Revision 1

#9391

Store at -20C

CST Logo
Orders:

877-616-CELL (2355)

[email protected]

Support:

877-678-TECH (8324)

3 Trask Lane | Danvers | Massachusetts | 01923 | USA

For Research Use Only. Not for Use in Diagnostic Procedures.

Applications:
W, IHC-P, E-P

Reactivity:
All

Sensitivity:
Endogenous

Source/Isotype:
Mouse IgM

Product Usage Information

Application Dilution
Western Blotting 1:5000
Immunohistochemistry (Paraffin) 1:400
Peptide ELISA (DELFIA) 1:1000

Storage

Supplied in 10 mM sodium HEPES (pH 7.5), 150 mM NaCl, 100 µg/ml BSA, 50% glycerol and less than 0.02% sodium azide. Store at –20°C. Do not aliquot the antibody.

Specificity/Sensitivity

Phospho-Threonine-Proline Mouse Monoclonal Antibody (P-Thr-Pro-101) detects phospho-threonine only when followed by proline. This antibody reacts with proteins and peptides phosphorylated at the Thr-Pro motif in an otherwise highly context-independent fashion. This antibody is phospho-specific, but does not recognize phospho-threonine in the absence of an adjacent proline. This antibody does not react with phospho-tyrosine but does react with some phospho-serine peptides containing the phospho-serine-proline motif (e.g., phospho-Elk-1).

Source / Purification

Monoclonal antibody is produced by immunizing animals with synthetic phospho-threonine-proline-containing peptides. This antibody is a mouse IgM clone and can be recognized by anti-mouse Ig (whole molecule) secondary antibody.

Background

The MAPK and CDK families of serine/threonine protein kinases play important roles in cell signaling and cell cycle control. These kinases phosphorylate threonine or serine followed by a proline residue (1-6). To facilitate the study and discovery of new MAPK and CDK substrates, Cell Signaling Technology has developed antibodies that bind to phospho-threonine or phospho-serine followed by proline.
As determined by ELISA using a wide variety of phospho-Thr-Pro peptides, Phospho-Threonine-Proline Monoclonal Antibody (P-Thr-Pro-101) recognizes the phospho-Thr-Pro motif in a highly context-independent fashion. It also interacts with a broad range of phospho-Thr-Pro-containing proteins as determined by western analysis of nocodazole-treated Jurkat cell extracts resolved on 2-D gels.

Species Reactivity

Species reactivity is determined by testing in at least one approved application (e.g., western blot).

Western Blot Buffer

IMPORTANT: For western blots, incubate membrane with diluted primary antibody in 5% w/v BSA, 1X TBS, 0.1% Tween® 20 at 4°C with gentle shaking, overnight.

Applications Key

W: Western Blotting IHC-P: Immunohistochemistry (Paraffin) E-P: Peptide ELISA (DELFIA)

Cross-Reactivity Key

All: All Species Expected

Trademarks and Patents

Cell Signaling Technology is a trademark of Cell Signaling Technology, Inc.

All other trademarks are the property of their respective owners. Visit cellsignal.com/trademarks for more information.

Limited Uses

Except as otherwise expressly agreed in a writing signed by a legally authorized representative of CST, the following terms apply to Products provided by CST, its affiliates or its distributors. Any Customer's terms and conditions that are in addition to, or different from, those contained herein, unless separately accepted in writing by a legally authorized representative of CST, are rejected and are of no force or effect.

Products are labeled with For Research Use Only or a similar labeling statement and have not been approved, cleared, or licensed by the FDA or other regulatory foreign or domestic entity, for any purpose. Customer shall not use any Product for any diagnostic or therapeutic purpose, or otherwise in any manner that conflicts with its labeling statement. Products sold or licensed by CST are provided for Customer as the end-user and solely for research and development uses. Any use of Product for diagnostic, prophylactic or therapeutic purposes, or any purchase of Product for resale (alone or as a component) or other commercial purpose, requires a separate license from CST. Customer shall (a) not sell, license, loan, donate or otherwise transfer or make available any Product to any third party, whether alone or in combination with other materials, or use the Products to manufacture any commercial products, (b) not copy, modify, reverse engineer, decompile, disassemble or otherwise attempt to discover the underlying structure or technology of the Products, or use the Products for the purpose of developing any products or services that would compete with CST products or services, (c) not alter or remove from the Products any trademarks, trade names, logos, patent or copyright notices or markings, (d) use the Products solely in accordance with CST Product Terms of Sale and any applicable documentation, and (e) comply with any license, terms of service or similar agreement with respect to any third party products or services used by Customer in connection with the Products.

Orders: 877-616-CELL (2355) [email protected] Support: 877-678-TECH (8324) [email protected] Web: cellsignal.com
For Research Use Only. Not for Use in Diagnostic Procedures.

Revision 1

Cell Signaling Technology Logo
Western blot analysis of extracts from Jurkat cells, untreated or nocadazole-treated (1 µg/ml for 12 hours prior to lysis), using Phospho-Threonine-Proline Mouse mAb (P-Thr-Pro-101). Proteins were separated by 2D electrophoresis prior to blotting.
Western Blotting Image 1: Phospho-Threonine-Proline Mouse Monoclonal Antibody (P-Thr-Pro-101)
Western blot analysis of extracts from COS cells, untreated or serum and okadaic acid-treated, using Phospho-Threonine-Proline Mouse mAb (P-Thr-Pro-101) (left). Right panel shows total protein staining.
Western Blotting Image 2: Phospho-Threonine-Proline Mouse Monoclonal Antibody (P-Thr-Pro-101)
Immunohistochemical analysis of paraffin-embedded human transitional epithelial carcinoma of the bladder, using Phospho-Threonine-Proline Mouse mAb (P-Thr-Pro-101).
Immunohistochemistry Image 1: Phospho-Threonine-Proline Mouse Monoclonal Antibody (P-Thr-Pro-101)
Orders: 877-616-CELL (2355) [email protected] Support: 877-678-TECH (8324) [email protected] Web: cellsignal.com
For Research Use Only. Not for Use in Diagnostic Procedures.

Revision 1

Cell Signaling Technology Logo
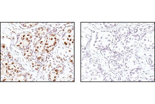
Immunohistochemical analysis of paraffin-embedded human breast carcinoma control (left) or lambda phosphatase-treated (right), using Phospho-Threonine-Prolin Mouse mAb (P-Thr-Pro-101).
Immunohistochemistry Image 2: Phospho-Threonine-Proline Mouse Monoclonal Antibody (P-Thr-Pro-101)
Immunohistochemical analysis of paraffin-embedded human colon carcinoma, using Phospho-Threonine-Proline Mouse mAb (P-Thr-Pro-101).
Immunohistochemistry Image 3: Phospho-Threonine-Proline Mouse Monoclonal Antibody (P-Thr-Pro-101)
Immunohistochemical analysis of paraffin-embedded human breast carcinoma, showing staining of proteins containing phospho-threonine-proline motifs, using Phospho-Threonine-Proline Mouse mAb (P-Thr-Pro-101).
Immunohistochemistry Image 4: Phospho-Threonine-Proline Mouse Monoclonal Antibody (P-Thr-Pro-101)
Orders: 877-616-CELL (2355) [email protected] Support: 877-678-TECH (8324) [email protected] Web: cellsignal.com
For Research Use Only. Not for Use in Diagnostic Procedures.

Revision 1

Cell Signaling Technology Logo
Phospho-Threonine-Proline Mouse mAb (P-Thr-Pro-101) ELISAs: Signal-to-noise ratio of phospho- versus nonphospho-peptides. (T* denotes phosphorylated threonine.)
E Image 1: Phospho-Threonine-Proline Mouse Monoclonal Antibody (P-Thr-Pro-101)
Orders: 877-616-CELL (2355) [email protected] Support: 877-678-TECH (8324) [email protected] Web: cellsignal.com
For Research Use Only. Not for Use in Diagnostic Procedures.