Revision 7

#96215

Store at -20C

CST Logo
Orders:

877-616-CELL (2355)

[email protected]

Support:

877-678-TECH (8324)

3 Trask Lane | Danvers | Massachusetts | 01923 | USA

For Research Use Only. Not for Use in Diagnostic Procedures.

Applications:
W, IP, IHC-P

Reactivity:
All

Sensitivity:
Endogenous

Source/Isotype:
Mouse IgG2b

Product Usage Information

Application Dilution
Western Blotting 1:1000
Immunoprecipitation 1:100
Immunohistochemistry (Paraffin) 1:1600 - 1:6400

Storage

Supplied in 10 mM sodium HEPES (pH 7.5), 150 mM NaCl, 100 µg/ml BSA, 50% glycerol and less than 0.02% sodium azide. Store at –20°C. Do not aliquot the antibody. This product is stable for 36 months when stored at -20C.

Specificity/Sensitivity

Phospho-Tyrosine (4G10) Mouse Monoclonal Antibody recognizes a broad range of tyrosine-phosphorylated proteins and peptides. This antibody does not cross-react with proteins or peptides containing phospho-Ser or phospho-Thr residues.

Source / Purification

Monoclonal antibody is produced by immunizing animals with phosphotyramine-KLH.

Background

Tyrosine phosphorylation plays a key role in cellular signaling (1). Research studies have shown that in cancer, unregulated tyrosine kinase activity can drive malignancy and tumor formation by generating inappropriate proliferation and survival signals (2). Antibodies specific for phospho-tyrosine (3,4) have been invaluable reagents in these studies. The phospho-tyrosine monoclonal antibodies developed by Cell Signaling Technology are exceptionally sensitive tools for studying tyrosine phosphorylation and monitoring tyrosine kinase activity in high throughput drug discovery.

Species Reactivity

Species reactivity is determined by testing in at least one approved application (e.g., western blot).

Western Blot Buffer

IMPORTANT: For western blots, incubate membrane with diluted primary antibody in 5% w/v nonfat dry milk, 1X TBS, 0.1% Tween® 20 at 4°C with gentle shaking, overnight.

Applications Key

W: Western Blotting IP: Immunoprecipitation IHC-P: Immunohistochemistry (Paraffin)

Cross-Reactivity Key

All: All Species Expected

Trademarks and Patents

Cell Signaling Technology is a trademark of Cell Signaling Technology, Inc.

All other trademarks are the property of their respective owners. Visit cellsignal.com/trademarks for more information.

Limited Uses

Except as otherwise expressly agreed in a writing signed by a legally authorized representative of CST, the following terms apply to Products provided by CST, its affiliates or its distributors. Any Customer's terms and conditions that are in addition to, or different from, those contained herein, unless separately accepted in writing by a legally authorized representative of CST, are rejected and are of no force or effect.

Products are labeled with For Research Use Only or a similar labeling statement and have not been approved, cleared, or licensed by the FDA or other regulatory foreign or domestic entity, for any purpose. Customer shall not use any Product for any diagnostic or therapeutic purpose, or otherwise in any manner that conflicts with its labeling statement. Products sold or licensed by CST are provided for Customer as the end-user and solely for research and development uses. Any use of Product for diagnostic, prophylactic or therapeutic purposes, or any purchase of Product for resale (alone or as a component) or other commercial purpose, requires a separate license from CST. Customer shall (a) not sell, license, loan, donate or otherwise transfer or make available any Product to any third party, whether alone or in combination with other materials, or use the Products to manufacture any commercial products, (b) not copy, modify, reverse engineer, decompile, disassemble or otherwise attempt to discover the underlying structure or technology of the Products, or use the Products for the purpose of developing any products or services that would compete with CST products or services, (c) not alter or remove from the Products any trademarks, trade names, logos, patent or copyright notices or markings, (d) use the Products solely in accordance with CST Product Terms of Sale and any applicable documentation, and (e) comply with any license, terms of service or similar agreement with respect to any third party products or services used by Customer in connection with the Products.

Orders: 877-616-CELL (2355) [email protected] Support: 877-678-TECH (8324) [email protected] Web: cellsignal.com
For Research Use Only. Not for Use in Diagnostic Procedures.

Revision 7

Cell Signaling Technology Logo
Western blot analysis of extracts from A-431 cells, untreated (-) or treated with Human Epidermal Growth Factor (hEGF) (100 ng/ml, 5 min; +), using Phospho-Tyrosine (4G10) Mouse Monoclonal Antibody (upper) or beta-Actin (D6A8) Rabbit Monoclonal Antibody #8457 (lower).
Western Blotting Image 1: Phospho-Tyrosine (4G10) Mouse Monoclonal Antibody
Immunoprecipitation of Phospho-Tyrosine containing proteins from A431 cell extracts treated with EGF. Lane 1 is 10% input, Lane 2 is Mouse (G3A1) Monoclonal Antibody IgG1 Isotype Control #5415, and Lane 3 is Phospho-Tyrosine (4G10) Mouse Monoclonal Antibody. Western blot analysis was performed using Phospho-Tyrosine (4G10) Mouse Monoclonal Antibody. Anti-mouse IgG, HRP-linked Antibody #7076 was used as the secondary antibody.
Immunoprecipitation Image 1: Phospho-Tyrosine (4G10) Mouse Monoclonal Antibody
Immunohistochemical analysis using Phospho-Tyrosine (4G10) Mouse Monoclonal Antibody on SignalSlide™ Phospho-EGF Receptor IHC Controls #8102 (paraffin-embedded KYSE450 cell pellets, untreated (left) or EGF-treated (right)).
Immunohistochemistry Image 1: Phospho-Tyrosine (4G10) Mouse Monoclonal Antibody
Orders: 877-616-CELL (2355) [email protected] Support: 877-678-TECH (8324) [email protected] Web: cellsignal.com
For Research Use Only. Not for Use in Diagnostic Procedures.

Revision 7

Cell Signaling Technology Logo
Immunohistochemical analysis of paraffin-embedded human colon adenocarcinoma, untreated (left) or lambda phosphatase treated (right), using Phospho-Tyrosine (4G10) Mouse Monoclonal Antibody.
Immunohistochemistry Image 2: Phospho-Tyrosine (4G10) Mouse Monoclonal Antibody
Immunohistochemical analysis of paraffin-embedded NCI-H1650 xenograft using Phospho-Tyrosine (4G10) Mouse Monoclonal Antibody.
Immunohistochemistry Image 3: Phospho-Tyrosine (4G10) Mouse Monoclonal Antibody
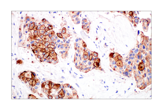
Immunohistochemical analysis of paraffin-embedded human urothelial carcinoma using Phospho-Tyrosine (4G10) Mouse Monoclonal Antibody.
Immunohistochemistry Image 4: Phospho-Tyrosine (4G10) Mouse Monoclonal Antibody
Orders: 877-616-CELL (2355) [email protected] Support: 877-678-TECH (8324) [email protected] Web: cellsignal.com
For Research Use Only. Not for Use in Diagnostic Procedures.

Revision 7

Cell Signaling Technology Logo
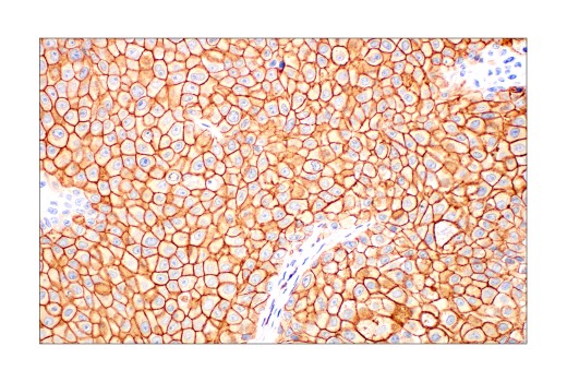
Immunohistochemical analysis of paraffin-embedded human colon adenocarcinoma using Phospho-Tyrosine (4G10) Mouse Monoclonal Antibody
Immunohistochemistry Image 5: Phospho-Tyrosine (4G10) Mouse Monoclonal Antibody
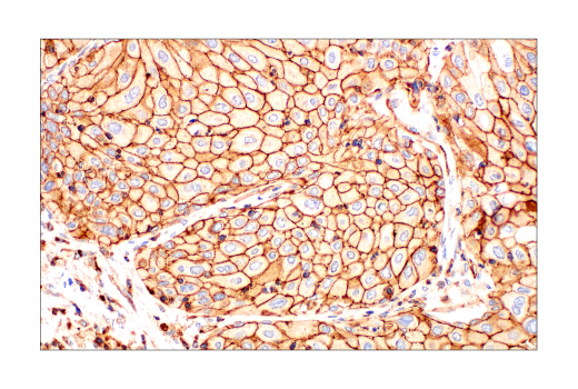
Immunohistochemical analysis of paraffin-embedded human squamous cell lung carcinoma using Phospho-Tyrosine (4G10) Mouse Monoclonal Antibody.
Immunohistochemistry Image 6: Phospho-Tyrosine (4G10) Mouse Monoclonal Antibody
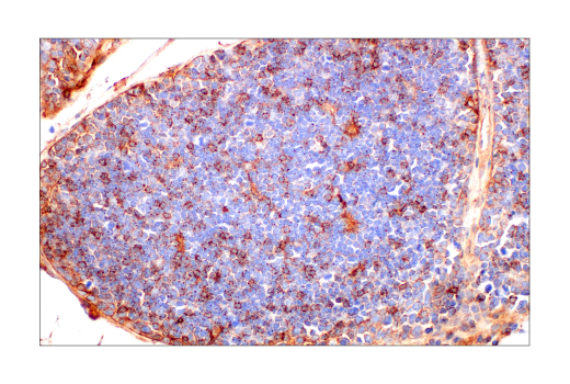
Immunohistochemical analysis of paraffin-embedded normal human thymus using Phospho-Tyrosine (4G10) Mouse Monoclonal Antibody.
Immunohistochemistry Image 7: Phospho-Tyrosine (4G10) Mouse Monoclonal Antibody
Orders: 877-616-CELL (2355) [email protected] Support: 877-678-TECH (8324) [email protected] Web: cellsignal.com
For Research Use Only. Not for Use in Diagnostic Procedures.

Revision 7

Cell Signaling Technology Logo
Immunohistochemical analysis of paraffin-embedded normal human thyroid using Phospho-Tyrosine (4G10) Mouse Monoclonal Antibody.
Immunohistochemistry Image 8: Phospho-Tyrosine (4G10) Mouse Monoclonal Antibody
Orders: 877-616-CELL (2355) [email protected] Support: 877-678-TECH (8324) [email protected] Web: cellsignal.com
For Research Use Only. Not for Use in Diagnostic Procedures.