Revision 3

#90051

Store at -20C

CST Logo
Orders:

877-616-CELL (2355)

[email protected]

Support:

877-678-TECH (8324)

3 Trask Lane | Danvers | Massachusetts | 01923 | USA

For Research Use Only. Not for Use in Diagnostic Procedures.

Applications:
W, IP, IHC-P, ChIP

Reactivity:
H

Sensitivity:
Endogenous

MW (kDa):
150

Source/Isotype:
Rabbit IgG

UniProt ID:
#Q9UPN9

Entrez-Gene Id:
51592

Product Usage Information

For optimal ChIP results, use 10 μl of antibody and 10 μg of chromatin (approximately 4 x 106 cells) per IP. This antibody has been validated using SimpleChIP® Enzymatic Chromatin IP Kits.
Application Dilution
Western Blotting 1:1000
Immunoprecipitation 1:200
Immunohistochemistry (Paraffin) 1:1000
Chromatin IP 1:50

Storage

Supplied in 10 mM sodium HEPES (pH 7.5), 150 mM NaCl, 100 µg/ml BSA, 50% glycerol and less than 0.02% sodium azide. Store at –20°C. Do not aliquot the antibody.

Specificity/Sensitivity

TRIM33 (D7U4F) Rabbit Monoclonal Antibody recognizes endogenous levels of total TRIM33 protein.

Source / Purification

Monoclonal antibody is produced by immunizing animals with a synthetic peptide corresponding to residues surrounding Gln609 of human TRIM33 protein.

Background

The transcriptional intermediary factor 1 (TIF1) family represents a group of proteins with multiple histone-binding domains. In humans, this family comprises four proteins, TIF1α/TRIM24, TIF1β/TRIM28/KAP1, TIF1γ/TRIM33/Ectodermin, and TIF1δ/TRIM66, which are characterized by an amino-terminal tripartite motif (TRIM) domain consisting of a RING domain, two B boxes, a coiled-coil domain, and a carboxy-terminal PHD finger and bromodomain (1). Despite their similar overall structure, these proteins have diverse roles in transcriptional regulation. TIF1α functions as a ligand-dependent nuclear receptor coregulator and more recently has been implicated in regulating p53 stability (2). TIF1β is an intrinsic component of the N-CoR1 corepressor complex and the NuRD nucleosome-remodeling complex (3); it functions as a corepressor for Krüppel-associated box (KRAB) zinc-finger transcription factors (4). Furthermore, TIF1β promotes heterochromatin-mediated gene silencing formation by serving as a cofactor for heterochromatin protein HP1 (5). TIF1δ expression is restricted to the testis and has been shown to interact with HP1γ (6).

Species Reactivity

Species reactivity is determined by testing in at least one approved application (e.g., western blot).

Western Blot Buffer

IMPORTANT: For western blots, incubate membrane with diluted primary antibody in 5% w/v nonfat dry milk, 1X TBS, 0.1% Tween® 20 at 4°C with gentle shaking, overnight.

Applications Key

W: Western Blotting IP: Immunoprecipitation IHC-P: Immunohistochemistry (Paraffin) ChIP: Chromatin IP

Cross-Reactivity Key

H: Human

Trademarks and Patents

Cell Signaling Technology is a trademark of Cell Signaling Technology, Inc.

Alexa Fluor is a registered trademark of Life Technologies Corporation.

All other trademarks are the property of their respective owners. Visit cellsignal.com/trademarks for more information.

Limited Uses

Except as otherwise expressly agreed in a writing signed by a legally authorized representative of CST, the following terms apply to Products provided by CST, its affiliates or its distributors. Any Customer's terms and conditions that are in addition to, or different from, those contained herein, unless separately accepted in writing by a legally authorized representative of CST, are rejected and are of no force or effect.

Products are labeled with For Research Use Only or a similar labeling statement and have not been approved, cleared, or licensed by the FDA or other regulatory foreign or domestic entity, for any purpose. Customer shall not use any Product for any diagnostic or therapeutic purpose, or otherwise in any manner that conflicts with its labeling statement. Products sold or licensed by CST are provided for Customer as the end-user and solely for research and development uses. Any use of Product for diagnostic, prophylactic or therapeutic purposes, or any purchase of Product for resale (alone or as a component) or other commercial purpose, requires a separate license from CST. Customer shall (a) not sell, license, loan, donate or otherwise transfer or make available any Product to any third party, whether alone or in combination with other materials, or use the Products to manufacture any commercial products, (b) not copy, modify, reverse engineer, decompile, disassemble or otherwise attempt to discover the underlying structure or technology of the Products, or use the Products for the purpose of developing any products or services that would compete with CST products or services, (c) not alter or remove from the Products any trademarks, trade names, logos, patent or copyright notices or markings, (d) use the Products solely in accordance with CST Product Terms of Sale and any applicable documentation, and (e) comply with any license, terms of service or similar agreement with respect to any third party products or services used by Customer in connection with the Products.

Orders: 877-616-CELL (2355) [email protected] Support: 877-678-TECH (8324) [email protected] Web: cellsignal.com
For Research Use Only. Not for Use in Diagnostic Procedures.

Revision 3

Cell Signaling Technology Logo
Western blot analysis of extracts from various cell lines using TRIM33 (D7U4F) Rabbit mAb.
Western Blotting Image 1: TRIM33 (D7U4F) Rabbit Monoclonal Antibody
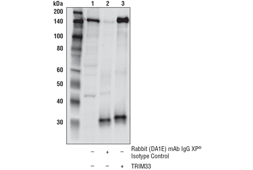
Immunoprecipitation of TRIM33 from 293T cell extracts. Lane 1 is 10% input, lane 2 is Rabbit (DA1E) mAb IgG XP® Isotype Control #3900, and lane 3 is TRIM33 (D7U4F) Rabbit mAb. Western blot analysis was performed using TRIM33 (D7U4F) Rabbit mAb.
Immunoprecipitation Image 1: TRIM33 (D7U4F) Rabbit Monoclonal Antibody
Immunohistochemical analysis of paraffin-embedded MCF7 cell pellet (left, high-expressing) or U2OS cell pellet (right, low-expressing) using TRIM33 (D7U4F) Rabbit mAb.
Immunohistochemistry Image 1: TRIM33 (D7U4F) Rabbit Monoclonal Antibody
Orders: 877-616-CELL (2355) [email protected] Support: 877-678-TECH (8324) [email protected] Web: cellsignal.com
For Research Use Only. Not for Use in Diagnostic Procedures.

Revision 3

Cell Signaling Technology Logo
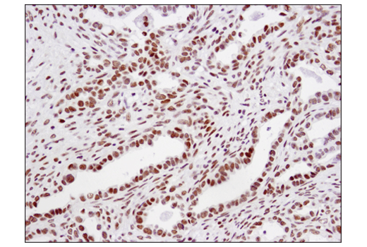
Immunohistochemical analysis of paraffin-embedded human infiltrating papillary carcinoma of the breast using TRIM33 (D7U4F) Rabbit mAb.
Immunohistochemistry Image 2: TRIM33 (D7U4F) Rabbit Monoclonal Antibody
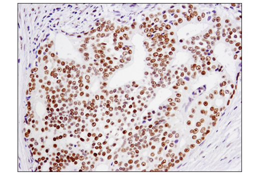
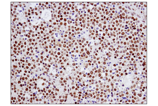
Immunohistochemical analysis of paraffin-embedded human non-Hodgkin's lymphoma using TRIM33 (D7U4F) Rabbit mAb.
Immunohistochemistry Image 3: TRIM33 (D7U4F) Rabbit Monoclonal Antibody
Immunohistochemical analysis of paraffin-embedded human clear cell adenocarcinoma of the ovary using TRIM33 (D7U4F) Rabbit mAb.
Immunohistochemistry Image 4: TRIM33 (D7U4F) Rabbit Monoclonal Antibody
Orders: 877-616-CELL (2355) [email protected] Support: 877-678-TECH (8324) [email protected] Web: cellsignal.com
For Research Use Only. Not for Use in Diagnostic Procedures.

Revision 3

Cell Signaling Technology Logo
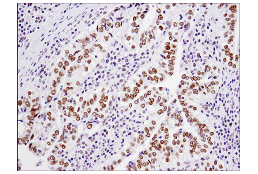
Immunohistochemical analysis of paraffin-embedded human prostate carcinoma using TRIM33 (D7U4F) Rabbit mAb.
Immunohistochemistry Image 5: TRIM33 (D7U4F) Rabbit Monoclonal Antibody
Chromatin immunoprecipitations were performed with cross-linked chromatin from RKO cells, treated with JQ1 (1 μM, 3 hr) and either TRIM33 (D7U4F) Rabbit mAb or Normal Rabbit IgG #2729 using SimpleChIP® Plus Enzymatic Chromatin IP Kit (Magnetic Beads) #9005. The enriched DNA was quantified by real-time PCR using Human c-Myc Exon 1 Primers, SimpleChIP® Human TGFBR2 Promoter Primers #39833, and SimpleChIP® Human α Satellite Repeat Primers #4486. The amount of immunoprecipitated DNA in each sample is represented as signal relative to the total amount of input chromatin, which is equivalent to one.
Chromatin Immunoprecipitation Image 1: TRIM33 (D7U4F) Rabbit Monoclonal Antibody
Orders: 877-616-CELL (2355) [email protected] Support: 877-678-TECH (8324) [email protected] Web: cellsignal.com
For Research Use Only. Not for Use in Diagnostic Procedures.