Revision 1

#9097

Store at -20C

CST Logo
Orders:

877-616-CELL (2355)

[email protected]

Support:

877-678-TECH (8324)

3 Trask Lane | Danvers | Massachusetts | 01923 | USA

For Research Use Only. Not for Use in Diagnostic Procedures.

Applications:
W, IP

Reactivity:
H

Sensitivity:
Endogenous

MW (kDa):
25-55

Source/Isotype:
Rabbit

UniProt ID:
#Q9NNX6

Entrez-Gene Id:
30835

Product Usage Information

Application Dilution
Western Blotting 1:1000
Immunoprecipitation 1:50

Storage

Supplied in 10 mM sodium HEPES (pH 7.5), 150 mM NaCl, 100 µg/ml BSA and 50% glycerol. Store at –20°C. Do not aliquot the antibody.

Specificity/Sensitivity

DC-SIGN Antibody recognizes endogenous levels of total DC-SIGN protein. This antibody also detects DC-SIGNR.

Species predicted to react based on 100% sequence homology

Monkey

Source / Purification

Polyclonal antibodies are produced by immunizing animals with a synthetic peptide corresponding to residues surrounding Val134 of human DC-SIGN protein. Antibodies are purified by protein A and peptide affinity chromatography.

Background

DC-SIGN (CD209, CLEC4L) is a C-type lectin receptor expressed by dendritic cells (DCs) (1,2). The DC-SIGN transcript can undergo several splicing events to generate at least thirteen different transmembrane and soluble isoforms (3). DC-SIGN responds to a broad range of pathogens due to its ability to recognize both mannose and fructose carbohydrates, and is well studied for its role in HIV infection. Recognition of the HIV envelope glycoprotein gp120 by DC-SIGN leads to internalization of HIV by DCs and facilitates transmission of the virus to CD4+ T cells (2,4). DC-SIGN also mediates adhesion to T cells through interaction with ICAM-3, as well as transmigration across the endothelium by binding to ICAM-2 (1,5). The DC-SIGN receptor can modulate TLR signaling by activating the kinase Raf-1 (6,7). The closely related molecule DC-SIGNR (L-SIGN, CLEC4M) is 77% homologous to DC-SIGN and likely arose through a gene duplication event (8). Like DC-SIGN, DC-SIGNR binds mannose carbohydrates on the surface of pathogens (8,9). However, the expression patterns of the two receptors differ, as DC-SIGNR expression is restricted to endothelial cells of the liver, lymph node, and placenta (10). Murine cells contain a set of related molecules, SIGNR1-SIGNR8 (11). Based on sequence analysis, there is no clear murine ortholog to human DC-SIGN, however SIGNR3 is the most functionally similar due to its ability to recognize both mannose and fructose structures (11).

Species Reactivity

Species reactivity is determined by testing in at least one approved application (e.g., western blot).

Western Blot Buffer

IMPORTANT: For western blots, incubate membrane with diluted primary antibody in 5% w/v BSA, 1X TBS, 0.1% Tween® 20 at 4°C with gentle shaking, overnight.

Applications Key

W: Western Blotting IP: Immunoprecipitation

Cross-Reactivity Key

H: Human

Trademarks and Patents

Cell Signaling Technology is a trademark of Cell Signaling Technology, Inc.

All other trademarks are the property of their respective owners. Visit cellsignal.com/trademarks for more information.

Limited Uses

Except as otherwise expressly agreed in a writing signed by a legally authorized representative of CST, the following terms apply to Products provided by CST, its affiliates or its distributors. Any Customer's terms and conditions that are in addition to, or different from, those contained herein, unless separately accepted in writing by a legally authorized representative of CST, are rejected and are of no force or effect.

Products are labeled with For Research Use Only or a similar labeling statement and have not been approved, cleared, or licensed by the FDA or other regulatory foreign or domestic entity, for any purpose. Customer shall not use any Product for any diagnostic or therapeutic purpose, or otherwise in any manner that conflicts with its labeling statement. Products sold or licensed by CST are provided for Customer as the end-user and solely for research and development uses. Any use of Product for diagnostic, prophylactic or therapeutic purposes, or any purchase of Product for resale (alone or as a component) or other commercial purpose, requires a separate license from CST. Customer shall (a) not sell, license, loan, donate or otherwise transfer or make available any Product to any third party, whether alone or in combination with other materials, or use the Products to manufacture any commercial products, (b) not copy, modify, reverse engineer, decompile, disassemble or otherwise attempt to discover the underlying structure or technology of the Products, or use the Products for the purpose of developing any products or services that would compete with CST products or services, (c) not alter or remove from the Products any trademarks, trade names, logos, patent or copyright notices or markings, (d) use the Products solely in accordance with CST Product Terms of Sale and any applicable documentation, and (e) comply with any license, terms of service or similar agreement with respect to any third party products or services used by Customer in connection with the Products.

Orders: 877-616-CELL (2355) [email protected] Support: 877-678-TECH (8324) [email protected] Web: cellsignal.com
For Research Use Only. Not for Use in Diagnostic Procedures.

Revision 1

Cell Signaling Technology Logo
Western blot analysis of extracts from MUTZ-3 cells, undifferentiated (-) or differentiated (+) into interstitial dendritic cells with Human Granulocyte Macrophage Colony Stimulating Factor (hGM-CSF) #8922 (100 ng/mL), Human Interleukin-4 (hIL-4) #8919 (100 ng/mL), and Human Tumor Necrosis Factor-α (hTNF-α) #8902 (2.5 ng/mL) for 8 d, using DC-SIGN Antibody (upper) or β-Actin (D6A8) Rabbit mAb #8457 (lower).
Western Blotting Image 1: DC-SIGN Antibody
Western blot analysis of extracts from human monocyte-derived dendritic cells using DC-SIGN Antibody.
Western Blotting Image 2: DC-SIGN Antibody
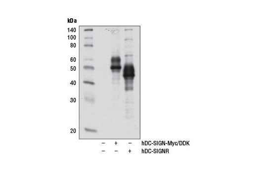
Western blot analysis of extracts from 293T cells, mock transfected (-), transfected with a construct expressing Myc/DDK-tagged full-length human DC-SIGN (hDC-SIGN-Myc/DDK; +), or transfected with a construct expressing full-length human DC-SIGNR (hDC-SIGNR; +), using DC-SIGN Antibody.
Western Blotting Image 3: DC-SIGN Antibody
Orders: 877-616-CELL (2355) [email protected] Support: 877-678-TECH (8324) [email protected] Web: cellsignal.com
For Research Use Only. Not for Use in Diagnostic Procedures.