Revision 4

#99188

Store at -20C

CST Logo
Orders:

877-616-CELL (2355)

[email protected]

Support:

877-678-TECH (8324)

3 Trask Lane | Danvers | Massachusetts | 01923 | USA

For Research Use Only. Not for Use in Diagnostic Procedures.

Applications:
W, IP, IHC-P

Reactivity:
H M R Mk

Sensitivity:
Endogenous

MW (kDa):
90

Source/Isotype:
Rabbit IgG

UniProt ID:
#Q04726

Entrez-Gene Id:
7090

Product Usage Information

Application Dilution
Western Blotting 1:1000
Immunoprecipitation 1:100
Immunohistochemistry (Paraffin) 1:50

Storage

Supplied in 10 mM sodium HEPES (pH 7.5), 150 mM NaCl, 100 µg/mL BSA, 50% glycerol, and less than 0.02% sodium azide. Store at –20°C. Do not aliquot the antibody.

Specificity/Sensitivity

TLE3 (E4F3Y) Rabbit Monoclonal Antibody recognizes endogenous levels of total TLE3 protein.

Source / Purification

Monoclonal antibody is produced by immunizing animals with a synthetic peptide corresponding to residues surrounding Pro427 of human TLE3 protein.

Background

Transducin-like enhancer of split proteins (TLE1, TLE2, TLE3, TLE4, and TLE6) are mammalian homologs of Drosophila Groucho (1). TLEs contain several WD-repeats implicated in protein-protein interaction (2,3). TLEs are transcriptional co-repressors that bind to many transcription factors, such as LEF1, Runx1, Oct-1, hepatocyte nuclear factor 3-β as well as histone H3 (4-7). TLEs are differentially expressed during animal development and may have overlapping as well as distinct functions (8).

Species Reactivity

Species reactivity is determined by testing in at least one approved application (e.g., western blot).

Western Blot Buffer

IMPORTANT: For western blots, incubate membrane with diluted primary antibody in 5% w/v nonfat dry milk, 1X TBS, 0.1% Tween® 20 at 4°C with gentle shaking, overnight.

Applications Key

W: Western Blotting IP: Immunoprecipitation IHC-P: Immunohistochemistry (Paraffin)

Cross-Reactivity Key

H: Human M: Mouse R: Rat Mk: Monkey

Trademarks and Patents

Cell Signaling Technology is a trademark of Cell Signaling Technology, Inc.

All other trademarks are the property of their respective owners. Visit cellsignal.com/trademarks for more information.

Limited Uses

Except as otherwise expressly agreed in a writing signed by a legally authorized representative of CST, the following terms apply to Products provided by CST, its affiliates or its distributors. Any Customer's terms and conditions that are in addition to, or different from, those contained herein, unless separately accepted in writing by a legally authorized representative of CST, are rejected and are of no force or effect.

Products are labeled with For Research Use Only or a similar labeling statement and have not been approved, cleared, or licensed by the FDA or other regulatory foreign or domestic entity, for any purpose. Customer shall not use any Product for any diagnostic or therapeutic purpose, or otherwise in any manner that conflicts with its labeling statement. Products sold or licensed by CST are provided for Customer as the end-user and solely for research and development uses. Any use of Product for diagnostic, prophylactic or therapeutic purposes, or any purchase of Product for resale (alone or as a component) or other commercial purpose, requires a separate license from CST. Customer shall (a) not sell, license, loan, donate or otherwise transfer or make available any Product to any third party, whether alone or in combination with other materials, or use the Products to manufacture any commercial products, (b) not copy, modify, reverse engineer, decompile, disassemble or otherwise attempt to discover the underlying structure or technology of the Products, or use the Products for the purpose of developing any products or services that would compete with CST products or services, (c) not alter or remove from the Products any trademarks, trade names, logos, patent or copyright notices or markings, (d) use the Products solely in accordance with CST Product Terms of Sale and any applicable documentation, and (e) comply with any license, terms of service or similar agreement with respect to any third party products or services used by Customer in connection with the Products.

Orders: 877-616-CELL (2355) [email protected] Support: 877-678-TECH (8324) [email protected] Web: cellsignal.com
For Research Use Only. Not for Use in Diagnostic Procedures.

Revision 4

Cell Signaling Technology Logo
Western blot analysis of extracts from various cell lines using TLE3 (E4F3Y) Rabbit mAb (upper) or GAPDH (D16H11) XP® Rabbit mAb #5174 (lower). Negative expression of TLE3 protein in A-204 and A-172 cells is consistent with the predicted expression pattern.
Western Blotting Image 1: TLE3 (E4F3Y) Rabbit Monoclonal Antibody
Immunoprecipitation of TLE3 protein from PANC-1 cell extracts. Lane 1 is 10% input, lane 2 is Rabbit (DA1E) mAb IgG XP® Isotype Control #3900, and lane 3 is TLE3 (E4F3Y) Rabbit mAb. Western blot analysis was performed using TLE3 (E4F3Y) Rabbit mAb. Anti-rabbit IgG, HRP-linked Antibody #7074 was used as a secondary antibody.
Immunoprecipitation Image 1: TLE3 (E4F3Y) Rabbit Monoclonal Antibody
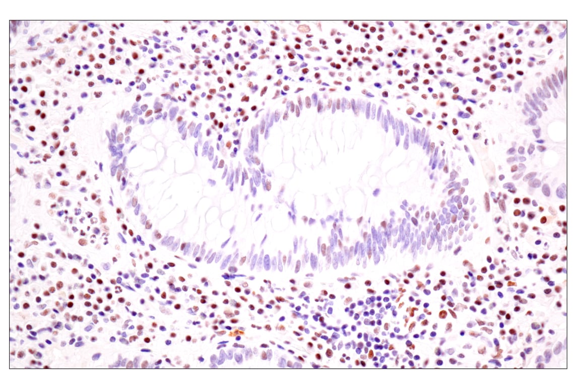
Immunohistochemical analysis of paraffin-embedded human colon adenocarcinoma using TLE3 (E4F3Y) Rabbit mAb.
Immunohistochemistry Image 1: TLE3 (E4F3Y) Rabbit Monoclonal Antibody
Orders: 877-616-CELL (2355) [email protected] Support: 877-678-TECH (8324) [email protected] Web: cellsignal.com
For Research Use Only. Not for Use in Diagnostic Procedures.

Revision 4

Cell Signaling Technology Logo
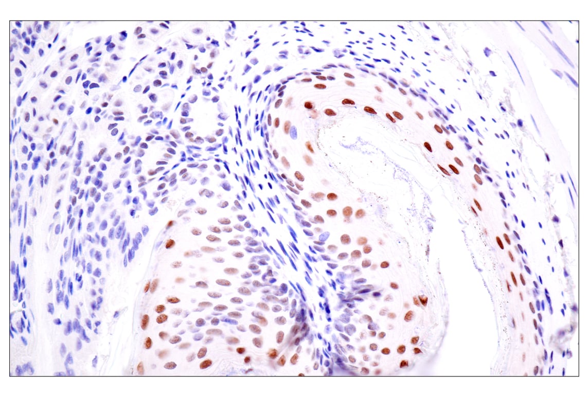
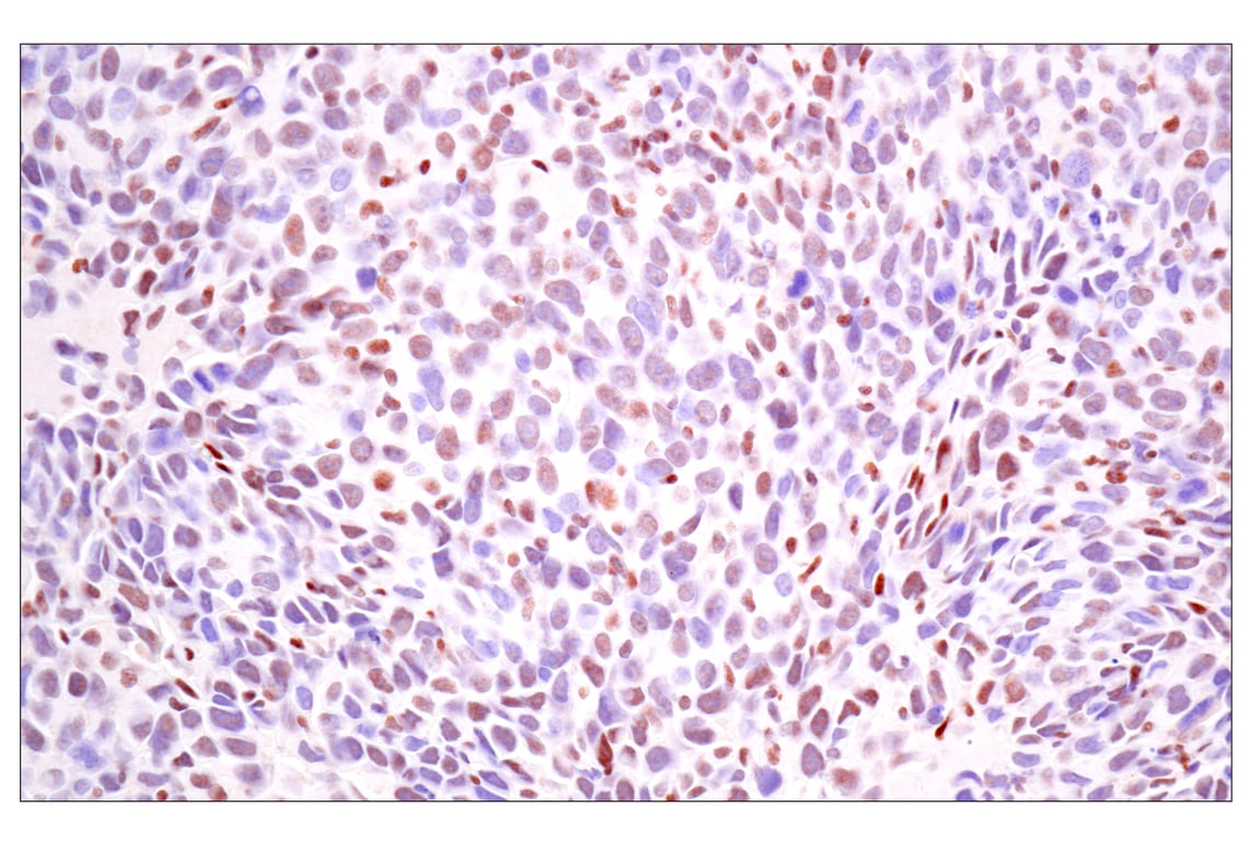
Immunohistochemical analysis of paraffin-embedded human squamous cell carcinoma of the skin using TLE3 (E4F3Y) Rabbit mAb.
Immunohistochemistry Image 2: TLE3 (E4F3Y) Rabbit Monoclonal Antibody
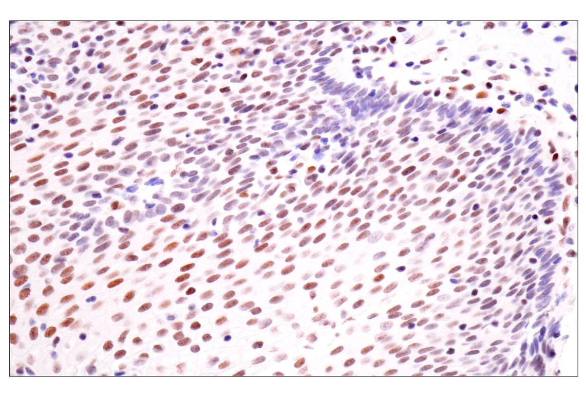
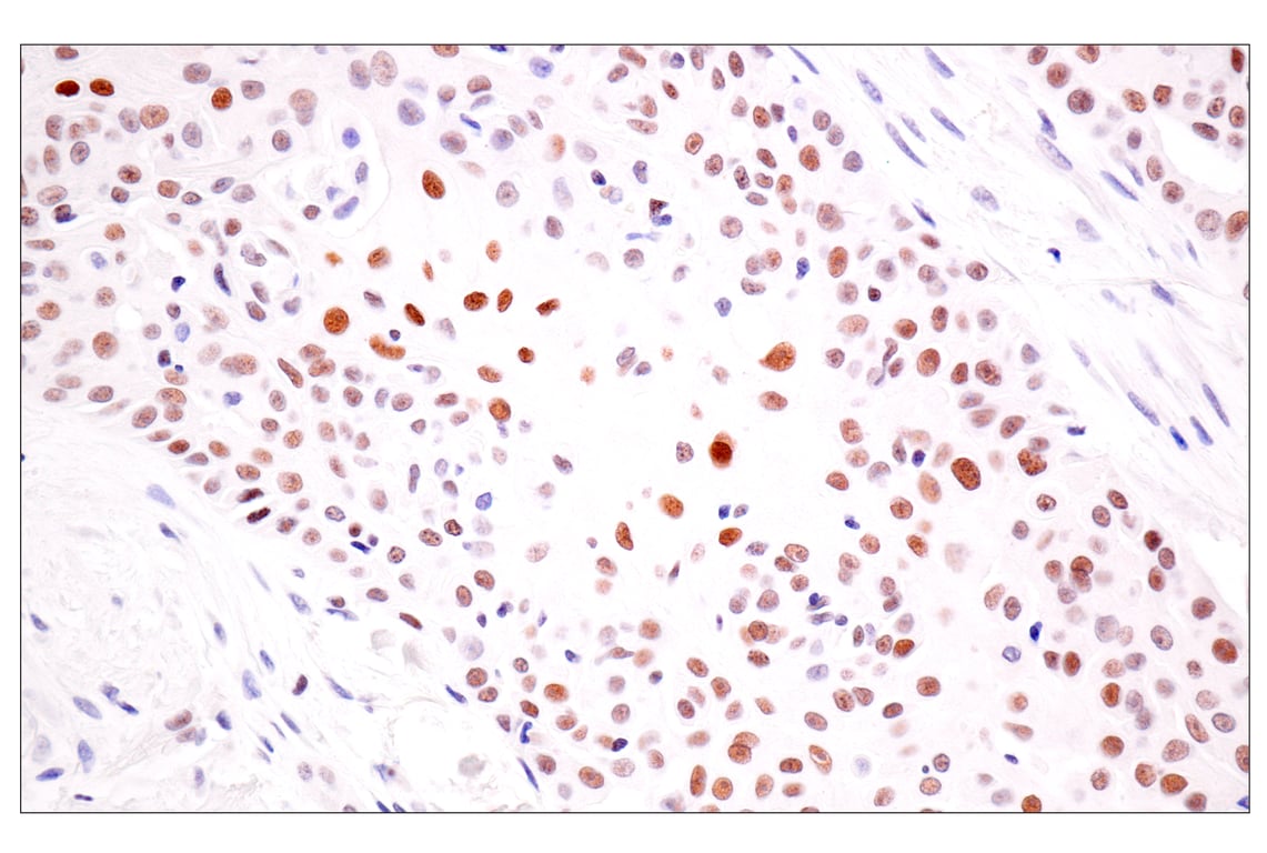
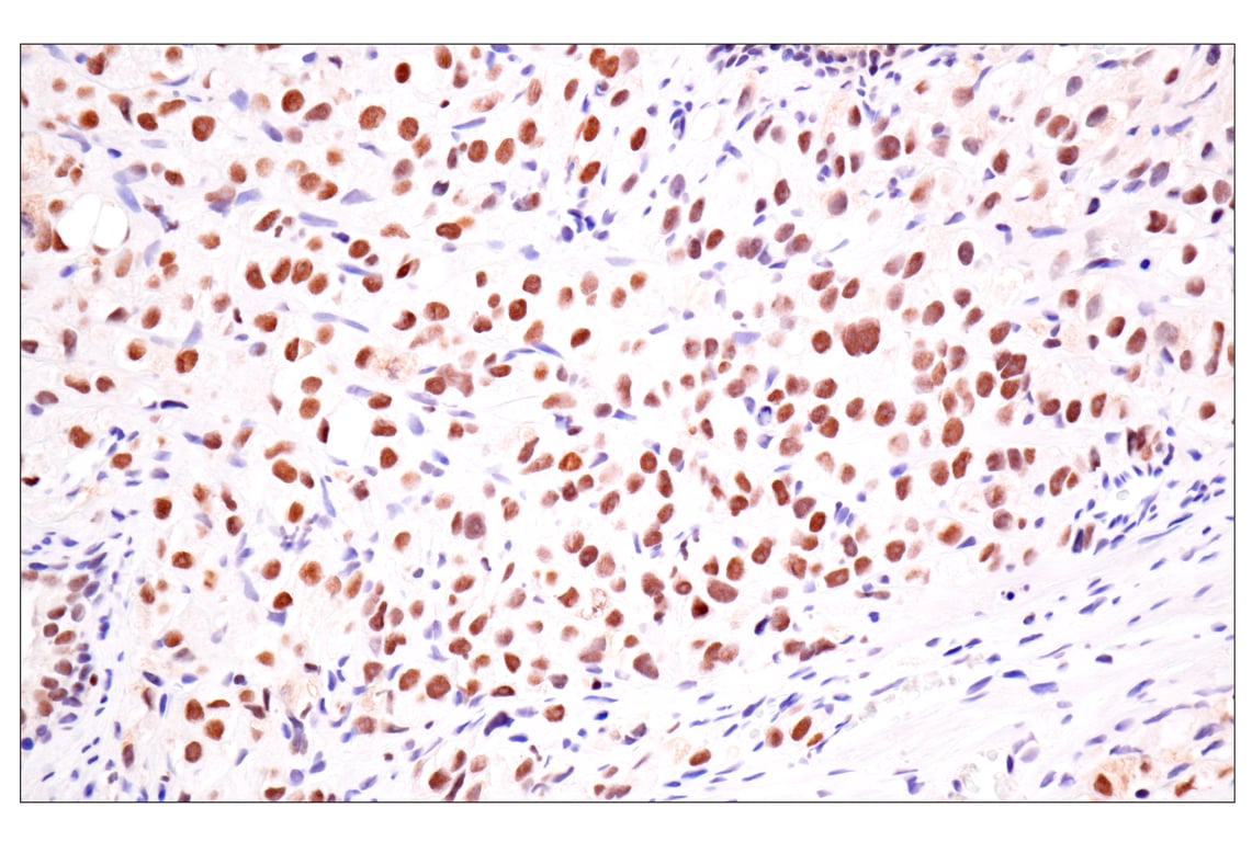
Immunohistochemical analysis of paraffin-embedded human esophageal adenocarcinoma using TLE3 (E4F3Y) Rabbit mAb.
Immunohistochemistry Image 3: TLE3 (E4F3Y) Rabbit Monoclonal Antibody
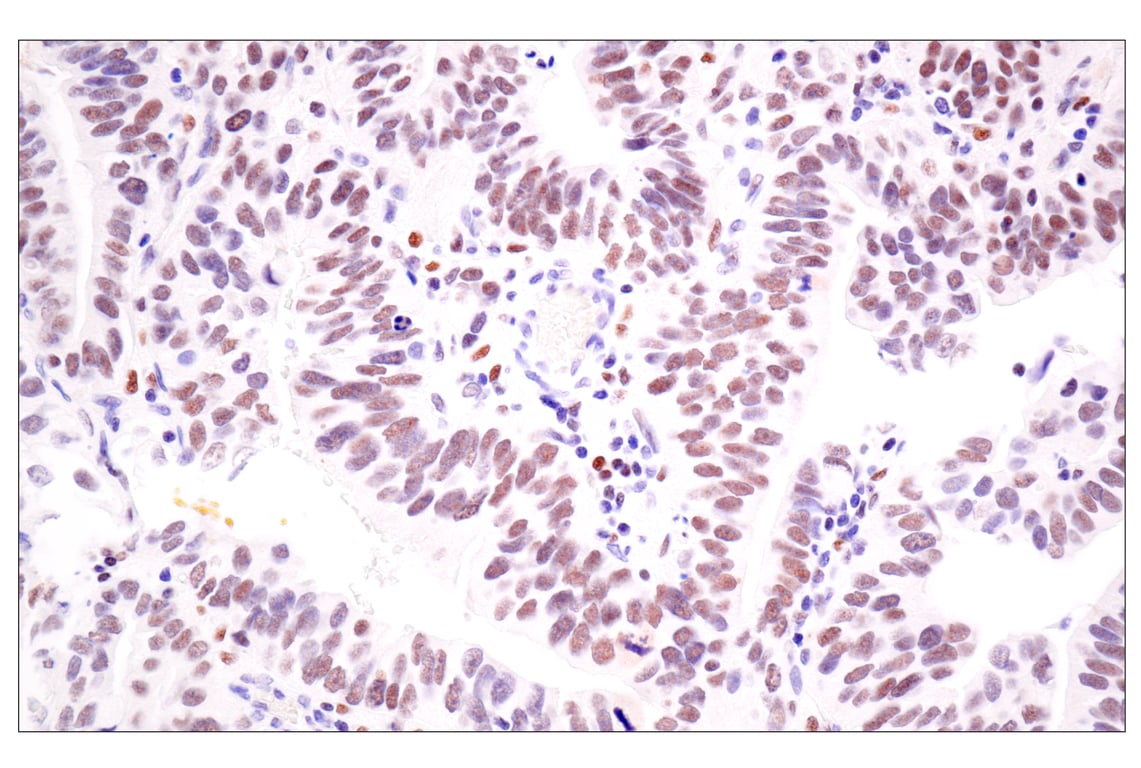
Immunohistochemical analysis of paraffin-embedded human squamous cell lung carcinoma using TLE3 (E4F3Y) Rabbit mAb.
Immunohistochemistry Image 4: TLE3 (E4F3Y) Rabbit Monoclonal Antibody
Orders: 877-616-CELL (2355) [email protected] Support: 877-678-TECH (8324) [email protected] Web: cellsignal.com
For Research Use Only. Not for Use in Diagnostic Procedures.

Revision 4

Cell Signaling Technology Logo
Immunohistochemical analysis of paraffin-embedded human prostate adenocarcinoma using TLE3 (E4F3Y) Rabbit mAb.
Immunohistochemistry Image 5: TLE3 (E4F3Y) Rabbit Monoclonal Antibody
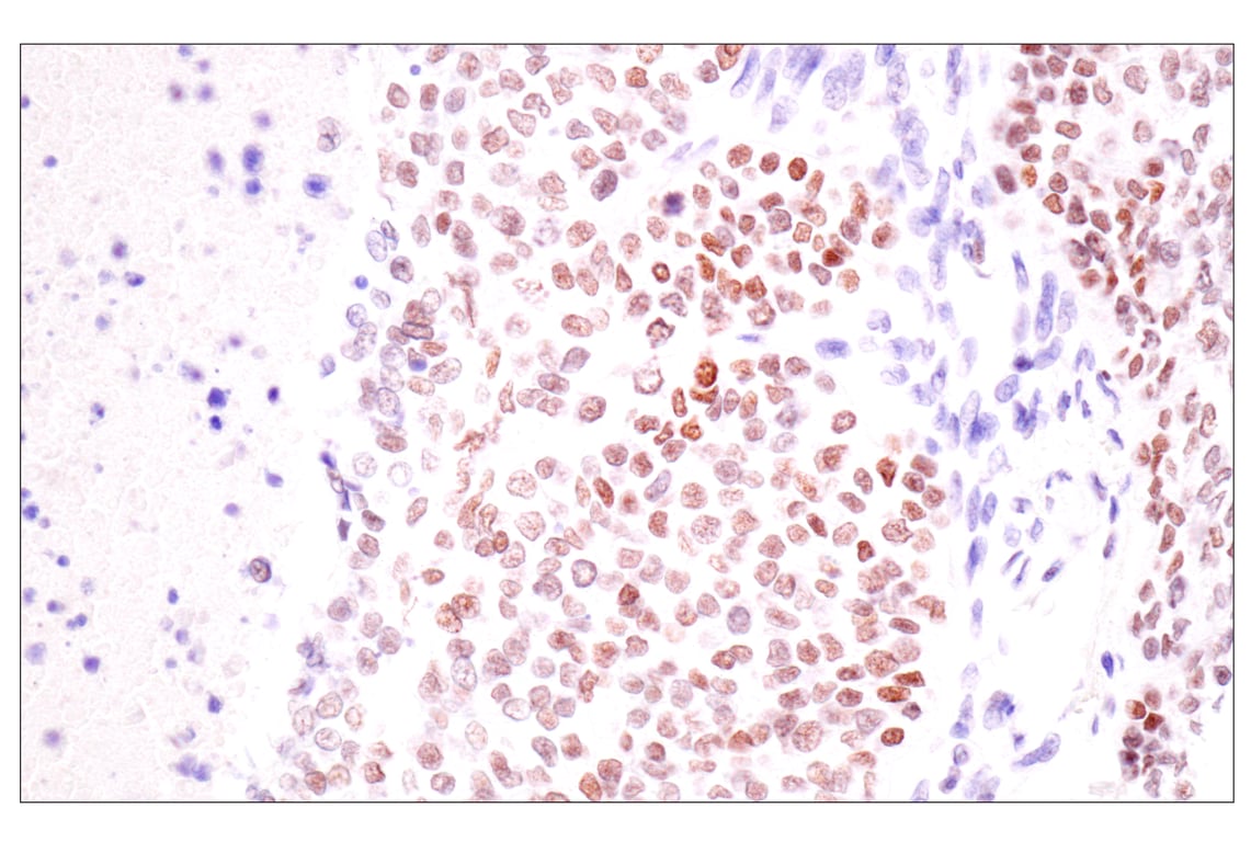
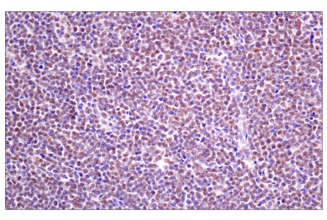
Immunohistochemical analysis of paraffin-embedded human mantle cell lymphoma using TLE3 (E4F3Y) Rabbit mAb.
Immunohistochemistry Image 6: TLE3 (E4F3Y) Rabbit Monoclonal Antibody
Immunohistochemical analysis of paraffin-embedded normal human prostate using TLE3 (E4F3Y) Rabbit mAb.
Immunohistochemistry Image 7: TLE3 (E4F3Y) Rabbit Monoclonal Antibody
Orders: 877-616-CELL (2355) [email protected] Support: 877-678-TECH (8324) [email protected] Web: cellsignal.com
For Research Use Only. Not for Use in Diagnostic Procedures.

Revision 4

Cell Signaling Technology Logo
Immunohistochemical analysis of paraffin-embedded normal human esophagus using TLE3 (E4F3Y) Rabbit mAb.
Immunohistochemistry Image 8: TLE3 (E4F3Y) Rabbit Monoclonal Antibody
Immunohistochemical analysis of paraffin-embedded A20 syngeneic tumor using TLE3 (E4F3Y) Rabbit mAb.
Immunohistochemistry Image 9: TLE3 (E4F3Y) Rabbit Monoclonal Antibody
Immunohistochemical analysis of paraffin-embedded LL/2 syngeneic tumor using TLE3 (E4F3Y) Rabbit mAb.
Immunohistochemistry Image 10: TLE3 (E4F3Y) Rabbit Monoclonal Antibody
Orders: 877-616-CELL (2355) [email protected] Support: 877-678-TECH (8324) [email protected] Web: cellsignal.com
For Research Use Only. Not for Use in Diagnostic Procedures.

Revision 4

Cell Signaling Technology Logo
Immunohistochemical analysis of paraffin-embedded normal mouse forestomach using TLE3 (E4F3Y) Rabbit mAb.
Immunohistochemistry Image 11: TLE3 (E4F3Y) Rabbit Monoclonal Antibody
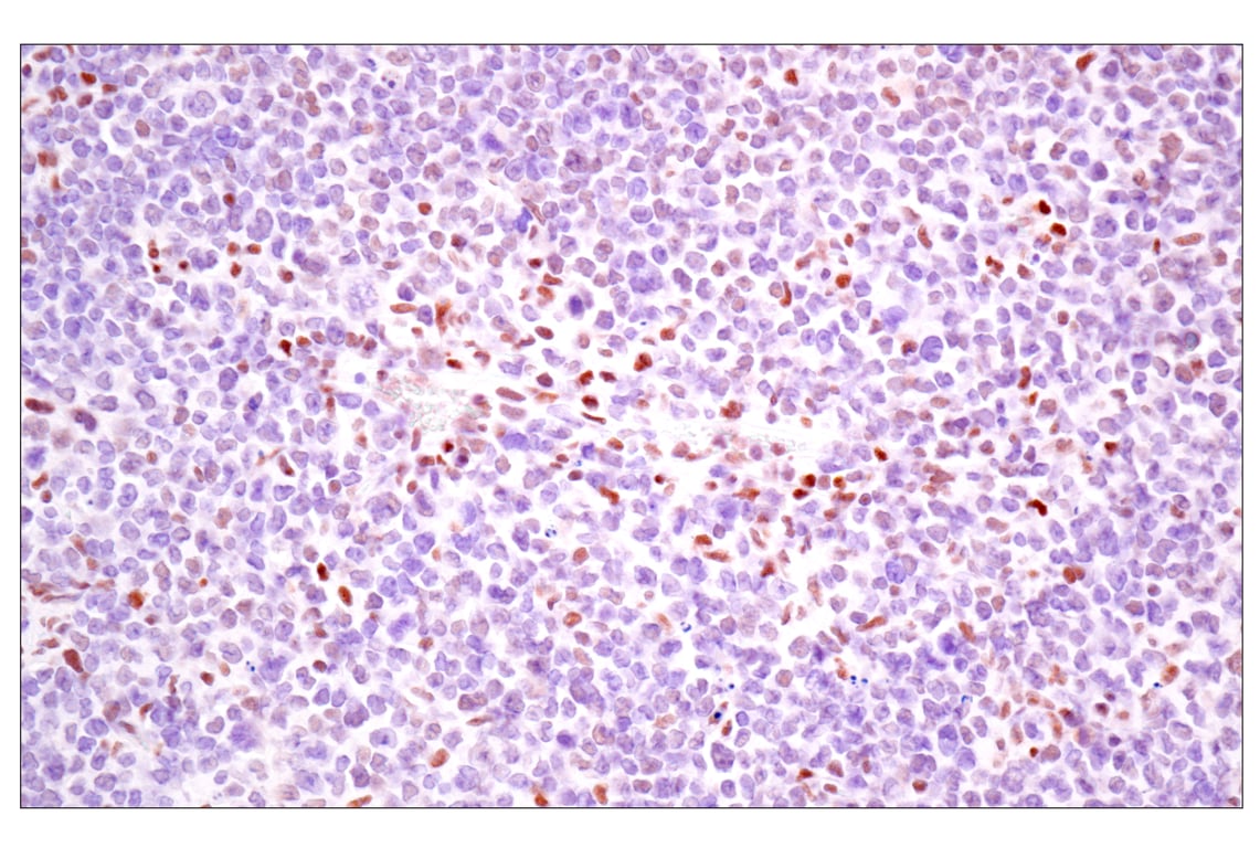
Immunohistochemical analysis of paraffin-embedded normal mouse thymus using TLE3 (E4F3Y) Rabbit mAb.
Immunohistochemistry Image 12: TLE3 (E4F3Y) Rabbit Monoclonal Antibody
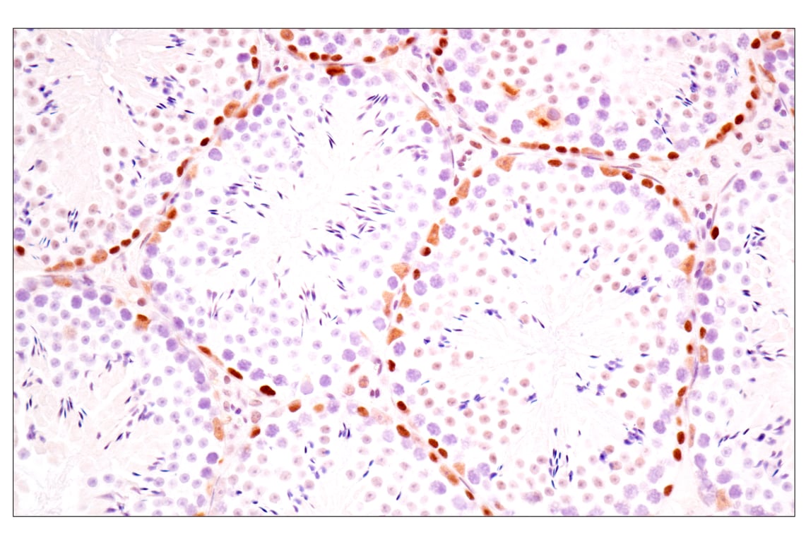
Immunohistochemical analysis of paraffin-embedded normal mouse testis using TLE3 (E4F3Y) Rabbit mAb.
Immunohistochemistry Image 13: TLE3 (E4F3Y) Rabbit Monoclonal Antibody
Orders: 877-616-CELL (2355) [email protected] Support: 877-678-TECH (8324) [email protected] Web: cellsignal.com
For Research Use Only. Not for Use in Diagnostic Procedures.

Revision 4

Cell Signaling Technology Logo
Immunohistochemical analysis of paraffin-embedded normal mouse kidney using TLE3 (E4F3Y) Rabbit mAb.
Immunohistochemistry Image 14: TLE3 (E4F3Y) Rabbit Monoclonal Antibody
Immunohistochemical analysis of paraffin-embedded human ductal breast carcinoma using TLE3 (E4F3Y) Rabbit mAb (left) compared to concentration-matched Rabbit (DA1E) mAb IgG XP® Isotype Control #3900 (right). 
Immunohistochemistry Image 15: TLE3 (E4F3Y) Rabbit Monoclonal Antibody
Immunohistochemical analysis of paraffin-embedded VCaP cell pellet (left, positive) or A-172 cell pellet (right, negative) using TLE3 (E4F3Y) Rabbit mAb.
Immunohistochemistry Image 16: TLE3 (E4F3Y) Rabbit Monoclonal Antibody
Orders: 877-616-CELL (2355) [email protected] Support: 877-678-TECH (8324) [email protected] Web: cellsignal.com
For Research Use Only. Not for Use in Diagnostic Procedures.