Revision 7

#90329

Store at -20C

CST Logo
Orders:

877-616-CELL (2355)

[email protected]

Support:

877-678-TECH (8324)

3 Trask Lane | Danvers | Massachusetts | 01923 | USA

For Research Use Only. Not for Use in Diagnostic Procedures.

Applications:
W, IP, IHC-Bond, IHC-P, IF-F, IF-IC

Reactivity:
H M R

Sensitivity:
Endogenous

MW (kDa):
20-22

Source/Isotype:
Rabbit IgG

UniProt ID:
#Q9NX76

Entrez-Gene Id:
54918

Product Usage Information

Application Dilution
Western Blotting 1:1000
Immunoprecipitation 1:100
IHC Leica Bond 1:200 - 1:800
Immunohistochemistry (Paraffin) 1:200 - 1:800
Immunofluorescence (Frozen) 1:400 - 1:800
Immunofluorescence (Immunocytochemistry) 1:400 - 1:800

Storage

Supplied in 10 mM sodium HEPES (pH 7.5), 150 mM NaCl, 100 µg/ml BSA, 50% glycerol and less than 0.02% sodium azide. Store at –20°C. Do not aliquot the antibody.

Specificity/Sensitivity

CMTM6 (E6A8T) Rabbit Monoclonal Antibody recognizes endogenous levels of total CMTM6 protein. Staining of uncertain specificity was observed in human and mouse brain by immunohistochemistry. Non-specific nuclear staining was observed in mouse ovary by immunohistochemistry.

Source / Purification

Monoclonal antibody is produced by immunizing animals with a synthetic peptide corresponding to residues surrounding Ala176 of human CMTM6 protein.

Background

CKLF-like MARVEL transmembrane domain-containing protein 6 (CMTM6) is a member of the chemokine-like factor (CKLF)-like MARVEL transmembrane domain-containing family (1). CMTM6 stabilizes plasma membrane expression of PD-L1, an immune inhibitory ligand critical for immune tolerance to self and anti-tumor immunity (2,3). CMTM6 associates with PD-L1 at recycling endosomes, where it protects PD-L1 from being targeted for lysosomal degradation by preventing STUB1-mediated PD-L1 ubiquitination (2,3). CMTM6 may stabilize PD-L1 expression on antigen presenting cells and potentiate inhibitory signaling by PD-1 on T cells, triggering T cell inhibition and exhaustion. CMTM6 has also been shown to interact with CD58, ARG1, ENO1, and TMPO (2). Due to the role of CMTM6 in regulating the immune system, it is being investigated as an immunotherapeutic target for the treatment of cancer.

Species Reactivity

Species reactivity is determined by testing in at least one approved application (e.g., western blot).

Western Blot Buffer

IMPORTANT: For western blots, incubate membrane with diluted primary antibody in 5% w/v BSA, 1X TBS, 0.1% Tween® 20 at 4°C with gentle shaking, overnight.

Applications Key

W: Western Blotting IP: Immunoprecipitation IHC-Bond: IHC Leica Bond IHC-P: Immunohistochemistry (Paraffin) IF-F: Immunofluorescence (Frozen) IF-IC: Immunofluorescence (Immunocytochemistry)

Cross-Reactivity Key

H: Human M: Mouse R: Rat

Trademarks and Patents

Cell Signaling Technology is a trademark of Cell Signaling Technology, Inc.

SignalStain is a registered trademark of Cell Signaling Technology, Inc.

All other trademarks are the property of their respective owners. Visit cellsignal.com/trademarks for more information.

Limited Uses

Except as otherwise expressly agreed in a writing signed by a legally authorized representative of CST, the following terms apply to Products provided by CST, its affiliates or its distributors. Any Customer's terms and conditions that are in addition to, or different from, those contained herein, unless separately accepted in writing by a legally authorized representative of CST, are rejected and are of no force or effect.

Products are labeled with For Research Use Only or a similar labeling statement and have not been approved, cleared, or licensed by the FDA or other regulatory foreign or domestic entity, for any purpose. Customer shall not use any Product for any diagnostic or therapeutic purpose, or otherwise in any manner that conflicts with its labeling statement. Products sold or licensed by CST are provided for Customer as the end-user and solely for research and development uses. Any use of Product for diagnostic, prophylactic or therapeutic purposes, or any purchase of Product for resale (alone or as a component) or other commercial purpose, requires a separate license from CST. Customer shall (a) not sell, license, loan, donate or otherwise transfer or make available any Product to any third party, whether alone or in combination with other materials, or use the Products to manufacture any commercial products, (b) not copy, modify, reverse engineer, decompile, disassemble or otherwise attempt to discover the underlying structure or technology of the Products, or use the Products for the purpose of developing any products or services that would compete with CST products or services, (c) not alter or remove from the Products any trademarks, trade names, logos, patent or copyright notices or markings, (d) use the Products solely in accordance with CST Product Terms of Sale and any applicable documentation, and (e) comply with any license, terms of service or similar agreement with respect to any third party products or services used by Customer in connection with the Products.

Orders: 877-616-CELL (2355) [email protected] Support: 877-678-TECH (8324) [email protected] Web: cellsignal.com
For Research Use Only. Not for Use in Diagnostic Procedures.

Revision 7

Cell Signaling Technology Logo
Western blot analysis of extracts from CMTM6 knockout HCT 116 cells (lane 1) or control HCT 116 cells (lane 2) using CMTM6 (E6A8T) Rabbit mAb (upper) and β-Actin (D6A8) Rabbit mAb #8457 (lower). The absence of signal in the CMTM6 knockout HCT 116 cells confirms specificity of the antibody for CMTM6.
Western Blotting Image 1: CMTM6 (E6A8T) Rabbit Monoclonal Antibody
Western blot analysis of extracts from various human and mouse cell lines and rat tissues using CMTM6 (E6A8T) Rabbit mAb (upper) and β-Actin (D6A8) Rabbit mAb #8457 (lower).
Western Blotting Image 2: CMTM6 (E6A8T) Rabbit Monoclonal Antibody
Western blot analysis of extracts from various human cell lines using CMTM6 (E6A8T) Rabbit mAb (upper) and GAPDH (D16H11) XP® Rabbit mAb #5174 (lower).
Western Blotting Image 3: CMTM6 (E6A8T) Rabbit Monoclonal Antibody
Orders: 877-616-CELL (2355) [email protected] Support: 877-678-TECH (8324) [email protected] Web: cellsignal.com
For Research Use Only. Not for Use in Diagnostic Procedures.

Revision 7

Cell Signaling Technology Logo
Immunoprecipitation of CMTM6 protein from HCT 116 cell extracts. Lane 1 is 10% input, lane 2 is Rabbit (DA1E) mAb IgG XP® Isotype Control #3900, and lane 3 is CMTM6 (E6A8T) Rabbit mAb. Western blot analysis was performed using CMTM6 (E6A8T) Rabbit mAb. Anti-rabbit IgG, HRP-linked Antibody #7074 was used as the secondary antibody.
Immunoprecipitation Image 1: CMTM6 (E6A8T) Rabbit Monoclonal Antibody
Immunohistochemical analysis of paraffin-embedded human endometrioid adenocarcinoma using CMTM6 (E6A8T) Rabbit mAb performed on the Leica BOND RX.
Immunohistochemistry Image 1: CMTM6 (E6A8T) Rabbit Monoclonal Antibody
Immunohistochemical analysis of paraffin-embedded human urothelial carcinoma using CMTM6 (E6A8T) Rabbit mAb (left) compared to concentration-matched Rabbit (DA1E) mAb IgG XP® Isotype Control #3900 (right). 
Immunohistochemistry Image 1: CMTM6 (E6A8T) Rabbit Monoclonal Antibody
Orders: 877-616-CELL (2355) [email protected] Support: 877-678-TECH (8324) [email protected] Web: cellsignal.com
For Research Use Only. Not for Use in Diagnostic Procedures.

Revision 7

Cell Signaling Technology Logo
Immunohistochemical analysis of paraffin-embedded normal human breast using CMTM6 (E6A8T) Rabbit mAb.
Immunohistochemistry Image 2: CMTM6 (E6A8T) Rabbit Monoclonal Antibody
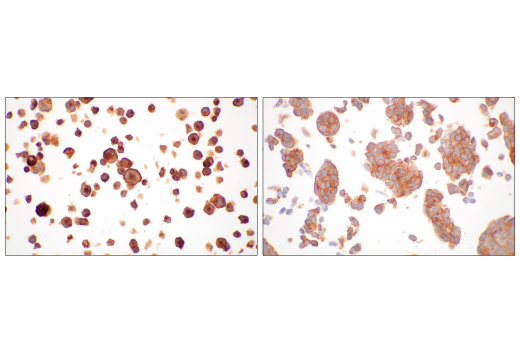
Immunohistochemical analysis of paraffin-embedded HCT 116 cell pellet, wild-type (left, positive) or CMTM6 knockout (right, negative) using CMTM6 (E6A8T) Rabbit mAb.

 

Immunohistochemistry Image 3: CMTM6 (E6A8T) Rabbit Monoclonal Antibody
Immunohistochemical analysis of paraffin-embedded HDLM-2 cell pellet (left, high-expressing) or 293T cell pellet (right, low-expressing) using CMTM6 (E6A8T) Rabbit mAb.
Immunohistochemistry Image 4: CMTM6 (E6A8T) Rabbit Monoclonal Antibody
Orders: 877-616-CELL (2355) [email protected] Support: 877-678-TECH (8324) [email protected] Web: cellsignal.com
For Research Use Only. Not for Use in Diagnostic Procedures.

Revision 7

Cell Signaling Technology Logo
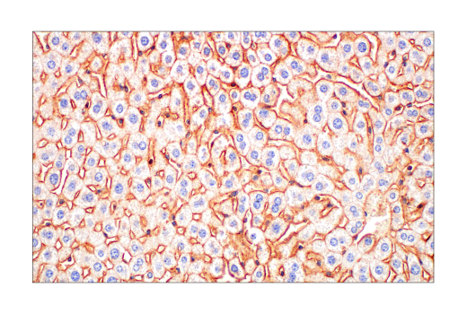
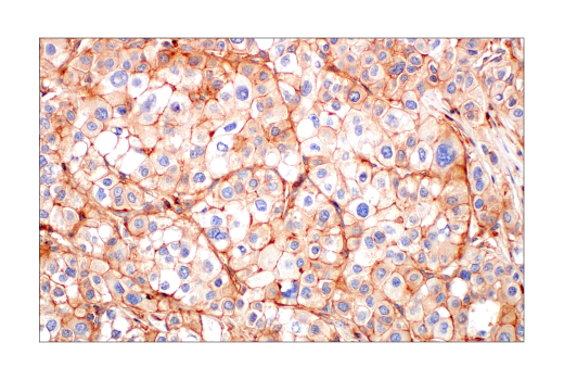
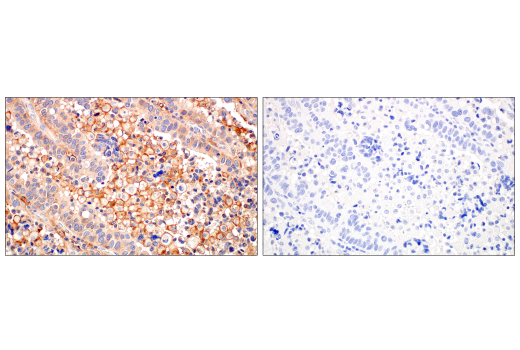
Immunohistochemical analysis of paraffin-embedded normal human liver using CMTM6 (E6A8T) Rabbit mAb.
Immunohistochemistry Image 5: CMTM6 (E6A8T) Rabbit Monoclonal Antibody
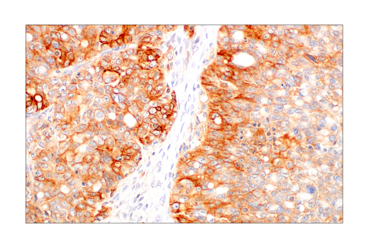
Immunohistochemical analysis of paraffin-embedded human hepatocellular carcinoma using CMTM6 (E6A8T) Rabbit mAb.
Immunohistochemistry Image 6: CMTM6 (E6A8T) Rabbit Monoclonal Antibody
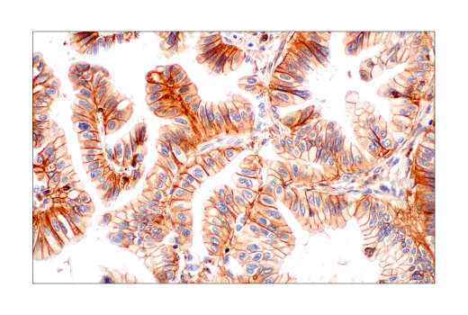
Immunohistochemical analysis of paraffin-embedded human lung adenocarcinoma using CMTM6 (E6A8T) Rabbit mAb.
Immunohistochemistry Image 7: CMTM6 (E6A8T) Rabbit Monoclonal Antibody
Orders: 877-616-CELL (2355) [email protected] Support: 877-678-TECH (8324) [email protected] Web: cellsignal.com
For Research Use Only. Not for Use in Diagnostic Procedures.

Revision 7

Cell Signaling Technology Logo
Immunohistochemical analysis of paraffin-embedded mouse kidney using CMTM6 (E6A8T) Rabbit mAb.
Immunohistochemistry Image 8: CMTM6 (E6A8T) Rabbit Monoclonal Antibody
Immunohistochemical analysis of paraffin-embedded mouse liver using CMTM6 (E6A8T) Rabbit mAb.
Immunohistochemistry Image 9: CMTM6 (E6A8T) Rabbit Monoclonal Antibody
Immunohistochemical analysis of paraffin-embedded mouse small intestine using CMTM6 (E6A8T) Rabbit mAb.
Immunohistochemistry Image 10: CMTM6 (E6A8T) Rabbit Monoclonal Antibody
Orders: 877-616-CELL (2355) [email protected] Support: 877-678-TECH (8324) [email protected] Web: cellsignal.com
For Research Use Only. Not for Use in Diagnostic Procedures.

Revision 7

Cell Signaling Technology Logo
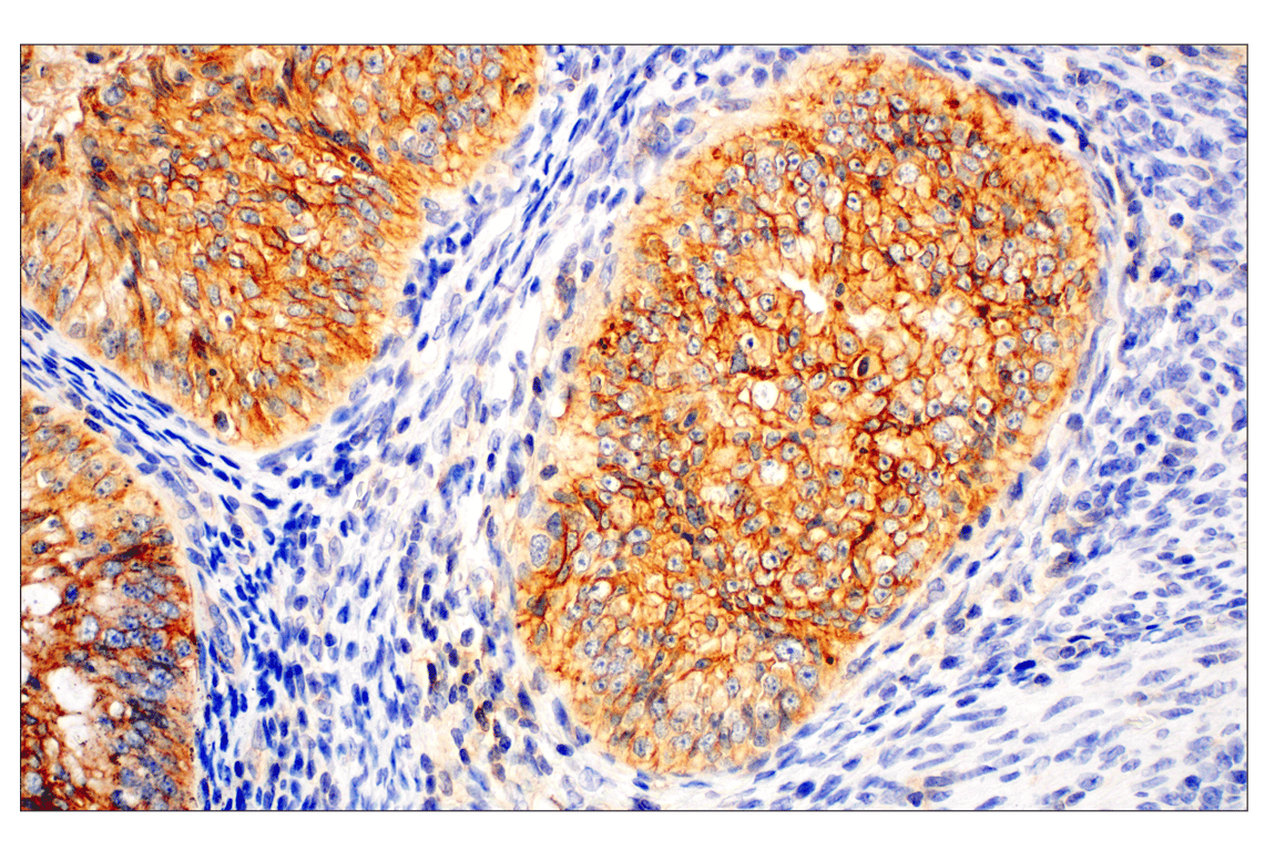
Immunohistochemical analysis of paraffin-embedded human ovarian serous carcinoma using CMTM6 (E6A8T) Rabbit mAb.
Immunohistochemistry Image 11: CMTM6 (E6A8T) Rabbit Monoclonal Antibody
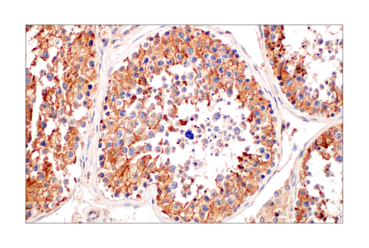
Immunohistochemical analysis of paraffin-embedded normal human testis using CMTM6 (E6A8T) Rabbit mAb.
Immunohistochemistry Image 12: CMTM6 (E6A8T) Rabbit Monoclonal Antibody
Confocal immunofluorescent analysis of fixed frozen mouse kidney labeled with CMTM6 (E6A8T) Rabbit mAb #90329 (green). Free secondary binding sites were then blocked with Rabbit (DA1E) mAb IgG XP® Isotype Control #3900 prior to co-labeling with LYVE-1 (E3L3V) Rabbit mAb (Alexa Fluor® 488 Conjugate) (red pseudocolor) and DAPI #4083 (blue).
Immunofluorescence Image 1: CMTM6 (E6A8T) Rabbit Monoclonal Antibody
Orders: 877-616-CELL (2355) [email protected] Support: 877-678-TECH (8324) [email protected] Web: cellsignal.com
For Research Use Only. Not for Use in Diagnostic Procedures.

Revision 7

Cell Signaling Technology Logo
Confocal immunofluorescent analysis of fixed frozen mouse cerebral cortex labeled with CMTM6 (E6A8T) Rabbit mAb #90329 (green). Free secondary binding sites were then blocked with Rabbit (DA1E) mAb IgG XP® Isotype Control #3900 prior to co-labeling with GFAP (GA5) Mouse mAb (Alexa Fluor® 555 Conjugate) #3656 (red), AQP4 (D1F8E) XP® Rabbit mAb (Alexa Fluor® 647 Conjugate) #89851 (magenta pseudocolor), and DAPI #4083 (blue).
Immunofluorescence Image 2: CMTM6 (E6A8T) Rabbit Monoclonal Antibody
Confocal immunofluorescent analysis of fixed frozen mouse small intestine labeled with CMTM6 (E6A8T) Rabbit mAb #90329 (green). Free secondary binding sites were then blocked with Rabbit (DA1E) mAb IgG XP® Isotype Control #3900 prior to co-labeling with LYVE-1 (E3L3V) Rabbit mAb (Alexa Fluor® 488 Conjugate) (red pseudocolor) and DAPI #4083 (blue).
Immunofluorescence Image 3: CMTM6 (E6A8T) Rabbit Monoclonal Antibody
Confocal immunofluorescent analysis of fixed frozen mouse hippocampus labeled with CMTM6 (E6A8T) Rabbit mAb #90329 (green). Free secondary binding sites were then blocked with Rabbit (DA1E) mAb IgG XP® Isotype Control #3900 prior to co-labeling with GFAP (GA5) Mouse mAb (Alexa Fluor® 555 Conjugate) #3656 (red), AQP4 (D1F8E) XP® Rabbit mAb (Alexa Fluor® 647 Conjugate) #89851 (magenta pseudocolor), and DAPI #4083 (blue).
Immunofluorescence Image 4: CMTM6 (E6A8T) Rabbit Monoclonal Antibody
Orders: 877-616-CELL (2355) [email protected] Support: 877-678-TECH (8324) [email protected] Web: cellsignal.com
For Research Use Only. Not for Use in Diagnostic Procedures.

Revision 7

Cell Signaling Technology Logo
Projected confocal z-stack of control HCT 116 cells (left, positive) or CRISPR/Cas9 CMTM6 knockout (KO) HCT 116 cells (right, negative) using CMTM6 (E6A8T) Rabbit mAb (green), Pan-Keratin (C11) Mouse mAb #4545 (red), and DAPI #8961 (blue).
Immunofluorescence Image 1: CMTM6 (E6A8T) Rabbit Monoclonal Antibody
Orders: 877-616-CELL (2355) [email protected] Support: 877-678-TECH (8324) [email protected] Web: cellsignal.com
For Research Use Only. Not for Use in Diagnostic Procedures.