Revision 1

#86955

Store at -20C

CST Logo
Orders:

877-616-CELL (2355)

[email protected]

Support:

877-678-TECH (8324)

3 Trask Lane | Danvers | Massachusetts | 01923 | USA

For Research Use Only. Not for Use in Diagnostic Procedures.

Applications:
W, IHC-P

Reactivity:
H M R

Sensitivity:
Endogenous

MW (kDa):
17

Source/Isotype:
Rabbit IgG

UniProt ID:
#Q9H4G4

Entrez-Gene Id:
152007

Product Usage Information

Application Dilution
Western Blotting 1:1000
Immunohistochemistry (Paraffin) 1:100 - 1:400

Storage

Supplied in 10 mM sodium HEPES (pH 7.5), 150 mM NaCl, 100 µg/mL BSA, 50% glycerol, and less than 0.02% sodium azide. Store at –20°C. Do not aliquot the antibody.

Specificity/Sensitivity

GLIPR2 (F7H7V) Rabbit Monoclonal Antibody recognizes endogenous levels of total GLIPR2 protein. An unknown background band is detected at 65 kDa in some human and mouse cell lines.

Source / Purification

Monoclonal antibody is produced by immunizing animals with a synthetic peptide corresponding to residues surrounding Pro135 of human GLIPR2 protein.

Background

Glioma pathogenesis-related protein 2 (GLIPR2), also known as Golgi-associated PR-1 protein (GAPR-1), is a Golgi-associated protein belonging to the PR-1 protein family (1). GLIPR2 contains a sperm-coating protein (SCP) domain, also known as a CAP domain; however, in contrast to other SCP domain-containing proteins, it does not have a signal peptide and is not secreted via the classical secretory pathway (2). GLIPR2 is expressed in monocytes, macrophages, natural killer (NK) cells, and T cell subsets (3). GLIPR2 binds Beclin-1 and is a negative regulator of autophagy that inhibits PtdIns3K-C1 complex activity (4,5). GLIPR2 promotes epithelial to mesenchymal transition in vitro, and is expressed at high levels in fibrotic kidney (6). GLIPR2 has been identified as a marker for type 1 migratory dendritic cells (DC1s) (7) and a potential biomarker and tumor suppressor in a pan-cancer analysis (3).

Species Reactivity

Species reactivity is determined by testing in at least one approved application (e.g., western blot).

Western Blot Buffer

IMPORTANT: For western blots, incubate membrane with diluted primary antibody in 5% w/v BSA, 1X TBS, 0.1% Tween® 20 at 4°C with gentle shaking, overnight.

Applications Key

W: Western Blotting IHC-P: Immunohistochemistry (Paraffin)

Cross-Reactivity Key

H: Human M: Mouse R: Rat

Trademarks and Patents

Cell Signaling Technology is a trademark of Cell Signaling Technology, Inc.

All other trademarks are the property of their respective owners. Visit cellsignal.com/trademarks for more information.

Limited Uses

Except as otherwise expressly agreed in a writing signed by a legally authorized representative of CST, the following terms apply to Products provided by CST, its affiliates or its distributors. Any Customer's terms and conditions that are in addition to, or different from, those contained herein, unless separately accepted in writing by a legally authorized representative of CST, are rejected and are of no force or effect.

Products are labeled with For Research Use Only or a similar labeling statement and have not been approved, cleared, or licensed by the FDA or other regulatory foreign or domestic entity, for any purpose. Customer shall not use any Product for any diagnostic or therapeutic purpose, or otherwise in any manner that conflicts with its labeling statement. Products sold or licensed by CST are provided for Customer as the end-user and solely for research and development uses. Any use of Product for diagnostic, prophylactic or therapeutic purposes, or any purchase of Product for resale (alone or as a component) or other commercial purpose, requires a separate license from CST. Customer shall (a) not sell, license, loan, donate or otherwise transfer or make available any Product to any third party, whether alone or in combination with other materials, or use the Products to manufacture any commercial products, (b) not copy, modify, reverse engineer, decompile, disassemble or otherwise attempt to discover the underlying structure or technology of the Products, or use the Products for the purpose of developing any products or services that would compete with CST products or services, (c) not alter or remove from the Products any trademarks, trade names, logos, patent or copyright notices or markings, (d) use the Products solely in accordance with CST Product Terms of Sale and any applicable documentation, and (e) comply with any license, terms of service or similar agreement with respect to any third party products or services used by Customer in connection with the Products.

Orders: 877-616-CELL (2355) [email protected] Support: 877-678-TECH (8324) [email protected] Web: cellsignal.com
For Research Use Only. Not for Use in Diagnostic Procedures.

Revision 1

Cell Signaling Technology Logo
Western blot analysis of extracts from various cell lines using GLIPR2 (F7H7V) Rabbit mAb (upper) or β-Actin (D6A8) Rabbit mAb #8457 (lower). Negative expression of GLIPR2 protein in Raji and Daudi cells is consistent with the predicted expression pattern.
Western Blotting Image 1: GLIPR2 (F7H7V) Rabbit Monoclonal Antibody
Western blot analysis of extracts from various mouse and rat cell lines using GLIPR2 (F7H7V) Rabbit mAb (upper) or β-Actin (D6A8) Rabbit mAb #8457 (lower). Negative expression of GLIPR2 protein in Renca and RBL-1 cells is consistent with the predicted expression pattern.
Western Blotting Image 2: GLIPR2 (F7H7V) Rabbit Monoclonal Antibody
Western blot analysis of extracts from 293T cells, mock transfected (-) or transfected with a construct expressing Myc/DDK-tagged full-length human GLIPR2 (hGLIPR2-Myc/DDK; +), using GLIPR2 (F7H7V) Rabbit mAb (upper), Myc-Tag (71D10) Rabbit mAb #2278 (middle), or β-Actin (D6A8) Rabbit mAb #8457 (lower).
Western Blotting Image 3: GLIPR2 (F7H7V) Rabbit Monoclonal Antibody
Orders: 877-616-CELL (2355) [email protected] Support: 877-678-TECH (8324) [email protected] Web: cellsignal.com
For Research Use Only. Not for Use in Diagnostic Procedures.

Revision 1

Cell Signaling Technology Logo
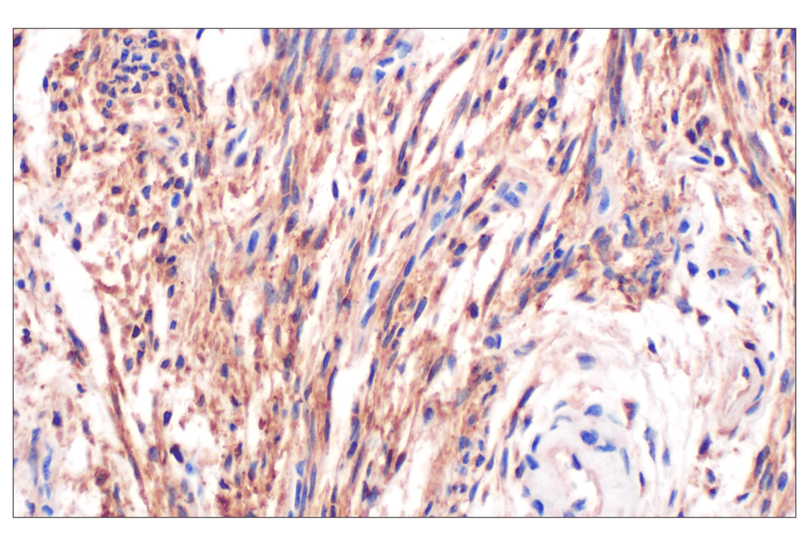
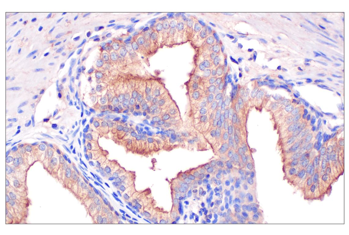
Immunohistochemical analysis of paraffin-embedded human prostate adenocarcinoma using GLIPR2 (F7H7V) Rabbit mAb.
Immunohistochemistry Image 1: GLIPR2 (F7H7V) Rabbit Monoclonal Antibody
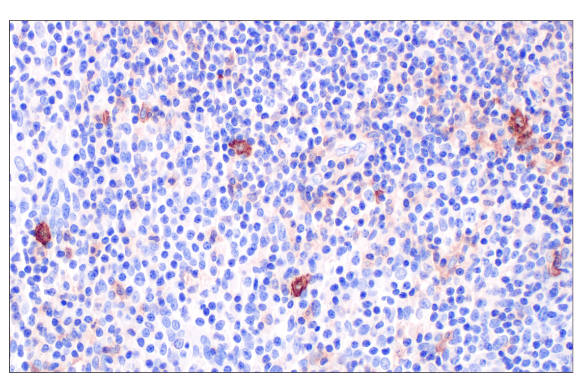
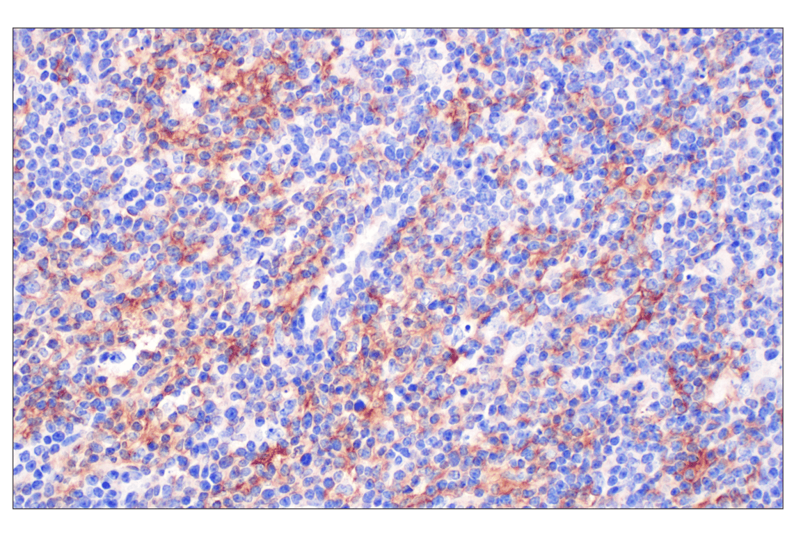
Immunohistochemical analysis of paraffin-embedded human tonsil using GLIPR2 (F7H7V) Rabbit mAb.
Immunohistochemistry Image 2: GLIPR2 (F7H7V) Rabbit Monoclonal Antibody
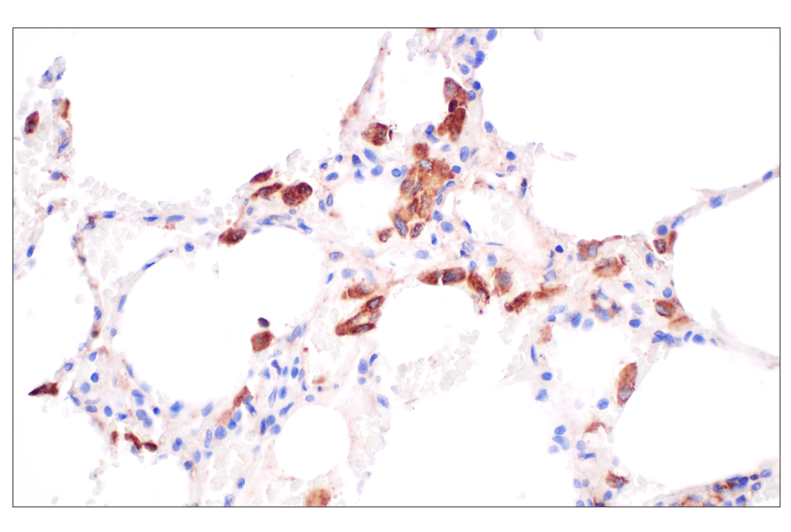
Immunohistochemical analysis of paraffin-embedded normal human lung using GLIPR2 (F7H7V) Rabbit mAb.
Immunohistochemistry Image 3: GLIPR2 (F7H7V) Rabbit Monoclonal Antibody
Orders: 877-616-CELL (2355) [email protected] Support: 877-678-TECH (8324) [email protected] Web: cellsignal.com
For Research Use Only. Not for Use in Diagnostic Procedures.

Revision 1

Cell Signaling Technology Logo
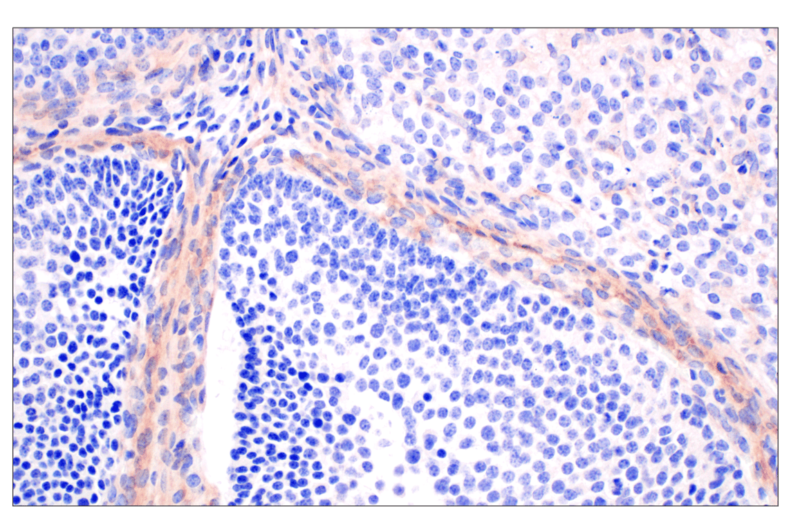
Immunohistochemical analysis of paraffin-embedded normal human uterus using GLIPR2 (F7H7V) Rabbit mAb.
Immunohistochemistry Image 4: GLIPR2 (F7H7V) Rabbit Monoclonal Antibody
Immunohistochemical analysis of paraffin-embedded mouse thymus using GLIPR2 (F7H7V) Rabbit mAb.
Immunohistochemistry Image 5: GLIPR2 (F7H7V) Rabbit Monoclonal Antibody
Immunohistochemical analysis of paraffin-embedded mouse ovary using GLIPR2 (F7H7V) Rabbit mAb.
Immunohistochemistry Image 6: GLIPR2 (F7H7V) Rabbit Monoclonal Antibody
Orders: 877-616-CELL (2355) [email protected] Support: 877-678-TECH (8324) [email protected] Web: cellsignal.com
For Research Use Only. Not for Use in Diagnostic Procedures.

Revision 1

Cell Signaling Technology Logo
Immunohistochemical analysis of paraffin-embedded normal human prostate using GLIPR2 (F7H7V) Rabbit mAb (left) or a GLIPR2 Mouse mAb (right). These two antibodies detect unique epitopes on human GLIPR2. The similar staining patterns obtained with both antibodies help to confirm the specificity of the staining.
Immunohistochemistry Image 7: GLIPR2 (F7H7V) Rabbit Monoclonal Antibody
Immunohistochemical analysis of paraffin-embedded human ductal breast carcinoma using GLIPR2 (F7H7V) Rabbit mAb (left) compared to concentration-matched Rabbit (DA1E) mAb IgG XP® Isotype Control #3900 (right).
Immunohistochemistry Image 8: GLIPR2 (F7H7V) Rabbit Monoclonal Antibody
Immunohistochemical analysis of paraffin-embedded PL-21 cell pellet (left, positive) or Raji cell pellet (right, negative) using GLIPR2 (F7H7V) Rabbit mAb.
Immunohistochemistry Image 9: GLIPR2 (F7H7V) Rabbit Monoclonal Antibody
Orders: 877-616-CELL (2355) [email protected] Support: 877-678-TECH (8324) [email protected] Web: cellsignal.com
For Research Use Only. Not for Use in Diagnostic Procedures.