Revision 4

#92649

Store at -20C

CST Logo
Orders:

877-616-CELL (2355)

[email protected]

Support:

877-678-TECH (8324)

3 Trask Lane | Danvers | Massachusetts | 01923 | USA

For Research Use Only. Not for Use in Diagnostic Procedures.

Applications:
W, IP, IHC-P, IF-IC, FC-FP

Reactivity:
H M R Mk

Sensitivity:
Endogenous

MW (kDa):
26

Source/Isotype:
Rabbit IgG

UniProt ID:
#P21912

Entrez-Gene Id:
6390

Product Usage Information

Application Dilution
Western Blotting 1:1000
Immunoprecipitation 1:200
Immunohistochemistry (Paraffin) 1:50 - 1:200
Immunofluorescence (Immunocytochemistry) 1:100 - 1:200
Flow Cytometry (Fixed/Permeabilized) 1:100 - 1:200

Storage

Supplied in 10 mM sodium HEPES (pH 7.5), 150 mM NaCl, 100 µg/ml BSA, 50% glycerol and less than 0.02% sodium azide. Store at –20°C. Do not aliquot the antibody.

Specificity/Sensitivity

SDHB (E3H9Z) Rabbit Monoclonal Antibody recognizes endogenous levels of total SDHB protein. This antibody detects a 120 kDa protein of unknown identity in some cell extracts.

Source / Purification

Monoclonal antibody is produced by immunizing animals with a synthetic peptide corresponding to residues surrounding Gly208 of human SDHB protein.

Background

Succinate dehydrogenase (SDH), also known as Complex II or succinate:quinone oxidoreductase, is a key component of the citric acid cycle and the electron transport chain (1). Specifically, it is involved in the oxidation of succinate (2). SDH consists of four subunits: SDHA, SDHB, SDHC, and SDHD (3). Research studies have shown that defects in SDHA cause complex II deficiency (2). In addition, investigators have observed reduction of SDHA in the striatum of patients with Huntington’s disease (3), and reduction of SDHB, SDHC, and SDHD in paragangliomas and phenochromocytomas (4,5).

Species Reactivity

Species reactivity is determined by testing in at least one approved application (e.g., western blot).

Western Blot Buffer

IMPORTANT: For western blots, incubate membrane with diluted primary antibody in 5% w/v BSA, 1X TBS, 0.1% Tween® 20 at 4°C with gentle shaking, overnight.

Applications Key

W: Western Blotting IP: Immunoprecipitation IHC-P: Immunohistochemistry (Paraffin) IF-IC: Immunofluorescence (Immunocytochemistry) FC-FP: Flow Cytometry (Fixed/Permeabilized)

Cross-Reactivity Key

H: Human M: Mouse R: Rat Mk: Monkey

Trademarks and Patents

Cell Signaling Technology is a trademark of Cell Signaling Technology, Inc.

SignalStain is a registered trademark of Cell Signaling Technology, Inc.

All other trademarks are the property of their respective owners. Visit cellsignal.com/trademarks for more information.

Limited Uses

Except as otherwise expressly agreed in a writing signed by a legally authorized representative of CST, the following terms apply to Products provided by CST, its affiliates or its distributors. Any Customer's terms and conditions that are in addition to, or different from, those contained herein, unless separately accepted in writing by a legally authorized representative of CST, are rejected and are of no force or effect.

Products are labeled with For Research Use Only or a similar labeling statement and have not been approved, cleared, or licensed by the FDA or other regulatory foreign or domestic entity, for any purpose. Customer shall not use any Product for any diagnostic or therapeutic purpose, or otherwise in any manner that conflicts with its labeling statement. Products sold or licensed by CST are provided for Customer as the end-user and solely for research and development uses. Any use of Product for diagnostic, prophylactic or therapeutic purposes, or any purchase of Product for resale (alone or as a component) or other commercial purpose, requires a separate license from CST. Customer shall (a) not sell, license, loan, donate or otherwise transfer or make available any Product to any third party, whether alone or in combination with other materials, or use the Products to manufacture any commercial products, (b) not copy, modify, reverse engineer, decompile, disassemble or otherwise attempt to discover the underlying structure or technology of the Products, or use the Products for the purpose of developing any products or services that would compete with CST products or services, (c) not alter or remove from the Products any trademarks, trade names, logos, patent or copyright notices or markings, (d) use the Products solely in accordance with CST Product Terms of Sale and any applicable documentation, and (e) comply with any license, terms of service or similar agreement with respect to any third party products or services used by Customer in connection with the Products.

Orders: 877-616-CELL (2355) [email protected] Support: 877-678-TECH (8324) [email protected] Web: cellsignal.com
For Research Use Only. Not for Use in Diagnostic Procedures.

Revision 4

Cell Signaling Technology Logo
Western blot analysis of extracts from various cell lines and tissues using SDHB (E3H9Z) XP® Rabbit mAb (upper) and GAPDH (D16H11) XP® Rabbit mAb #5174 (lower). *The antibody detects a 120 kDa protein of unknown identity in some cell extracts.
Western Blotting Image 1: SDHB (E3H9Z) Rabbit Monoclonal Antibody
Western blot analysis of extracts from 293T cells, transfected with control siRNA (-) or SDHB siRNA (+), using SDHB (E3H9Z) XP® Rabbit mAb (upper) and GAPDH (D16H11) XP® Rabbit mAb #5174 (lower). The loss of SDHB signal in extracts from SDHB siRNA-transfected cells confirms specificity of the antibody for SDHB.
Western Blotting Image 2: SDHB (E3H9Z) Rabbit Monoclonal Antibody
Western blot analysis of extracts from 293T cells, mock transfected (lane 1) or transiently transfected with plasmid encoding Myc/DDK-tagged SDHB protein (lane 2), using SDHB (E3H9Z) XP® Rabbit mAb (upper), Myc-Tag (71D10) Rabbit mAb #2278 (middle), and GAPDH (D16H11) XP® Rabbit mAb #5174 (lower).
Western Blotting Image 3: SDHB (E3H9Z) Rabbit Monoclonal Antibody
Orders: 877-616-CELL (2355) [email protected] Support: 877-678-TECH (8324) [email protected] Web: cellsignal.com
For Research Use Only. Not for Use in Diagnostic Procedures.

Revision 4

Cell Signaling Technology Logo
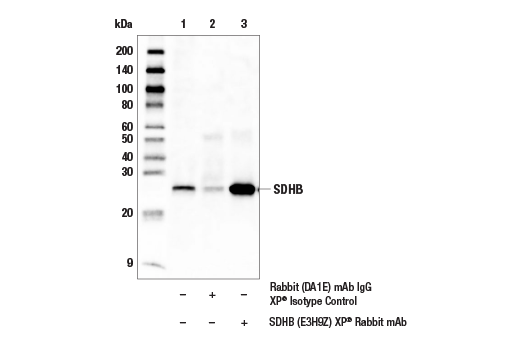
Immunoprecipitation of SDHB protein from K-562 cell extracts. Lane 1 is 10% input, lane 2 is Rabbit (DA1E) mAb IgG XP® Isotype Control #3900, and lane 3 is SDHB (E3H9Z) XP® Rabbit mAb. Western blot analysis was performed using SDHB (E3H9Z) XP® Rabbit mAb. Mouse Anti-rabbit IgG (Conformation Specific) (L27A9) mAb (HRP Conjugate) #5127 was used as the secondary antibody.
Immunoprecipitation Image 1: SDHB (E3H9Z) Rabbit Monoclonal Antibody
Immunohistochemical analysis of paraffin-embedded human breast carcinoma using SDHB (E3H9Z) XP® Rabbit mAb.
Immunohistochemistry Image 1: SDHB (E3H9Z) Rabbit Monoclonal Antibody
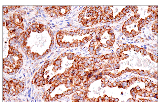
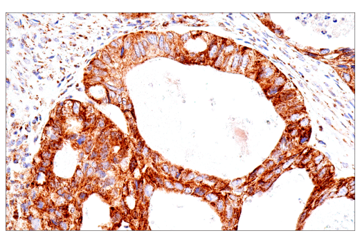
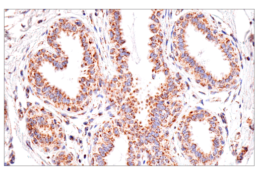
Immunohistochemical analysis of paraffin-embedded human prostate carcinoma using SDHB (E3H9Z) XP® Rabbit mAb.
Immunohistochemistry Image 2: SDHB (E3H9Z) Rabbit Monoclonal Antibody
Orders: 877-616-CELL (2355) [email protected] Support: 877-678-TECH (8324) [email protected] Web: cellsignal.com
For Research Use Only. Not for Use in Diagnostic Procedures.

Revision 4

Cell Signaling Technology Logo
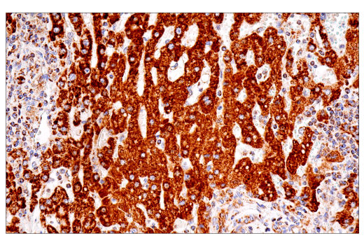
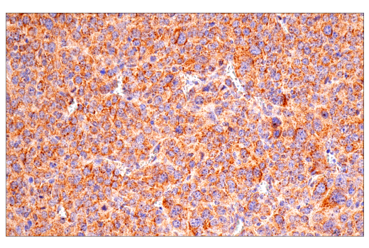
Immunohistochemical analysis of paraffin-embedded human hepatocellular carcinoma using SDHB (E3H9Z) XP® Rabbit mAb.
Immunohistochemistry Image 3: SDHB (E3H9Z) Rabbit Monoclonal Antibody
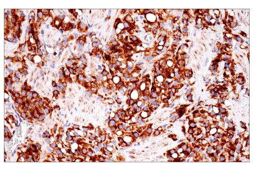
Immunohistochemical analysis of paraffin-embedded human ovarian clear cell carcinoma using SDHB (E3H9Z) XP® Rabbit mAb.
Immunohistochemistry Image 4: SDHB (E3H9Z) Rabbit Monoclonal Antibody
Immunohistochemical analysis of paraffin-embedded human endometrioid adenocarcinoma using SDHB (E3H9Z) XP® Rabbit mAb.
Immunohistochemistry Image 5: SDHB (E3H9Z) Rabbit Monoclonal Antibody
Orders: 877-616-CELL (2355) [email protected] Support: 877-678-TECH (8324) [email protected] Web: cellsignal.com
For Research Use Only. Not for Use in Diagnostic Procedures.

Revision 4

Cell Signaling Technology Logo
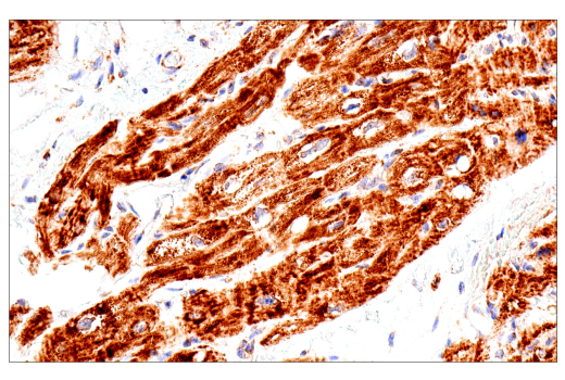
Immunohistochemical analysis of paraffin-embedded normal human heart using SDHB (E3H9Z) XP® Rabbit mAb.
Immunohistochemistry Image 6: SDHB (E3H9Z) Rabbit Monoclonal Antibody
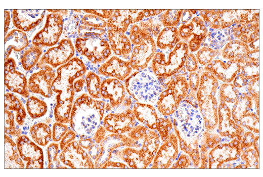
Immunohistochemical analysis of paraffin-embedded normal human kidney using SDHB (E3H9Z) XP® Rabbit mAb.
Immunohistochemistry Image 7: SDHB (E3H9Z) Rabbit Monoclonal Antibody
Immunohistochemical analysis of paraffin-embedded Renca syngeneic tumor using SDHB (E3H9Z) XP® Rabbit mAb.
Immunohistochemistry Image 8: SDHB (E3H9Z) Rabbit Monoclonal Antibody
Orders: 877-616-CELL (2355) [email protected] Support: 877-678-TECH (8324) [email protected] Web: cellsignal.com
For Research Use Only. Not for Use in Diagnostic Procedures.

Revision 4

Cell Signaling Technology Logo
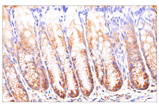
Immunohistochemical analysis of paraffin-embedded mouse colon using SDHB (E3H9Z) XP® Rabbit mAb.
Immunohistochemistry Image 9: SDHB (E3H9Z) Rabbit Monoclonal Antibody
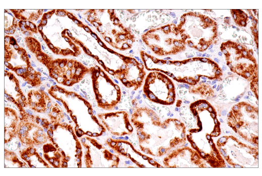
Immunohistochemical analysis of paraffin-embedded mouse kidney using SDHB (E3H9Z) XP® Rabbit mAb.
Immunohistochemistry Image 10: SDHB (E3H9Z) Rabbit Monoclonal Antibody
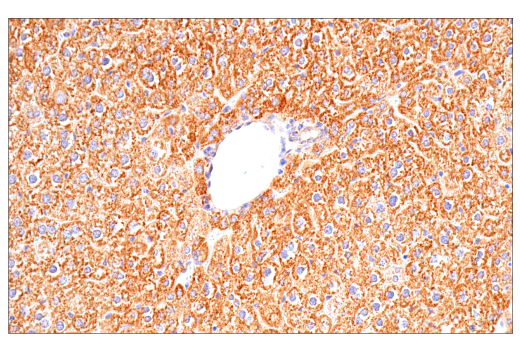
Immunohistochemical analysis of paraffin-embedded mouse liver using SDHB (E3H9Z) XP® Rabbit mAb.
Immunohistochemistry Image 11: SDHB (E3H9Z) Rabbit Monoclonal Antibody
Orders: 877-616-CELL (2355) [email protected] Support: 877-678-TECH (8324) [email protected] Web: cellsignal.com
For Research Use Only. Not for Use in Diagnostic Procedures.

Revision 4

Cell Signaling Technology Logo
Immunohistochemical analysis of paraffin-embedded mouse ovary using SDHB (E3H9Z) XP® Rabbit mAb.
Immunohistochemistry Image 12: SDHB (E3H9Z) Rabbit Monoclonal Antibody
Immunohistochemical analysis of paraffin-embedded mouse stomach using SDHB (E3H9Z) XP® Rabbit mAb.
Immunohistochemistry Image 13: SDHB (E3H9Z) Rabbit Monoclonal Antibody
Immunohistochemical analysis of paraffin-embedded mouse testis using SDHB (E3H9Z) XP® Rabbit mAb.
Immunohistochemistry Image 14: SDHB (E3H9Z) Rabbit Monoclonal Antibody
Orders: 877-616-CELL (2355) [email protected] Support: 877-678-TECH (8324) [email protected] Web: cellsignal.com
For Research Use Only. Not for Use in Diagnostic Procedures.

Revision 4

Cell Signaling Technology Logo
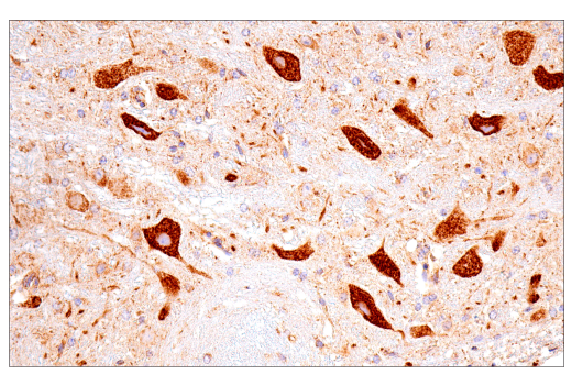
Immunohistochemical analysis of paraffin-embedded mouse brain using SDHB (E3H9Z) XP® Rabbit mAb.
Immunohistochemistry Image 15: SDHB (E3H9Z) Rabbit Monoclonal Antibody
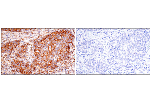
Immunohistochemical analysis of paraffin-embedded human colon carcinoma using SDHB (E3H9Z) XP® Rabbit mAb (left) compared to concentration-matched Rabbit (DA1E) mAb IgG XP® Isotype Control #3900 (right). 
Immunohistochemistry Image 16: SDHB (E3H9Z) Rabbit Monoclonal Antibody
Confocal immunofluorescent analysis of HCT 116 cells, either mock transfected (left, high-expressing) or transfected with siRNA directed against human SDHB (right, low-expressing) using SDHB (E3H9Z) XP® Rabbit mAb (green), DyLight™ 650 Phalloidin #12956 (red), and DAPI #4083 (blue).
Immunofluorescence Image 1: SDHB (E3H9Z) Rabbit Monoclonal Antibody
Orders: 877-616-CELL (2355) [email protected] Support: 877-678-TECH (8324) [email protected] Web: cellsignal.com
For Research Use Only. Not for Use in Diagnostic Procedures.

Revision 4

Cell Signaling Technology Logo
Flow cytometric analysis of Raw264.7 cells using SDHB (E3H9Z) XP® Rabbit mAb (solid line) compared to concentration-matched Rabbit (DA1E) mAb IgG XP® Isotype Control #3900 (dashed lines). Anti-rabbit IgG (H+L), F(ab')2 Fragment (Alexa Fluor® 488 Conjugate) was used as a secondary antibody.
Flow Cytometry Image 1: SDHB (E3H9Z) Rabbit Monoclonal Antibody
Flow cytometric analysis of Ramos cells using SDHB (E3H9Z) XP® Rabbit mAb (solid line) compared to concentration-matched Rabbit (DA1E) mAb IgG XP® Isotype Control #3900 (dashed lines). Anti-rabbit IgG (H+L), F(ab')2 Fragment (Alexa Fluor® 488 Conjugate) was used as a secondary antibody.
Flow Cytometry Image 2: SDHB (E3H9Z) Rabbit Monoclonal Antibody
Orders: 877-616-CELL (2355) [email protected] Support: 877-678-TECH (8324) [email protected] Web: cellsignal.com
For Research Use Only. Not for Use in Diagnostic Procedures.