Revision 1

#87242

Store at -20C

CST Logo
Orders:

877-616-CELL (2355)

[email protected]

Support:

877-678-TECH (8324)

3 Trask Lane | Danvers | Massachusetts | 01923 | USA

For Research Use Only. Not for Use in Diagnostic Procedures.

Applications:
W, IHC-P

Reactivity:
H M R

Sensitivity:
Endogenous

MW (kDa):
18

Source/Isotype:
Rabbit IgG

UniProt ID:
#P10620

Entrez-Gene Id:
4257

Product Usage Information

Application Dilution
Western Blotting 1:1000
Immunohistochemistry (Paraffin) 1:250 - 1:1000

Storage

Supplied in 10 mM sodium HEPES (pH 7.5), 150 mM NaCl, 100 µg/mL BSA, 50% glycerol, and less than 0.02% sodium azide. Store at –20°C. Do not aliquot the antibody.

Specificity/Sensitivity

MGST1 (F6F5T) Rabbit Monoclonal Antibody recognizes endogenous levels of total MGST1 protein. This antibody detects a 45 kDa band of unknown identity in some cell lines. This antibody is not recommended for immunohistochemical analysis of mouse tissues.

Source / Purification

Monoclonal antibody is produced by immunizing animals with a synthetic peptide corresponding to residues surrounding Ala45 of human MGST1 protein.

Background

Microsomal glutathione S-transferase 1 (MGST1) is a member of the membrane-associated proteins in eicosanoid and glutathione metabolism (MAPEG) family of enzymes that catalyze the reaction of glutathione with a wide range of electrophilic compounds (1-3). MGST1 is a homotrimer that can bind three molecules of glutathione and plays a role in protection from reactive electrophilic intermediates and oxidative stress (1-3). MGST1 is abundant in the liver and has a broad subcellular distribution with high levels in endoplasmic reticulum and mitochondrial membranes (1-3). Activation of MGST1 occurs by various mechanisms including exposure to sulfhydryl-reacting agents, thiol-disulfide interchange, proteolysis, and sulfhydryl oxidation to form dimers (3,4). MGST1 overexpression has been demonstrated in various cancers, and it may be a potential therapeutic target due to its role in inhibiting ferroptosis in cancer cells (4,5).

Species Reactivity

Species reactivity is determined by testing in at least one approved application (e.g., western blot).

Western Blot Buffer

IMPORTANT: For western blots, incubate membrane with diluted primary antibody in 5% w/v BSA, 1X TBS, 0.1% Tween® 20 at 4°C with gentle shaking, overnight.

Applications Key

W: Western Blotting IHC-P: Immunohistochemistry (Paraffin)

Cross-Reactivity Key

H: Human M: Mouse R: Rat

Trademarks and Patents

Cell Signaling Technology is a trademark of Cell Signaling Technology, Inc.

All other trademarks are the property of their respective owners. Visit cellsignal.com/trademarks for more information.

Limited Uses

Except as otherwise expressly agreed in a writing signed by a legally authorized representative of CST, the following terms apply to Products provided by CST, its affiliates or its distributors. Any Customer's terms and conditions that are in addition to, or different from, those contained herein, unless separately accepted in writing by a legally authorized representative of CST, are rejected and are of no force or effect.

Products are labeled with For Research Use Only or a similar labeling statement and have not been approved, cleared, or licensed by the FDA or other regulatory foreign or domestic entity, for any purpose. Customer shall not use any Product for any diagnostic or therapeutic purpose, or otherwise in any manner that conflicts with its labeling statement. Products sold or licensed by CST are provided for Customer as the end-user and solely for research and development uses. Any use of Product for diagnostic, prophylactic or therapeutic purposes, or any purchase of Product for resale (alone or as a component) or other commercial purpose, requires a separate license from CST. Customer shall (a) not sell, license, loan, donate or otherwise transfer or make available any Product to any third party, whether alone or in combination with other materials, or use the Products to manufacture any commercial products, (b) not copy, modify, reverse engineer, decompile, disassemble or otherwise attempt to discover the underlying structure or technology of the Products, or use the Products for the purpose of developing any products or services that would compete with CST products or services, (c) not alter or remove from the Products any trademarks, trade names, logos, patent or copyright notices or markings, (d) use the Products solely in accordance with CST Product Terms of Sale and any applicable documentation, and (e) comply with any license, terms of service or similar agreement with respect to any third party products or services used by Customer in connection with the Products.

Orders: 877-616-CELL (2355) [email protected] Support: 877-678-TECH (8324) [email protected] Web: cellsignal.com
For Research Use Only. Not for Use in Diagnostic Procedures.

Revision 1

Cell Signaling Technology Logo
Western blot analysis of extracts from various cell lines using MGST1 (F6F5T) Rabbit mAb (upper) or GAPDH (D16H11) XP® Rabbit mAb #5174 (lower). Negative expression of MGST1 protein in A-431 and Raji cells is consistent with the predicted expression pattern.
Western Blotting Image 1: MGST1 (F6F5T) Rabbit Monoclonal Antibody
Western blot analysis of extracts from various cell lines and tissues using MGST1 (F6F5T) Rabbit mAb (upper) or GAPDH (D16H11) XP® Rabbit mAb #5174 (lower). Negative expression of MGST1 protein in C2C12 cells is consistent with the predicted expression pattern.
Western Blotting Image 2: MGST1 (F6F5T) Rabbit Monoclonal Antibody
Western blot analysis of extracts from 293T cells, mock transfected (-) or transfected with a construct expressing Myc/DDK-tagged full-length human MGST1 protein (hMGST1-Myc/DDK; +), using MGST1 (F6F5T) Rabbit mAb (upper), Myc-Tag (71D10) Rabbit mAb #2278 (middle), or GAPDH (D16H11) XP® Rabbit mAb #5174 (lower).
Western Blotting Image 3: MGST1 (F6F5T) Rabbit Monoclonal Antibody
Orders: 877-616-CELL (2355) [email protected] Support: 877-678-TECH (8324) [email protected] Web: cellsignal.com
For Research Use Only. Not for Use in Diagnostic Procedures.

Revision 1

Cell Signaling Technology Logo
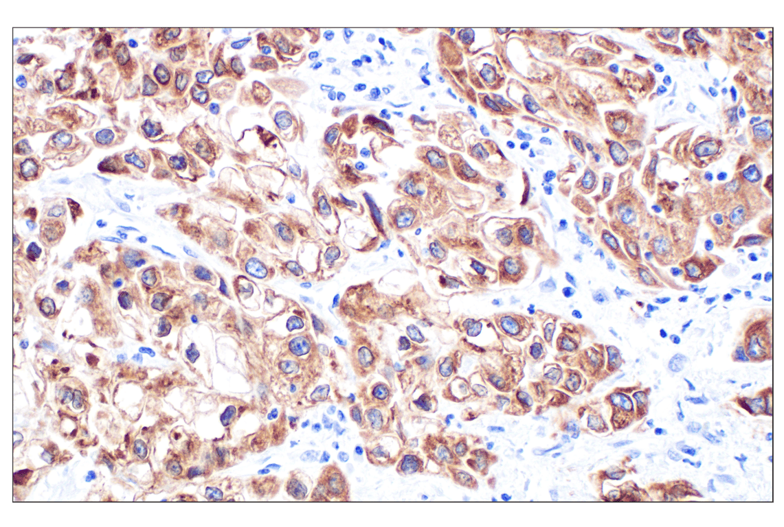
Immunohistochemical analysis of paraffin-embedded human urothelial carcinoma using MGST1 (F6F5T) Rabbit mAb.
Immunohistochemistry Image 1: MGST1 (F6F5T) Rabbit Monoclonal Antibody
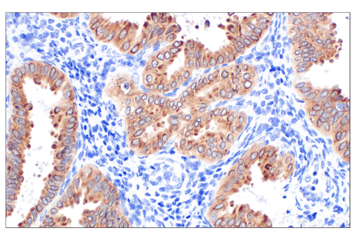
Immunohistochemical analysis of paraffin-embedded human lung adenocarcinoma using MGST1 (F6F5T) Rabbit mAb.
Immunohistochemistry Image 2: MGST1 (F6F5T) Rabbit Monoclonal Antibody
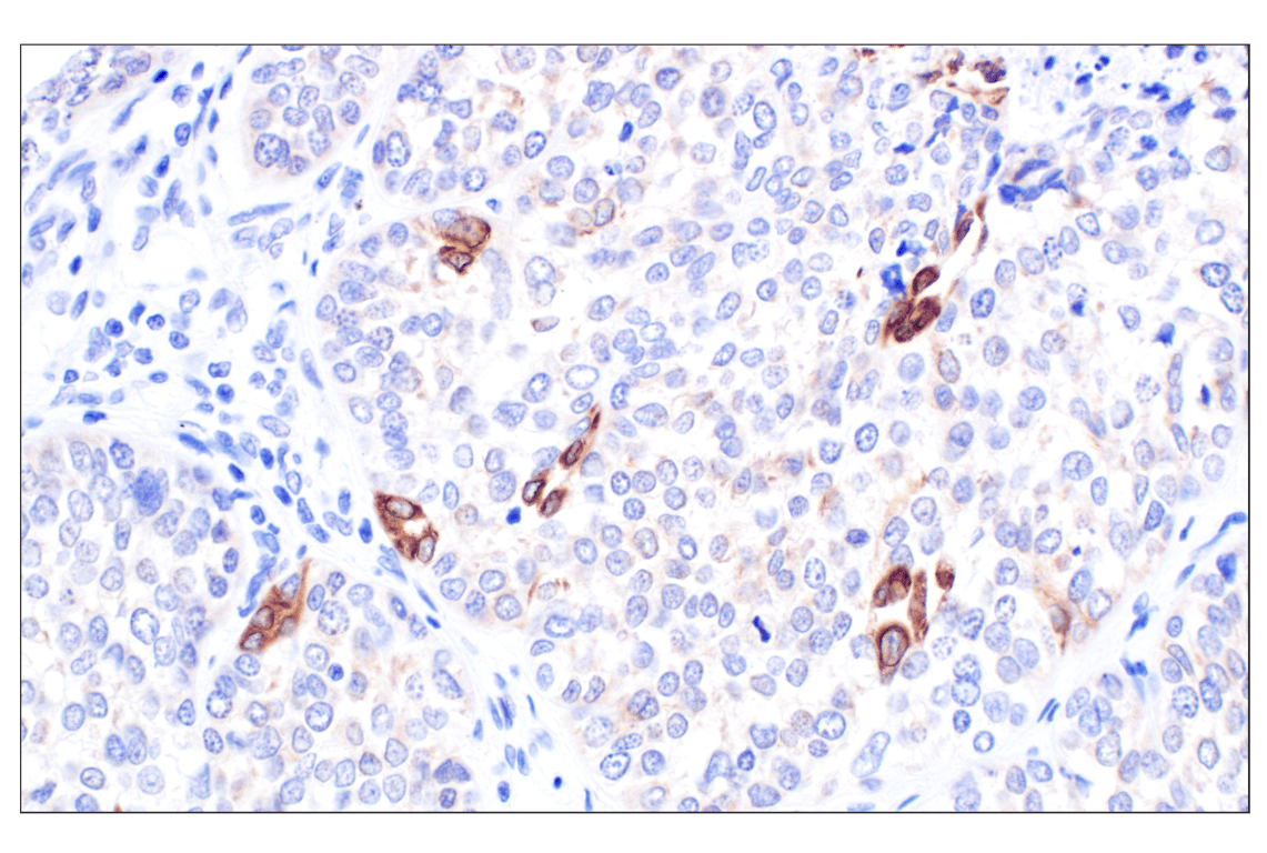
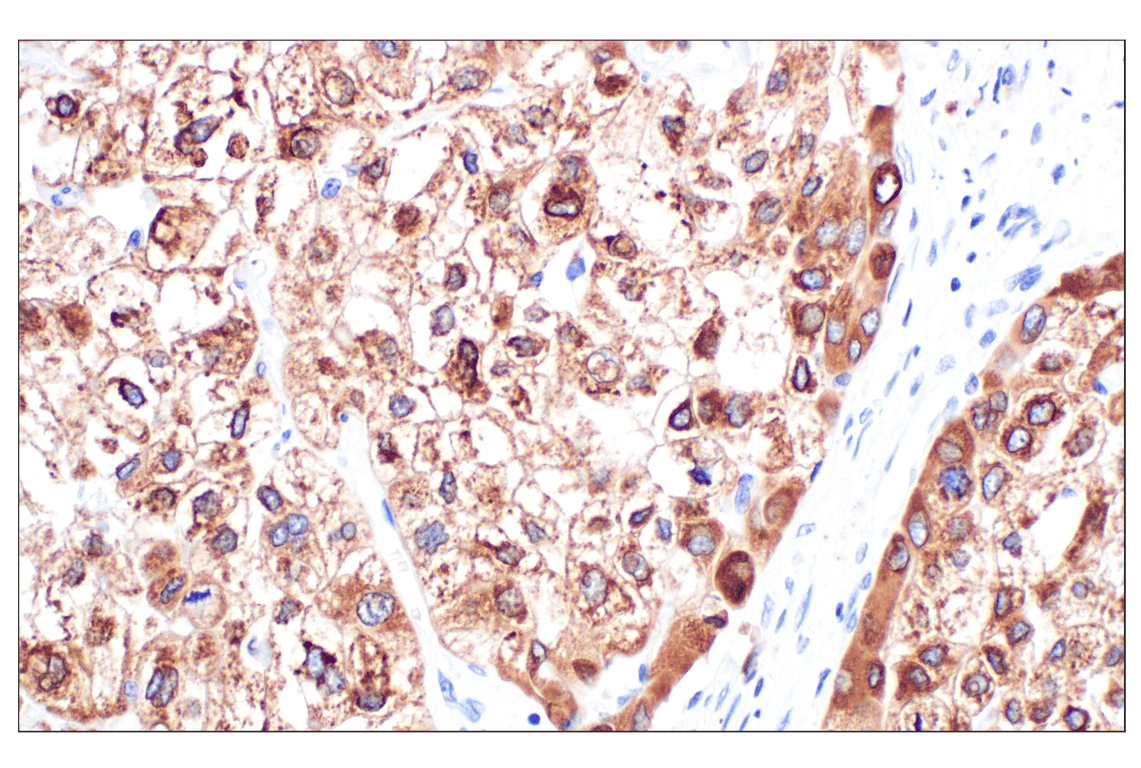
Immunohistochemical analysis of paraffin-embedded human hepatocellular carcinoma using MGST1 (F6F5T) Rabbit mAb.
Immunohistochemistry Image 3: MGST1 (F6F5T) Rabbit Monoclonal Antibody
Orders: 877-616-CELL (2355) [email protected] Support: 877-678-TECH (8324) [email protected] Web: cellsignal.com
For Research Use Only. Not for Use in Diagnostic Procedures.

Revision 1

Cell Signaling Technology Logo
Immunohistochemical analysis of paraffin-embedded human squamous cell lung carcinoma using MGST1 (F6F5T) Rabbit mAb.
Immunohistochemistry Image 4: MGST1 (F6F5T) Rabbit Monoclonal Antibody
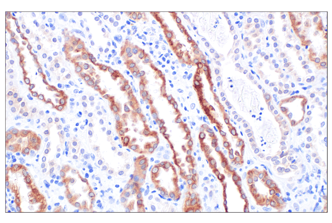
Immunohistochemical analysis of paraffin-embedded human kidney adjacent to renal cell carcinoma using MGST1 (F6F5T) Rabbit mAb.
Immunohistochemistry Image 5: MGST1 (F6F5T) Rabbit Monoclonal Antibody
Immunohistochemical analysis of paraffin-embedded normal human uterus using MGST1 (F6F5T) Rabbit mAb.
Immunohistochemistry Image 6: MGST1 (F6F5T) Rabbit Monoclonal Antibody
Orders: 877-616-CELL (2355) [email protected] Support: 877-678-TECH (8324) [email protected] Web: cellsignal.com
For Research Use Only. Not for Use in Diagnostic Procedures.

Revision 1

Cell Signaling Technology Logo
Immunohistochemical analysis of paraffin-embedded normal human appendix using MGST1 (F6F5T) Rabbit mAb.
Immunohistochemistry Image 7: MGST1 (F6F5T) Rabbit Monoclonal Antibody
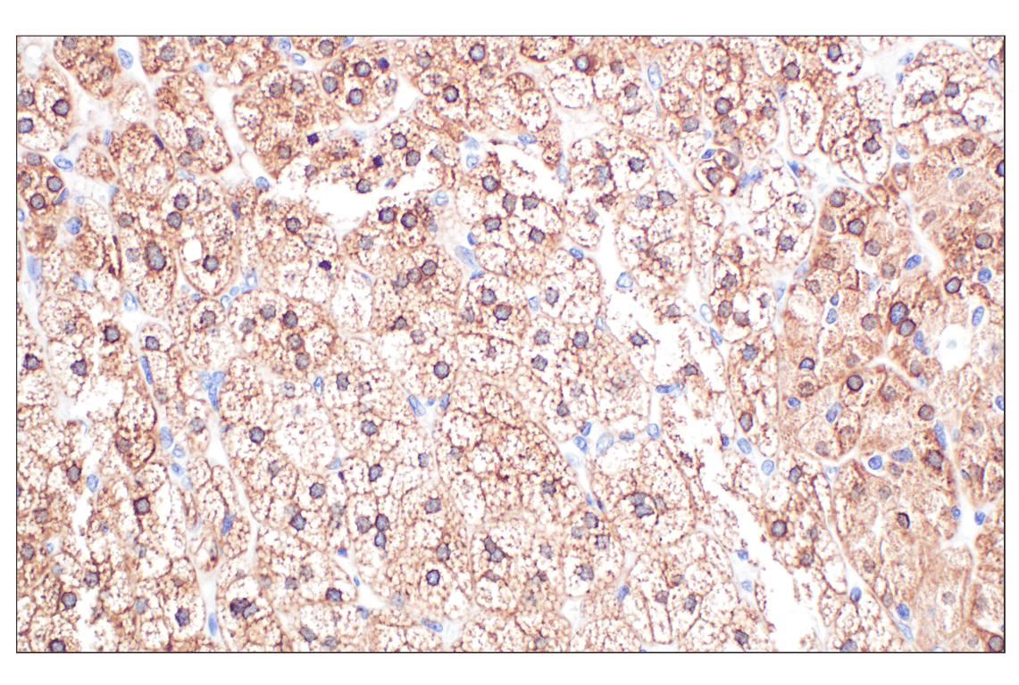
Immunohistochemical analysis of paraffin-embedded normal human adrenal gland using MGST1 (F6F5T) Rabbit mAb.
Immunohistochemistry Image 8: MGST1 (F6F5T) Rabbit Monoclonal Antibody
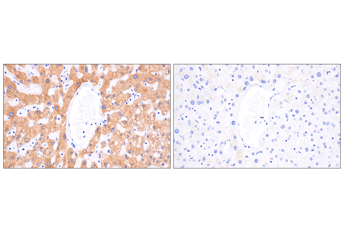
Immunohistochemical analysis of paraffin-embedded normal human liver using MGST1 (F6F5T) Rabbit mAb (left) compared to concentration-matched Rabbit (DA1E) mAb IgG XP® Isotype Control #3900 (right). 
Immunohistochemistry Image 9: MGST1 (F6F5T) Rabbit Monoclonal Antibody
Orders: 877-616-CELL (2355) [email protected] Support: 877-678-TECH (8324) [email protected] Web: cellsignal.com
For Research Use Only. Not for Use in Diagnostic Procedures.

Revision 1

Cell Signaling Technology Logo
Immunohistochemical analysis of paraffin-embedded RL cell pellet (left, positive) or A549 cell pellet (right, negative) using MGST1 (F6F5T) Rabbit mAb.
Immunohistochemistry Image 10: MGST1 (F6F5T) Rabbit Monoclonal Antibody
Orders: 877-616-CELL (2355) [email protected] Support: 877-678-TECH (8324) [email protected] Web: cellsignal.com
For Research Use Only. Not for Use in Diagnostic Procedures.