Revision 10

#87151

Store at +4C

CST Logo
Orders:

877-616-CELL (2355)

[email protected]

Support:

877-678-TECH (8324)

3 Trask Lane | Danvers | Massachusetts | 01923 | USA

For Research Use Only. Not for Use in Diagnostic Procedures.

Applications:
IHC-Bond, IHC-P

Reactivity:
H

Sensitivity:
Endogenous

Source/Isotype:
Mouse IgG1

UniProt ID:
#Q9H3D4

Entrez-Gene Id:
8626

Product Usage Information

Application Dilution
IHC Leica Bond 1:50 - 1:200
Immunohistochemistry (Paraffin) 1:50 - 1:200

Storage

Supplied in a PBS-based buffer with ~1% BSA and less than 0.1% sodium azide. Stable for 12 months when stored at 4°C. Do not aliquot the antibody.

Note: This product is only available in the format listed above. We are unable to provide this in a carrier free, custom formulation.

Specificity/Sensitivity

p40 (BC28) Mouse Monoclonal Antibody recognizes endogenous levels of p40 protein.

Source / Purification

Monoclonal antibody is produced by immunizing animals with a synthetic peptide corresponding to amino acids 5-17 of human p40 protein.

Background

The p53 tumor suppressor protein plays a major role in cellular response to DNA damage and other genomic aberrations. Activation of p53 can lead to either cell cycle arrest and DNA repair or apoptosis (1). In addition to p53, mammalian cells contain two p53 family members, p63 and p73, which are similar to p53 in both structure and function (2). While p63 can induce p53-responsive genes and apoptosis, mutation of p63 rarely results in tumors (2). Research investigators frequently observe amplification of the p63 gene in squamous cell carcinomas of the lung, head and neck (2,3). The p63 gene contains an alternative transcription initiation site that yields a truncated ΔNp63 lacking the transactivation domain, and alternative splicing at the carboxy-terminus yields the α, β, and γ isoforms (3,4).

Species Reactivity

Species reactivity is determined by testing in at least one approved application (e.g., western blot).

Applications Key

IHC-Bond: IHC Leica Bond IHC-P: Immunohistochemistry (Paraffin)

Cross-Reactivity Key

H: Human

Trademarks and Patents

Cell Signaling Technology is a trademark of Cell Signaling Technology, Inc.

SignalStain is a registered trademark of Cell Signaling Technology, Inc.

All other trademarks are the property of their respective owners. Visit cellsignal.com/trademarks for more information.

Limited Uses

Except as otherwise expressly agreed in a writing signed by a legally authorized representative of CST, the following terms apply to Products provided by CST, its affiliates or its distributors. Any Customer's terms and conditions that are in addition to, or different from, those contained herein, unless separately accepted in writing by a legally authorized representative of CST, are rejected and are of no force or effect.

Products are labeled with For Research Use Only or a similar labeling statement and have not been approved, cleared, or licensed by the FDA or other regulatory foreign or domestic entity, for any purpose. Customer shall not use any Product for any diagnostic or therapeutic purpose, or otherwise in any manner that conflicts with its labeling statement. Products sold or licensed by CST are provided for Customer as the end-user and solely for research and development uses. Any use of Product for diagnostic, prophylactic or therapeutic purposes, or any purchase of Product for resale (alone or as a component) or other commercial purpose, requires a separate license from CST. Customer shall (a) not sell, license, loan, donate or otherwise transfer or make available any Product to any third party, whether alone or in combination with other materials, or use the Products to manufacture any commercial products, (b) not copy, modify, reverse engineer, decompile, disassemble or otherwise attempt to discover the underlying structure or technology of the Products, or use the Products for the purpose of developing any products or services that would compete with CST products or services, (c) not alter or remove from the Products any trademarks, trade names, logos, patent or copyright notices or markings, (d) use the Products solely in accordance with CST Product Terms of Sale and any applicable documentation, and (e) comply with any license, terms of service or similar agreement with respect to any third party products or services used by Customer in connection with the Products.

Orders: 877-616-CELL (2355) [email protected] Support: 877-678-TECH (8324) [email protected] Web: cellsignal.com
For Research Use Only. Not for Use in Diagnostic Procedures.

Revision 10

Cell Signaling Technology Logo
Immunohistochemical analysis of paraffin-embedded human ductal breast carcinoma using p40 (BC28) Mouse mAb performed on the Leica® BOND™ Rx.
Immunohistochemistry Image 1: p40 (BC28) Mouse Monoclonal Antibody
Immunohistochemical analysis of paraffin-embedded human urothelial carcinoma using p40 (BC28) Mouse mAb performed on the Leica® BOND™ Rx.
Immunohistochemistry Image 2: p40 (BC28) Mouse Monoclonal Antibody
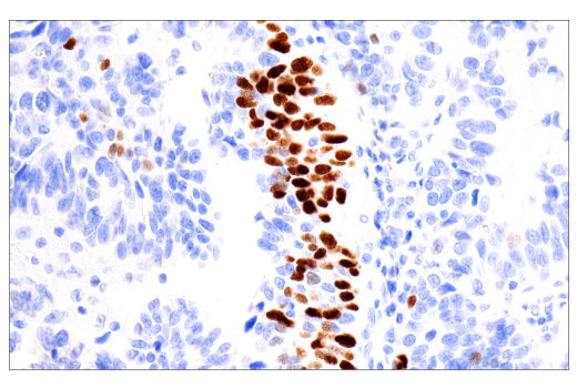
Immunohistochemical analysis of paraffin-embedded human colon carcinoma using p40 (BC28) Mouse mAb performed on the Leica® BOND™ Rx.
Immunohistochemistry Image 3: p40 (BC28) Mouse Monoclonal Antibody
Orders: 877-616-CELL (2355) [email protected] Support: 877-678-TECH (8324) [email protected] Web: cellsignal.com
For Research Use Only. Not for Use in Diagnostic Procedures.

Revision 10

Cell Signaling Technology Logo
Immunohistochemical analysis of paraffin-embedded human gastric carcinoma using p40 (BC28) Mouse mAb performed on the Leica® BOND™ Rx.
Immunohistochemistry Image 4: p40 (BC28) Mouse Monoclonal Antibody
Immunohistochemical analysis of paraffin-embedded human prostate carcinoma using p40 (BC28) Mouse mAb.
Immunohistochemistry Image 1: p40 (BC28) Mouse Monoclonal Antibody
Immunohistochemical analysis of paraffin-embedded human breast carcinoma using p40 (BC28) Mouse mAb.
Immunohistochemistry Image 2: p40 (BC28) Mouse Monoclonal Antibody
Orders: 877-616-CELL (2355) [email protected] Support: 877-678-TECH (8324) [email protected] Web: cellsignal.com
For Research Use Only. Not for Use in Diagnostic Procedures.

Revision 10

Cell Signaling Technology Logo
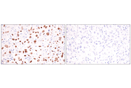
Immunohistochemical analysis of paraffin-embedded human soft tissue squamous cell carcinoma using p40 (BC28) Mouse mAb (left) compared to concentration-matched Mouse (G3A1) mAb IgG1 Isotype Control #5415 (right).
Immunohistochemistry Image 3: p40 (BC28) Mouse Monoclonal Antibody
Immunohistochemical analysis of paraffin-embedded ME-180 cell pellet (left, positive) or MCF7 cell pellet (right, negative) using p40 (BC28) Mouse mAb.
Immunohistochemistry Image 4: p40 (BC28) Mouse Monoclonal Antibody
Orders: 877-616-CELL (2355) [email protected] Support: 877-678-TECH (8324) [email protected] Web: cellsignal.com
For Research Use Only. Not for Use in Diagnostic Procedures.