Revision 5

#87048

Store at -20C

CST Logo
Orders:

877-616-CELL (2355)

[email protected]

Support:

877-678-TECH (8324)

3 Trask Lane | Danvers | Massachusetts | 01923 | USA

For Research Use Only. Not for Use in Diagnostic Procedures.

Applications:
W, IHC-Bond, IHC-P

Reactivity:
M

Sensitivity:
Endogenous

MW (kDa):
20-40

Source/Isotype:
Rabbit IgG

UniProt ID:
#P35461

Entrez-Gene Id:
546644

Product Usage Information

Application Dilution
Western Blotting 1:1000
IHC Leica Bond 1:300 - 1:1200
Immunohistochemistry (Paraffin) 1:75 - 1:300

Storage

Supplied in 10 mM sodium HEPES (pH 7.5), 150 mM NaCl, 100 µg/ml BSA, 50% glycerol and less than 0.02% sodium azide. Store at –20°C. Do not aliquot the antibody.

For a carrier free (BSA and azide free) version of this product see product #75028.

Specificity/Sensitivity

Ly-6G (E6Z1T) Rabbit Monoclonal Antibody recognizes endogenous levels of total Ly-6G protein. This antibody does not cross-react with Ly-6C1, Ly-6C2, Ly-6F, or Ly-6I. Non-specific staining was observed in mouse gastrointestinal epithelium by immunohistochemistry.

Source / Purification

Monoclonal antibody is produced by immunizing animals with mouse Ly-6G recombinant protein.

Background

The Ly-6 complex is a series of genes found on chromosome 15. These genes code for a number of different proteins that can be used as surface markers. The family members vary in their biologic expression and have been shown to be involved in cell signaling and cell adhesion (1). The structure of these proteins includes a motif known as the LU domain that has three loops comprised of disulfide bonds. These bonds are formed by 8 to 10 cysteines that can cause differences in the length of the loops as well as the sequences at each tip (2,4). There are 11 known Ly-6 genes on murine chromosome 15 that code for different proteins. These family members, excluding secreted Ly6/Plaur domain containing 1 coded by the Slurp1 gene, are attached to the cell surface by a GPI anchor near the C terminus. The structure of these proteins may play a role in transmembrane interactions, and downstream signaling cascades (1,2).

Ly-6 proteins have been widely used as differentiation markers on hematopoietic cells. The ability to isolate and express specific Ly-6 antibodies through hybridoma technology has allowed researchers to identify unique proteins (1). These proteins are expressed on subsets of immune cells at different stages of development, such as T cells, B cells, monocytes, granulocytes, and macrophages (1-5). 

Ly-6G is used as a marker for mouse neutrophils (2,3). It is also expressed by mouse polymorphonuclear myeloid-derived suppressor cells (PMN-MDSCs) (6).

Species Reactivity

Species reactivity is determined by testing in at least one approved application (e.g., western blot).

Western Blot Buffer

IMPORTANT: For western blots, incubate membrane with diluted primary antibody in 5% w/v BSA, 1X TBS, 0.1% Tween® 20 at 4°C with gentle shaking, overnight.

Applications Key

W: Western Blotting IHC-Bond: IHC Leica Bond IHC-P: Immunohistochemistry (Paraffin)

Cross-Reactivity Key

M: Mouse

Trademarks and Patents

Cell Signaling Technology is a trademark of Cell Signaling Technology, Inc.

SignalStain is a registered trademark of Cell Signaling Technology, Inc.

All other trademarks are the property of their respective owners. Visit cellsignal.com/trademarks for more information.

Limited Uses

Except as otherwise expressly agreed in a writing signed by a legally authorized representative of CST, the following terms apply to Products provided by CST, its affiliates or its distributors. Any Customer's terms and conditions that are in addition to, or different from, those contained herein, unless separately accepted in writing by a legally authorized representative of CST, are rejected and are of no force or effect.

Products are labeled with For Research Use Only or a similar labeling statement and have not been approved, cleared, or licensed by the FDA or other regulatory foreign or domestic entity, for any purpose. Customer shall not use any Product for any diagnostic or therapeutic purpose, or otherwise in any manner that conflicts with its labeling statement. Products sold or licensed by CST are provided for Customer as the end-user and solely for research and development uses. Any use of Product for diagnostic, prophylactic or therapeutic purposes, or any purchase of Product for resale (alone or as a component) or other commercial purpose, requires a separate license from CST. Customer shall (a) not sell, license, loan, donate or otherwise transfer or make available any Product to any third party, whether alone or in combination with other materials, or use the Products to manufacture any commercial products, (b) not copy, modify, reverse engineer, decompile, disassemble or otherwise attempt to discover the underlying structure or technology of the Products, or use the Products for the purpose of developing any products or services that would compete with CST products or services, (c) not alter or remove from the Products any trademarks, trade names, logos, patent or copyright notices or markings, (d) use the Products solely in accordance with CST Product Terms of Sale and any applicable documentation, and (e) comply with any license, terms of service or similar agreement with respect to any third party products or services used by Customer in connection with the Products.

Orders: 877-616-CELL (2355) [email protected] Support: 877-678-TECH (8324) [email protected] Web: cellsignal.com
For Research Use Only. Not for Use in Diagnostic Procedures.

Revision 5

Cell Signaling Technology Logo
Western blot analysis of extracts from 293T cells, mock transfected (-) or transfected (+) with constructs expressing Myc/DDK-tagged full-length mouse Ly-6C1 protein (mLy-6C1-Myc/DDK), Myc/DDK-tagged full-length mouse Ly-6C2 protein (mLy-6C2-Myc/DDK), Myc/DDK-tagged full-length mouse Ly-6F protein (mLy-6F-Myc/DDK), Myc/DDK-tagged full-length mouse Ly-6I protein (mLy-6I-Myc/DDK), and Myc/DDK-tagged full-length mouse Ly-6G protein (mLy-6G-Myc/DDK), using Ly-6G (E6Z1T) Rabbit mAb (upper), Myc-Tag (71D10) Rabbit mAb #2278 (middle), and β-Actin (D6A8) Rabbit mAb #8457 (lower).
Western Blotting Image 1: Ly-6G (E6Z1T) Rabbit Monoclonal Antibody
Western blot analysis of extracts from mouse bone marrow, C2C12 cells, and NIH/3T3 cells using Ly-6G (E6Z1T) Rabbit mAb (upper) or β-Actin (D6A8) Rabbit mAb #8457 (lower).
Western Blotting Image 2: Ly-6G (E6Z1T) Rabbit Monoclonal Antibody
Immunohistochemical analysis of paraffin-embedded mouse spleen using Ly-6G (E6Z1T) Rabbit mAb performed on the Leica® BOND™ Rx.
Immunohistochemistry Image 1: Ly-6G (E6Z1T) Rabbit Monoclonal Antibody
Orders: 877-616-CELL (2355) [email protected] Support: 877-678-TECH (8324) [email protected] Web: cellsignal.com
For Research Use Only. Not for Use in Diagnostic Procedures.

Revision 5

Cell Signaling Technology Logo
Immunohistochemical analysis of paraffin-embedded 293T cell pellet, untransfected (left) or Ly-6G-transfected (right), using Ly-6G (E6Z1T) Rabbit mAb.
Immunohistochemistry Image 1: Ly-6G (E6Z1T) Rabbit Monoclonal Antibody
Immunohistochemical analysis of paraffin-embedded 4T1 metastatic tumor in mouse lung using Ly-6G (E6Z1T) Rabbit mAb (left) compared to concentration-matched Rabbit (DA1E) mAb IgG XP® Isotype Control #3900 (right).
Immunohistochemistry Image 2: Ly-6G (E6Z1T) Rabbit Monoclonal Antibody
Immunohistochemical analysis of paraffin-embedded mouse bone marrow using Ly-6G (E6Z1T) Rabbit mAb.
Immunohistochemistry Image 3: Ly-6G (E6Z1T) Rabbit Monoclonal Antibody
Orders: 877-616-CELL (2355) [email protected] Support: 877-678-TECH (8324) [email protected] Web: cellsignal.com
For Research Use Only. Not for Use in Diagnostic Procedures.

Revision 5

Cell Signaling Technology Logo
Immunohistochemical analysis of paraffin-embedded mouse lung using Ly-6G (E6Z1T) Rabbit mAb.
Immunohistochemistry Image 4: Ly-6G (E6Z1T) Rabbit Monoclonal Antibody
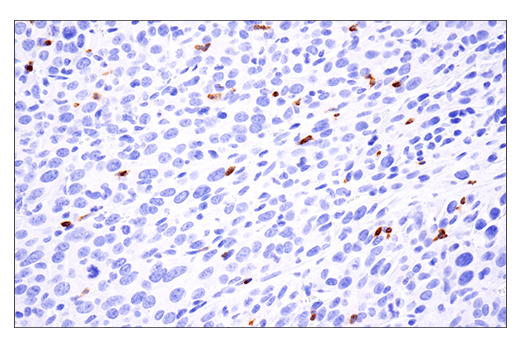
Immunohistochemical analysis of paraffin-embedded Renca syngeneic tumor using Ly-6G (E6Z1T) Rabbit mAb.
Immunohistochemistry Image 5: Ly-6G (E6Z1T) Rabbit Monoclonal Antibody
Orders: 877-616-CELL (2355) [email protected] Support: 877-678-TECH (8324) [email protected] Web: cellsignal.com
For Research Use Only. Not for Use in Diagnostic Procedures.