Revision 12

#93212

Store at -20C

CST Logo
Orders:

877-616-CELL (2355)

[email protected]

Support:

877-678-TECH (8324)

3 Trask Lane | Danvers | Massachusetts | 01923 | USA

For Research Use Only. Not for Use in Diagnostic Procedures.

Applications:
W, IP, IHC-P, IF-IC, ChIP, ChIP-seq

Reactivity:
H M R Mk

Sensitivity:
Endogenous

MW (kDa):
180

Source/Isotype:
Rabbit IgG

UniProt ID:
#Q15047

Entrez-Gene Id:
9869

Product Usage Information

For optimal ChIP and ChIP-seq results, use 10 μl of antibody and 10 μg of chromatin (approximately 4 x 106 cells) per IP. This antibody has been validated using SimpleChIP® Enzymatic Chromatin IP Kits.
Application Dilution
Western Blotting 1:1000
Immunoprecipitation 1:50
Immunohistochemistry (Paraffin) 1:1000
Immunofluorescence (Immunocytochemistry) 1:800
Chromatin IP 1:50
Chromatin IP-seq 1:50

Storage

Supplied in 10 mM sodium HEPES (pH 7.5), 150 mM NaCl, 100 µg/ml BSA, 50% glycerol and less than 0.02% sodium azide. Store at –20°C. Do not aliquot the antibody.

Specificity/Sensitivity

ESET (D4M8R) XP® Rabbit mAb recognizes endogenous levels of total ESET protein.

Source / Purification

Monoclonal antibody is produced by immunizing animals with recombinant protein specific to the amino terminus of human ESET protein.

Background

The Erg-associated protein with SET domain (ESET), also known as SET-domain, bifurcated 1 (SETDB1) protein, is a member of a histone lysine methyltransferase family, each of which contains a conserved catalytic SET domain, originally identified in Drosophila Su[var]3-9, Enhancer of zeste, and Trithorax proteins (1). SETDB1 also contains tudor and methyl-CpG-binding domains, which may coordinate binding to methylated histones and methylated DNA, respectively (1). SETDB1 methylates histone H3 Lys9, creating a transcriptionally repressive mark that facilitates gene silencing (1-3). However, unlike SUV39H histone H3 Lys9 methyltransferases, which function mainly in heterochromatin regions, such as pericentric heterochromatin, SETDB1 functions mainly in euchromatic regions to repress gene promoters (3). SETDB1 interacts with a variety of proteins, including transcription factors (ERG), histone deacetylases (HDAC1/2), DNA methyltransferases (DNMT3A/B) and transcriptional co-repressors (mSin3A/B, MBD1, KAP-1, the ATFa-associated modulator mAM) (1-6). mAM forms a complex with SETDB1, stimulating its methyltransferase activity, specifically the conversion of di-methyl to tri-methyl histone H3 Lys9 (2). MBD1 recruits SETDB1 to the CAF-1 complex to facilitate methylation of histone H3 Lys9 during replication-coupled chromatin assembly in S phase (5). DNMT3A recruits SETDB1 to silenced promoters in cancer cells (7). SETDB1 may play a role in the pathogenesis of Huntington's disease, since levels of SETDB1 protein and tri-methyl histone H3 Lys9 are both increased in diseased brains (8).

Species Reactivity

Species reactivity is determined by testing in at least one approved application (e.g., western blot).

Western Blot Buffer

IMPORTANT: For western blots, incubate membrane with diluted primary antibody in 5% w/v BSA, 1X TBS, 0.1% Tween® 20 at 4°C with gentle shaking, overnight.

Applications Key

W: Western Blotting IP: Immunoprecipitation IHC-P: Immunohistochemistry (Paraffin) IF-IC: Immunofluorescence (Immunocytochemistry) ChIP: Chromatin IP ChIP-seq: Chromatin IP-seq

Cross-Reactivity Key

H: Human M: Mouse R: Rat Mk: Monkey

Trademarks and Patents

Cell Signaling Technology is a trademark of Cell Signaling Technology, Inc.

SimpleChIP is a registered trademark of Cell Signaling Technology, Inc.

All other trademarks are the property of their respective owners. Visit cellsignal.com/trademarks for more information.

Limited Uses

Except as otherwise expressly agreed in a writing signed by a legally authorized representative of CST, the following terms apply to Products provided by CST, its affiliates or its distributors. Any Customer's terms and conditions that are in addition to, or different from, those contained herein, unless separately accepted in writing by a legally authorized representative of CST, are rejected and are of no force or effect.

Products are labeled with For Research Use Only or a similar labeling statement and have not been approved, cleared, or licensed by the FDA or other regulatory foreign or domestic entity, for any purpose. Customer shall not use any Product for any diagnostic or therapeutic purpose, or otherwise in any manner that conflicts with its labeling statement. Products sold or licensed by CST are provided for Customer as the end-user and solely for research and development uses. Any use of Product for diagnostic, prophylactic or therapeutic purposes, or any purchase of Product for resale (alone or as a component) or other commercial purpose, requires a separate license from CST. Customer shall (a) not sell, license, loan, donate or otherwise transfer or make available any Product to any third party, whether alone or in combination with other materials, or use the Products to manufacture any commercial products, (b) not copy, modify, reverse engineer, decompile, disassemble or otherwise attempt to discover the underlying structure or technology of the Products, or use the Products for the purpose of developing any products or services that would compete with CST products or services, (c) not alter or remove from the Products any trademarks, trade names, logos, patent or copyright notices or markings, (d) use the Products solely in accordance with CST Product Terms of Sale and any applicable documentation, and (e) comply with any license, terms of service or similar agreement with respect to any third party products or services used by Customer in connection with the Products.

Orders: 877-616-CELL (2355) [email protected] Support: 877-678-TECH (8324) [email protected] Web: cellsignal.com
For Research Use Only. Not for Use in Diagnostic Procedures.

Revision 12

Cell Signaling Technology Logo
Western blot analysis of extracts from various cell lines using ESET (D4M8R) XP® Rabbit mAb.
Western Blotting Image 1: ESET (D4M8R) XP<sup>®</sup> Rabbit mAb
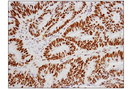
Immunohistochemical analysis of paraffin-embedded human colon carcinoma using ESET (D4M8R) XP® Rabbit mAb.
Immunohistochemistry Image 1: ESET (D4M8R) XP<sup>®</sup> Rabbit mAb
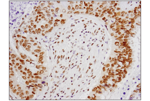
Immunohistochemical analysis of paraffin-embedded human non-small cell lung carcinoma using ESET (D4M8R) XP® Rabbit mAb.
Immunohistochemistry Image 2: ESET (D4M8R) XP<sup>®</sup> Rabbit mAb
Orders: 877-616-CELL (2355) [email protected] Support: 877-678-TECH (8324) [email protected] Web: cellsignal.com
For Research Use Only. Not for Use in Diagnostic Procedures.

Revision 12

Cell Signaling Technology Logo
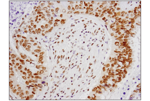
Immunohistochemical analysis of paraffin-embedded human non-small cell lung carcinoma using ESET (D4M8R) XP® Rabbit mAb.
Immunohistochemistry Image 3: ESET (D4M8R) XP<sup>®</sup> Rabbit mAb
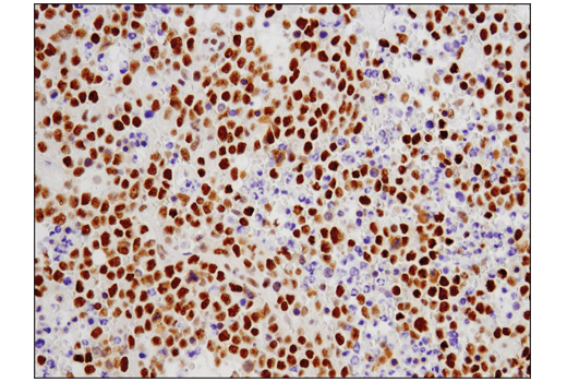
Immunohistochemical analysis of paraffin-embedded human non-Hodgkin’s lymphoma using ESET (D4M8R) XP® Rabbit mAb.
Immunohistochemistry Image 4: ESET (D4M8R) XP<sup>®</sup> Rabbit mAb
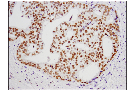
Immunohistochemical analysis of paraffin-embedded human prostate carcinoma using ESET (D4M8R) XP® Rabbit mAb.
Immunohistochemistry Image 5: ESET (D4M8R) XP<sup>®</sup> Rabbit mAb
Orders: 877-616-CELL (2355) [email protected] Support: 877-678-TECH (8324) [email protected] Web: cellsignal.com
For Research Use Only. Not for Use in Diagnostic Procedures.

Revision 12

Cell Signaling Technology Logo
Confocal immunofluorescent analysis of MCF7 cells using ESET (D4M8R) XP® Rabbit mAb (green). Actin filaments were labeled with DyLight 554™ Phalloidin #13054 (red).
Immunofluorescence Image 1: ESET (D4M8R) XP<sup>®</sup> Rabbit mAb
Chromatin immunoprecipitations were performed with cross-linked chromatin from K-562 cells and ESET (D4M8R) XP® Rabbit mAb, using SimpleChIP® Plus Enzymatic Chromatin IP Kit (Magnetic Beads) #9005. DNA Libraries were prepared using SimpleChIP® ChIP-seq DNA Library Prep Kit for Illumina® #56795. The figure shows binding across ZNF12 gene. For additional ChIP-seq tracks, please download the product data sheet.
Chromatin Immunoprecipitation Image 1: ESET (D4M8R) XP<sup>®</sup> Rabbit mAb
Chromatin immunoprecipitations were performed with cross-linked chromatin from 4 x 106 K-562 cells and ESET (D4M8R) XP® Rabbit mAb, using SimpleChIP® Plus Enzymatic Chromatin IP Kit (Magnetic Beads) #9005. DNA Libraries were prepared using SimpleChIP® ChIP-seq DNA Library Prep Kit for Illumina® #56795. The figure shows binding across chromosome 7 (upper) and ZNF12 gene (lower).
Chromatin Immunoprecipitation Image 2: ESET (D4M8R) XP<sup>®</sup> Rabbit mAb
Orders: 877-616-CELL (2355) [email protected] Support: 877-678-TECH (8324) [email protected] Web: cellsignal.com
For Research Use Only. Not for Use in Diagnostic Procedures.

Revision 12

Cell Signaling Technology Logo
Chromatin immunoprecipitations were performed with cross-linked chromatin from K-562 cells and either ESET (D4M8R) XP® Rabbit mAb or Normal Rabbit IgG #2729 using SimpleChIP® Plus Enzymatic Chromatin IP Kit (Magnetic Beads) #9005. The enriched DNA was quantified by real-time PCR using SimpleChIP® Human GAPDH Exon 1 Primers #5516, SimpleChIP® Human β-Actin Promoter Primers #13653, and SimpleChIP® Human α Satellite Repeat Primers #4486. The amount of immunoprecipitated DNA in each sample is represented as signal relative to the total amount of input chromatin, which is equivalent to one.
Chromatin Immunoprecipitation Image 3: ESET (D4M8R) XP<sup>®</sup> Rabbit mAb
Orders: 877-616-CELL (2355) [email protected] Support: 877-678-TECH (8324) [email protected] Web: cellsignal.com
For Research Use Only. Not for Use in Diagnostic Procedures.