Revision 5

#95109

Store at -20C

CST Logo
Orders:

877-616-CELL (2355)

[email protected]

Support:

877-678-TECH (8324)

3 Trask Lane | Danvers | Massachusetts | 01923 | USA

For Research Use Only. Not for Use in Diagnostic Procedures.

Applications:
W, IP, IHC-P, IF-IC

Reactivity:
H

Sensitivity:
Endogenous

MW (kDa):
52

Source/Isotype:
Rabbit IgG

UniProt ID:
#Q99541

Entrez-Gene Id:
123

Product Usage Information

Application Dilution
Western Blotting 1:1000
Immunoprecipitation 1:50
Immunohistochemistry (Paraffin) 1:50 - 1:200
Immunofluorescence (Immunocytochemistry) 1:100 - 1:400

Storage

Supplied in 10 mM sodium HEPES (pH 7.5), 150 mM NaCl, 100 µg/mL BSA, 50% glycerol, and less than 0.02% sodium azide. Store at –20°C. Do not aliquot the antibody.

For a carrier free (BSA and azide free) version of this product see product #79979.

Specificity/Sensitivity

Perilipin-2 (E6G6M) Rabbit Monoclonal Antibody recognizes endogenous levels of total perilipin-2 protein. This antibody does not cross-react with perilipin-1 protein. Non-specific staining was observed in brain by immunohistochemistry.

Source / Purification

Monoclonal antibody is produced by immunizing animals with a synthetic peptide corresponding to residues near the carboxy terminus of human perilipin-2 protein.

Background

Eukaryotic cells store lipids in lipid droplets. These intracellular lipid storage structures are covered by members of the perilipin family of lipid droplet coat proteins. Perilipins establish an interface between stored lipids and the cytosol, and coordinate lipid storage and utilization (1-3). Mice deficient in perilipin-2 have decreased levels of triglycerides in the liver and are protected from fatty liver disease. In addition, these mice show increased autophagy in the liver. In contrast, overexpression of perilipin-2 protects lipid droplets from autophagy (4).

Species Reactivity

Species reactivity is determined by testing in at least one approved application (e.g., western blot).

Western Blot Buffer

IMPORTANT: For western blots, incubate membrane with diluted primary antibody in 5% w/v nonfat dry milk, 1X TBS, 0.1% Tween® 20 at 4°C with gentle shaking, overnight.

Applications Key

W: Western Blotting IP: Immunoprecipitation IHC-P: Immunohistochemistry (Paraffin) IF-IC: Immunofluorescence (Immunocytochemistry)

Cross-Reactivity Key

H: Human

Trademarks and Patents

Cell Signaling Technology is a trademark of Cell Signaling Technology, Inc.

All other trademarks are the property of their respective owners. Visit cellsignal.com/trademarks for more information.

Limited Uses

Except as otherwise expressly agreed in a writing signed by a legally authorized representative of CST, the following terms apply to Products provided by CST, its affiliates or its distributors. Any Customer's terms and conditions that are in addition to, or different from, those contained herein, unless separately accepted in writing by a legally authorized representative of CST, are rejected and are of no force or effect.

Products are labeled with For Research Use Only or a similar labeling statement and have not been approved, cleared, or licensed by the FDA or other regulatory foreign or domestic entity, for any purpose. Customer shall not use any Product for any diagnostic or therapeutic purpose, or otherwise in any manner that conflicts with its labeling statement. Products sold or licensed by CST are provided for Customer as the end-user and solely for research and development uses. Any use of Product for diagnostic, prophylactic or therapeutic purposes, or any purchase of Product for resale (alone or as a component) or other commercial purpose, requires a separate license from CST. Customer shall (a) not sell, license, loan, donate or otherwise transfer or make available any Product to any third party, whether alone or in combination with other materials, or use the Products to manufacture any commercial products, (b) not copy, modify, reverse engineer, decompile, disassemble or otherwise attempt to discover the underlying structure or technology of the Products, or use the Products for the purpose of developing any products or services that would compete with CST products or services, (c) not alter or remove from the Products any trademarks, trade names, logos, patent or copyright notices or markings, (d) use the Products solely in accordance with CST Product Terms of Sale and any applicable documentation, and (e) comply with any license, terms of service or similar agreement with respect to any third party products or services used by Customer in connection with the Products.

Orders: 877-616-CELL (2355) [email protected] Support: 877-678-TECH (8324) [email protected] Web: cellsignal.com
For Research Use Only. Not for Use in Diagnostic Procedures.

Revision 5

Cell Signaling Technology Logo
Western blot analysis of extracts from HuH-7, Hep G2, and A-172 cells using Perilipin-2 (E6G6M) Rabbit mAb (upper) or GAPDH (D16H11) XP® Rabbit mAb #5174 (lower). Negative expression of perilipin-2 protein in A-172 cells is consistent with the predicted expression pattern.
Western Blotting Image 1: Perilipin-2 (E6G6M) Rabbit Monoclonal Antibody
Immunoprecipitation of perilipin-2 protein from HuH-7 cell extracts. Lane 1 is 10% input, lane 2 is Rabbit (DA1E) mAb IgG XP® Isotype Control #3900, and lane 3 is Perilipin-2 (E6G6M) Rabbit mAb. Western blot analysis was performed using Perilipin-2 (E6G6M) Rabbit mAb. Mouse Anti-Rabbit IgG (Light-Chain Specific) (D4W3E) mAb (HRP Conjugate) #93702 was used as a secondary antibody.
Immunoprecipitation Image 1: Perilipin-2 (E6G6M) Rabbit Monoclonal Antibody
Immunohistochemical analysis of paraffin-embedded human squamous cell lung carcinoma using Perilipin-2 (E6G6M) Rabbit mAb.
Immunohistochemistry Image 1: Perilipin-2 (E6G6M) Rabbit Monoclonal Antibody
Orders: 877-616-CELL (2355) [email protected] Support: 877-678-TECH (8324) [email protected] Web: cellsignal.com
For Research Use Only. Not for Use in Diagnostic Procedures.

Revision 5

Cell Signaling Technology Logo
Immunohistochemical analysis of paraffin-embedded human squamous cell lung carcinoma using Perilipin-2 (E6G6M) Rabbit mAb.
Immunohistochemistry Image 2: Perilipin-2 (E6G6M) Rabbit Monoclonal Antibody
Immunohistochemical analysis of paraffin-embedded human large cell neuroendocrine carcinoma using Perilipin-2 (E6G6M) Rabbit mAb.
Immunohistochemistry Image 3: Perilipin-2 (E6G6M) Rabbit Monoclonal Antibody
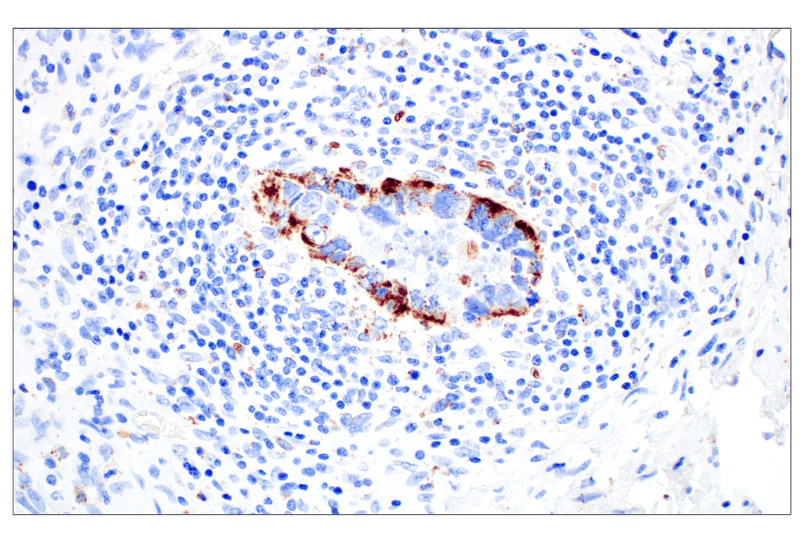
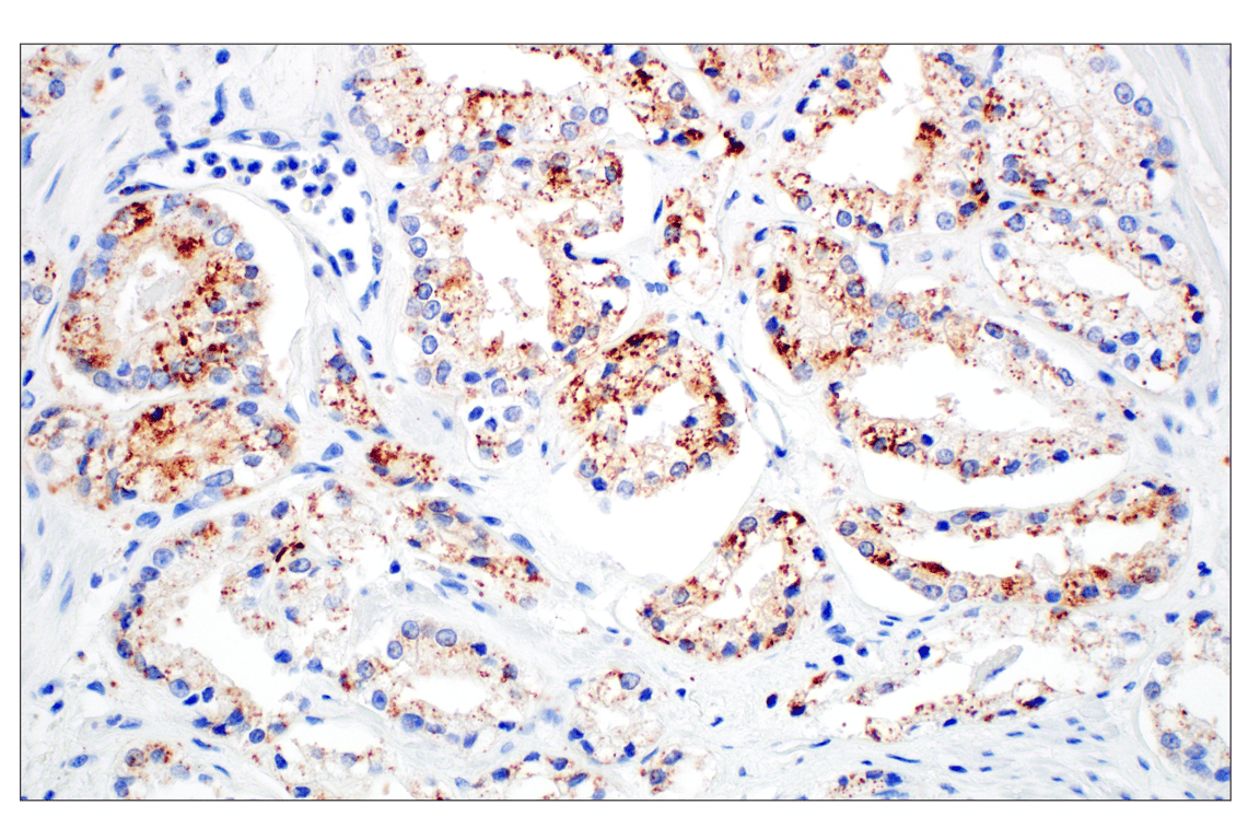
Immunohistochemical analysis of paraffin-embedded human renal cell carcinoma using Perilipin-2 (E6G6M) Rabbit mAb.
Immunohistochemistry Image 4: Perilipin-2 (E6G6M) Rabbit Monoclonal Antibody
Orders: 877-616-CELL (2355) [email protected] Support: 877-678-TECH (8324) [email protected] Web: cellsignal.com
For Research Use Only. Not for Use in Diagnostic Procedures.

Revision 5

Cell Signaling Technology Logo
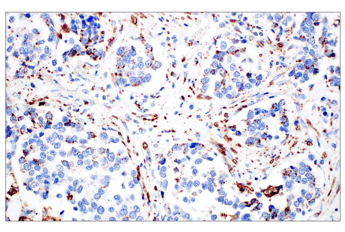
Immunohistochemical analysis of paraffin-embedded human colon adenocarcinoma using Perilipin-2 (E6G6M) Rabbit mAb.
Immunohistochemistry Image 5: Perilipin-2 (E6G6M) Rabbit Monoclonal Antibody
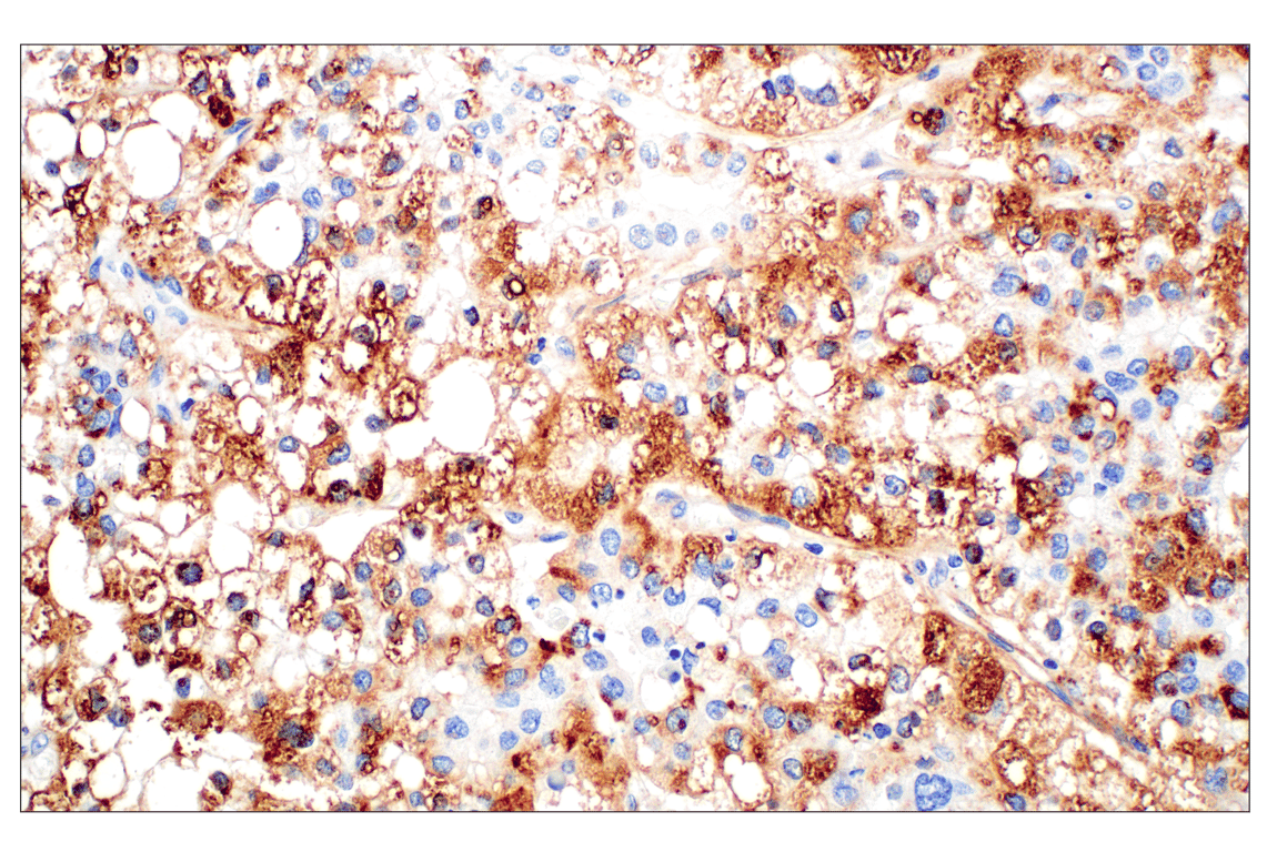
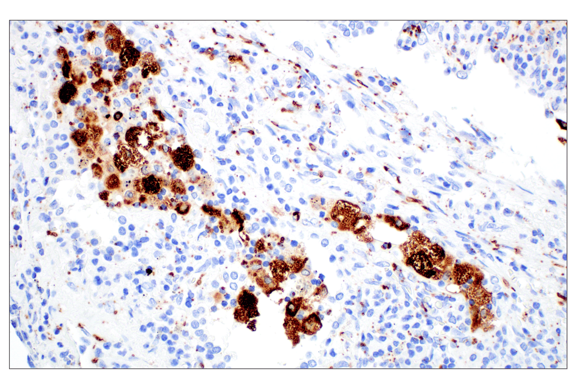
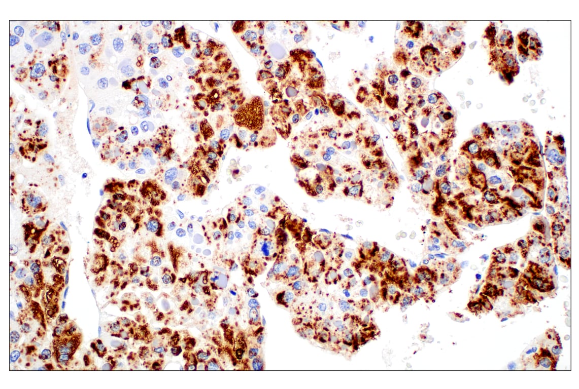
Immunohistochemical analysis of paraffin-embedded human hepatocellular carcinoma using Perilipin-2 (E6G6M) Rabbit mAb.
Immunohistochemistry Image 6: Perilipin-2 (E6G6M) Rabbit Monoclonal Antibody
Immunohistochemical analysis of paraffin-embedded human hepatocellular carcinoma using Perilipin-2 (E6G6M) Rabbit mAb.
Immunohistochemistry Image 7: Perilipin-2 (E6G6M) Rabbit Monoclonal Antibody
Orders: 877-616-CELL (2355) [email protected] Support: 877-678-TECH (8324) [email protected] Web: cellsignal.com
For Research Use Only. Not for Use in Diagnostic Procedures.

Revision 5

Cell Signaling Technology Logo
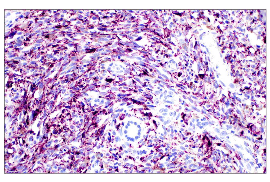
Immunohistochemical analysis of paraffin-embedded human melanoma using Perilipin-2 (E6G6M) Rabbit mAb, SignalStain® Boost IHC Detection Reagent (HRP, Rabbit) #8114, and SignalStain® Vivid Purple Peroxidase Substrate Kit #96632.
Immunohistochemistry Image 8: Perilipin-2 (E6G6M) Rabbit Monoclonal Antibody
Immunohistochemical analysis of paraffin-embedded human colon adenocarcinoma using Perilipin-2 (E6G6M) Rabbit mAb.
Immunohistochemistry Image 9: Perilipin-2 (E6G6M) Rabbit Monoclonal Antibody
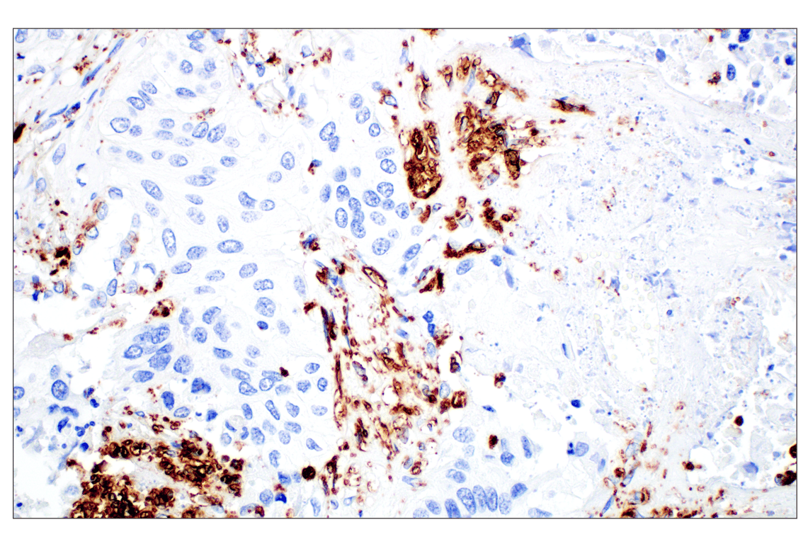
Immunohistochemical analysis of paraffin-embedded human prostate adenocarcinoma using Perilipin-2 (E6G6M) Rabbit mAb.
Immunohistochemistry Image 10: Perilipin-2 (E6G6M) Rabbit Monoclonal Antibody
Orders: 877-616-CELL (2355) [email protected] Support: 877-678-TECH (8324) [email protected] Web: cellsignal.com
For Research Use Only. Not for Use in Diagnostic Procedures.

Revision 5

Cell Signaling Technology Logo
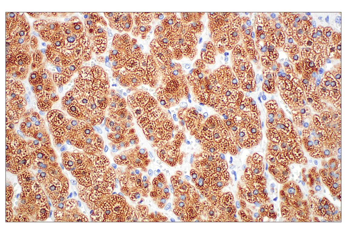
Immunohistochemical analysis of paraffin-embedded normal human adrenal gland using Perilipin-2 (E6G6M) Rabbit mAb.
Immunohistochemistry Image 11: Perilipin-2 (E6G6M) Rabbit Monoclonal Antibody
Immunohistochemical analysis of paraffin-embedded normal human skeletal muscle using Perilipin-2 (E6G6M) Rabbit mAb.
Immunohistochemistry Image 12: Perilipin-2 (E6G6M) Rabbit Monoclonal Antibody
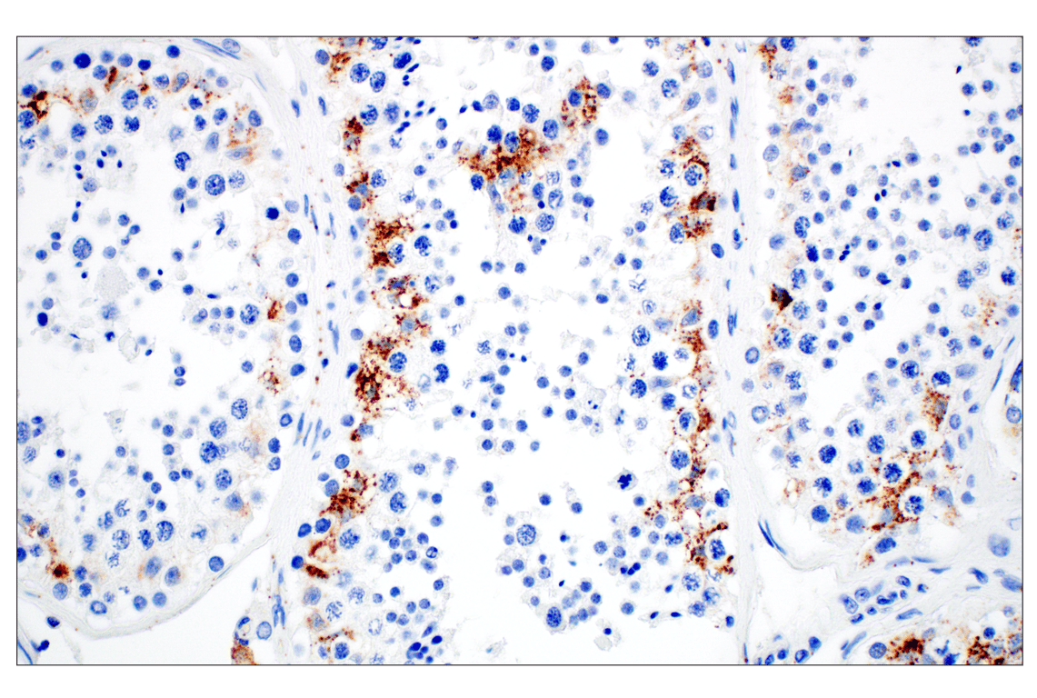
Immunohistochemical analysis of paraffin-embedded normal human testis using Perilipin-2 (E6G6M) Rabbit mAb.
Immunohistochemistry Image 13: Perilipin-2 (E6G6M) Rabbit Monoclonal Antibody
Orders: 877-616-CELL (2355) [email protected] Support: 877-678-TECH (8324) [email protected] Web: cellsignal.com
For Research Use Only. Not for Use in Diagnostic Procedures.

Revision 5

Cell Signaling Technology Logo
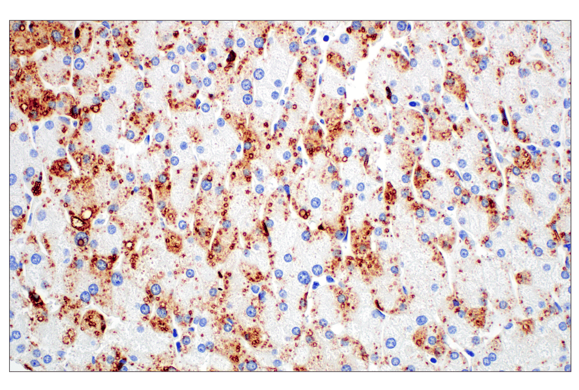
Immunohistochemical analysis of paraffin-embedded normal human liver using Perilipin-2 (E6G6M) Rabbit mAb.
Immunohistochemistry Image 14: Perilipin-2 (E6G6M) Rabbit Monoclonal Antibody
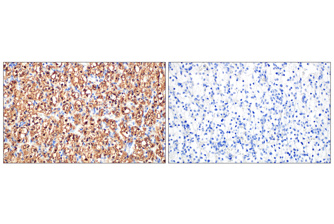
Immunohistochemical analysis of paraffin-embedded human renal cell carcinoma using Perilipin-2 (E6G6M) Rabbit mAb (left) compared to concentration-matched Rabbit (DA1E) mAb IgG XP® Isotype Control #3900 (right).
Immunohistochemistry Image 15: Perilipin-2 (E6G6M) Rabbit Monoclonal Antibody
Immunohistochemical analysis of paraffin-embedded Hep G2 cell pellet (left, positive) or A-172 cell pellet (right, negative) using Perilipin-2 (E6G6M) Rabbit mAb.
Immunohistochemistry Image 16: Perilipin-2 (E6G6M) Rabbit Monoclonal Antibody
Orders: 877-616-CELL (2355) [email protected] Support: 877-678-TECH (8324) [email protected] Web: cellsignal.com
For Research Use Only. Not for Use in Diagnostic Procedures.

Revision 5

Cell Signaling Technology Logo
Confocal immunofluorescent analysis of HuH-7 cells (left, positive) and A-172 cells (right, negative) using Perilipin-2 (E6G6M) Rabbit mAb (green), DyLight™ 650 Phalloidin #12956 (red), and DAPI #4083 (blue).
Immunofluorescence Image 1: Perilipin-2 (E6G6M) Rabbit Monoclonal Antibody
Orders: 877-616-CELL (2355) [email protected] Support: 877-678-TECH (8324) [email protected] Web: cellsignal.com
For Research Use Only. Not for Use in Diagnostic Procedures.