Revision 1

#5495

Store at -20C

CST Logo
Orders:

877-616-CELL (2355)

[email protected]

Support:

877-678-TECH (8324)

3 Trask Lane | Danvers | Massachusetts | 01923 | USA

For Research Use Only. Not for Use in Diagnostic Procedures.

MW (kDa):
5

UniProt ID:
#P01135

Entrez-Gene Id:
7039

Background

TGF-α is a member of the EGF family of proteins and is expressed by epithelial cells, keratinocytes, macrophages, and many tumor-derived cell lines (1-4). Soluble TGF-α is produced by proteolytic cleavage of a transmembrane precursor (5). TGF-α promotes cell proliferation and differentiation of a diverse array of cell types including cancer and neural cells (1,4,6). TGF-α binds to EGFR/ErbB1 and induces receptor dimerization and tyrosine kinase activation (7). TGF-α activates the MAPK pathways and involves Stat3 and Stat5 (1,6). Increased levels of TGF-α expression are associated with many cancers including breast cancer (1,8,9).

Endotoxin

Less than 0.01 ng endotoxin/1 μg hTGF-α.

Purity

>98% as determined by SDS-PAGE of 6 μg reduced (+) and non-reduced (-) recombinant hTGF-α. All lots are greater than 98% pure.

Source / Purification

Recombinant human TGF-α (hTGF-α) Val40-Ala89 (Accession #NP_003227) was produced in E. coli at Cell Signaling Technology.

Bioactivity

The bioactivity of recombinant hTGF-α was determined in a MCF-10A cell proliferation assay. The ED50 of each lot is between 0.25-1.0 ng/ml.

Trademarks and Patents

Cell Signaling Technology is a trademark of Cell Signaling Technology, Inc.

All other trademarks are the property of their respective owners. Visit cellsignal.com/trademarks for more information.

Limited Uses

Except as otherwise expressly agreed in a writing signed by a legally authorized representative of CST, the following terms apply to Products provided by CST, its affiliates or its distributors. Any Customer's terms and conditions that are in addition to, or different from, those contained herein, unless separately accepted in writing by a legally authorized representative of CST, are rejected and are of no force or effect.

Products are labeled with For Research Use Only or a similar labeling statement and have not been approved, cleared, or licensed by the FDA or other regulatory foreign or domestic entity, for any purpose. Customer shall not use any Product for any diagnostic or therapeutic purpose, or otherwise in any manner that conflicts with its labeling statement. Products sold or licensed by CST are provided for Customer as the end-user and solely for research and development uses. Any use of Product for diagnostic, prophylactic or therapeutic purposes, or any purchase of Product for resale (alone or as a component) or other commercial purpose, requires a separate license from CST. Customer shall (a) not sell, license, loan, donate or otherwise transfer or make available any Product to any third party, whether alone or in combination with other materials, or use the Products to manufacture any commercial products, (b) not copy, modify, reverse engineer, decompile, disassemble or otherwise attempt to discover the underlying structure or technology of the Products, or use the Products for the purpose of developing any products or services that would compete with CST products or services, (c) not alter or remove from the Products any trademarks, trade names, logos, patent or copyright notices or markings, (d) use the Products solely in accordance with CST Product Terms of Sale and any applicable documentation, and (e) comply with any license, terms of service or similar agreement with respect to any third party products or services used by Customer in connection with the Products.

Orders: 877-616-CELL (2355) [email protected] Support: 877-678-TECH (8324) [email protected] Web: cellsignal.com
For Research Use Only. Not for Use in Diagnostic Procedures.

Revision 1

Cell Signaling Technology Logo
The proliferation of MCF-10A cells treated with increasing concentrations of hTGF-α was assessed. After 24 hour treatment, cells were labeled with BrdU for 4 hours. BrdU incorporation was determined by ELISA and the OD450-OD650 was determined.
undefined Image 1: Human Transforming Growth Factor alpha (hTGF-alpha)
The purity of recombinant hTGF-α was determined by SDS-PAGE of 6 µg reduced (+) and non-reduced (-) recombinant hTGF-α and staining overnight with Coomassie Blue.
undefined Image 2: Human Transforming Growth Factor alpha (hTGF-alpha)
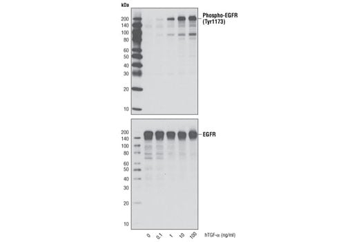
Western blot analysis of extracts from HeLa cells untreated or treated with hTGF-α for 10 minutes, using Phospho-EGF Receptor (Tyr1173) (53A5) Rabbit mAb #4407 (upper) and EGF Receptor Antibody #2232 (lower).
undefined Image 3: Human Transforming Growth Factor alpha (hTGF-alpha)
Orders: 877-616-CELL (2355) [email protected] Support: 877-678-TECH (8324) [email protected] Web: cellsignal.com
For Research Use Only. Not for Use in Diagnostic Procedures.