Revision 1

#87632

Store at -20C

CST Logo
Orders:

877-616-CELL (2355)

[email protected]

Support:

877-678-TECH (8324)

3 Trask Lane | Danvers | Massachusetts | 01923 | USA

For Research Use Only. Not for Use in Diagnostic Procedures.

Applications:
W, IHC-P

Reactivity:
H Mk

Sensitivity:
Endogenous

MW (kDa):
95

Source/Isotype:
Rabbit IgG

UniProt ID:
#Q96T88

Entrez-Gene Id:
29128

Product Usage Information

Application Dilution
Western Blotting 1:1000
Immunohistochemistry (Paraffin) 1:100 - 1:400

Storage

Supplied in 10 mM sodium HEPES (pH 7.5), 150 mM NaCl, 100 µg/mL BSA, 50% glycerol, and less than 0.02% sodium azide. Store at –20°C. Do not aliquot the antibody.

Specificity/Sensitivity

UHRF1 (E5W8W) Rabbit Monoclonal Antibody recognizes endogenous levels of total UHRF1 protein. Occasional non-specific cytoplasmic staining was observed by immunohistochemistry.

Source / Purification

Monoclonal antibody is produced by immunizing animals with a synthetic peptide corresponding to residues surrounding Gly610 of human UHRF1 protein.

Background

Ubiquitin-like PHD and RING finger domain-containing protein 1 (UHRF1), also known as Inverted CCAAT box-binding protein of 90 kDa (ICBP90) and Nuclear Zinc Finger Protein NP95 (NP95), is a nuclear protein that was first discovered as a CCAAT box-binding protein that regulates the expression of the Topoisomerase IIα (TOP2A) and Rb1 genes (1,2). Later studies have shown that UHRF1 is required for maintenance of CpG DNA methylation, the process of copying pre-existing methylation patterns onto the newly synthesized DNA strand after DNA replication (3-5). UHRF1 localizes primarily with highly methylated pericentromeric heterochromatin and is required for proper structure and function of these regions of the genome (6,7). However, UHRF1 also localizes to euchromatic regions of the genome and functions to negatively regulate the expression of a subset of tumor suppressor genes (2,8,9). The localization and repressive functions of UHRF1 are both mediated by several protein domains, including a ubiquitin-like (UBL) domain, Tudor domain, PHD domain, SET and RING finger-associated (SRA) domain, and a RING finger domain. The SRA domain of UHRF1 binds with high affinity to hemi-methylated DNA and functions to properly target the associated maintenance DNA methyltransferase DNMT1 protein to mediate faithful methylation of the newly synthesized DNA strand (3-5). Additional targeting of UHRF1 to heterochromatin is mediated by the Tudor domain, which binds specifically to tri-methylated Lys9 of histone H3, a histone mark associated with pericentromeric heterochromatin (10-12). Targeting of UHRF1 to euchromatin is further mediated by the PHD domain, which binds specifically to unmethylated Arg2 of histone H3, which is commonly associated with euchromatin (13). In addition to recruiting DNMT1, UHRF1 recruits the histone deacetylase 1 (HDAC1) protein to target loci, resulting in deacetylation of histones, and providing an additional mechanism for transcriptional repression (3). Taken together, these studies demonstrate that UHRF1 functions to link DNA methylation and histone modifications to the maintenance of repressive chromatin structures. These functions of UHRF1 are important for proper maintenance of cell growth and proliferation, as research studies have shown UHRF1 overexpression in a number of cancers (breast, lung, colon, and prostate cancer) is associated with increased proliferation and malignancy (9,14-16).

Species Reactivity

Species reactivity is determined by testing in at least one approved application (e.g., western blot).

Western Blot Buffer

IMPORTANT: For western blots, incubate membrane with diluted primary antibody in 5% w/v BSA, 1X TBS, 0.1% Tween® 20 at 4°C with gentle shaking, overnight.

Applications Key

W: Western Blotting IHC-P: Immunohistochemistry (Paraffin)

Cross-Reactivity Key

H: Human Mk: Monkey

Trademarks and Patents

Cell Signaling Technology is a trademark of Cell Signaling Technology, Inc.

All other trademarks are the property of their respective owners. Visit cellsignal.com/trademarks for more information.

Limited Uses

Except as otherwise expressly agreed in a writing signed by a legally authorized representative of CST, the following terms apply to Products provided by CST, its affiliates or its distributors. Any Customer's terms and conditions that are in addition to, or different from, those contained herein, unless separately accepted in writing by a legally authorized representative of CST, are rejected and are of no force or effect.

Products are labeled with For Research Use Only or a similar labeling statement and have not been approved, cleared, or licensed by the FDA or other regulatory foreign or domestic entity, for any purpose. Customer shall not use any Product for any diagnostic or therapeutic purpose, or otherwise in any manner that conflicts with its labeling statement. Products sold or licensed by CST are provided for Customer as the end-user and solely for research and development uses. Any use of Product for diagnostic, prophylactic or therapeutic purposes, or any purchase of Product for resale (alone or as a component) or other commercial purpose, requires a separate license from CST. Customer shall (a) not sell, license, loan, donate or otherwise transfer or make available any Product to any third party, whether alone or in combination with other materials, or use the Products to manufacture any commercial products, (b) not copy, modify, reverse engineer, decompile, disassemble or otherwise attempt to discover the underlying structure or technology of the Products, or use the Products for the purpose of developing any products or services that would compete with CST products or services, (c) not alter or remove from the Products any trademarks, trade names, logos, patent or copyright notices or markings, (d) use the Products solely in accordance with CST Product Terms of Sale and any applicable documentation, and (e) comply with any license, terms of service or similar agreement with respect to any third party products or services used by Customer in connection with the Products.

Orders: 877-616-CELL (2355) [email protected] Support: 877-678-TECH (8324) [email protected] Web: cellsignal.com
For Research Use Only. Not for Use in Diagnostic Procedures.

Revision 1

Cell Signaling Technology Logo
Western blot analysis of extracts from HCT 116 cells, transfected with control shRNA (-) or UHRF1 shRNA (+), using UHRF1 (E5W8W) Rabbit mAb (upper) or β-Actin (D6A8) Rabbit mAb #8457 (lower). Cell lines were generously provided by Dr. Scott Rothbart at the Van Andel Institute.
Western Blotting Image 1: UHRF1 (E5W8W) Rabbit Monoclonal Antibody
Western blot analysis of extracts from various cell lines using UHRF1 (E5W8W) Rabbit mAb (upper) or β-Actin (D6A8) Rabbit mAb #8457 (lower). Low expression of UHRF1 protein in Caki-1 cells is consistent with the predicted expression pattern.
Western Blotting Image 2: UHRF1 (E5W8W) Rabbit Monoclonal Antibody
Immunohistochemical analysis of paraffin-embedded human urothelial carcinoma using UHRF1 (E5W8W) Rabbit mAb.
Immunohistochemistry Image 1: UHRF1 (E5W8W) Rabbit Monoclonal Antibody
Orders: 877-616-CELL (2355) [email protected] Support: 877-678-TECH (8324) [email protected] Web: cellsignal.com
For Research Use Only. Not for Use in Diagnostic Procedures.

Revision 1

Cell Signaling Technology Logo
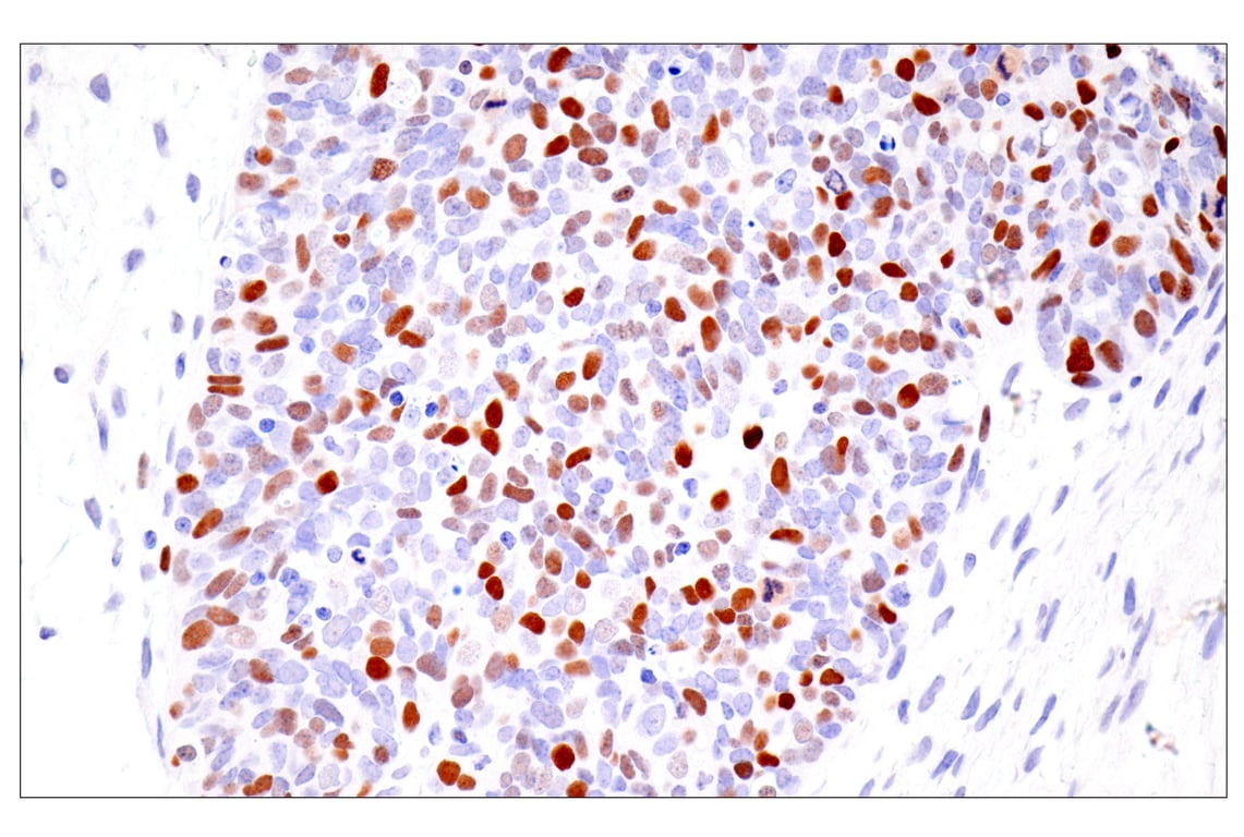
Immunohistochemical analysis of paraffin-embedded human squamous cell carcinoma of the cervix using UHRF1 (E5W8W) Rabbit mAb.
Immunohistochemistry Image 2: UHRF1 (E5W8W) Rabbit Monoclonal Antibody

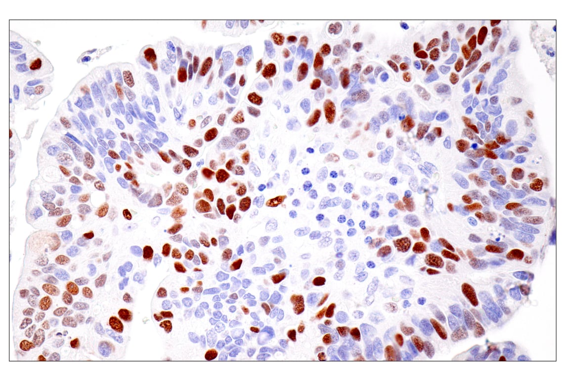
Immunohistochemical analysis of paraffin-embedded human ovarian serous adenocarcinoma using UHRF1 (E5W8W) Rabbit mAb.

Immunohistochemistry Image 3: UHRF1 (E5W8W) Rabbit Monoclonal Antibody

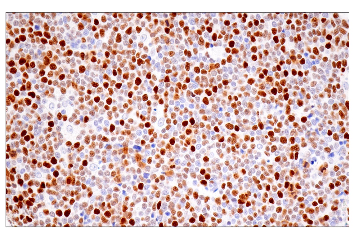
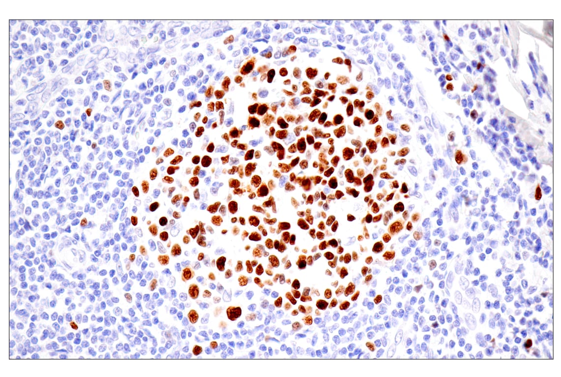
Immunohistochemical analysis of paraffin-embedded human B-cell non-Hodgkin lymphoma using UHRF1 (E5W8W) Rabbit mAb.

Immunohistochemistry Image 4: UHRF1 (E5W8W) Rabbit Monoclonal Antibody
Orders: 877-616-CELL (2355) [email protected] Support: 877-678-TECH (8324) [email protected] Web: cellsignal.com
For Research Use Only. Not for Use in Diagnostic Procedures.

Revision 1

Cell Signaling Technology Logo
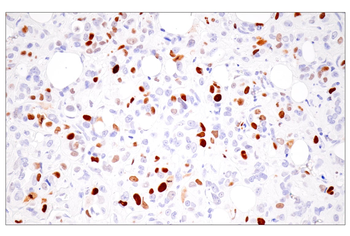
Immunohistochemical analysis of paraffin-embedded human granulosa cell tumor of the ovary using UHRF1 (E5W8W) Rabbit mAb.
Immunohistochemistry Image 5: UHRF1 (E5W8W) Rabbit Monoclonal Antibody
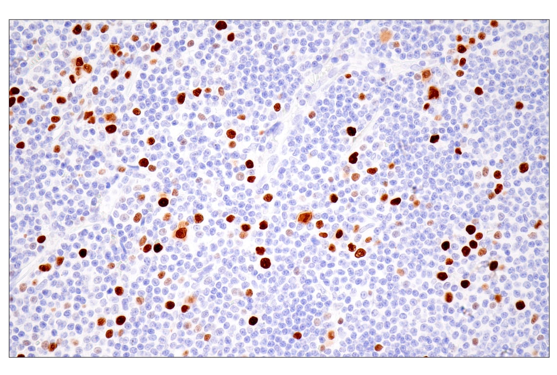
Immunohistochemical analysis of paraffin-embedded human mantle cell lymphoma using UHRF1 (E5W8W) Rabbit mAb.
Immunohistochemistry Image 6: UHRF1 (E5W8W) Rabbit Monoclonal Antibody
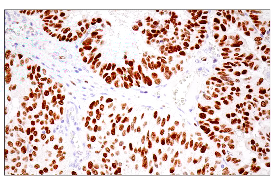
Immunohistochemical analysis of paraffin-embedded human esophageal carcinoma using UHRF1 (E5W8W) Rabbit mAb.
Immunohistochemistry Image 7: UHRF1 (E5W8W) Rabbit Monoclonal Antibody
Orders: 877-616-CELL (2355) [email protected] Support: 877-678-TECH (8324) [email protected] Web: cellsignal.com
For Research Use Only. Not for Use in Diagnostic Procedures.

Revision 1

Cell Signaling Technology Logo
Immunohistochemical analysis of paraffin-embedded human ductal breast carcinoma using UHRF1 (E5W8W) Rabbit mAb.
Immunohistochemistry Image 8: UHRF1 (E5W8W) Rabbit Monoclonal Antibody
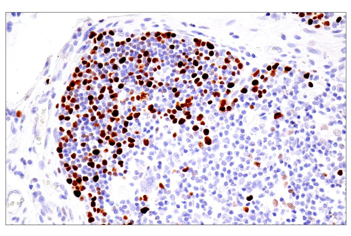
Immunohistochemical analysis of paraffin-embedded human tonsil using UHRF1 (E5W8W) Rabbit mAb.
Immunohistochemistry Image 9: UHRF1 (E5W8W) Rabbit Monoclonal Antibody
Immunohistochemical analysis of paraffin-embedded normal human thymus using UHRF1 (E5W8W) Rabbit mAb.
Immunohistochemistry Image 10: UHRF1 (E5W8W) Rabbit Monoclonal Antibody
Orders: 877-616-CELL (2355) [email protected] Support: 877-678-TECH (8324) [email protected] Web: cellsignal.com
For Research Use Only. Not for Use in Diagnostic Procedures.

Revision 1

Cell Signaling Technology Logo

Immunohistochemical analysis of paraffin-embedded normal human esophagus using UHRF1 (E5W8W) Rabbit mAb.

Immunohistochemistry Image 11: UHRF1 (E5W8W) Rabbit Monoclonal Antibody
Immunohistochemical analysis of paraffin-embedded human appendix using UHRF1 (E5W8W) Rabbit mAb.
Immunohistochemistry Image 12: UHRF1 (E5W8W) Rabbit Monoclonal Antibody
Immunohistochemical analysis of paraffin-embedded normal human placenta using UHRF1 (E5W8W) Rabbit mAb.
Immunohistochemistry Image 13: UHRF1 (E5W8W) Rabbit Monoclonal Antibody
Orders: 877-616-CELL (2355) [email protected] Support: 877-678-TECH (8324) [email protected] Web: cellsignal.com
For Research Use Only. Not for Use in Diagnostic Procedures.

Revision 1

Cell Signaling Technology Logo
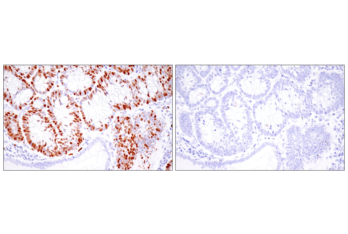
Immunohistochemical analysis of paraffin-embedded human colon adenocarcinoma using UHRF1 (E5W8W) Rabbit mAb (left) compared to concentration-matched Rabbit (DA1E) mAb IgG XP® Isotype Control #3900 (right).
Immunohistochemistry Image 14: UHRF1 (E5W8W) Rabbit Monoclonal Antibody
Orders: 877-616-CELL (2355) [email protected] Support: 877-678-TECH (8324) [email protected] Web: cellsignal.com
For Research Use Only. Not for Use in Diagnostic Procedures.