Revision 1

#99797

Store at -20C

CST Logo
Orders:

877-616-CELL (2355)

[email protected]

Support:

877-678-TECH (8324)

3 Trask Lane | Danvers | Massachusetts | 01923 | USA

For Research Use Only. Not for Use in Diagnostic Procedures.

Applications:
W, IHC-P

Reactivity:
Vir

Sensitivity:
Endogenous

MW (kDa):
56

Source/Isotype:
Rabbit IgG

UniProt ID:
#B4URE0

Entrez-Gene Id:
956531

Product Usage Information

Application Dilution
Western Blotting 1:1000
Immunohistochemistry (Paraffin) 1:100 - 1:400

Storage

Supplied in 10 mM sodium HEPES (pH 7.5), 150 mM NaCl, 100 µg/mL BSA, 50% glycerol, and less than 0.02% sodium azide. Store at –20°C. Do not aliquot the antibody.

Specificity/Sensitivity

Influenza A Nucleoprotein (NP) (F8L6X) Rabbit Monoclonal Antibody recognizes endogenous levels of total influenza A virus (Russia:St.Petersburg/8/2006 H1N1) nucleoprotein. This antibody cross-reacts with nucleoprotein from H1N1, H3N2, and H5N1, and will broadly react with influenza A subtypes.

Source / Purification

Monoclonal antibody is produced by immunizing animals with a synthetic peptide corresponding to residues surrounding Ala85 of influenza A virus (Russia:St.Petersburg/8/2006 H1N1) nucleoprotein (Uniprot #B4URE0).

Background

Influenza, or flu, is a contagious respiratory virus of the Orthomyxoviridae family, which is subdivided into four genera: A, B, C, and D (1). Influenza A is the most common flu virus causing infections in humans and is the source of seasonal epidemics and occasional pandemics (2). The main proteins encased in the viral nucleocapsid are hemagglutinin (H) and neuraminidase (N), from which viral subtype names are derived (3,4). Influenza A subtypes H1N1 and H3N2 are the source of seasonal infections in humans and are regularly vaccinated against (2). The influenza A nucleoprotein (NP) plays a key role in the viral replication and lifecycle. NP forms ribonucleoprotein complexes that are essential for the transcription and replication of the virus. As the NP is highly conserved across influenza A subtypes, it has become a target for both vaccine development and antiviral drug development (5,6). Host protein ZBP1 directly binds to viral NP, inducing necroptosis of infected cells via the RIPK3 pathway (7). NP can inhibit the innate immune response by binding to mitochondrial antiviral signaling protein (MAVS) and Toll-interacting protein (Tollip), activating mitophagy and subsequent MAVS degradation (8).

Species Reactivity

Species reactivity is determined by testing in at least one approved application (e.g., western blot).

Western Blot Buffer

IMPORTANT: For western blots, incubate membrane with diluted primary antibody in 5% w/v BSA, 1X TBS, 0.1% Tween® 20 at 4°C with gentle shaking, overnight.

Applications Key

W: Western Blotting IHC-P: Immunohistochemistry (Paraffin)

Cross-Reactivity Key

Vir: Virus

Trademarks and Patents

Cell Signaling Technology is a trademark of Cell Signaling Technology, Inc.

All other trademarks are the property of their respective owners. Visit cellsignal.com/trademarks for more information.

Limited Uses

Except as otherwise expressly agreed in a writing signed by a legally authorized representative of CST, the following terms apply to Products provided by CST, its affiliates or its distributors. Any Customer's terms and conditions that are in addition to, or different from, those contained herein, unless separately accepted in writing by a legally authorized representative of CST, are rejected and are of no force or effect.

Products are labeled with For Research Use Only or a similar labeling statement and have not been approved, cleared, or licensed by the FDA or other regulatory foreign or domestic entity, for any purpose. Customer shall not use any Product for any diagnostic or therapeutic purpose, or otherwise in any manner that conflicts with its labeling statement. Products sold or licensed by CST are provided for Customer as the end-user and solely for research and development uses. Any use of Product for diagnostic, prophylactic or therapeutic purposes, or any purchase of Product for resale (alone or as a component) or other commercial purpose, requires a separate license from CST. Customer shall (a) not sell, license, loan, donate or otherwise transfer or make available any Product to any third party, whether alone or in combination with other materials, or use the Products to manufacture any commercial products, (b) not copy, modify, reverse engineer, decompile, disassemble or otherwise attempt to discover the underlying structure or technology of the Products, or use the Products for the purpose of developing any products or services that would compete with CST products or services, (c) not alter or remove from the Products any trademarks, trade names, logos, patent or copyright notices or markings, (d) use the Products solely in accordance with CST Product Terms of Sale and any applicable documentation, and (e) comply with any license, terms of service or similar agreement with respect to any third party products or services used by Customer in connection with the Products.

Orders: 877-616-CELL (2355) [email protected] Support: 877-678-TECH (8324) [email protected] Web: cellsignal.com
For Research Use Only. Not for Use in Diagnostic Procedures.

Revision 1

Cell Signaling Technology Logo

Western blot analysis of extracts from 293T cells, mock transfected (lane 1) or transfected with a construct expressing Myc/DDK-tagged influenza A (Russia:St.Petersburg/8/2006 H1N1) nucleoprotein (lane 2), using Influenza A Nucleoprotein (NP) (F8L6X) Rabbit mAb (upper), Myc-Tag (71D10) Rabbit mAb #2278 (middle), or GAPDH (D16H11) XP® Rabbit mAb #5174 (lower).

Western Blotting Image 1: Influenza A Nucleoprotein (NP) (F8L6X) Rabbit Monoclonal Antibody
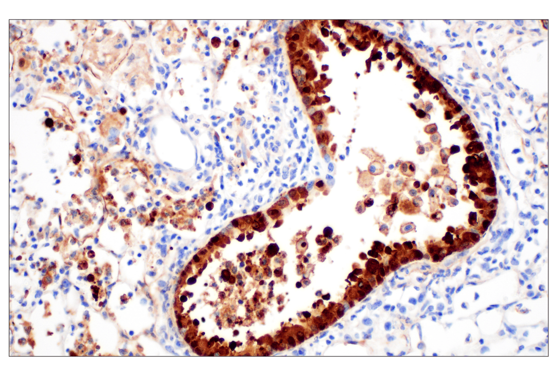
Immunohistochemical analysis of paraffin-embedded Influenza A-infected mouse lung using Influenza A Nucleoprotein (NP) (F8L6X) Rabbit mAb. Influenza A-infected mouse lung tissue was generously provided by Dr. Nicholas Crossland, National Emerging Infectious Diseases Laboratories, Boston University, Boston, MA.
Immunohistochemistry Image 1: Influenza A Nucleoprotein (NP) (F8L6X) Rabbit Monoclonal Antibody
Immunohistochemical analysis of various paraffin-embedded normal human or mouse tissues: Influenza A-infected mouse lung (left), mouse lung (middle), or normal human lung (right), using Influenza A Nucleoprotein (NP) (F8L6X) Rabbit mAb. Influenza A-infected mouse lung tissue was generously provided by Dr. Nicholas Crossland, National Emerging Infectious Diseases Laboratories, Boston University, Boston, MA.
Immunohistochemistry Image 2: Influenza A Nucleoprotein (NP) (F8L6X) Rabbit Monoclonal Antibody
Orders: 877-616-CELL (2355) [email protected] Support: 877-678-TECH (8324) [email protected] Web: cellsignal.com
For Research Use Only. Not for Use in Diagnostic Procedures.

Revision 1

Cell Signaling Technology Logo
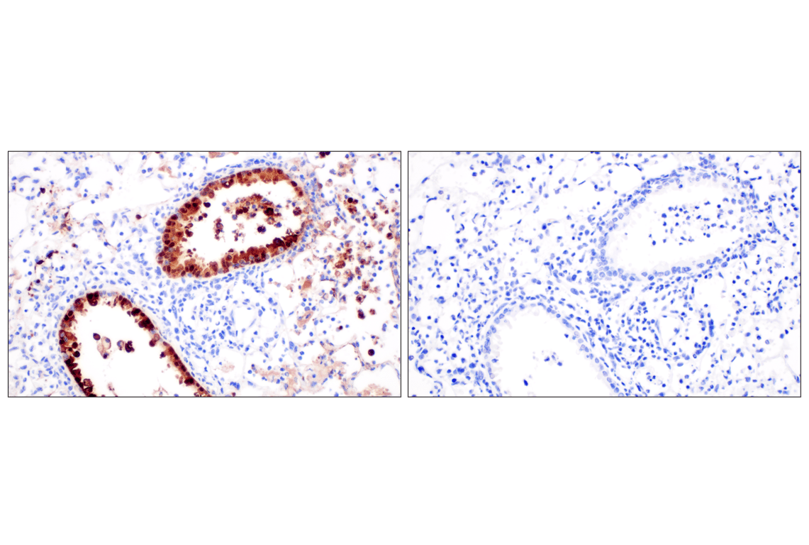
Immunohistochemical analysis of paraffin-embedded Influenza A-infected mouse lung using Influenza A Nucleoprotein (NP) (F8L6X) Rabbit mAb (left) compared to concentration-matched Rabbit (DA1E) mAb IgG XP® Isotype Control #3900 (right). Influenza A-infected mouse lung tissue was generously provided by Dr. Nicholas Crossland, National Emerging Infectious Diseases Laboratories, Boston University, Boston, MA.
Immunohistochemistry Image 3: Influenza A Nucleoprotein (NP) (F8L6X) Rabbit Monoclonal Antibody
Immunohistochemical analysis of paraffin-embedded 293T Influenza A Nucleoprotein-transfected cell pellet (left, positive) or 293T cell pellet (right, negative) using Influenza A Nucleoprotein (NP) (F8L6X) Rabbit mAb.
Immunohistochemistry Image 4: Influenza A Nucleoprotein (NP) (F8L6X) Rabbit Monoclonal Antibody
Orders: 877-616-CELL (2355) [email protected] Support: 877-678-TECH (8324) [email protected] Web: cellsignal.com
For Research Use Only. Not for Use in Diagnostic Procedures.