Revision 1

#9899

Store at -20C

CST Logo
Orders:

877-616-CELL (2355)

[email protected]

Support:

877-678-TECH (8324)

3 Trask Lane | Danvers | Massachusetts | 01923 | USA

For Research Use Only. Not for Use in Diagnostic Procedures.

Applications:
W

Reactivity:
H Mk

Sensitivity:
Endogenous

MW (kDa):
12

Source/Isotype:
Rabbit

UniProt ID:
#P61769

Entrez-Gene Id:
567

Product Usage Information

Application Dilution
Western Blotting 1:1000

Storage

Supplied in 10 mM sodium HEPES (pH 7.5), 150 mM NaCl, 100 µg/ml BSA and 50% glycerol. Store at –20°C. Do not aliquot the antibody.

Specificity/Sensitivity

β2-microglobulin Antibody recognizes endogenous levels of total β2-microglobulin (B2M) protein.

Source / Purification

Polyclonal antibodies are produced by immunizing animals with a synthetic peptide corresponding to residues surrounding Pro52 of human β2-microglobulin (B2M) protein. Antibodies are purified by protein A and peptide affinity chromatography.

Background

β2-microglobulin (B2M) is a principal component of the Major Histocompatibility Complex (MHC) class I molecule, a ternary membrane protein complex that displays fragments derived from proteolyzed cytosolic proteins on the surface of cells for recognition by the surveillance immune system (1,2). As an integral component of the MHC class I complex, β2-microglobulin plays a critically important role in immune system function (3). It has important relevance to cancer biology research; for example, research studies have shown that nearly one-third of diffuse large B cell lymphomas contain mutations that inactivate β2-microglobulin gene function, thereby allowing tumor cells to escape immune detection (4). In addition, β2-microglobulin has been identified as an amyloid preprotein with collagen-binding affinity (5); its accumulation in osteoarthritic lesions of long-term dialysis patients is reportedly a contributing factor to the condition known as amyloid osteoarthropathy (6).

Species Reactivity

Species reactivity is determined by testing in at least one approved application (e.g., western blot).

Western Blot Buffer

IMPORTANT: For western blots, incubate membrane with diluted primary antibody in 5% w/v nonfat dry milk, 1X TBS, 0.1% Tween® 20 at 4°C with gentle shaking, overnight.

Applications Key

W: Western Blotting

Cross-Reactivity Key

H: Human Mk: Monkey

Trademarks and Patents

Cell Signaling Technology is a trademark of Cell Signaling Technology, Inc.

All other trademarks are the property of their respective owners. Visit cellsignal.com/trademarks for more information.

Limited Uses

Except as otherwise expressly agreed in a writing signed by a legally authorized representative of CST, the following terms apply to Products provided by CST, its affiliates or its distributors. Any Customer's terms and conditions that are in addition to, or different from, those contained herein, unless separately accepted in writing by a legally authorized representative of CST, are rejected and are of no force or effect.

Products are labeled with For Research Use Only or a similar labeling statement and have not been approved, cleared, or licensed by the FDA or other regulatory foreign or domestic entity, for any purpose. Customer shall not use any Product for any diagnostic or therapeutic purpose, or otherwise in any manner that conflicts with its labeling statement. Products sold or licensed by CST are provided for Customer as the end-user and solely for research and development uses. Any use of Product for diagnostic, prophylactic or therapeutic purposes, or any purchase of Product for resale (alone or as a component) or other commercial purpose, requires a separate license from CST. Customer shall (a) not sell, license, loan, donate or otherwise transfer or make available any Product to any third party, whether alone or in combination with other materials, or use the Products to manufacture any commercial products, (b) not copy, modify, reverse engineer, decompile, disassemble or otherwise attempt to discover the underlying structure or technology of the Products, or use the Products for the purpose of developing any products or services that would compete with CST products or services, (c) not alter or remove from the Products any trademarks, trade names, logos, patent or copyright notices or markings, (d) use the Products solely in accordance with CST Product Terms of Sale and any applicable documentation, and (e) comply with any license, terms of service or similar agreement with respect to any third party products or services used by Customer in connection with the Products.

Orders: 877-616-CELL (2355) [email protected] Support: 877-678-TECH (8324) [email protected] Web: cellsignal.com
For Research Use Only. Not for Use in Diagnostic Procedures.

Revision 1

Cell Signaling Technology Logo
Western blot analysis of extracts from HeLa cells, transfected with 100 nM SignalSilence® Control siRNA (Unconjugated) #6568 (-), SignalSilence® β2-microglobulin siRNA I #7759 (+), or SignalSilence® β2-microglobulin siRNA II #7774 (+), using β2-microglobulin Antibody (upper) or β-Tubulin (9F3) Rabbit mAb #2128 (lower). The β2-microglobulin Antibody confirms silencing of β2-microglobulin expression, while the β-Tubulin (9F3) Rabbit mAb is used as a loading control.
Western Blotting Image 1: β2-microglobulin Antibody
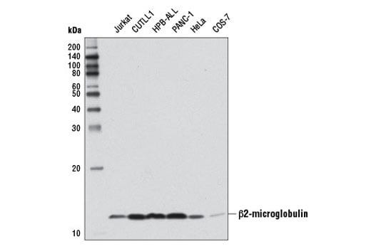
Western blot analysis of extracts from various cell lines using β2-microglobulin Antibody.
Western Blotting Image 2: β2-microglobulin Antibody
Orders: 877-616-CELL (2355) [email protected] Support: 877-678-TECH (8324) [email protected] Web: cellsignal.com
For Research Use Only. Not for Use in Diagnostic Procedures.