Revision 3

#97361

Store at -20C

CST Logo
Orders:

877-616-CELL (2355)

[email protected]

Support:

877-678-TECH (8324)

3 Trask Lane | Danvers | Massachusetts | 01923 | USA

For Research Use Only. Not for Use in Diagnostic Procedures.

Applications:
W, IP, IHC-P, IF-IC, FC-FP

Reactivity:
H

Sensitivity:
Endogenous

MW (kDa):
88

Source/Isotype:
Rabbit IgG

UniProt ID:
#P50416

Entrez-Gene Id:
1374

Product Usage Information

Application Dilution
Western Blotting 1:1000
Immunoprecipitation 1:50
Immunohistochemistry (Paraffin) 1:100 - 1:400
Immunofluorescence (Immunocytochemistry) 1:400 - 1:1600
Flow Cytometry (Fixed/Permeabilized) 1:200 - 1:800

Storage

Supplied in 10 mM sodium HEPES (pH 7.5), 150 mM NaCl, 100 µg/ml BSA, 50% glycerol and less than 0.02% sodium azide. Store at –20°C. Do not aliquot the antibody.

Specificity/Sensitivity

CPT1A (E3Y1V) Rabbit Monoclonal Antibody recognizes endogenous levels of total CPT1A protein. This antibody does not cross-react with CPT1B, CPT1C, or CPT2.

Source / Purification

Monoclonal antibody is produced by immunizing animals with a synthetic peptide corresponding to residues surrounding Leu696 of human CPT1A protein.

Background

Carnitine palmitoyltransferase-1 (CPT1), localized to the mitochondrial outer membrane, translocates fatty acids across the mitochondrial membranes and catalyzes the rate-limiting step of β-oxidation (1,2). There are three isoforms of this enzyme: CPT1A (liver), CPT1B (muscle), and CPT1C (brain) (1,2). Deficiency of CPT1A results in an autosomal recessive mitochondrial fatty acid oxidation disorder (3). Studies have shown that physiological high blood glucose and insulin levels inhibit CPT1B activity in human muscle and therefore divert long-chain fatty acids toward storage in human muscle as triglycerides (4). Furthermore, mice deficient in CPT1C show less food intake and reduced body weight (5). These findings suggest that CPT1 may play a role in metabolic syndromes.

Species Reactivity

Species reactivity is determined by testing in at least one approved application (e.g., western blot).

Western Blot Buffer

IMPORTANT: For western blots, incubate membrane with diluted primary antibody in 5% w/v BSA, 1X TBS, 0.1% Tween® 20 at 4°C with gentle shaking, overnight.

Applications Key

W: Western Blotting IP: Immunoprecipitation IHC-P: Immunohistochemistry (Paraffin) IF-IC: Immunofluorescence (Immunocytochemistry) FC-FP: Flow Cytometry (Fixed/Permeabilized)

Cross-Reactivity Key

H: Human

Trademarks and Patents

Cell Signaling Technology is a trademark of Cell Signaling Technology, Inc.

Alexa Fluor is a registered trademark of Life Technologies Corporation.

All other trademarks are the property of their respective owners. Visit cellsignal.com/trademarks for more information.

Limited Uses

Except as otherwise expressly agreed in a writing signed by a legally authorized representative of CST, the following terms apply to Products provided by CST, its affiliates or its distributors. Any Customer's terms and conditions that are in addition to, or different from, those contained herein, unless separately accepted in writing by a legally authorized representative of CST, are rejected and are of no force or effect.

Products are labeled with For Research Use Only or a similar labeling statement and have not been approved, cleared, or licensed by the FDA or other regulatory foreign or domestic entity, for any purpose. Customer shall not use any Product for any diagnostic or therapeutic purpose, or otherwise in any manner that conflicts with its labeling statement. Products sold or licensed by CST are provided for Customer as the end-user and solely for research and development uses. Any use of Product for diagnostic, prophylactic or therapeutic purposes, or any purchase of Product for resale (alone or as a component) or other commercial purpose, requires a separate license from CST. Customer shall (a) not sell, license, loan, donate or otherwise transfer or make available any Product to any third party, whether alone or in combination with other materials, or use the Products to manufacture any commercial products, (b) not copy, modify, reverse engineer, decompile, disassemble or otherwise attempt to discover the underlying structure or technology of the Products, or use the Products for the purpose of developing any products or services that would compete with CST products or services, (c) not alter or remove from the Products any trademarks, trade names, logos, patent or copyright notices or markings, (d) use the Products solely in accordance with CST Product Terms of Sale and any applicable documentation, and (e) comply with any license, terms of service or similar agreement with respect to any third party products or services used by Customer in connection with the Products.

Orders: 877-616-CELL (2355) [email protected] Support: 877-678-TECH (8324) [email protected] Web: cellsignal.com
For Research Use Only. Not for Use in Diagnostic Procedures.

Revision 3

Cell Signaling Technology Logo
Western blot analysis of extracts from various cell lines using CPT1A (E3Y1V) Rabbit mAb (upper) and GAPDH (D16H11) XP® Rabbit mAb #5174 (lower). The absence of detected CPT1A expression in SK-MEL-5 cell extracts is consistent with RNAseq expression profiling data, confirming specificity of the antibody for CPT1A.
Western Blotting Image 1: CPT1A (E3Y1V) Rabbit Monoclonal Antibody
Immunoprecipitation of CPT1A protein from HeLa cell extracts. Lane 1 is 10% input, lane 2 is Rabbit (DA1E) mAb IgG XP® Isotype Control #3900, and lane 3 is CPT1A (E3Y1V) Rabbit mAb. Western blot analysis was performed using CPT1A (E3Y1V) Rabbit mAb. Anti-rabbit IgG, HRP-linked Antibody #7074 was used as the secondary antibody.
Immunoprecipitation Image 1: CPT1A (E3Y1V) Rabbit Monoclonal Antibody
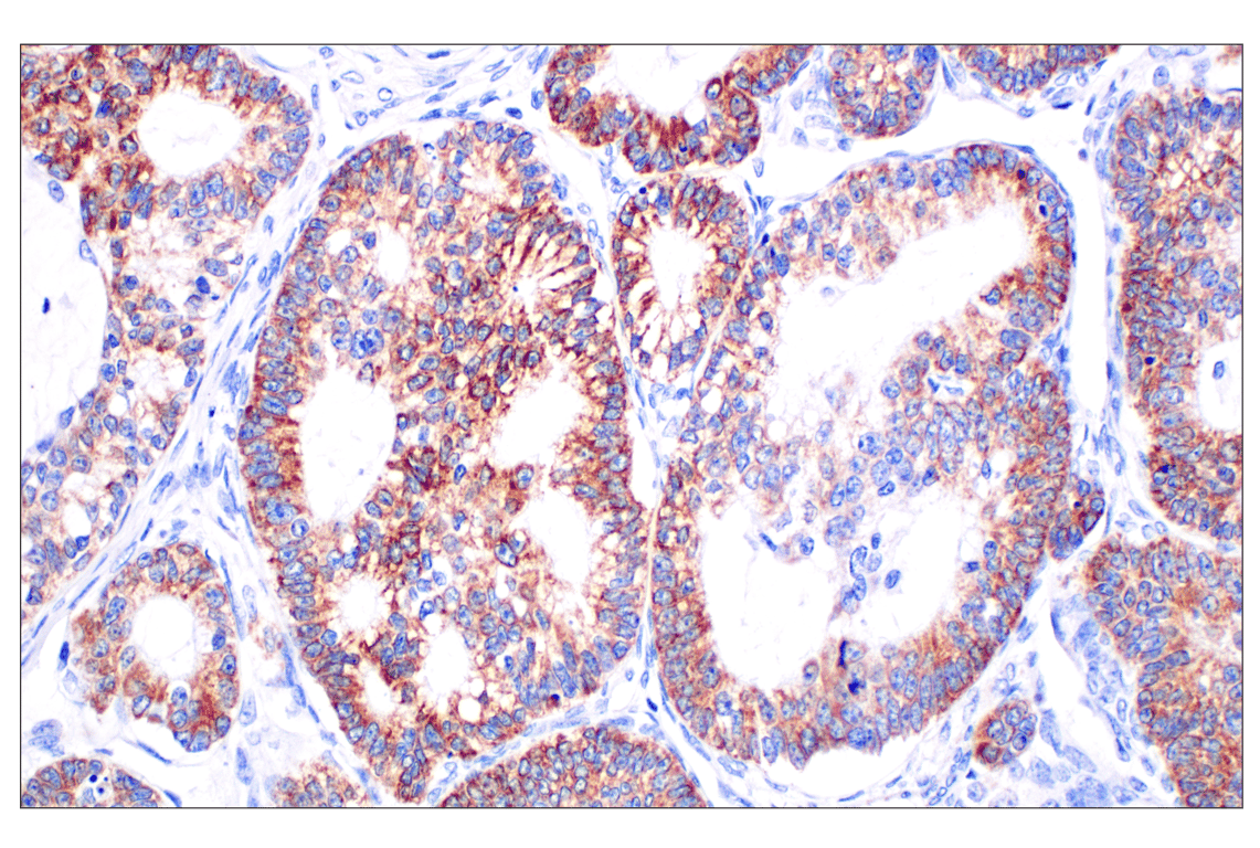
Immunohistochemical analysis of paraffin-embedded human colon adenocarcinoma using CPT1A (E3Y1V) Rabbit mAb.
Immunohistochemistry Image 1: CPT1A (E3Y1V) Rabbit Monoclonal Antibody
Orders: 877-616-CELL (2355) [email protected] Support: 877-678-TECH (8324) [email protected] Web: cellsignal.com
For Research Use Only. Not for Use in Diagnostic Procedures.

Revision 3

Cell Signaling Technology Logo
Immunohistochemical analysis of paraffin-embedded human B-cell non-Hodgkin lymphoma using CPT1A (E3Y1V) Rabbit mAb.
Immunohistochemistry Image 2: CPT1A (E3Y1V) Rabbit Monoclonal Antibody
Immunohistochemical analysis of paraffin-embedded human ductal breast carcinoma using CPT1A (E3Y1V) Rabbit mAb.
Immunohistochemistry Image 3: CPT1A (E3Y1V) Rabbit Monoclonal Antibody
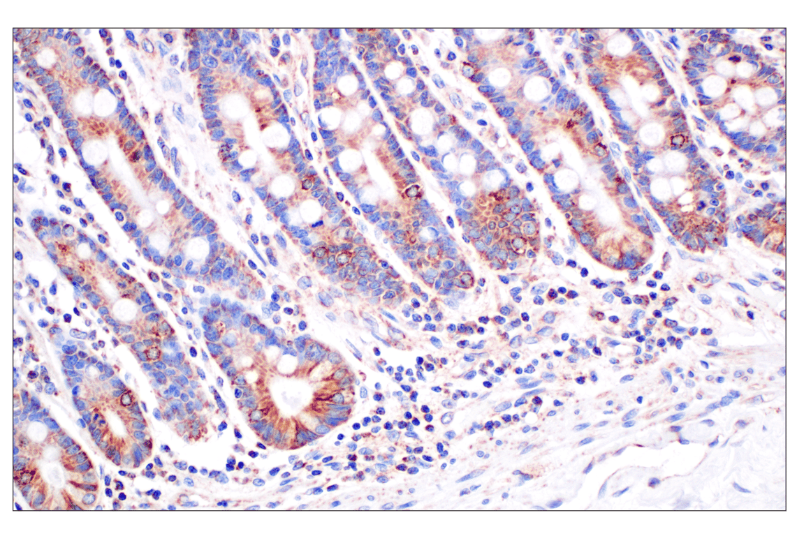
Immunohistochemical analysis of paraffin-embedded normal human small intestine using CPT1A (E3Y1V) Rabbit mAb.
Immunohistochemistry Image 4: CPT1A (E3Y1V) Rabbit Monoclonal Antibody
Orders: 877-616-CELL (2355) [email protected] Support: 877-678-TECH (8324) [email protected] Web: cellsignal.com
For Research Use Only. Not for Use in Diagnostic Procedures.

Revision 3

Cell Signaling Technology Logo
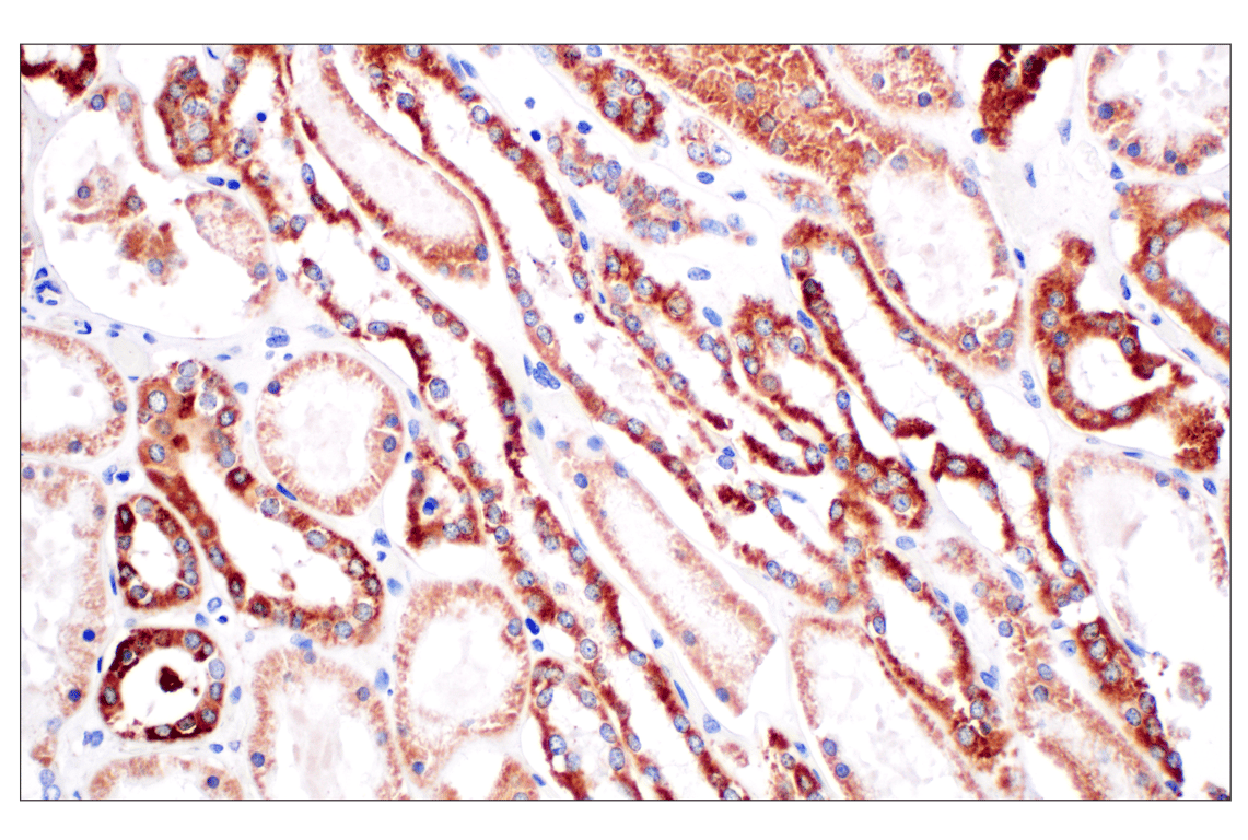
Immunohistochemical analysis of paraffin-embedded normal human kidney using CPT1A (E3Y1V) Rabbit mAb.
Immunohistochemistry Image 5: CPT1A (E3Y1V) Rabbit Monoclonal Antibody
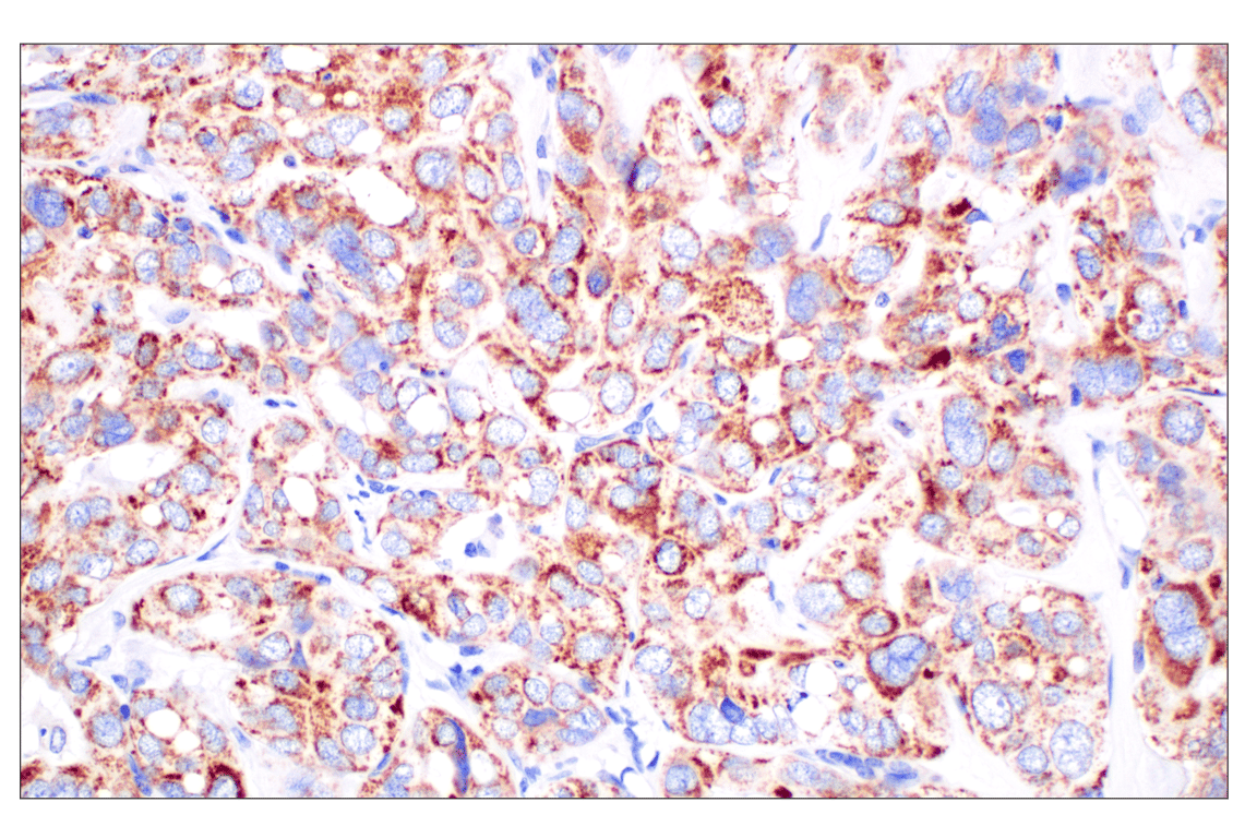
Immunohistochemical analysis of paraffin-embedded normal human stomach using CPT1A (E3Y1V) Rabbit mAb.
Immunohistochemistry Image 6: CPT1A (E3Y1V) Rabbit Monoclonal Antibody
Immunohistochemical analysis of paraffin-embedded normal human colon using CPT1A (E3Y1V) Rabbit mAb.
Immunohistochemistry Image 7: CPT1A (E3Y1V) Rabbit Monoclonal Antibody
Orders: 877-616-CELL (2355) [email protected] Support: 877-678-TECH (8324) [email protected] Web: cellsignal.com
For Research Use Only. Not for Use in Diagnostic Procedures.

Revision 3

Cell Signaling Technology Logo
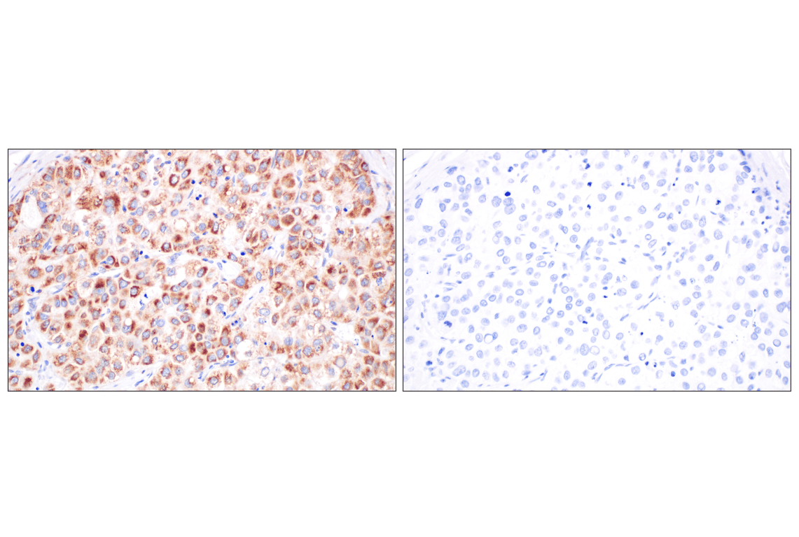
Immunohistochemical analysis of paraffin-embedded human hepatocellular carcinoma using CPT1A (E3Y1V) Rabbit mAb (left) compared to concentration-matched Rabbit (DA1E) mAb IgG XP® Isotype Control #3900 (right).
Immunohistochemistry Image 8: CPT1A (E3Y1V) Rabbit Monoclonal Antibody
Immunohistochemical analysis of paraffin-embedded Colo 205 cell pellet (left, positive) or SK-MEL-5 cell pellet (right, negative) using CPT1A (E3Y1V) Rabbit mAb.
Immunohistochemistry Image 9: CPT1A (E3Y1V) Rabbit Monoclonal Antibody
Confocal immunofluorescent analysis of HeLa cells (left, positive) or SK-MEL-5 cells (right, negative) using CPT1A (E3Y1V) Rabbit mAb (green). Actin filaments were labeled with DyLight™ 650 Phalloidin #12956 (red). Samples were mounted in ProLong® Gold Antifade Reagent with DAPI #8961 (blue).
Immunofluorescence Image 1: CPT1A (E3Y1V) Rabbit Monoclonal Antibody
Orders: 877-616-CELL (2355) [email protected] Support: 877-678-TECH (8324) [email protected] Web: cellsignal.com
For Research Use Only. Not for Use in Diagnostic Procedures.

Revision 3

Cell Signaling Technology Logo
Flow cytometric analysis of SK-MEL-5 cells (blue, negative) and HeLa cells (green, positive) using CPT1A (E3Y1V) Rabbit mAb (solid lines) or a concentration-matched Rabbit (DA1E) mAb IgG XP® Isotype Control #3900 (dashed lines). Anti-rabbit IgG (H+L), F(ab')2 Fragment (Alexa Fluor® 488 Conjugate) #4412 was used as a secondary antibody.
Flow Cytometry Image 1: CPT1A (E3Y1V) Rabbit Monoclonal Antibody
Orders: 877-616-CELL (2355) [email protected] Support: 877-678-TECH (8324) [email protected] Web: cellsignal.com
For Research Use Only. Not for Use in Diagnostic Procedures.