Revision 3

#97835

Store at -20C

CST Logo
Orders:

877-616-CELL (2355)

[email protected]

Support:

877-678-TECH (8324)

3 Trask Lane | Danvers | Massachusetts | 01923 | USA

For Research Use Only. Not for Use in Diagnostic Procedures.

Applications:
W, W-S, IP, IHC-P, IF-F, IF-IC

Reactivity:
H M R

Sensitivity:
Endogenous

MW (kDa):
28

Source/Isotype:
Rabbit IgG

UniProt ID:
#P53007

Entrez-Gene Id:
6576

Product Usage Information

Application Dilution
Western Blotting 1:1000
Simple Western™ 1:50 - 1:250
Immunoprecipitation 1:200
Immunohistochemistry (Paraffin) 1:300 - 1:1200
Immunofluorescence (Frozen) 1:50
Immunofluorescence (Immunocytochemistry) 1:50 - 1:200

Storage

Supplied in 10 mM sodium HEPES (pH 7.5), 150 mM NaCl, 100 µg/mL BSA, 50% glycerol, and less than 0.02% sodium azide. Store at –20°C. Do not aliquot the antibody.

Specificity/Sensitivity

SLC25A1 (E7B2B) Rabbit Monoclonal Antibody recognizes endogenous levels of total SLC25A1 protein. Species cross-reactivity for IHC-P is human only.

Source / Purification

Monoclonal antibody is produced by immunizing animals with recombinant protein specific to the mitochondrial matrix-facing domains of human SLC25A1 protein. The antigen has been further characterized as corresponding to residues surrounding Arg173 of human SLC25A1 protein.

Background

Members of the solute carrier 25 (SLC25) family transport molecules over the mitochondrial inner membrane (1,2). Mutations in these carriers often result in rare but severe pathologies (3). SLC25A1 (tricarboxylate transport protein, CIC, or citrate transport protein) transports citrate from the inner mitochondrial matrix to the cytosol in exchange for malate. This function makes it a key source of cytoplasmic acetyl-CoA and downstream lipid biosynthesis (4). Mutations in SLC25A1 result in D-2- and L-2-hydroxyglutaric aciduria, causing lowered levels of citrate and isocitrate in urine, with elevated urinary levels of other TCA-cycle intermediates (3). Cancer cells have elevated mitochondrial membrane potential and require SLC25A1 to maintain and promote tumorigenesis (5,6). SLC25A1 is a transcriptional target of p53, and inhibiting SLC25A1 activity can blunt mutant p53-driven tumor growth (6). Inhibitors of SLC25A1 have been found to slow the growth of pancreatic and non-small cell lung cancers (7,8).

Species Reactivity

Species reactivity is determined by testing in at least one approved application (e.g., western blot).

Western Blot Buffer

IMPORTANT: For western blots, incubate membrane with diluted primary antibody in 5% w/v nonfat dry milk, 1X TBS, 0.1% Tween® 20 at 4°C with gentle shaking, overnight.

Applications Key

W: Western Blotting W-S: Simple Western™ IP: Immunoprecipitation IHC-P: Immunohistochemistry (Paraffin) IF-F: Immunofluorescence (Frozen) IF-IC: Immunofluorescence (Immunocytochemistry)

Cross-Reactivity Key

H: Human M: Mouse R: Rat

Trademarks and Patents

Cell Signaling Technology is a trademark of Cell Signaling Technology, Inc.

All other trademarks are the property of their respective owners. Visit cellsignal.com/trademarks for more information.

Limited Uses

Except as otherwise expressly agreed in a writing signed by a legally authorized representative of CST, the following terms apply to Products provided by CST, its affiliates or its distributors. Any Customer's terms and conditions that are in addition to, or different from, those contained herein, unless separately accepted in writing by a legally authorized representative of CST, are rejected and are of no force or effect.

Products are labeled with For Research Use Only or a similar labeling statement and have not been approved, cleared, or licensed by the FDA or other regulatory foreign or domestic entity, for any purpose. Customer shall not use any Product for any diagnostic or therapeutic purpose, or otherwise in any manner that conflicts with its labeling statement. Products sold or licensed by CST are provided for Customer as the end-user and solely for research and development uses. Any use of Product for diagnostic, prophylactic or therapeutic purposes, or any purchase of Product for resale (alone or as a component) or other commercial purpose, requires a separate license from CST. Customer shall (a) not sell, license, loan, donate or otherwise transfer or make available any Product to any third party, whether alone or in combination with other materials, or use the Products to manufacture any commercial products, (b) not copy, modify, reverse engineer, decompile, disassemble or otherwise attempt to discover the underlying structure or technology of the Products, or use the Products for the purpose of developing any products or services that would compete with CST products or services, (c) not alter or remove from the Products any trademarks, trade names, logos, patent or copyright notices or markings, (d) use the Products solely in accordance with CST Product Terms of Sale and any applicable documentation, and (e) comply with any license, terms of service or similar agreement with respect to any third party products or services used by Customer in connection with the Products.

Orders: 877-616-CELL (2355) [email protected] Support: 877-678-TECH (8324) [email protected] Web: cellsignal.com
For Research Use Only. Not for Use in Diagnostic Procedures.

Revision 3

Cell Signaling Technology Logo
Western blot analysis of extracts from various cell lines using SLC25A1 (E7B2B) Rabbit mAb (upper) or GAPDH (D16H11) XP® Rabbit mAb #5174 (lower). Low expression of SLC25A1 protein in A549 and RPMI 8226 cells is consistent with the predicted expression pattern.
Western Blotting Image 1: SLC25A1 (E7B2B) Rabbit Monoclonal Antibody
Western blot analysis of extracts from 293T cells, mock transfected (-) or transfected with a construct expressing Myc/DDK-tagged full-length human SLC25A1 (hSLC25A1; +), using SLC25A1 (E7B2B) Rabbit mAb (upper), Myc-Tag (71D10) Rabbit mAb #2278 (middle), or GAPDH (D16H11) XP® Rabbit mAb #5174 (lower).
Western Blotting Image 2: SLC25A1 (E7B2B) Rabbit Monoclonal Antibody
Western blot analysis of extracts from rodent liver and brown fat tissue using SLC25A1 (E7B2B) Rabbit mAb (upper) or GAPDH (D16H11) XP® Rabbit mAb #5174 (lower).
Western Blotting Image 3: SLC25A1 (E7B2B) Rabbit Monoclonal Antibody
Orders: 877-616-CELL (2355) [email protected] Support: 877-678-TECH (8324) [email protected] Web: cellsignal.com
For Research Use Only. Not for Use in Diagnostic Procedures.

Revision 3

Cell Signaling Technology Logo
Simple Western™ analysis of lysates (1.0 mg/mL) from K-562 cells using SLC25A1 (E7B2B) Rabbit mAb #97835. The virtual lane view (left) shows the target band (as indicated) at 1:50 and 1:250 dilutions of primary antibody. The corresponding electropherogram view (right) plots chemiluminescence by molecular weight along the capillary at 1:50 (blue line) and 1:250 (green line) dilutions of primary antibody. This experiment was performed under reducing conditions on the Jess™ Simple Western instrument from ProteinSimple, a BioTechne brand, using the 2-40 kDa separation module.
Western Blotting Image 1: SLC25A1 (E7B2B) Rabbit Monoclonal Antibody
Immunoprecipitation of SLC25A1 protein from Hep G2 cell extracts. Lane 1 is 10% input, lane 2 is Rabbit (DA1E) mAb IgG XP® Isotype Control #3900, and lane 3 is SLC25A1 (E7B2B) Rabbit mAb. Western blot analysis was performed using SLC25A1 (E7B2B) Rabbit mAb. Mouse Anti-rabbit IgG (Conformation Specific) (L27A9) mAb (HRP Conjugate) #5127 was used as a secondary antibody.
Immunoprecipitation Image 1: SLC25A1 (E7B2B) Rabbit Monoclonal Antibody
Immunohistochemical analysis of paraffin-embedded human endometrioid adenocarcinoma using SLC25A1 (E7B2B) Rabbit mAb.
Immunohistochemistry Image 1: SLC25A1 (E7B2B) Rabbit Monoclonal Antibody
Orders: 877-616-CELL (2355) [email protected] Support: 877-678-TECH (8324) [email protected] Web: cellsignal.com
For Research Use Only. Not for Use in Diagnostic Procedures.

Revision 3

Cell Signaling Technology Logo
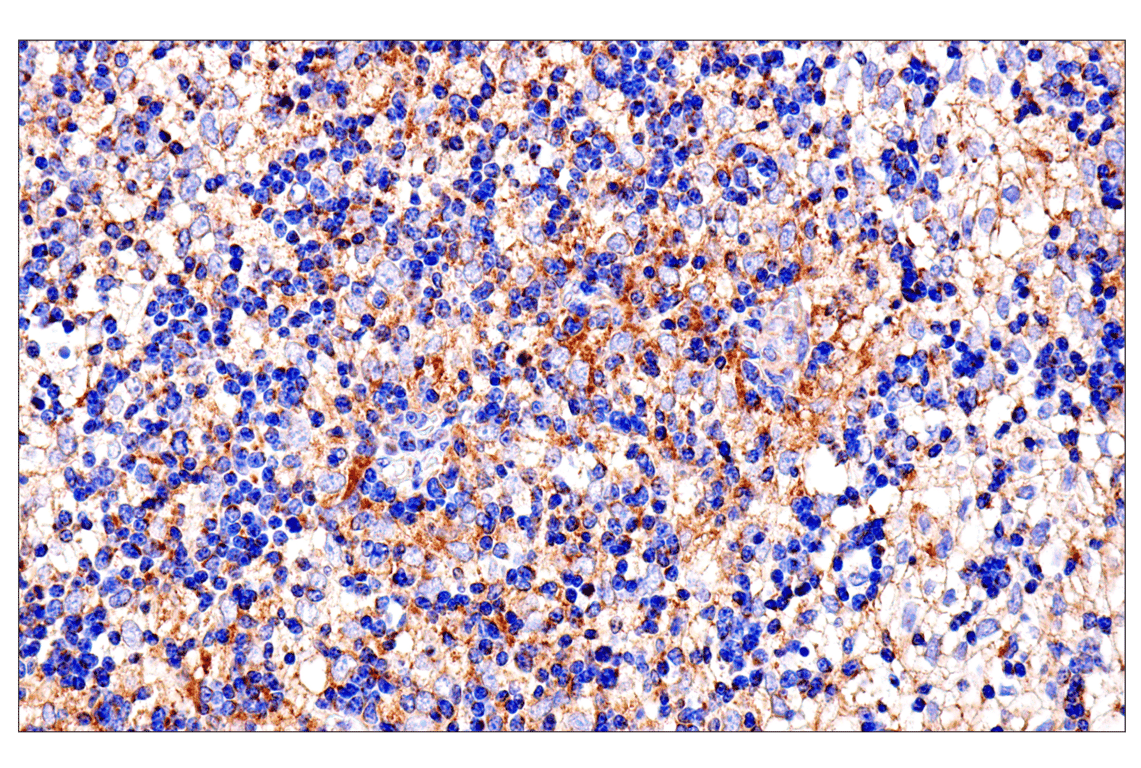
Immunohistochemical analysis of paraffin-embedded human thymoma using SLC25A1 (E7B2B) Rabbit mAb.
Immunohistochemistry Image 2: SLC25A1 (E7B2B) Rabbit Monoclonal Antibody
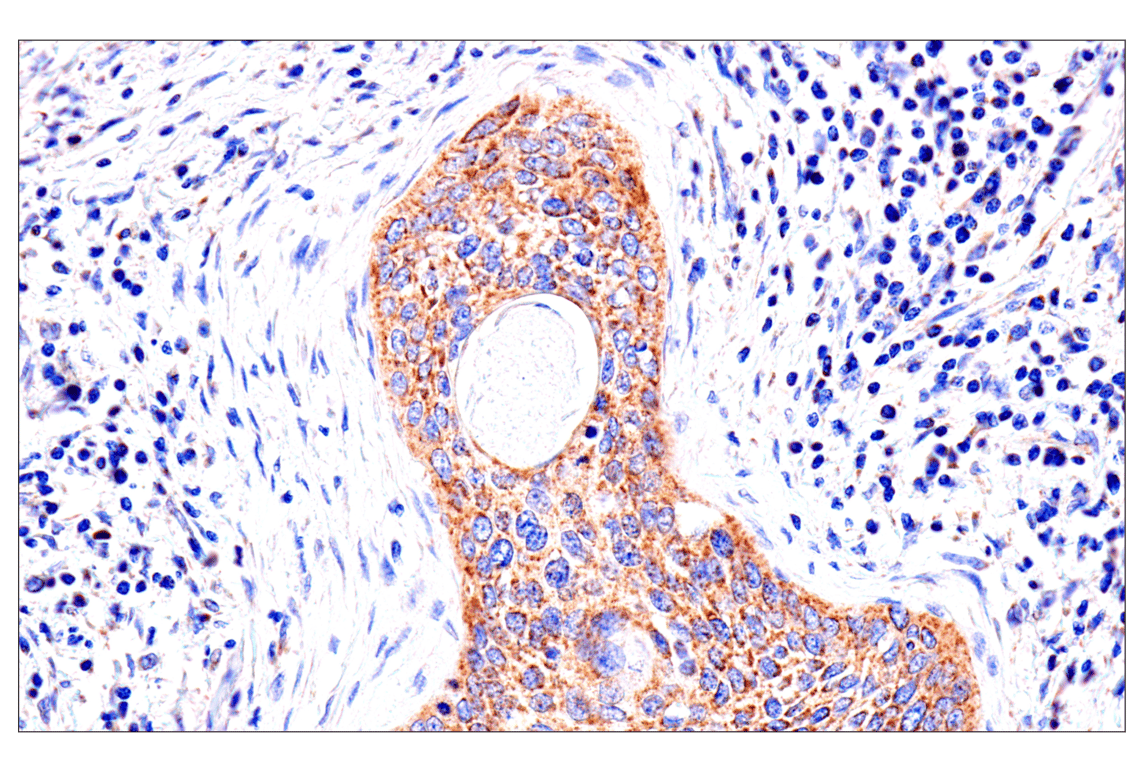
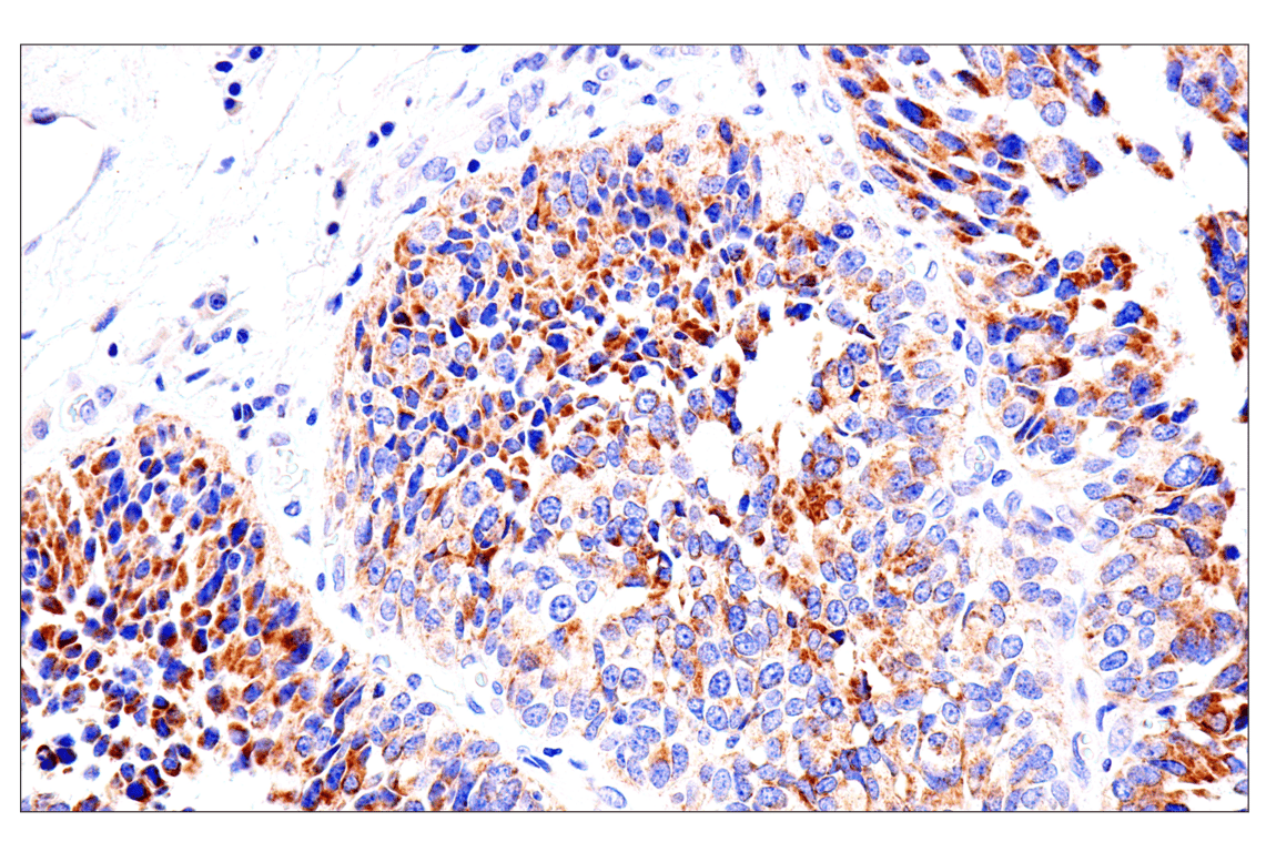
Immunohistochemical analysis of paraffin-embedded human non-small cell lung carcinoma using SLC25A1 (E7B2B) Rabbit mAb.
Immunohistochemistry Image 3: SLC25A1 (E7B2B) Rabbit Monoclonal Antibody
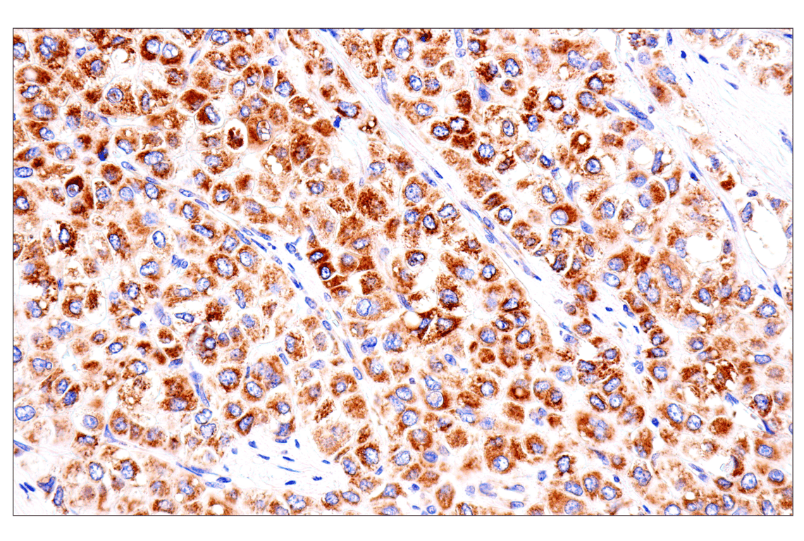
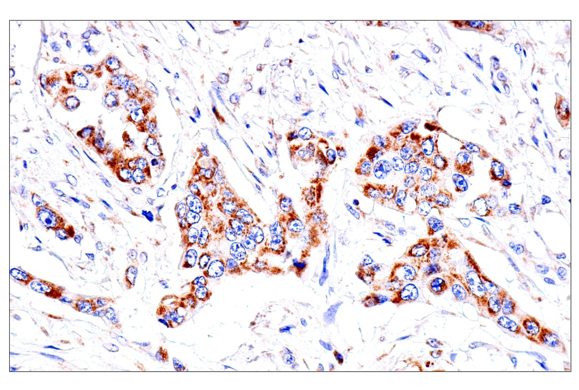
Immunohistochemical analysis of paraffin-embedded human hepatocellular carcinoma using SLC25A1 (E7B2B) Rabbit mAb.
Immunohistochemistry Image 4: SLC25A1 (E7B2B) Rabbit Monoclonal Antibody
Orders: 877-616-CELL (2355) [email protected] Support: 877-678-TECH (8324) [email protected] Web: cellsignal.com
For Research Use Only. Not for Use in Diagnostic Procedures.

Revision 3

Cell Signaling Technology Logo
Immunohistochemical analysis of paraffin-embedded human renal cell carcinoma using SLC25A1 (E7B2B) Rabbit mAb.
Immunohistochemistry Image 5: SLC25A1 (E7B2B) Rabbit Monoclonal Antibody
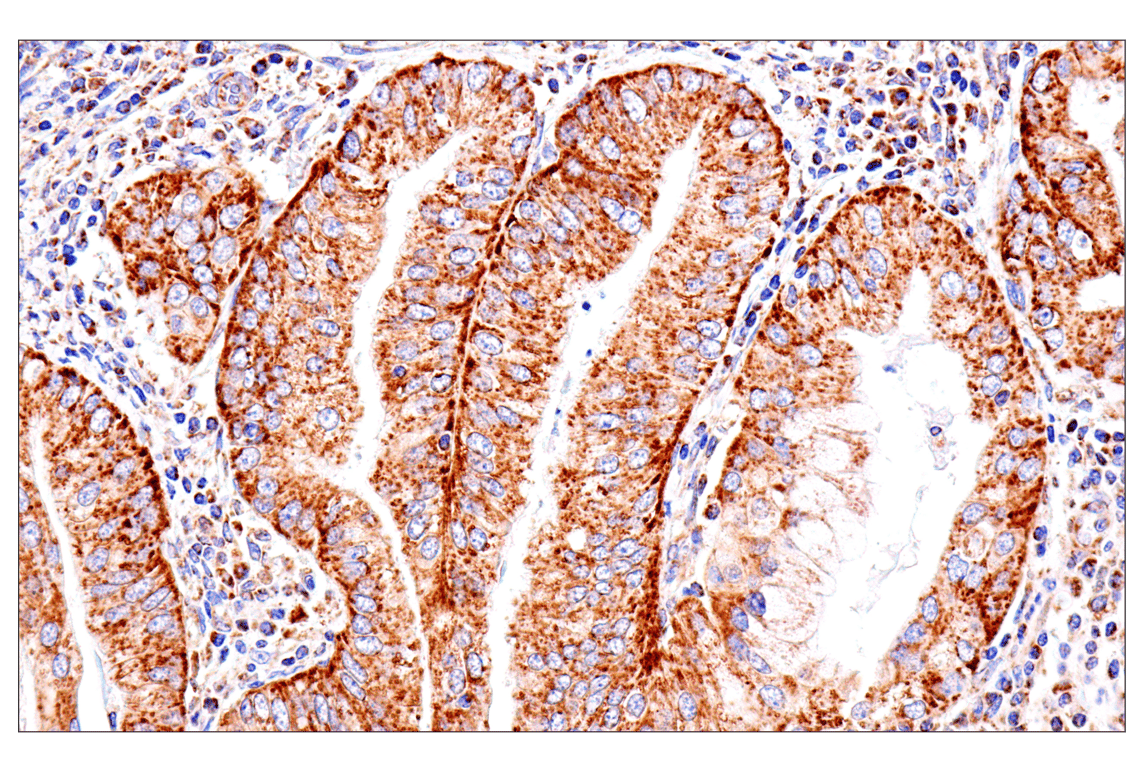
Immunohistochemical analysis of paraffin-embedded human colon carcinoma using SLC25A1 (E7B2B) Rabbit mAb.
Immunohistochemistry Image 6: SLC25A1 (E7B2B) Rabbit Monoclonal Antibody
Immunohistochemical analysis of paraffin-embedded human squamous cell carcinoma of the cervix using SLC25A1 (E7B2B) Rabbit mAb.
Immunohistochemistry Image 7: SLC25A1 (E7B2B) Rabbit Monoclonal Antibody
Orders: 877-616-CELL (2355) [email protected] Support: 877-678-TECH (8324) [email protected] Web: cellsignal.com
For Research Use Only. Not for Use in Diagnostic Procedures.

Revision 3

Cell Signaling Technology Logo
Immunohistochemical analysis of paraffin-embedded human urothelial carcinoma using SLC25A1 (E7B2B) Rabbit mAb.
Immunohistochemistry Image 8: SLC25A1 (E7B2B) Rabbit Monoclonal Antibody
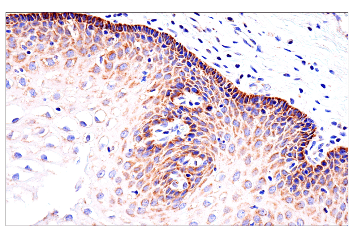
Immunohistochemical analysis of paraffin-embedded normal human esophagus using SLC25A1 (E7B2B) Rabbit mAb.
Immunohistochemistry Image 9: SLC25A1 (E7B2B) Rabbit Monoclonal Antibody
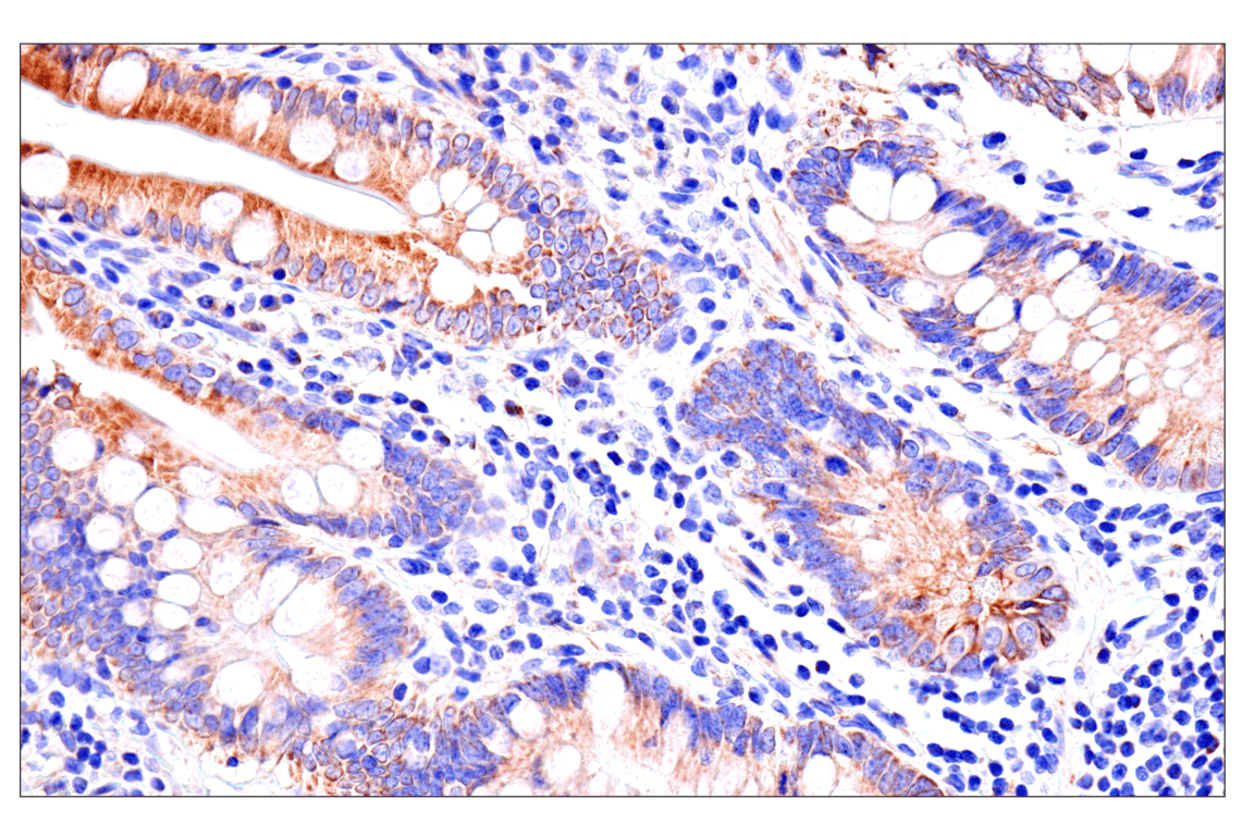
Immunohistochemical analysis of paraffin-embedded normal human small intestine using SLC25A1 (E7B2B) Rabbit mAb.
Immunohistochemistry Image 10: SLC25A1 (E7B2B) Rabbit Monoclonal Antibody
Orders: 877-616-CELL (2355) [email protected] Support: 877-678-TECH (8324) [email protected] Web: cellsignal.com
For Research Use Only. Not for Use in Diagnostic Procedures.

Revision 3

Cell Signaling Technology Logo
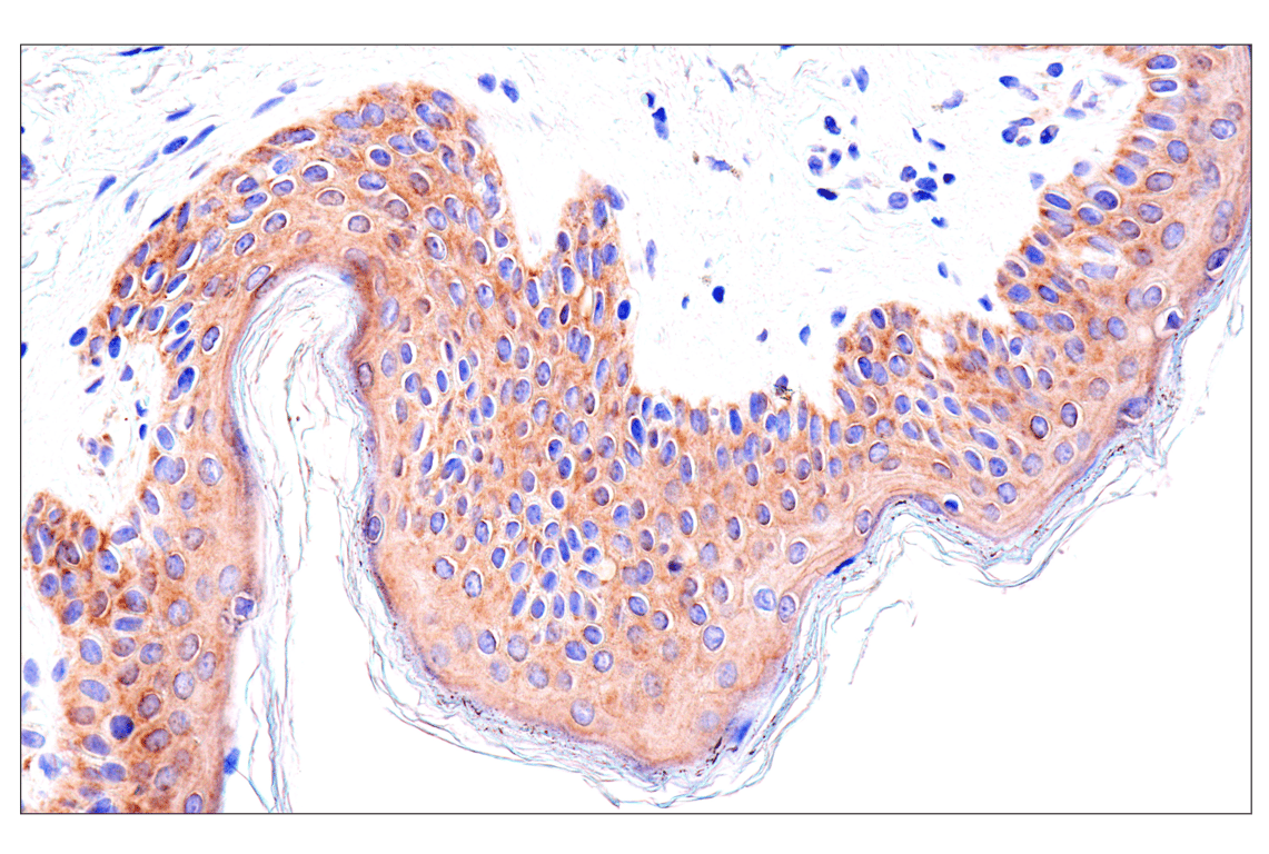
Immunohistochemical analysis of paraffin-embedded normal human skin using SLC25A1 (E7B2B) Rabbit mAb.
Immunohistochemistry Image 11: SLC25A1 (E7B2B) Rabbit Monoclonal Antibody
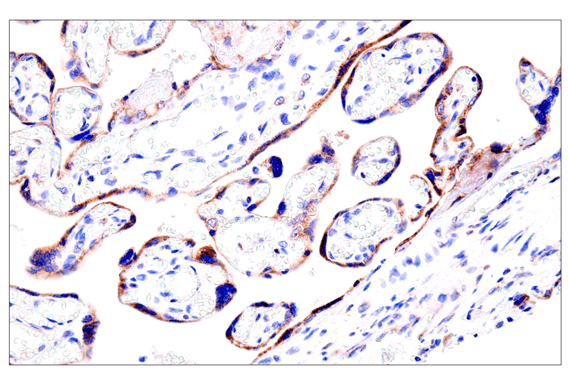
Immunohistochemical analysis of paraffin-embedded normal human placenta using SLC25A1 (E7B2B) Rabbit mAb.
Immunohistochemistry Image 12: SLC25A1 (E7B2B) Rabbit Monoclonal Antibody
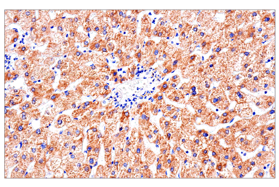
Immunohistochemical analysis of paraffin-embedded normal human liver using SLC25A1 (E7B2B) Rabbit mAb.
Immunohistochemistry Image 13: SLC25A1 (E7B2B) Rabbit Monoclonal Antibody
Orders: 877-616-CELL (2355) [email protected] Support: 877-678-TECH (8324) [email protected] Web: cellsignal.com
For Research Use Only. Not for Use in Diagnostic Procedures.

Revision 3

Cell Signaling Technology Logo
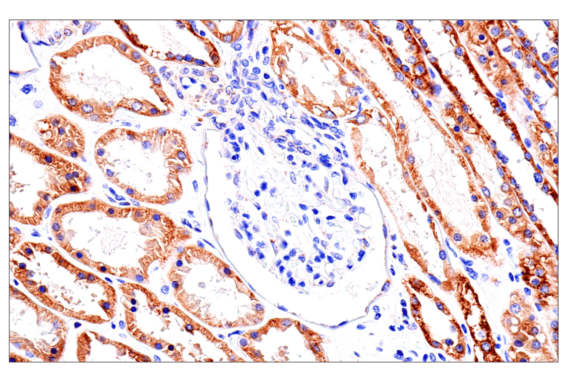
Immunohistochemical analysis of paraffin-embedded normal human kidney using SLC25A1 (E7B2B) Rabbit mAb.
Immunohistochemistry Image 14: SLC25A1 (E7B2B) Rabbit Monoclonal Antibody
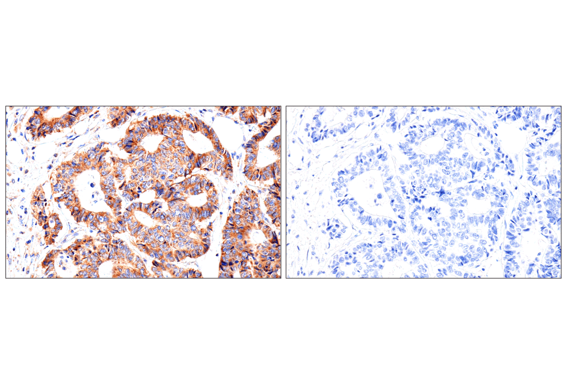
Immunohistochemical analysis of paraffin-embedded human colon carcinoma using SLC25A1 (E7B2B) Rabbit mAb (left) compared to concentration-matched Rabbit (DA1E) mAb IgG XP® Isotype Control #3900 (right).
Immunohistochemistry Image 15: SLC25A1 (E7B2B) Rabbit Monoclonal Antibody
Immunohistochemical analysis of paraffin-embedded K-562 cell pellet (left, high-expressing) or RPMI 8226 cell pellet (right, low-expressing) using SLC25A1 (E7B2B) Rabbit mAb.
Immunohistochemistry Image 16: SLC25A1 (E7B2B) Rabbit Monoclonal Antibody
Orders: 877-616-CELL (2355) [email protected] Support: 877-678-TECH (8324) [email protected] Web: cellsignal.com
For Research Use Only. Not for Use in Diagnostic Procedures.

Revision 3

Cell Signaling Technology Logo
Confocal immunofluorescent analysis of fixed frozen mouse liver, labeled with SLC25A1 (E7B2B) Rabbit mAb (left, green) and co-labeled with DyLight 554 Phalloidin #13054 (right, red) and ProLong Gold Antifade Reagent with DAPI #8961 (right, blue).
Immunofluorescence Image 1: SLC25A1 (E7B2B) Rabbit Monoclonal Antibody
Confocal immunofluorescent analysis of fixed frozen mouse brown adipose tissue, labeled with SLC25A1 (E7B2B) Rabbit mAb (left, green) and co-labeled with DyLight 554 Phalloidin #13054 (right, red) and ProLong Gold Antifade Reagent with DAPI #8961 (right, blue).
Immunofluorescence Image 2: SLC25A1 (E7B2B) Rabbit Monoclonal Antibody
Confocal immunofluorescent analysis of HCT 116 cells, mock transfected (left, high-expressing) or transfected with siRNA directed against SLC25A1 (right, low-expressing), using SLC25A1 (E7B2B) Rabbit mAb (green), DyLight 554 Phalloidin (red), and DAPI #4083 (blue).
Immunofluorescence Image 1: SLC25A1 (E7B2B) Rabbit Monoclonal Antibody
Orders: 877-616-CELL (2355) [email protected] Support: 877-678-TECH (8324) [email protected] Web: cellsignal.com
For Research Use Only. Not for Use in Diagnostic Procedures.