Revision 1

#94080

Store at -20C

CST Logo
Orders:

877-616-CELL (2355)

[email protected]

Support:

877-678-TECH (8324)

3 Trask Lane | Danvers | Massachusetts | 01923 | USA

For Research Use Only. Not for Use in Diagnostic Procedures.

Applications:
W, IP

Reactivity:
H M R Mk

Sensitivity:
Endogenous

MW (kDa):
73, 75, 115, 120

Source/Isotype:
Rabbit

UniProt ID:
#Q02447

Entrez-Gene Id:
6670

Product Usage Information

Application Dilution
Western Blotting 1:1000
Immunoprecipitation 1:50

Storage

Supplied in 10 mM sodium HEPES (pH 7.5), 150 mM NaCl, 100 µg/ml BSA and 50% glycerol. Store at –20°C. Do not aliquot the antibody.

Specificity/Sensitivity

SP3 Antibody recognizes endogenous levels of total SP3 protein. The antigenic peptide sequence is 100% conserved among the 6 isoforms of SP3 reported in Uniprot. This includes splice variants and isoforms generated by alternative translation initiation.

Source / Purification

Polyclonal antibodies are produced by immunizing animals with a synthetic peptide corresponding to residues surrounding Asp760 of human SP3 protein. Antibodies are purified by peptide affinity chromatography.

Background

SP3 (Specificity protein 3, Transcription factor Sp3) is a member of the Specificity Protein/Krüppel-like Factor (SP/KLF) family of DNA-binding transcription factors, which play a variety of important roles in cell function and homeostasis (1). There are nine known SP transcription factors (SP1-9); each contains a C2H2 zinc finger domain responsible for high affinity binding to GC-rich motifs that enables the activation or repression of target gene expression (2). SP1-4 contain a functional transactivation (TAD) in their amino terminus, which is notably absent from SP5-9. Despite nearly ubiquitous expression of SP transcription factors across most normal cells and tissues, research studies have identified links between expression levels and disease. It was shown, for example, that combined overexpression of v-Myc and SP1/SP3 led to oncogenic transformation of fibroblasts (3). Increased levels of SP transcription factors have likewise been reported in various tumor cells (2), while SP1, SP3, and SP4 were all reported to bind the VEGFR promoter and increase VEGF receptor expression in pancreatic cancer cells (4). The latter observation suggests that SP transcription factors may promote tumor cell growth through multiple mechanisms, including enhancing tumor angiogenesis, providing a potential avenue to therapeutic intervention.

Species Reactivity

Species reactivity is determined by testing in at least one approved application (e.g., western blot).

Western Blot Buffer

IMPORTANT: For western blots, incubate membrane with diluted primary antibody in 5% w/v BSA, 1X TBS, 0.1% Tween® 20 at 4°C with gentle shaking, overnight.

Applications Key

W: Western Blotting IP: Immunoprecipitation

Cross-Reactivity Key

H: Human M: Mouse R: Rat Mk: Monkey

Trademarks and Patents

Cell Signaling Technology is a trademark of Cell Signaling Technology, Inc.

All other trademarks are the property of their respective owners. Visit cellsignal.com/trademarks for more information.

Limited Uses

Except as otherwise expressly agreed in a writing signed by a legally authorized representative of CST, the following terms apply to Products provided by CST, its affiliates or its distributors. Any Customer's terms and conditions that are in addition to, or different from, those contained herein, unless separately accepted in writing by a legally authorized representative of CST, are rejected and are of no force or effect.

Products are labeled with For Research Use Only or a similar labeling statement and have not been approved, cleared, or licensed by the FDA or other regulatory foreign or domestic entity, for any purpose. Customer shall not use any Product for any diagnostic or therapeutic purpose, or otherwise in any manner that conflicts with its labeling statement. Products sold or licensed by CST are provided for Customer as the end-user and solely for research and development uses. Any use of Product for diagnostic, prophylactic or therapeutic purposes, or any purchase of Product for resale (alone or as a component) or other commercial purpose, requires a separate license from CST. Customer shall (a) not sell, license, loan, donate or otherwise transfer or make available any Product to any third party, whether alone or in combination with other materials, or use the Products to manufacture any commercial products, (b) not copy, modify, reverse engineer, decompile, disassemble or otherwise attempt to discover the underlying structure or technology of the Products, or use the Products for the purpose of developing any products or services that would compete with CST products or services, (c) not alter or remove from the Products any trademarks, trade names, logos, patent or copyright notices or markings, (d) use the Products solely in accordance with CST Product Terms of Sale and any applicable documentation, and (e) comply with any license, terms of service or similar agreement with respect to any third party products or services used by Customer in connection with the Products.

Orders: 877-616-CELL (2355) [email protected] Support: 877-678-TECH (8324) [email protected] Web: cellsignal.com
For Research Use Only. Not for Use in Diagnostic Procedures.

Revision 1

Cell Signaling Technology Logo
Western blot analysis of extracts from 293T cells, mock transfected (lane 1) or transiently transfected with plasmid encoding Myc/DDK-tagged SP3 protein (lane 2), using SP3 Antibody (upper), Myc-Tag (71D10) Rabbit mAb #2278 (middle), and GAPDH (D16H11) XP® Rabbit mAb #5174 (lower).
Western Blotting Image 1: SP3 Antibody
Western blot analysis of extracts from various cell lines using SP3 Antibody (upper) and GAPDH (D16H11) XP® Rabbit mAb #5174 (lower).
Western Blotting Image 2: SP3 Antibody
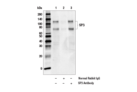
Immunoprecipitation of SP3 protein from HEL 92.1.7 cell extracts. Lane 1 is 10% input, lane 2 is Normal Rabbit IgG #2729, and lane 3 is SP3 Antibody. Western blot analysis was performed using SP3 Antibody. Mouse Anti-rabbit IgG (Conformation Specific) (L27A9) mAb (HRP Conjugate) #5127 was used as a secondary antibody.
Immunoprecipitation Image 1: SP3 Antibody
Orders: 877-616-CELL (2355) [email protected] Support: 877-678-TECH (8324) [email protected] Web: cellsignal.com
For Research Use Only. Not for Use in Diagnostic Procedures.