Revision 4

#92635

Store at -20C

CST Logo
Orders:

877-616-CELL (2355)

[email protected]

Support:

877-678-TECH (8324)

3 Trask Lane | Danvers | Massachusetts | 01923 | USA

For Research Use Only. Not for Use in Diagnostic Procedures.

Applications:
W, IHC-P, IF-F, IF-IC

Reactivity:
H M R

Sensitivity:
Endogenous

MW (kDa):
29

Source/Isotype:
Rabbit IgG

UniProt ID:
#P22676

Entrez-Gene Id:
794

Product Usage Information

Application Dilution
Western Blotting 1:1000
Immunohistochemistry (Paraffin) 1:50 - 1:200
Immunofluorescence (Frozen) 1:100 - 1:400
Immunofluorescence (Immunocytochemistry) 1:100 - 1:400

Storage

Supplied in 10 mM sodium HEPES (pH 7.5), 150 mM NaCl, 100 µg/ml BSA, 50% glycerol and less than 0.02% sodium azide. Store at –20°C. Do not aliquot the antibody.

For a carrier free (BSA and azide free) version of this product see product #87716.

Specificity/Sensitivity

Calretinin (E7R6O) Rabbit Monoclonal Antibody recognizes endogenous levels of total Calretinin protein.

Source / Purification

Monoclonal antibody is produced by immunizing animals with recombinant protein specific to the amino terminus of human Calretinin protein.

Background

Calretinin (29 kDa calbindin, calbindin 2) is a calcium-binding protein of the EF-hand family encoded by the CALB2 gene. It is differentially expressed from homologous family member calbindin-d28k in distinct neuronal populations of the retina, auditory system, and cerebellar granule cells (1,2), and acts as a marker for specific neuronal subsets of the subthalamic nucleus and the substantia nigra (3). Calretinin has been shown to play an important role in modulating neuronal excitability and the induction of long-term potentiation (1). Research has shown that, pathologically, Calretinin is a selective marker for epithelial mesothelioma, making it a diagnostic tool to differentiate from adenocarcinomas (4).

Species Reactivity

Species reactivity is determined by testing in at least one approved application (e.g., western blot).

Western Blot Buffer

IMPORTANT: For western blots, incubate membrane with diluted primary antibody in 5% w/v BSA, 1X TBS, 0.1% Tween® 20 at 4°C with gentle shaking, overnight.

Applications Key

W: Western Blotting IHC-P: Immunohistochemistry (Paraffin) IF-F: Immunofluorescence (Frozen) IF-IC: Immunofluorescence (Immunocytochemistry)

Cross-Reactivity Key

H: Human M: Mouse R: Rat

Trademarks and Patents

Cell Signaling Technology is a trademark of Cell Signaling Technology, Inc.

Alexa Fluor is a registered trademark of Life Technologies Corporation.

All other trademarks are the property of their respective owners. Visit cellsignal.com/trademarks for more information.

Limited Uses

Except as otherwise expressly agreed in a writing signed by a legally authorized representative of CST, the following terms apply to Products provided by CST, its affiliates or its distributors. Any Customer's terms and conditions that are in addition to, or different from, those contained herein, unless separately accepted in writing by a legally authorized representative of CST, are rejected and are of no force or effect.

Products are labeled with For Research Use Only or a similar labeling statement and have not been approved, cleared, or licensed by the FDA or other regulatory foreign or domestic entity, for any purpose. Customer shall not use any Product for any diagnostic or therapeutic purpose, or otherwise in any manner that conflicts with its labeling statement. Products sold or licensed by CST are provided for Customer as the end-user and solely for research and development uses. Any use of Product for diagnostic, prophylactic or therapeutic purposes, or any purchase of Product for resale (alone or as a component) or other commercial purpose, requires a separate license from CST. Customer shall (a) not sell, license, loan, donate or otherwise transfer or make available any Product to any third party, whether alone or in combination with other materials, or use the Products to manufacture any commercial products, (b) not copy, modify, reverse engineer, decompile, disassemble or otherwise attempt to discover the underlying structure or technology of the Products, or use the Products for the purpose of developing any products or services that would compete with CST products or services, (c) not alter or remove from the Products any trademarks, trade names, logos, patent or copyright notices or markings, (d) use the Products solely in accordance with CST Product Terms of Sale and any applicable documentation, and (e) comply with any license, terms of service or similar agreement with respect to any third party products or services used by Customer in connection with the Products.

Orders: 877-616-CELL (2355) [email protected] Support: 877-678-TECH (8324) [email protected] Web: cellsignal.com
For Research Use Only. Not for Use in Diagnostic Procedures.

Revision 4

Cell Signaling Technology Logo
Western blot analysis of extracts from various tissues and cell lines using Calretinin (E7R6O) XP® Rabbit mAb (upper) and β-Actin (D6A8) Rabbit mAb #8457 (lower).
Western Blotting Image 1: Calretinin (E7R6O) Rabbit Monoclonal Antibody
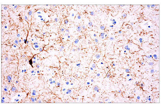
Immunohistochemical analysis of paraffin-embedded normal human brain using Calretinin (E7R6O) XP® Rabbit mAb.
Immunohistochemistry Image 1: Calretinin (E7R6O) Rabbit Monoclonal Antibody
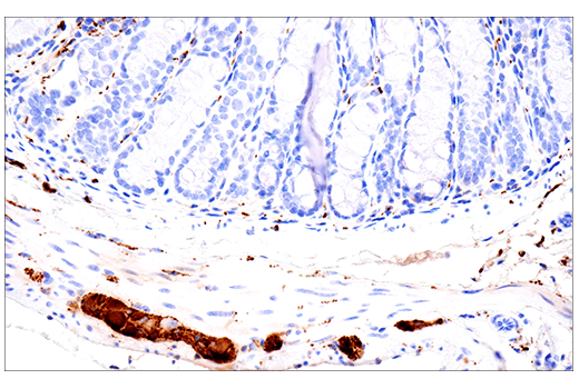
Immunohistochemical analysis of paraffin-embedded normal human colon using Calretinin (E7R6O) XP® Rabbit mAb.
Immunohistochemistry Image 2: Calretinin (E7R6O) Rabbit Monoclonal Antibody
Orders: 877-616-CELL (2355) [email protected] Support: 877-678-TECH (8324) [email protected] Web: cellsignal.com
For Research Use Only. Not for Use in Diagnostic Procedures.

Revision 4

Cell Signaling Technology Logo
Immunohistochemical analysis of paraffin-embedded human smooth muscle adjacent to esophageal carcinoma using Calretinin (E7R6O) XP® Rabbit mAb.
Immunohistochemistry Image 3: Calretinin (E7R6O) Rabbit Monoclonal Antibody
Immunohistochemical analysis of paraffin-embedded human colon carcinoma using Calretinin (E7R6O) XP® Rabbit mAb.
Immunohistochemistry Image 4: Calretinin (E7R6O) Rabbit Monoclonal Antibody
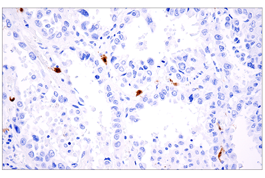
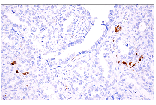
Immunohistochemical analysis of paraffin-embedded human non-small cell lung carcinoma using Calretinin (E7R6O) XP® Rabbit mAb.
Immunohistochemistry Image 5: Calretinin (E7R6O) Rabbit Monoclonal Antibody
Orders: 877-616-CELL (2355) [email protected] Support: 877-678-TECH (8324) [email protected] Web: cellsignal.com
For Research Use Only. Not for Use in Diagnostic Procedures.

Revision 4

Cell Signaling Technology Logo
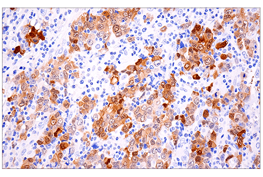
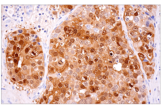
Immunohistochemical analysis of paraffin-embedded human mesothelioma using Calretinin (E7R6O) XP® Rabbit mAb.
Immunohistochemistry Image 6: Calretinin (E7R6O) Rabbit Monoclonal Antibody
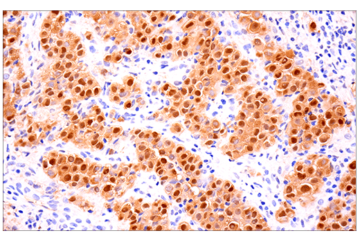
Immunohistochemical analysis of paraffin-embedded human granulosa cell tumor of the ovary using Calretinin (E7R6O) XP® Rabbit mAb.
Immunohistochemistry Image 7: Calretinin (E7R6O) Rabbit Monoclonal Antibody
Immunohistochemical analysis of paraffin-embedded human ductal breast carcinoma using Calretinin (E7R6O) XP® Rabbit mAb.
Immunohistochemistry Image 8: Calretinin (E7R6O) Rabbit Monoclonal Antibody
Orders: 877-616-CELL (2355) [email protected] Support: 877-678-TECH (8324) [email protected] Web: cellsignal.com
For Research Use Only. Not for Use in Diagnostic Procedures.

Revision 4

Cell Signaling Technology Logo
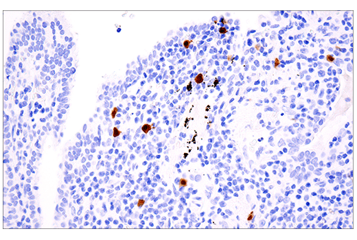
Immunohistochemical analysis of paraffin-embedded human B-cell non-Hodgkin's lymphoma using Calretinin (E7R6O) XP® Rabbit mAb.
Immunohistochemistry Image 9: Calretinin (E7R6O) Rabbit Monoclonal Antibody
Immunohistochemical analysis of paraffin-embedded human squamous cell carcinoma of the tongue using Calretinin (E7R6O) XP® Rabbit mAb (left) compared to concentration-matched Rabbit (DA1E) mAb IgG XP® Isotype Control #3900 (right). Images depict two fields of view of the same case.
Immunohistochemistry Image 10: Calretinin (E7R6O) Rabbit Monoclonal Antibody
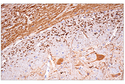
Immunohistochemical analysis of paraffin-embedded normal mouse brain using Calretinin (E7R6O) XP® Rabbit mAb.
Immunohistochemistry Image 11: Calretinin (E7R6O) Rabbit Monoclonal Antibody
Orders: 877-616-CELL (2355) [email protected] Support: 877-678-TECH (8324) [email protected] Web: cellsignal.com
For Research Use Only. Not for Use in Diagnostic Procedures.

Revision 4

Cell Signaling Technology Logo
Immunohistochemical analysis of paraffin-embedded normal mouse colon using Calretinin (E7R6O) XP® Rabbit mAb.
Immunohistochemistry Image 12: Calretinin (E7R6O) Rabbit Monoclonal Antibody
Immunohistochemical analysis of paraffin-embedded MKN-45 cell pellet (left, positive) or PANC-1 cell pellet (right, negative) using Calretinin (E7R6O) XP® Rabbit mAb.
Immunohistochemistry Image 13: Calretinin (E7R6O) Rabbit Monoclonal Antibody
Confocal immunofluorescent analysis of mouse retina at low magnification (left) and high magnification (right) using Calretinin (E7R6O) XP® Rabbit mAb (green). After blocking free secondary antibody binding sites with Rabbit (DA1E) mAb IgG XP® Isotype Control #3900, the tissue was then labeled using Calbindin (D1I4Q) XP® Rabbit mAb (Alexa Fluor® 488 Conjugate) #65152 (red pseudocolor). Sections were mounted in ProLong® Gold Antifade Reagent with DAPI #8961 (blue).
Immunofluorescence Image 1: Calretinin (E7R6O) Rabbit Monoclonal Antibody
Orders: 877-616-CELL (2355) [email protected] Support: 877-678-TECH (8324) [email protected] Web: cellsignal.com
For Research Use Only. Not for Use in Diagnostic Procedures.

Revision 4

Cell Signaling Technology Logo
Confocal immunofluorescent analysis of mouse hippocampal formation using Calretinin (E7R6O) XP® Rabbit mAb (green) and GFAP (GA5) Mouse mAb (Alexa Fluor® 647 Conjugate) #3657 (cyan pseudocolor). After blocking free secondary antibody binding sites with Rabbit (DA1E) mAb IgG XP® Isotype Control #3900, the tissue was then labeled using Calbindin (D1I4Q) XP® Rabbit mAb (Alexa Fluor® 488 Conjugate) #65152 (red pseudocolor). Sections were mounted in ProLong® Gold Antifade Reagent with DAPI #8961 (blue).
Immunofluorescence Image 2: Calretinin (E7R6O) Rabbit Monoclonal Antibody
Confocal immunofluorescent analysis of mouse dentate gyrus using Calretinin (E7R6O) XP® Rabbit mAb (green) and GFAP (GA5) Mouse mAb (Alexa Fluor® 647 Conjugate) #3657 (cyan pseudocolor). After blocking free secondary antibody binding sites with Rabbit (DA1E) mAb IgG XP® Isotype Control #3900, the tissue was then labeled using Calbindin (D1I4Q) XP® Rabbit mAb (Alexa Fluor® 488 Conjugate) #65152 (red pseudocolor). Sections were mounted in ProLong® Gold Antifade Reagent with DAPI #8961 (blue).
Immunofluorescence Image 3: Calretinin (E7R6O) Rabbit Monoclonal Antibody
Confocal immunofluorescent analysis of mouse striatum using Calretinin (E7R6O) XP® Rabbit mAb (green) and GFAP (GA5) Mouse mAb (Alexa Fluor® 647 Conjugate) #3657 (cyan pseudocolor). After blocking free secondary antibody binding sites with Rabbit (DA1E) mAb IgG XP® Isotype Control #3900, the tissue was then labeled using Calbindin (D1I4Q) XP® Rabbit mAb (Alexa Fluor® 488 Conjugate) #65152 (red pseudocolor). Sections were mounted in ProLong® Gold Antifade Reagent with DAPI #8961 (blue).
Immunofluorescence Image 4: Calretinin (E7R6O) Rabbit Monoclonal Antibody
Orders: 877-616-CELL (2355) [email protected] Support: 877-678-TECH (8324) [email protected] Web: cellsignal.com
For Research Use Only. Not for Use in Diagnostic Procedures.

Revision 4

Cell Signaling Technology Logo
Confocal immunofluorescent analysis of mouse cerebellum (left), colon (middle), and kidney (right) using Calretinin (E7R6O) XP® Rabbit mAb (green). After blocking free secondary antibody binding sites with Rabbit (DA1E) mAb IgG XP® Isotype Control #3900, the tissues were then labeled using Calbindin (D1I4Q) XP® Rabbit mAb (Alexa Fluor® 488 Conjugate) #65152 (red pseudocolor). Sections were mounted in ProLong® Gold Antifade Reagent with DAPI #8961 (blue).
Immunofluorescence Image 5: Calretinin (E7R6O) Rabbit Monoclonal Antibody
Confocal immunofluorescent analysis of MKN-45 cells (left, positive) or PANC-1 cells (right, negative) using Calretinin (E7R6O) XP® Rabbit mAb (green). Actin filaments were labeled with DyLight™ 554 Phalloidin #13054 (red). Samples were mounted in ProLong® Gold Antifade Reagent with DAPI #8961 (blue).
Immunofluorescence Image 1: Calretinin (E7R6O) Rabbit Monoclonal Antibody
Orders: 877-616-CELL (2355) [email protected] Support: 877-678-TECH (8324) [email protected] Web: cellsignal.com
For Research Use Only. Not for Use in Diagnostic Procedures.