Revision 1

#85393

Store at -20C

CST Logo
Orders:

877-616-CELL (2355)

[email protected]

Support:

877-678-TECH (8324)

3 Trask Lane | Danvers | Massachusetts | 01923 | USA

For Research Use Only. Not for Use in Diagnostic Procedures.

Applications:
W, IHC-P, IF-F, IF-IC

Reactivity:
H M R

Sensitivity:
Endogenous

MW (kDa):
22

Source/Isotype:
Rabbit IgG

UniProt ID:
#P13498

Entrez-Gene Id:
1535

Product Usage Information

This product is the carrier free version of product #37570. All data were generated using the same antibody clone in the standard formulation which contains BSA and glycerol.

This formulation is ideal for use with technologies requiring specialized or custom antibody labeling, including fluorophores, metals, lanthanides, and oligonucleotides. It is not recommended for ChIP, ChIP-seq, CUT&RUN or CUT&Tag assays. If you require a carrier free formulation for chromatin profiling, please contact us. Optimal dilutions/concentrations should be determined by the end user.

BSA and Azide Free antibodies are quality control tested by size exclusion chromatography (SEC) to determine antibody integrity.

Formulation

Supplied in 1X PBS (10 mM Na2HPO4, 3 mM KCl, 2 mM KH2PO4, and 140 mM NaCl (pH 7.8)). BSA and Azide Free.

For standard formulation of this product see product #37570

Storage

Store at -20°C. This product will freeze at -20°C so it is recommended to aliquot into single-use vials to avoid multiple freeze/thaw cycles. A slight precipitate may be present and can be dissolved by gently vortexing. This will not interfere with antibody performance.

Specificity/Sensitivity

p22phox (E7Y1F) Rabbit Monoclonal Antibody (BSA and Azide Free) recognizes endogenous levels of total p22phox protein.

Source / Purification

Monoclonal antibody is produced by immunizing animals with a synthetic peptide corresponding to residues surrounding Pro187 of human p22phox protein.

Background

The p22phox protein is a critical component of the membrane-bound NADPH Oxidase of phagocytes that generate superoxide anion and alter the redox states in cells. p22phox associates with the catalytic subunit gp91phox (NOX2), NOX1, NOX3, or NOX4 to form the active NADPH Oxidase. The enzymatic complex includes cytosolic subunits p40phox, p47phox, p67phox, and Rac2 that are recruited to the membrane-bound subunits, subsequently generating superoxide anion as the final product, serving as a microbial killing system (1,2). Multiple phosphorylation sites in each subunit of these oxidases potentiate its activation, including the phosphorylation of p22phox at Thr147 epitope facing the cytoplasmic space (3-5). NADPH Oxidase is associated with several diseases, including hyperglycemia, cancer, inflammation and vascular cases, as well as neurodegenerative diseases (6), including its activation by SOD1 mutants in Amyotrophic Lateral Sclerosis (7), and in Alzheimer's disease where NADPH Oxidase activation exacerbates the effects of fibrillary tangles and β-amyloid plaques, causing neuronal death (8,9).

Species Reactivity

Species reactivity is determined by testing in at least one approved application (e.g., western blot).

Applications Key

W: Western Blotting IHC-P: Immunohistochemistry (Paraffin) IF-F: Immunofluorescence (Frozen) IF-IC: Immunofluorescence (Immunocytochemistry)

Cross-Reactivity Key

H: Human M: Mouse R: Rat

Trademarks and Patents

Cell Signaling Technology is a trademark of Cell Signaling Technology, Inc.

All other trademarks are the property of their respective owners. Visit cellsignal.com/trademarks for more information.

Limited Uses

Except as otherwise expressly agreed in a writing signed by a legally authorized representative of CST, the following terms apply to Products provided by CST, its affiliates or its distributors. Any Customer's terms and conditions that are in addition to, or different from, those contained herein, unless separately accepted in writing by a legally authorized representative of CST, are rejected and are of no force or effect.

Products are labeled with For Research Use Only or a similar labeling statement and have not been approved, cleared, or licensed by the FDA or other regulatory foreign or domestic entity, for any purpose. Customer shall not use any Product for any diagnostic or therapeutic purpose, or otherwise in any manner that conflicts with its labeling statement. Products sold or licensed by CST are provided for Customer as the end-user and solely for research and development uses. Any use of Product for diagnostic, prophylactic or therapeutic purposes, or any purchase of Product for resale (alone or as a component) or other commercial purpose, requires a separate license from CST. Customer shall (a) not sell, license, loan, donate or otherwise transfer or make available any Product to any third party, whether alone or in combination with other materials, or use the Products to manufacture any commercial products, (b) not copy, modify, reverse engineer, decompile, disassemble or otherwise attempt to discover the underlying structure or technology of the Products, or use the Products for the purpose of developing any products or services that would compete with CST products or services, (c) not alter or remove from the Products any trademarks, trade names, logos, patent or copyright notices or markings, (d) use the Products solely in accordance with CST Product Terms of Sale and any applicable documentation, and (e) comply with any license, terms of service or similar agreement with respect to any third party products or services used by Customer in connection with the Products.

Orders: 877-616-CELL (2355) [email protected] Support: 877-678-TECH (8324) [email protected] Web: cellsignal.com
For Research Use Only. Not for Use in Diagnostic Procedures.

Revision 1

Cell Signaling Technology Logo
Western blot analysis of extracts from various cell lines and tissues using p22phox (E7Y1F) XP® Rabbit mAb (upper) or β-Actin (D6A8) Rabbit mAb #8457 (lower). Negative expression of p22phox protein in A-172 cells is consistent with the predicted expression pattern. Data were generated using the standard formulation of this product.
Western Blotting Image 1: p22phox (E7Y1F) Rabbit Monoclonal Antibody (BSA and Azide Free)
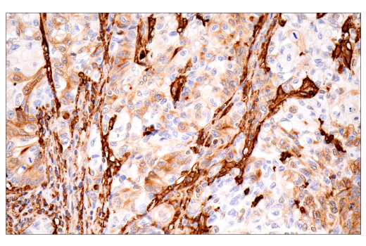
Immunohistochemical analysis of paraffin-embedded human prostate adenocarcinoma using p22phox (E7Y1F) XP® Rabbit mAb. Data were generated using the standard formulation of this product.
Immunohistochemistry Image 1: p22phox (E7Y1F) Rabbit Monoclonal Antibody (BSA and Azide Free)
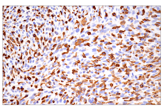
Immunohistochemical analysis of paraffin-embedded human urothelial carcinoma using p22phox (E7Y1F) XP® Rabbit mAb. Data were generated using the standard formulation of this product.
Immunohistochemistry Image 2: p22phox (E7Y1F) Rabbit Monoclonal Antibody (BSA and Azide Free)
Orders: 877-616-CELL (2355) [email protected] Support: 877-678-TECH (8324) [email protected] Web: cellsignal.com
For Research Use Only. Not for Use in Diagnostic Procedures.

Revision 1

Cell Signaling Technology Logo
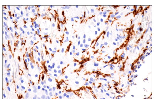
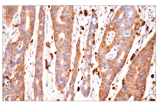
Immunohistochemical analysis of paraffin-embedded human colon adenocarcinoma using p22phox (E7Y1F) XP® Rabbit mAb. Data were generated using the standard formulation of this product.
Immunohistochemistry Image 3: p22phox (E7Y1F) Rabbit Monoclonal Antibody (BSA and Azide Free)
Immunohistochemical analysis of paraffin-embedded human esophageal adenocarcinoma using p22phox (E7Y1F) XP® Rabbit mAb. Data were generated using the standard formulation of this product.
Immunohistochemistry Image 4: p22phox (E7Y1F) Rabbit Monoclonal Antibody (BSA and Azide Free)
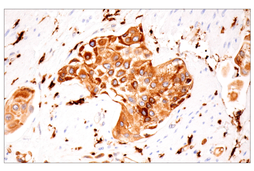
Immunohistochemical analysis of paraffin-embedded human hepatocellular carcinoma using p22phox (E7Y1F) XP® Rabbit mAb. Data were generated using the standard formulation of this product.
Immunohistochemistry Image 5: p22phox (E7Y1F) Rabbit Monoclonal Antibody (BSA and Azide Free)
Orders: 877-616-CELL (2355) [email protected] Support: 877-678-TECH (8324) [email protected] Web: cellsignal.com
For Research Use Only. Not for Use in Diagnostic Procedures.

Revision 1

Cell Signaling Technology Logo
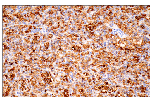
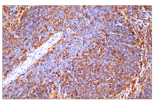
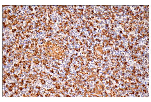
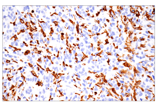
Immunohistochemical analysis of paraffin-embedded human non-Hodgkin lymphoma using p22phox (E7Y1F) XP® Rabbit mAb. Data were generated using the standard formulation of this product.
Immunohistochemistry Image 6: p22phox (E7Y1F) Rabbit Monoclonal Antibody (BSA and Azide Free)
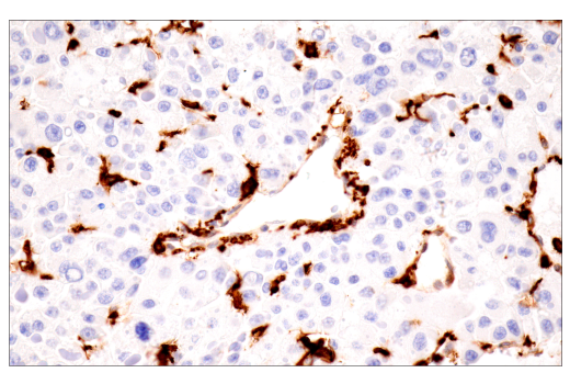
Immunohistochemical analysis of paraffin-embedded normal human spleen using p22phox (E7Y1F) XP® Rabbit mAb. Data were generated using the standard formulation of this product.
Immunohistochemistry Image 7: p22phox (E7Y1F) Rabbit Monoclonal Antibody (BSA and Azide Free)
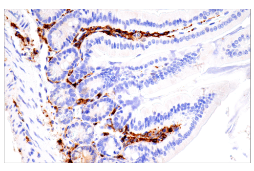
Immunohistochemical analysis of paraffin-embedded normal human small intestine using p22phox (E7Y1F) XP® Rabbit mAb. Data were generated using the standard formulation of this product.
Immunohistochemistry Image 8: p22phox (E7Y1F) Rabbit Monoclonal Antibody (BSA and Azide Free)
Orders: 877-616-CELL (2355) [email protected] Support: 877-678-TECH (8324) [email protected] Web: cellsignal.com
For Research Use Only. Not for Use in Diagnostic Procedures.

Revision 1

Cell Signaling Technology Logo
Immunohistochemical analysis of paraffin-embedded normal human skin using p22phox (E7Y1F) XP® Rabbit mAb. Data were generated using the standard formulation of this product.
Immunohistochemistry Image 9: p22phox (E7Y1F) Rabbit Monoclonal Antibody (BSA and Azide Free)
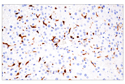
Immunohistochemical analysis of paraffin-embedded normal human brain using p22phox (E7Y1F) XP® Rabbit mAb. Data were generated using the standard formulation of this product.
Immunohistochemistry Image 10: p22phox (E7Y1F) Rabbit Monoclonal Antibody (BSA and Azide Free)
Immunohistochemical analysis of paraffin-embedded GL-261 syngeneic tumor using p22phox (E7Y1F) XP® Rabbit mAb. Data were generated using the standard formulation of this product.
Immunohistochemistry Image 11: p22phox (E7Y1F) Rabbit Monoclonal Antibody (BSA and Azide Free)
Orders: 877-616-CELL (2355) [email protected] Support: 877-678-TECH (8324) [email protected] Web: cellsignal.com
For Research Use Only. Not for Use in Diagnostic Procedures.

Revision 1

Cell Signaling Technology Logo
Immunohistochemical analysis of paraffin-embedded MC-38 syngeneic tumor using p22phox (E7Y1F) XP® Rabbit mAb. Data were generated using the standard formulation of this product.
Immunohistochemistry Image 12: p22phox (E7Y1F) Rabbit Monoclonal Antibody (BSA and Azide Free)
Immunohistochemical analysis of paraffin-embedded mouse thymus using p22phox (E7Y1F) XP® Rabbit mAb. Data were generated using the standard formulation of this product.
Immunohistochemistry Image 13: p22phox (E7Y1F) Rabbit Monoclonal Antibody (BSA and Azide Free)
Immunohistochemical analysis of paraffin-embedded mouse spleen using p22phox (E7Y1F) XP® Rabbit mAb. Data were generated using the standard formulation of this product.
Immunohistochemistry Image 14: p22phox (E7Y1F) Rabbit Monoclonal Antibody (BSA and Azide Free)
Orders: 877-616-CELL (2355) [email protected] Support: 877-678-TECH (8324) [email protected] Web: cellsignal.com
For Research Use Only. Not for Use in Diagnostic Procedures.

Revision 1

Cell Signaling Technology Logo
Immunohistochemical analysis of paraffin-embedded mouse small intestine using p22phox (E7Y1F) XP® Rabbit mAb. Data were generated using the standard formulation of this product.
Immunohistochemistry Image 15: p22phox (E7Y1F) Rabbit Monoclonal Antibody (BSA and Azide Free)
Immunohistochemical analysis of paraffin-embedded mouse liver using p22phox (E7Y1F) XP® Rabbit mAb. Data were generated using the standard formulation of this product.
Immunohistochemistry Image 16: p22phox (E7Y1F) Rabbit Monoclonal Antibody (BSA and Azide Free)
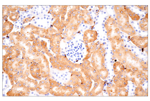
Immunohistochemical analysis of paraffin-embedded mouse kidney using p22phox (E7Y1F) XP® Rabbit mAb. Data were generated using the standard formulation of this product.
Immunohistochemistry Image 17: p22phox (E7Y1F) Rabbit Monoclonal Antibody (BSA and Azide Free)
Orders: 877-616-CELL (2355) [email protected] Support: 877-678-TECH (8324) [email protected] Web: cellsignal.com
For Research Use Only. Not for Use in Diagnostic Procedures.

Revision 1

Cell Signaling Technology Logo
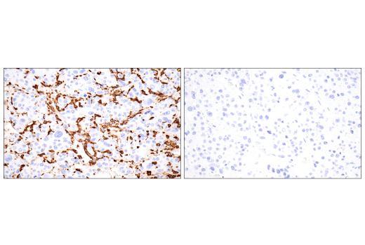
Immunohistochemical analysis of paraffin-embedded human hepatocellular carcinoma using p22phox (E7Y1F) XP® Rabbit mAb (left) compared to concentration-matched Rabbit (DA1E) mAb IgG XP® Isotype Control #3900 (right). Data were generated using the standard formulation of this product.
Immunohistochemistry Image 18: p22phox (E7Y1F) Rabbit Monoclonal Antibody (BSA and Azide Free)
Immunohistochemical analysis of paraffin-embedded RPMI 8226 cell pellet (left, positive) or RH-30 cell pellet (right, negative) using p22phox (E7Y1F) XP® Rabbit mAb. Data were generated using the standard formulation of this product.
Immunohistochemistry Image 19: p22phox (E7Y1F) Rabbit Monoclonal Antibody (BSA and Azide Free)
Confocal immunofluorescent analysis of barrier associated macrophages in fixed frozen wild-type mouse brain, labeled with p22phox (E7Y1F) XP® Rabbit mAb (left, red) and co-labeled with GFAP (GA5) Mouse mAb (Alexa Fluor® 488 Conjugate) #3655 (right, green) and ProLong Gold Antifade Reagent with DAPI #8961 (right, blue). Data were generated using the standard formulation of this product.
Immunofluorescence Image 1: p22phox (E7Y1F) Rabbit Monoclonal Antibody (BSA and Azide Free)
Orders: 877-616-CELL (2355) [email protected] Support: 877-678-TECH (8324) [email protected] Web: cellsignal.com
For Research Use Only. Not for Use in Diagnostic Procedures.

Revision 1

Cell Signaling Technology Logo
Confocal immunofluorescent analysis of fixed frozen mouse brain from an amyloid mouse model of Alzheimer's disease, labeled with p22phox (E7Y1F) XP® Rabbit mAb (left, red) and co-labeled with GFAP (GA5) Mouse mAb (Alexa Fluor® 488 Conjugate) #3655 (right, green), β-Amyloid (D54D2) XP® Rabbit mAb (Alexa Fluor® 647 Conjugate) #42284 (right, cyan pseudocolor), and ProLong Gold Antifade Reagent with DAPI #8961 (right, blue). Data were generated using the standard formulation of this product.
Immunofluorescence Image 2: p22phox (E7Y1F) Rabbit Monoclonal Antibody (BSA and Azide Free)
Confocal immunofluorescent analysis of IGROV-1 cells (left, positive) and A-172 cells (right, negative) using p22phox (E7Y1F) XP® Rabbit mAb (green), DyLight 650 Phalloidin #12956 (red), and DAPI #4083 (blue). Data were generated using the standard formulation of this product.
Immunofluorescence Image 1: p22phox (E7Y1F) Rabbit Monoclonal Antibody (BSA and Azide Free)
Orders: 877-616-CELL (2355) [email protected] Support: 877-678-TECH (8324) [email protected] Web: cellsignal.com
For Research Use Only. Not for Use in Diagnostic Procedures.