Revision 2

#5934

Store at -20C

Okadaic Acid

25 µg

CST Logo
Orders:

877-616-CELL (2355)

[email protected]

Support:

877-678-TECH (8324)

3 Trask Lane | Danvers | Massachusetts | 01923 | USA

For Research Use Only. Not for Use in Diagnostic Procedures.

Background

Okadaic acid is an inhibitor of the serine/theorine protein phosphatases PP1 (IC50 = 15-20 nM) and PP2A (IC50 = 0.1 nM), exhibiting much greater activity towards the latter. PP2A is completely inhibited at 1-2 nM, compared to greater than 1 µM for PP1 (1). This is unlike the protein phosphatase inhibitor Calyculin A, which potently inhibits both PP1 (IC50 = 2 nM) and PP2A (IC50 = 0.5-1 nM) (2). Okadaic acid does not effectively inhibit PP2C (3), acid and alkaline phosphatases, nor phosphotyrosine protein phosphatases (2,3). It has shown to inhibit PP2B, but at much higher concentrations than with PP1 and PP2A (3). Okadaic acid has also been described as a non-TPA type potent tumor promoter (4). These tumor-promoting properties and its ability to significantly increase protein phosphorylation make okadaic acid a very useful tool for studying cellular processes that are regulated by reversible phosphorylation of proteins (5).

Molecular Formula

C44H68O13

Molecular Weight

805 g/mol

Purity

>98%

CAS

78111-17-8

Solubility

Soluble in DMSO at 40mg/ml and EtOH at 5mg/ml.

Storage

Store lyophilized or in solution at -20ºC, desiccated. In lyophilized form, the chemical is stable for 24 months. Once solubilized, solutions can be stored at -20C for up to 1 month. Aliquot to avoid multiple freeze/thaw cycles.

Directions for Use

Okadaic Acid is supplied as a lyophilized powder. For a 1 mM stock, reconstitute the 25 µg in 31.1 µl DMSO. Working concentrations and length of treatments vary depending on the desired effect, but it is typically used at 10-1000 nM for 15-60 min. Soluble in DMSO or ethanol.

Trademarks and Patents

Cell Signaling Technology is a trademark of Cell Signaling Technology, Inc.

All other trademarks are the property of their respective owners. Visit cellsignal.com/trademarks for more information.

Limited Uses

Except as otherwise expressly agreed in a writing signed by a legally authorized representative of CST, the following terms apply to Products provided by CST, its affiliates or its distributors. Any Customer's terms and conditions that are in addition to, or different from, those contained herein, unless separately accepted in writing by a legally authorized representative of CST, are rejected and are of no force or effect.

Products are labeled with For Research Use Only or a similar labeling statement and have not been approved, cleared, or licensed by the FDA or other regulatory foreign or domestic entity, for any purpose. Customer shall not use any Product for any diagnostic or therapeutic purpose, or otherwise in any manner that conflicts with its labeling statement. Products sold or licensed by CST are provided for Customer as the end-user and solely for research and development uses. Any use of Product for diagnostic, prophylactic or therapeutic purposes, or any purchase of Product for resale (alone or as a component) or other commercial purpose, requires a separate license from CST. Customer shall (a) not sell, license, loan, donate or otherwise transfer or make available any Product to any third party, whether alone or in combination with other materials, or use the Products to manufacture any commercial products, (b) not copy, modify, reverse engineer, decompile, disassemble or otherwise attempt to discover the underlying structure or technology of the Products, or use the Products for the purpose of developing any products or services that would compete with CST products or services, (c) not alter or remove from the Products any trademarks, trade names, logos, patent or copyright notices or markings, (d) use the Products solely in accordance with CST Product Terms of Sale and any applicable documentation, and (e) comply with any license, terms of service or similar agreement with respect to any third party products or services used by Customer in connection with the Products.

Orders: 877-616-CELL (2355) [email protected] Support: 877-678-TECH (8324) [email protected] Web: cellsignal.com
For Research Use Only. Not for Use in Diagnostic Procedures.

Revision 2

Cell Signaling Technology Logo
Western blot analysis of extracts from HeLa cells, untreated (-) or treated with Okadaic Acid (1 µM, 1 hr; +), using Phospho-LATS1 (Thr1079) (D57D3) Rabbit mAb #8654 (upper) or LATS1 (C66B5) Rabbit mAb #3477 (lower).
undefined Image 1: Okadaic Acid
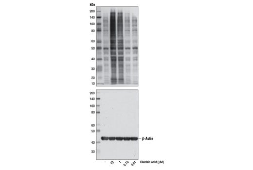
Western blot analysis of extracts from HeLa cells, untreated or treated with Okadaic Acid (1 hr) at the indicated concentrations, using Phospho-Threonine Antibody (P-Thr-Polyclonal) #9381 (upper) or β-Actin (D6A8) Rabbit mAb #8457 (lower).
undefined Image 2: Okadaic Acid
Chemical structure of okadaic acid.
undefined Image 3: Okadaic Acid
Orders: 877-616-CELL (2355) [email protected] Support: 877-678-TECH (8324) [email protected] Web: cellsignal.com
For Research Use Only. Not for Use in Diagnostic Procedures.