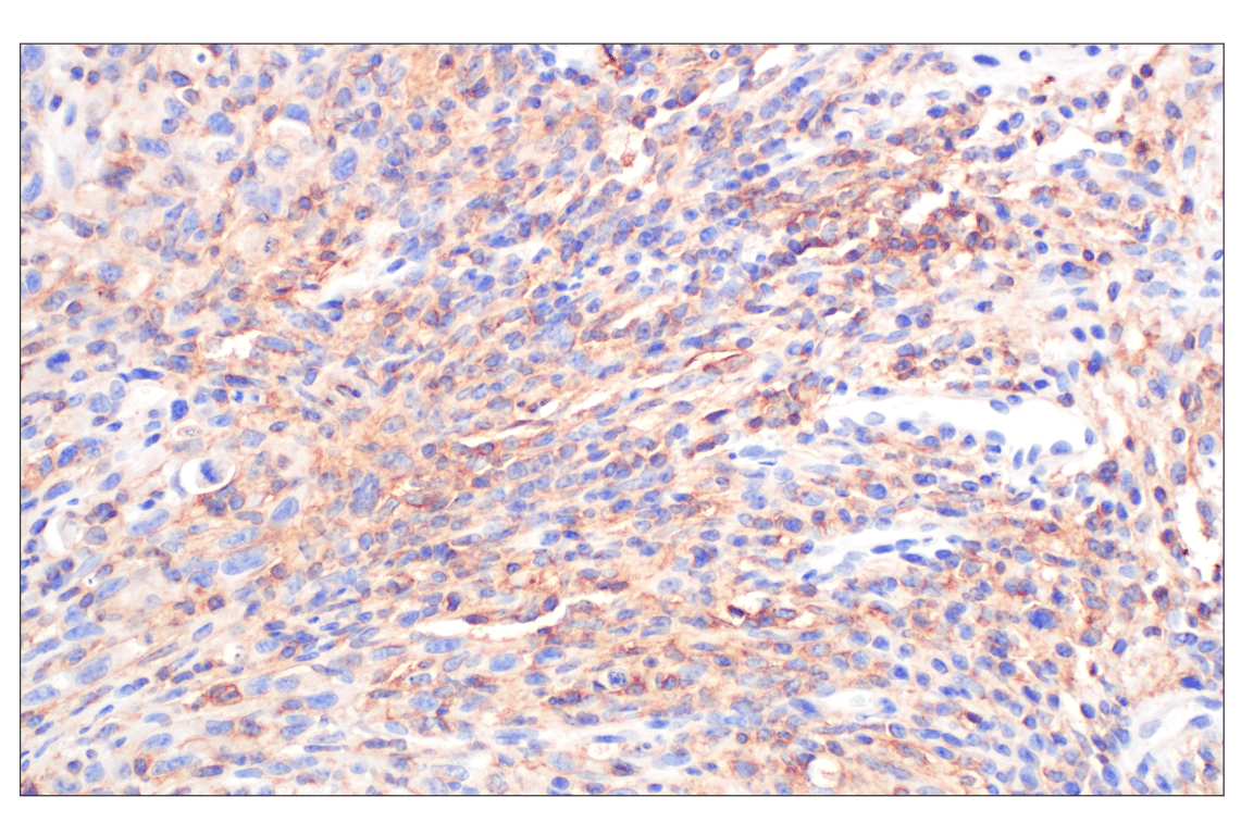
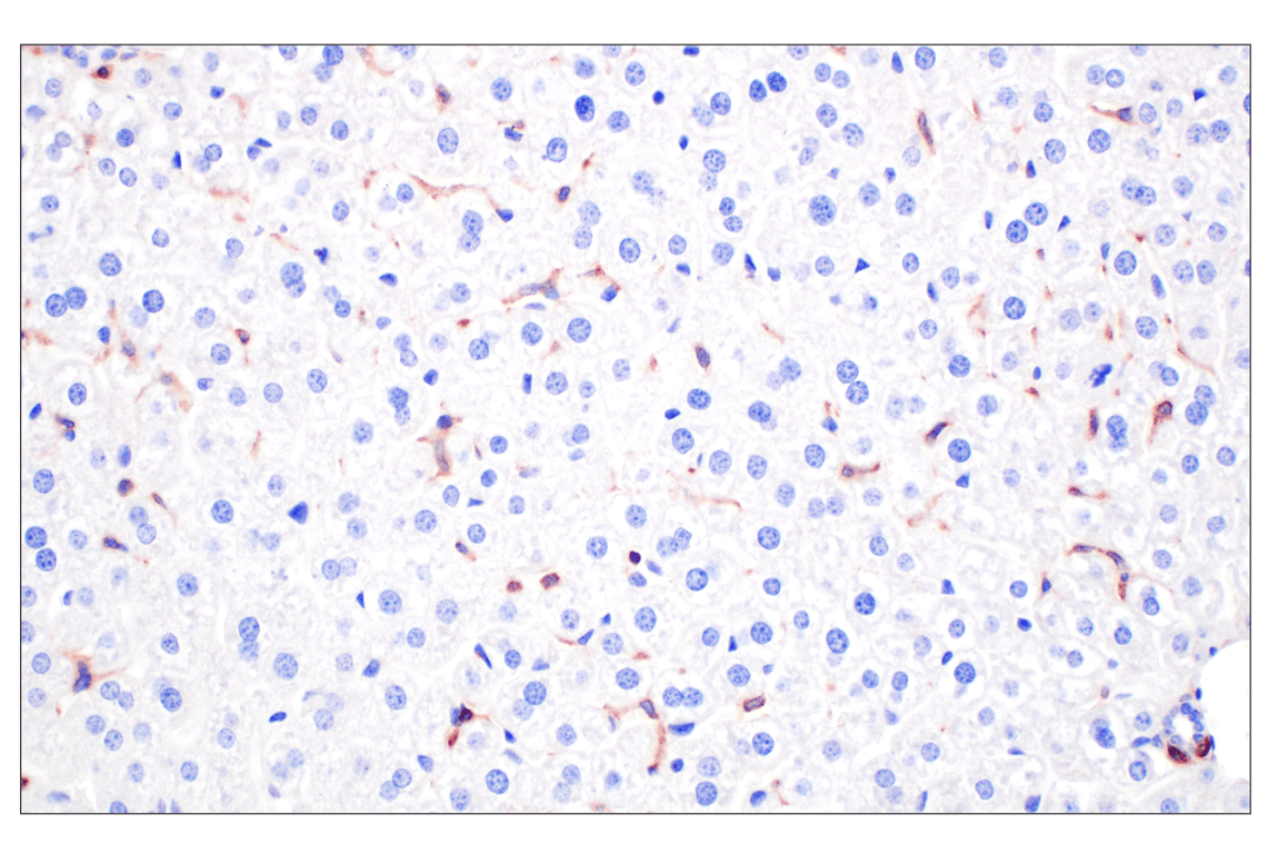
Immunohistochemical analysis of paraffin-embedded mouse liver using CCL3/MIP-1α (F2M8Q) Rabbit mAb.
Immunohistochemistry Image 6: CCL3/MIP-1 alpha (F2M8Q) Rabbit Monoclonal Antibody
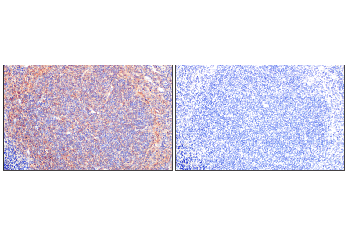
Immunohistochemical analysis of paraffin-embedded mouse spleen using CCL3/MIP-1α (F2M8Q) Rabbit mAb (left) compared to concentration-matched Rabbit (DA1E) mAb IgG XP® Isotype Control #3900 (right).
Immunohistochemistry Image 7: CCL3/MIP-1 alpha (F2M8Q) Rabbit Monoclonal Antibody
Orders: 877-616-CELL (2355) [email protected] Support: 877-678-TECH (8324) [email protected] Web: cellsignal.com
For Research Use Only. Not for Use in Diagnostic Procedures.

Revision 3

Cell Signaling Technology Logo
Immunohistochemical analysis of paraffin-embedded RAW 264.7 cell pellet, untreated (left) or treated with Lipopolysaccharide (LPS) #14011 (100 ng/mL, 7 hr) (middle), and C2C12 cell pellet (right, negative) using CCL3/MIP-1α (F2M8Q) Rabbit mAb.
Immunohistochemistry Image 8: CCL3/MIP-1 alpha (F2M8Q) Rabbit Monoclonal Antibody
Orders: 877-616-CELL (2355) [email protected] Support: 877-678-TECH (8324) [email protected] Web: cellsignal.com
For Research Use Only. Not for Use in Diagnostic Procedures.