Revision 8

#88742

Store at -20C

CST Logo
Orders:

877-616-CELL (2355)

[email protected]

Support:

877-678-TECH (8324)

3 Trask Lane | Danvers | Massachusetts | 01923 | USA

For Research Use Only. Not for Use in Diagnostic Procedures.

Applications:
W, W-S, IP, IHC-P, IF-F, IF-IC, FC-FP

Reactivity:
M

Sensitivity:
Endogenous

MW (kDa):
58-75

Source/Isotype:
Rabbit IgG

UniProt ID:
#P10923

Entrez-Gene Id:
20750

Product Usage Information

Application Dilution
Western Blotting 1:1000
Simple Western™ 1:10 - 1:50
Immunoprecipitation 1:200
Immunohistochemistry (Paraffin) 1:50 - 1:200
Immunofluorescence (Frozen) 1:200 - 1:800
Immunofluorescence (Immunocytochemistry) 1:200 - 1:800
Flow Cytometry (Fixed/Permeabilized) 1:200 - 1:800

Storage

Supplied in 10 mM sodium HEPES (pH 7.5), 150 mM NaCl, 100 µg/mL BSA, 50% glycerol, and less than 0.02% sodium azide. Store at –20°C. Do not aliquot the antibody.

For a carrier free (BSA and azide free) version of this product see product #17090.

Specificity/Sensitivity

Osteopontin/SPP1 (E9Z1D) Rabbit Monoclonal Antibody recognizes endogenous levels of total osteopontin/SPP1 protein.

Source / Purification

Monoclonal antibody is produced by immunizing animals with a synthetic peptide corresponding to residues surrounding Ala149 of mouse osteopontin/SPP1 protein.

Background

Osteopontin is a highly phosphorylated secreted glycoprotein expressed in a variety of cell types. Osteopontin, encoded by the gene secreted phosphoprotein 1 (SPP1), was originally isolated and cloned from a rat osteosarcoma cell line (1). Osteopontin is a highly negatively charged protein that likely regulates extracellular matrix turnover and remodeling, both in bone and other tissue (2). Osteopontin also has three highly conserved receptor-binding domains, otherwise known as arginine-glycine-aspartic acid (RGD) domains. Binding of osteopontin to cell surface integrins likely activates cell signaling pathways that regulate cell proliferation, adhesion, invasion, migration, and fibrosis (3,4). Osteopontin may be regulated by posttranslational regulation, including phosphorylation, glycosylation, and proteolytic cleavage (5). Osteopontin is also linked to several human diseases. For example, cleaved osteopontin is higher in patients suffering with cirrhosis, a disease involving fibrosis of the liver (5). Its role in the brain is unclear, but SPP1 expression in microglia, the resident macrophages of the brain, is upregulated in mouse neurodegenerative disease models, including Alzheimer’s disease (6). Osteopontin’s role in disease likely involves its function as a key mediator of inflammatory responses (4).

Species Reactivity

Species reactivity is determined by testing in at least one approved application (e.g., western blot).

Western Blot Buffer

IMPORTANT: For western blots, incubate membrane with diluted primary antibody in 5% w/v BSA, 1X TBS, 0.1% Tween® 20 at 4°C with gentle shaking, overnight.

Applications Key

W: Western Blotting W-S: Simple Western™ IP: Immunoprecipitation IHC-P: Immunohistochemistry (Paraffin) IF-F: Immunofluorescence (Frozen) IF-IC: Immunofluorescence (Immunocytochemistry) FC-FP: Flow Cytometry (Fixed/Permeabilized)

Cross-Reactivity Key

M: Mouse

Trademarks and Patents

Cell Signaling Technology is a trademark of Cell Signaling Technology, Inc.

Alexa Fluor is a registered trademark of Life Technologies Corporation.

All other trademarks are the property of their respective owners. Visit cellsignal.com/trademarks for more information.

Limited Uses

Except as otherwise expressly agreed in a writing signed by a legally authorized representative of CST, the following terms apply to Products provided by CST, its affiliates or its distributors. Any Customer's terms and conditions that are in addition to, or different from, those contained herein, unless separately accepted in writing by a legally authorized representative of CST, are rejected and are of no force or effect.

Products are labeled with For Research Use Only or a similar labeling statement and have not been approved, cleared, or licensed by the FDA or other regulatory foreign or domestic entity, for any purpose. Customer shall not use any Product for any diagnostic or therapeutic purpose, or otherwise in any manner that conflicts with its labeling statement. Products sold or licensed by CST are provided for Customer as the end-user and solely for research and development uses. Any use of Product for diagnostic, prophylactic or therapeutic purposes, or any purchase of Product for resale (alone or as a component) or other commercial purpose, requires a separate license from CST. Customer shall (a) not sell, license, loan, donate or otherwise transfer or make available any Product to any third party, whether alone or in combination with other materials, or use the Products to manufacture any commercial products, (b) not copy, modify, reverse engineer, decompile, disassemble or otherwise attempt to discover the underlying structure or technology of the Products, or use the Products for the purpose of developing any products or services that would compete with CST products or services, (c) not alter or remove from the Products any trademarks, trade names, logos, patent or copyright notices or markings, (d) use the Products solely in accordance with CST Product Terms of Sale and any applicable documentation, and (e) comply with any license, terms of service or similar agreement with respect to any third party products or services used by Customer in connection with the Products.

Orders: 877-616-CELL (2355) [email protected] Support: 877-678-TECH (8324) [email protected] Web: cellsignal.com
For Research Use Only. Not for Use in Diagnostic Procedures.

Revision 8

Cell Signaling Technology Logo
Western blot analysis of extracts from RAW 264.7 and Neuro-2a cells, untreated (-) or treated with λ phosphatase (+), using Osteopontin/SPP1 (E9Z1D) Rabbit mAb (upper) or β-Actin (D6A8) Rabbit mAb #8457 (lower).
Western Blotting Image 1: Osteopontin/SPP1 (E9Z1D) Rabbit Monoclonal Antibody
Simple Western™ analysis of lysates (0.1 mg/mL) from Raw 264.7 cells treated with Lambda using Osteopontin/SPP1 (E9Z1D) Rabbit mAb #88742. The virtual lane view (left) shows the target band (as indicated) at 1:10 and 1:50 dilutions of primary antibody. The corresponding electropherogram view (right) plots chemiluminescence by molecular weight along the capillary at 1:10 (blue line) and 1:50 (green line) dilutions of primary antibody. This experiment was performed under reducing conditions on the Jess™ Simple Western instrument from ProteinSimple, a BioTechne brand, using the 12-230 kDa separation module.
Western Blotting Image 1: Osteopontin/SPP1 (E9Z1D) Rabbit Monoclonal Antibody
Immunoprecipitation of osteopontin/SPP1 protein from RAW 264.7 cell extracts. Lane 1 is 10% input, lane 2 is Rabbit (DA1E) mAb IgG XP® Isotype Control #3900, and lane 3 is Osteopontin/SPP1 (E9Z1D) Rabbit mAb. Western blot analysis was performed using Osteopontin/SPP1 (E4O2F) Rabbit mAb #27927. Mouse Anti-Rabbit IgG (Light-Chain Specific) (D4W3E) mAb (HRP Conjugate) #93702 was used as a secondary antibody.
Immunoprecipitation Image 1: Osteopontin/SPP1 (E9Z1D) Rabbit Monoclonal Antibody
Orders: 877-616-CELL (2355) [email protected] Support: 877-678-TECH (8324) [email protected] Web: cellsignal.com
For Research Use Only. Not for Use in Diagnostic Procedures.

Revision 8

Cell Signaling Technology Logo
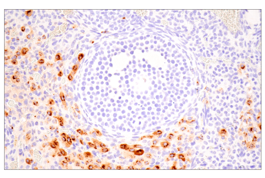
Immunohistochemical analysis of paraffin-embedded mouse ovary using Osteopontin/SPP1 (E9Z1D) Rabbit mAb.
Immunohistochemistry Image 1: Osteopontin/SPP1 (E9Z1D) Rabbit Monoclonal Antibody
Immunohistochemical analysis of paraffin-embedded mouse pancreas using Osteopontin/SPP1 (E9Z1D) Rabbit mAb.
Immunohistochemistry Image 2: Osteopontin/SPP1 (E9Z1D) Rabbit Monoclonal Antibody
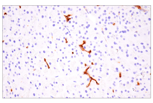
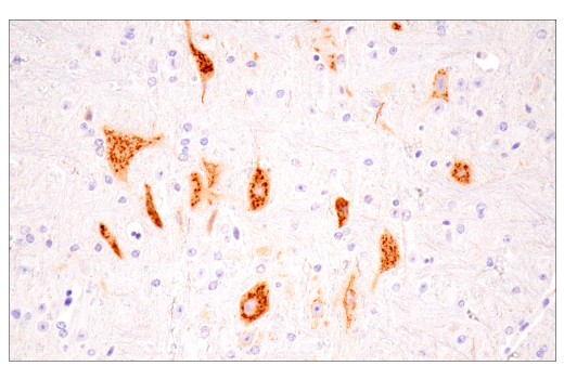
Immunohistochemical analysis of paraffin-embedded pons region of mouse brain using Osteopontin/SPP1 (E9Z1D) Rabbit mAb.
Immunohistochemistry Image 3: Osteopontin/SPP1 (E9Z1D) Rabbit Monoclonal Antibody
Orders: 877-616-CELL (2355) [email protected] Support: 877-678-TECH (8324) [email protected] Web: cellsignal.com
For Research Use Only. Not for Use in Diagnostic Procedures.

Revision 8

Cell Signaling Technology Logo
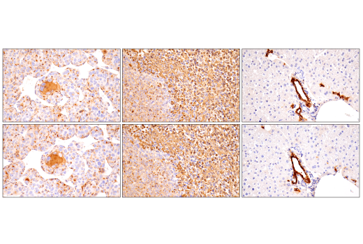
Immunohistochemical analysis of paraffin-embedded renca syngeneic tumor (left), 4T1 syngeneic tumor (middle), or mouse liver (right) using Osteopontin/SPP1 (E9Z1D) Rabbit mAb (top) or an Osteopontin/SPP1 Rabbit mAb (bottom). These two antibodies detect unique, non-overlapping epitopes on mouse Osteopontin/SPP1. The similar staining patterns obtained with both antibodies help to confirm the specificity of the staining.
Immunohistochemistry Image 4: Osteopontin/SPP1 (E9Z1D) Rabbit Monoclonal Antibody
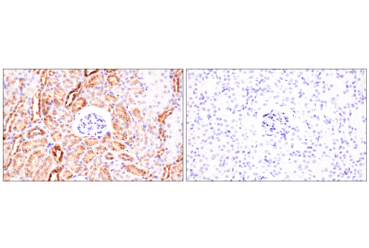
Immunohistochemical analysis of paraffin-embedded mouse kidney using Osteopontin/SPP1 (E9Z1D) Rabbit mAb (left) compared to concentration-matched Rabbit (DA1E) mAb IgG XP® Isotype Control #3900 (right). 
Immunohistochemistry Image 5: Osteopontin/SPP1 (E9Z1D) Rabbit Monoclonal Antibody
Immunohistochemical analysis of paraffin-embedded RAW 264.7 cell pellet (left, positive) or Neuro-2a cell pellet (right, negative) using Osteopontin/SPP1 (E9Z1D) Rabbit mAb.
Immunohistochemistry Image 6: Osteopontin/SPP1 (E9Z1D) Rabbit Monoclonal Antibody
Orders: 877-616-CELL (2355) [email protected] Support: 877-678-TECH (8324) [email protected] Web: cellsignal.com
For Research Use Only. Not for Use in Diagnostic Procedures.

Revision 8

Cell Signaling Technology Logo
Confocal immunofluorescent analysis of fixed frozen mouse kidney labeled with Osteopontin/SPP1 (E9Z1D) Rabbit mAb (left, green). Free secondary binding sites were then blocked with Rabbit (DA1E) mAb IgG XP® Isotype Control #3900 prior to co-labeling with Ras (E4K9L) Rabbit mAb (Alexa Fluor® 488 Conjugate) #51813 (right, red pseudocolor) and DAPI #4083 (right, blue).
Immunofluorescence Image 1: Osteopontin/SPP1 (E9Z1D) Rabbit Monoclonal Antibody
Confocal immunofluorescent analysis of fixed frozen mouse thalamus labeled with Osteopontin/SPP1 (E9Z1D) Rabbit mAb (left, green). Free secondary binding sites were then blocked with Rabbit (DA1E) mAb IgG XP® Isotype Control #3900 prior to co-labeling with Iba1/AIF-1 (E4O4W) XP® Rabbit mAb (Alexa Fluor® 647 Conjugate) #78060 (right, red) and DAPI #4083 (right, blue).
Immunofluorescence Image 2: Osteopontin/SPP1 (E9Z1D) Rabbit Monoclonal Antibody
Confocal immunofluorescent analysis of RAW 264.7 cells (left, positive) and Neuro-2a cells (right, negative) using Osteopontin/SPP1 (E9Z1D) Rabbit mAb (green) and DAPI #4083 (blue). Cells were treated with Brefeldin A #9972 (100 ng/mL, 90 min) to inhibit protein secretion.
Immunofluorescence Image 1: Osteopontin/SPP1 (E9Z1D) Rabbit Monoclonal Antibody
Orders: 877-616-CELL (2355) [email protected] Support: 877-678-TECH (8324) [email protected] Web: cellsignal.com
For Research Use Only. Not for Use in Diagnostic Procedures.