Revision 1

#8759

Store at -20C

CST Logo
Orders:

877-616-CELL (2355)

[email protected]

Support:

877-678-TECH (8324)

3 Trask Lane | Danvers | Massachusetts | 01923 | USA

For Research Use Only. Not for Use in Diagnostic Procedures.

Applications:
W, IP

Reactivity:
H M R Mk

Sensitivity:
Endogenous

MW (kDa):
130

Source/Isotype:
Rabbit IgG

UniProt ID:
#Q86VP6

Entrez-Gene Id:
55832

Product Usage Information

Application Dilution
Western Blotting 1:1000
Immunoprecipitation 1:50

Storage

Supplied in 10 mM sodium HEPES (pH 7.5), 150 mM NaCl, 100 µg/ml BSA, 50% glycerol and less than 0.02% sodium azide. Store at –20°C. Do not aliquot the antibody.

Specificity/Sensitivity

CAND1 (D1F2) Rabbit Monoclonal Antibody recognizes endogenous levels of total CAND1 protein. Based upon sequence alignment, this antibody is not predicted to cross-react with CAND2/TIP120B.

Species predicted to react based on 100% sequence homology

Chicken, Dog, Pig, Guinea Pig

Source / Purification

Monoclonal antibody is produced by immunizing animals with a synthetic peptide corresponding to residues surrounding Ala561 of human CAND1 protein.

Background

Cullin-associated and neddylation-dissociated (CAND1)/TIP120A is a protein containing multiple HEAT repeats. It functions, in part, as an inhibitor of multiple cullin-RING ubiquitin ligases (CRLs) via binding to cullin-RBX complexes that are both unconjugated to NEDD8 and lack association with substrate recognition subunits (1-3). Indeed, CAND1 has been shown to bind all cullin family members in human cells and analysis of the crystal structure of human CAND1 bound to the CUL1-RBX1 complex suggests that CAND1 inhibits the activity of CRLs by sterically blocking both the substrate recognition subunit binding site and the NEDD8 conjugation site (1,3,4). Conversely, CAND1 binding to cullin-RBX complexes is incompatible with neddylation as NEDD8 conjugated to cullins blocks CAND1 binding, suggesting that CAND1 binds to cullins only after the COP9 signalosome has catalyzed cullin deneddylation. Through its ability to negatively regulate CRL assembly, CAND1 plays an integral part in facilitating CRL activation cycles that allow CRLs to utilize distinct substrate recognition subunits and protects these subunits from undergoing ubiquitin-dependent degradation (5-7).

Species Reactivity

Species reactivity is determined by testing in at least one approved application (e.g., western blot).

Western Blot Buffer

IMPORTANT: For western blots, incubate membrane with diluted primary antibody in 5% w/v nonfat dry milk, 1X TBS, 0.1% Tween® 20 at 4°C with gentle shaking, overnight.

Applications Key

W: Western Blotting IP: Immunoprecipitation

Cross-Reactivity Key

H: Human M: Mouse R: Rat Mk: Monkey

Trademarks and Patents

Cell Signaling Technology is a trademark of Cell Signaling Technology, Inc.

All other trademarks are the property of their respective owners. Visit cellsignal.com/trademarks for more information.

Limited Uses

Except as otherwise expressly agreed in a writing signed by a legally authorized representative of CST, the following terms apply to Products provided by CST, its affiliates or its distributors. Any Customer's terms and conditions that are in addition to, or different from, those contained herein, unless separately accepted in writing by a legally authorized representative of CST, are rejected and are of no force or effect.

Products are labeled with For Research Use Only or a similar labeling statement and have not been approved, cleared, or licensed by the FDA or other regulatory foreign or domestic entity, for any purpose. Customer shall not use any Product for any diagnostic or therapeutic purpose, or otherwise in any manner that conflicts with its labeling statement. Products sold or licensed by CST are provided for Customer as the end-user and solely for research and development uses. Any use of Product for diagnostic, prophylactic or therapeutic purposes, or any purchase of Product for resale (alone or as a component) or other commercial purpose, requires a separate license from CST. Customer shall (a) not sell, license, loan, donate or otherwise transfer or make available any Product to any third party, whether alone or in combination with other materials, or use the Products to manufacture any commercial products, (b) not copy, modify, reverse engineer, decompile, disassemble or otherwise attempt to discover the underlying structure or technology of the Products, or use the Products for the purpose of developing any products or services that would compete with CST products or services, (c) not alter or remove from the Products any trademarks, trade names, logos, patent or copyright notices or markings, (d) use the Products solely in accordance with CST Product Terms of Sale and any applicable documentation, and (e) comply with any license, terms of service or similar agreement with respect to any third party products or services used by Customer in connection with the Products.

Orders: 877-616-CELL (2355) [email protected] Support: 877-678-TECH (8324) [email protected] Web: cellsignal.com
For Research Use Only. Not for Use in Diagnostic Procedures.

Revision 1

Cell Signaling Technology Logo
Western blot analysis of extracts from 293T cells, either mock transfected (-) or transfected with a Myc-tagged cDNA expression construct encoding full-length human CAND1 (hCAND1-Myc, +), using CAND1 (D1F2) Rabbit mAb.
Western Blotting Image 1: CAND1 (D1F2) Rabbit Monoclonal Antibody
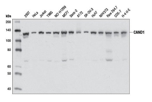
Western blot analysis of extracts from various cell lines using CAND1 (D1F2) Rabbit mAb.
Western Blotting Image 2: CAND1 (D1F2) Rabbit Monoclonal Antibody
Orders: 877-616-CELL (2355) [email protected] Support: 877-678-TECH (8324) [email protected] Web: cellsignal.com
For Research Use Only. Not for Use in Diagnostic Procedures.