Revision 1

#89633

Store at -20C

CST Logo
Orders:

877-616-CELL (2355)

[email protected]

Support:

877-678-TECH (8324)

3 Trask Lane | Danvers | Massachusetts | 01923 | USA

For Research Use Only. Not for Use in Diagnostic Procedures.

Applications:
W, IHC-P, IF-IC

Reactivity:
M

Sensitivity:
Endogenous

MW (kDa):
54

Source/Isotype:
Rabbit IgG

UniProt ID:
#Q96AD5

Entrez-Gene Id:
57104

Product Usage Information

This product is the carrier free version of product #2439. All data were generated using the same antibody clone in the standard formulation which contains BSA and glycerol.

This formulation is ideal for use with technologies requiring specialized or custom antibody labeling, including fluorophores, metals, lanthanides, and oligonucleotides. It is not recommended for ChIP, ChIP-seq, CUT&RUN or CUT&Tag assays. If you require a carrier free formulation for chromatin profiling, please contact us. Optimal dilutions/concentrations should be determined by the end user.

BSA and Azide Free antibodies are quality control tested by size exclusion chromatography (SEC) to determine antibody integrity.

Formulation

Supplied in 1X PBS (10 mM Na2HPO4, 3 mM KCl, 2 mM KH2PO4, and 140 mM NaCl (pH 7.8)). BSA and Azide Free.

For standard formulation of this product see product #2439

Storage

Store at -20°C. This product will freeze at -20°C so it is recommended to aliquot into single-use vials to avoid multiple freeze/thaw cycles. A slight precipitate may be present and can be dissolved by gently vortexing. This will not interfere with antibody performance.

Specificity/Sensitivity

ATGL (30A4) Rabbit Monoclonal Antibody (BSA and Azide Free) detects endogenous levels of total ATGL protein.

Source / Purification

Monoclonal antibody is produced by immunizing animals with a synthetic peptide corresponding to residues surrounding Pro469 of mouse ATGL.

Background

Triglycerides form an important energy store in many living organisms. Adipose tissue serves as the primary storage depot for triglycerides in mammals. Lipolytic enzymes mobilize triglycerides during periods of starvation to provide organisms with necessary energy. Hormone-sensitive lipase (HSL), the first identified lipolytic enzyme, hydrolyzes triglycerides in mammalian adipose tissues (1-3). Additional lipolytic enzymes, including adipose triglyceride lipase (ATGL), have also been discovered. The primary function of ATGL is to catalyze the hydrolysis of the first ester bond of lipid molecules. This enzyme may provide diglyceride substrates for HSL hydrolysis. ATGL is abundantly expressed in murine white and brown adipose tissue, and is highly substrate specific (4). ATGL was independently identified as desnutrin (5) and the TG-hydrolace inducible phospholipase-A2-ζ (6).

Species Reactivity

Species reactivity is determined by testing in at least one approved application (e.g., western blot).

Applications Key

W: Western Blotting IHC-P: Immunohistochemistry (Paraffin) IF-IC: Immunofluorescence (Immunocytochemistry)

Cross-Reactivity Key

M: Mouse

Trademarks and Patents

Cell Signaling Technology is a trademark of Cell Signaling Technology, Inc.

All other trademarks are the property of their respective owners. Visit cellsignal.com/trademarks for more information.

Limited Uses

Except as otherwise expressly agreed in a writing signed by a legally authorized representative of CST, the following terms apply to Products provided by CST, its affiliates or its distributors. Any Customer's terms and conditions that are in addition to, or different from, those contained herein, unless separately accepted in writing by a legally authorized representative of CST, are rejected and are of no force or effect.

Products are labeled with For Research Use Only or a similar labeling statement and have not been approved, cleared, or licensed by the FDA or other regulatory foreign or domestic entity, for any purpose. Customer shall not use any Product for any diagnostic or therapeutic purpose, or otherwise in any manner that conflicts with its labeling statement. Products sold or licensed by CST are provided for Customer as the end-user and solely for research and development uses. Any use of Product for diagnostic, prophylactic or therapeutic purposes, or any purchase of Product for resale (alone or as a component) or other commercial purpose, requires a separate license from CST. Customer shall (a) not sell, license, loan, donate or otherwise transfer or make available any Product to any third party, whether alone or in combination with other materials, or use the Products to manufacture any commercial products, (b) not copy, modify, reverse engineer, decompile, disassemble or otherwise attempt to discover the underlying structure or technology of the Products, or use the Products for the purpose of developing any products or services that would compete with CST products or services, (c) not alter or remove from the Products any trademarks, trade names, logos, patent or copyright notices or markings, (d) use the Products solely in accordance with CST Product Terms of Sale and any applicable documentation, and (e) comply with any license, terms of service or similar agreement with respect to any third party products or services used by Customer in connection with the Products.

Orders: 877-616-CELL (2355) [email protected] Support: 877-678-TECH (8324) [email protected] Web: cellsignal.com
For Research Use Only. Not for Use in Diagnostic Procedures.

Revision 1

Cell Signaling Technology Logo
Western blot analysis of extracts from NIH/3T3 and differentiated NIH/3T3-L1 cells, using ATGL (30A4) Rabbit mAb. Data were generated using the standard formulation of this product.
Western Blotting Image 1: ATGL (30A4) Rabbit Monoclonal Antibody (BSA and Azide Free)
Immunohistochemical analysis of NIH/3T3-L1 cells undifferentiated (left) or differentiated (right), showing induced staining of adipocytes, using ATGL (30A4) Rabbit mAb. Data were generated using the standard formulation of this product.
Immunohistochemistry Image 1: ATGL (30A4) Rabbit Monoclonal Antibody (BSA and Azide Free)
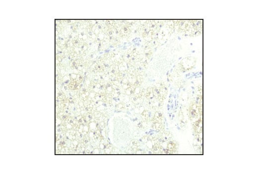
Immunohistochemical analysis of paraffin-embedded mouse brown fat, using ATGL (30A4) Rabbit mAb. Data were generated using the standard formulation of this product.
Immunohistochemistry Image 2: ATGL (30A4) Rabbit Monoclonal Antibody (BSA and Azide Free)
Orders: 877-616-CELL (2355) [email protected] Support: 877-678-TECH (8324) [email protected] Web: cellsignal.com
For Research Use Only. Not for Use in Diagnostic Procedures.

Revision 1

Cell Signaling Technology Logo
Immunohistochemical analysis of paraffin-embedded mouse lung, showing staining specific to adipocytes, using ATGL (30A4) Rabbit mAb. Data were generated using the standard formulation of this product.
Immunohistochemistry Image 3: ATGL (30A4) Rabbit Monoclonal Antibody (BSA and Azide Free)
Confocal immunofluorescent analysis of 3T3-L1 cells, using ATGL (30A4) Rabbit mAb (red) showing cytoplasmic localization in differentiated cells. Lipid droplets have been labeled with BODIPY 493/503 (green). Blue pseudocolor = DRAQ5™ (fluorescent DNA dye). Data were generated using the standard formulation of this product.
Immunofluorescence Image 1: ATGL (30A4) Rabbit Monoclonal Antibody (BSA and Azide Free)
Orders: 877-616-CELL (2355) [email protected] Support: 877-678-TECH (8324) [email protected] Web: cellsignal.com
For Research Use Only. Not for Use in Diagnostic Procedures.